结瓣同行,贞心护航。
近日,安贞医院心脏瓣膜病介入中心宋光远教授团队通力协作,为一名72岁高龄P1接近交界区的重度MR患者,成功实施了经皮导管二尖瓣钳夹手术。该例手术的圆满完成充分体现了安贞医院心脏瓣膜病介入中心诊疗团队对二尖瓣疾病认识水平的再提高,及团队在影像学技术的有力加持下,TEER手术技能日臻成熟。
患者术前资料
72岁女性,主因“间断心悸10余年,加重伴胸闷1年”入院,患者10余年前无明显诱因间心悸,无胸闷、气短等不适,未正规诊治,1年来患者心悸症状较前发作频繁,伴胸闷、气短,以夜间平卧时症状明显,就诊于当地医院,行超声心动提示:二尖瓣大量反流、二尖瓣后叶P1区脱垂,累及部分前交界可能,予患者口服药物治疗,上述症状改善不明显,4月前就诊于我院,行超声心动:二尖瓣后叶键索断裂并脱垂,二尖瓣重度关闭不全,左心、右房增大,为进一步诊治收入院。
既往病史:
高血压、冠状动脉粥样硬化病史,无糖尿病病史。
二尖瓣置换STS评分:8.322%
入院诊断
心脏瓣膜病 二尖瓣后叶脱垂 二尖瓣重度关闭不全,高血压1级(极高危),冠状动脉粥样硬化
术前评估
患者老年女性,原发性二尖瓣重度关闭不全诊断明确,患者存在心力衰竭症状,经积极药物治疗,其心衰症状改善不明显,考虑二尖瓣重度关闭不全对患者心功能影响较大,经综合评估后,认为该患者有行Mitraclip指征。
术前超声评估
手术过程:
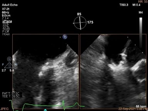
患者麻醉方式为全麻,建立静脉通路后,穿刺右侧股静脉,预埋ProGlide缝合器,食道超声指导下房间隔穿刺成功,将Superstiff导丝送至左房,应用18F鞘管扩张穿刺部位,沿导丝将导引导管送入左房,MitraClip调整后顺利到达二尖瓣目标位置,在食道超声辅助下,将Mitraclip NTR成形夹精确定位后,成功夹合二尖瓣A1-P1区,超声显示反流明显减少,多切面证实夹合组织充分,肺静脉多普勒波形由反向恢复正常,手术顺利结束,安返普通病房。
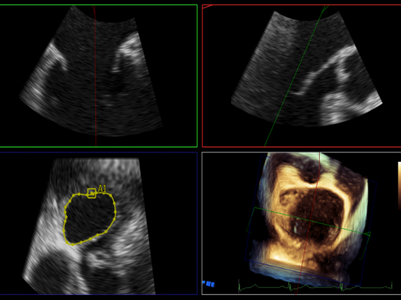
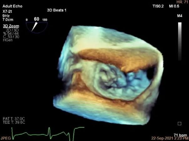
术中超声
3D:P1区脱垂并腱索断裂,部分AC受累,Width:11.4mm
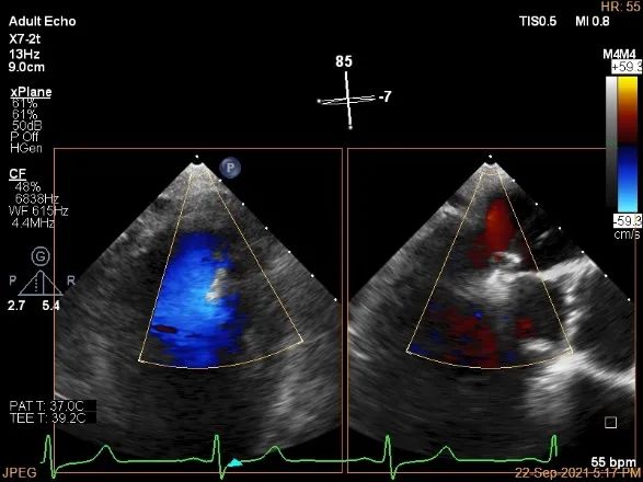
3D-color:重度MR,4级
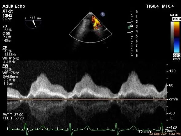
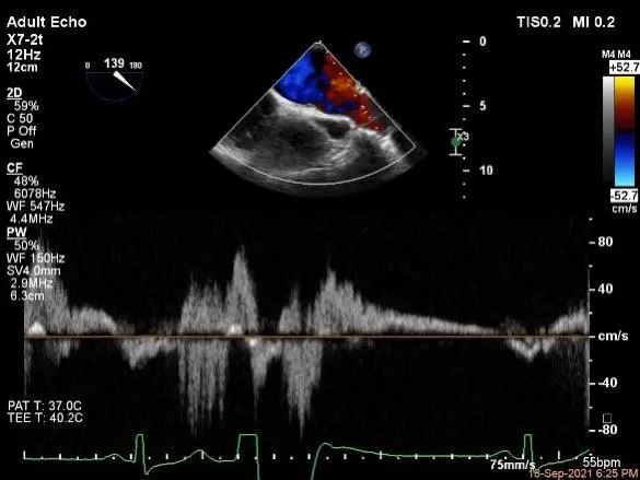
麻醉状态下肺静脉血流频谱
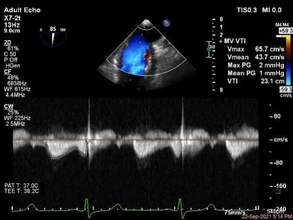
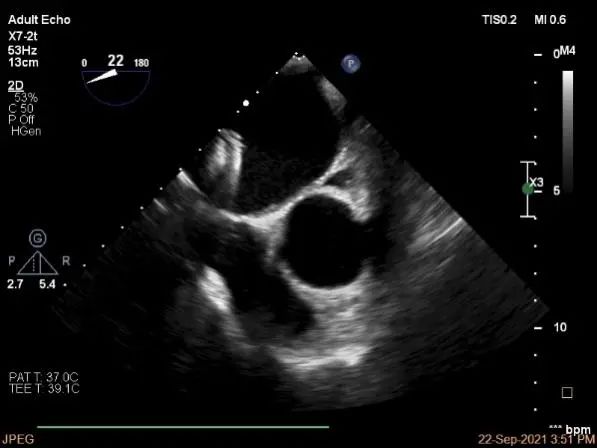
MVA:7.8cm2,平均跨瓣压差:1mmHg
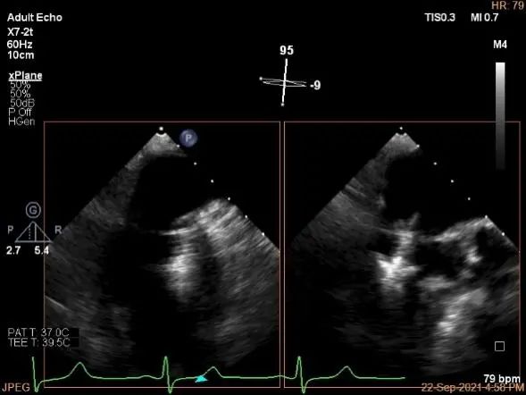
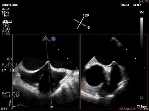
房间隔穿刺点选择
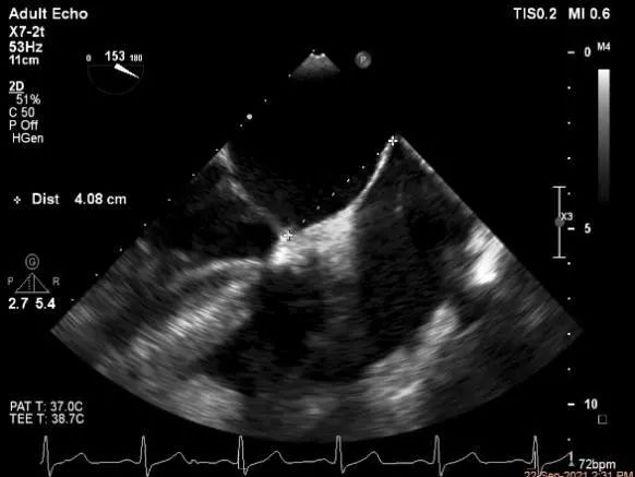
穿刺高度:4.08cm
过大鞘
出夹子,trajectory
3D调orientation
夹子进左室
计算前叶捕获长度9mm,后叶捕获长度7mm。
夹子夹闭后,未见明确残余分流
3d确认夹子位置在P1区
3d-color确认残余分流情况
评估二尖瓣瓣口平均跨瓣压差:1mmHg
肺静脉血流频谱恢复正常
术者心得:
根据Expand研究,有1/3以上的MR患者为复杂MR。本例患者为P1接近前交界区的腱索断裂,在MR评估方面,应该注意评估二尖瓣返流的具体受累区域、返流方向,血流束宽度,反流量分级及受累区域的最大宽度,以此作为制定手术策略的主要参考依据。脱垂宽度及血流束累及范围、有效返流口面积、平均跨瓣压差及瓣叶长度可以有效帮助术前判断夹子类型、大小及植入数量,对受累区域的定位还可以帮助确定房间隔穿刺的高度及范围。另外,对肺静脉血流频谱形态的采集,还可以辅助评估返流分级。该患者术前二尖瓣返流定量参数及肺静脉血流频谱均提示患者存在重度4级的返流。脱垂区域位于1区靠前交界处,提示穿刺高度可以在正常低限(4-5),该例患者术中穿刺高度4.08cm,基本符合手术方案要求。
(1) 因为交界区有较多腱索,主要的操作调整应该在左心房完成,包括trajectory和orientation(偏向1-2点钟方向)的调整。
(2) 通常这个部位选择NTR的夹子,以保证充分的瓣叶抓捕。尽量在半开放夹子(60度左右)的情况下进去左心室,切忌进入过深或者进入后粗暴调整。
(3) 请超声老师配合,充分显示前后叶,争取一次性抓捕成功,避免腱索缠绕,造成新的MR或者MR进一步加重。
这种复杂MR case建议在有经验的中心由经验丰富的术者和超声专家配合完成,至少20例以上的独立操作经验。
亚太结构性心脏病青年俱乐部(APSHD)成立于2018年10月, 由香港亚洲心脏病中心主任林逸贤教授担任主席,会员遍布全球,俱乐部的成立旨在为所有对结构性心脏病有热情、有探索精神的青年医生搭建学术交流平台,积极推动结构性心脏病领域的青年创新。
APSHD设立了四个培训系列主题-结瓣同行、从心耳发、高风亮结、声火相传,内容包括瓣膜介入和左心耳的手术演示,以及影像指导介入治疗的培训活动和现场演示。
结“瓣”同行(VALVES LIVE):二尖瓣/三尖瓣修复和替换技术和手术转播和指导;高“峰”亮结(STRUCTURAL FORUM LIVE):结构性心脏病的最新资讯传播和大会专题;从心“耳”发(LAA LIVE):左心耳封堵技术的最前沿,手术转播和技术指导;“声”火相传(IMAGING LIVE):结构超声,结构手术的最佳拍档,针对性的培训和临床应用;得心“应”手 (Hands on LIVE):得心应手,最直观的心脏解剖,了解结构心,更好服务手术。
专家简介

安贞医院心脏瓣膜病介入中心主任,教授,博士生导师
2015.2-2016.7 美国 Cedars Sinai Medical Center 博士后学习
· 累计完成瓣膜病介入治疗超过 1000 例
· 累计完成房颤左心耳封堵术超过 200 例,其中 LAAO+PCI 一站式治疗 50 余例
· 累计完成复杂冠脉介入治疗超过 5000 例
· 主持结构性心脏病影像核心实验室,目前完成 CT 和超声分析 3000 余例
· 带教省级医院横跨 30 余省市 60 余家 主持国家自然基金,国家自然青年基金、教育部博士点基金、北京市科委创新基金、协和青年基金等多项课题
· 发表论文 20 余篇,共计他引超过 110 次,最高单篇 SCI 影响因子超过 20发表文章质量高:63.2%的文章均发表在《我国高质量科技期刊分级目录》收录的期刊中;21%的文章位于 T1 区(国际一流期刊),31.6%的文章于 T2 区(国际知名期刊)
· 主译《心脏导管手册》,《结构性心脏病介入治疗》
· 主编《结构性心脏病集萃 2020》
中心介绍:
首都医科大学附属北京安贞医院是治疗心肺血管疾病为重点的三级甲等综合性医院,心血管内、外科手术例数名列全国综合医院第一,在全国心血管领域处于领军地位,也是全国较早开展瓣膜病介入的医院之一。安贞医院心脏瓣膜病介入中心应时而生,荟聚了安贞医院院内以及全国范围内的结构性心脏病的菁英专家,着力于各类心脏瓣膜性疾病的介入治疗,打造心脏瓣膜病介入领域重点学科。
安贞医院心脏瓣膜病介入中心是年轻的科室,现拥有医生15名,护士12名,集合了安贞医院以及全国的一批成熟的结构性心脏病的术者和医生团队,核心小组成员来自影像科、超声科、麻醉科、导管室、康复团队等多个科室,最大程度上在开展手术的同时保证病人的安全性,让病人得到最佳的治疗效果,同时通过瓣膜病介入中心,可以更好做到质控以及病人的中远期管理。