收放自如,稳中求胜!2021年10月29日,正值心脏领域一年一度的学术盛会长城心脏病学大会/亚洲心脏大会(GW-ICC / AHS 21)召开之际,西安交通大学第一附属医院韩克教授团队成功应用新一代可回收主动脉瓣系统TaurusElite®在大会直播平台完成一例瓦氏窦发育畸形+冠脉风险特殊疑难病例的精彩手术直播。
接受手术的为一位72岁老年患者,曾辗转多家医院求诊后,为寻求微创治疗慕名来到西安交通大学第一附属医院,术中由于患者瓦氏窦解剖畸形加上特殊钙化分布对释放定位造成一定困难,韩克教授团队紧密配合,并充分利用TaurusElite®回收功能精准调整定位,最终瓣膜位置及工作状态均良好,血流动力学有效改善,手术取得圆满成功!该例手术是西安交通大学第一附属医院首次应用Taurus系列经导管主动脉瓣系统,此次成功应用也代表了Taurus系列“金牛瓣”进入临床后又一次新的迈进!
病例简介
男性,72岁,主因“间断胸闷胸痛9年余,再发加重1月”入院,高血压病史;入院超声:重度主动脉瓣狭窄并中度关闭不全,Vmax 4.41m/s,PGmax 78mmHg,Pgmean 42mmHg,LADD 42mm,LVEDD 64mm,LVESD 44mm,LVEF 57%;NT-proBNP 2044pg/ml。
术前CT评估
• 三叶式主动脉瓣,中度钙化,主要分布于左右窦窦底并延伸到瓣环-流出道水平,无冠窦发育畸形,窦内空间小;
• 双侧冠脉开口高度可,切线角度测量,左窦瓣叶略长于左冠开口到瓣叶根部距离;
• 无冠窦内径略小,左右窦内径可,窦管交界、升主动脉内径可;
• 非横位心,主动脉弓宽度角度可;
• 主动脉、双侧股髂血管内径及走行可,未见明显钙化及狭窄。
CT动态预览
三窦式,无冠窦发育畸形,窦内存在瓣叶间隔,钙化主要分布于左右窦窦内。
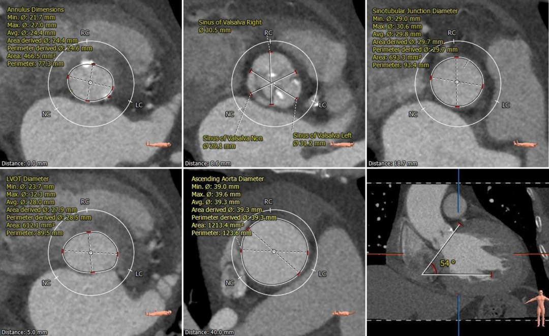
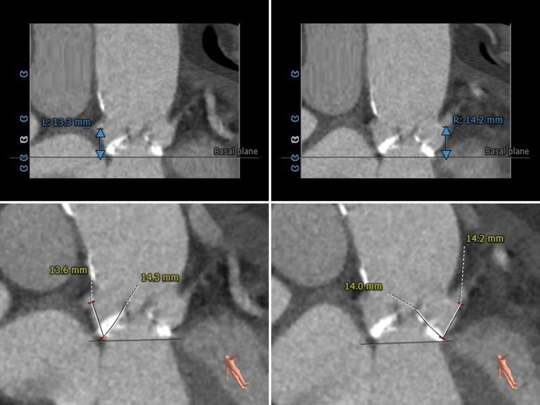
根部测量
瓣环平均径24.6mm,STJ、升主内径可,非横位心
冠脉测量
冠脉开口高度可,切线位测量左窦瓣叶略长于左冠开口
钙化分布
中度钙化,HU 600 629mm³,HU850 182mm³
弓部及入路
弓部宽度角度可,双侧股髂动脉内径及走行可
病例特点
该病例为三窦式,无冠窦先天发育畸形,窦内空间小并存在嵴样间隔,钙化主要分布在左右窦接近窦底位置并向下延伸,左窦瓣叶略长,可疑阻挡风险,术中需加以关注。
• 三叶式瓣,中度钙化,左右窦内钙化聚集向瓣环延伸,预估锚定难度适中,瓣膜植入后受团状钙化挤压存在瓣周漏风险;
• 左右冠开口高度可,左窦瓣叶略长于左冠开口,右窦瓣叶未见冗长,术中需关注冠脉情况,必要时冠脉保护;
• 非横位心,主动脉弓部角度与宽度可,预估输送器可顺利过弓、跨瓣;
• 入路血管内径及走行适宜,术中规范操作,避免入路血管损伤及相关并发症。
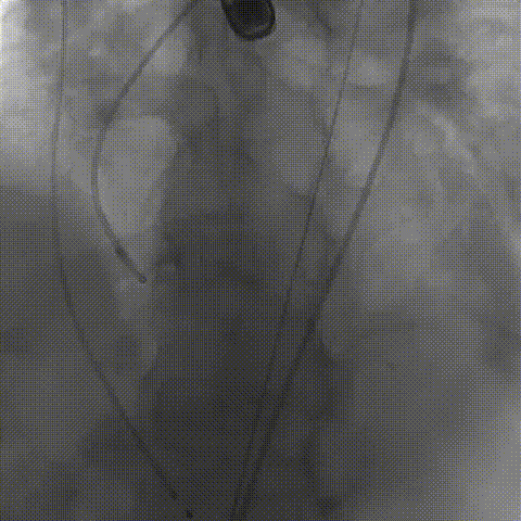
术中影像

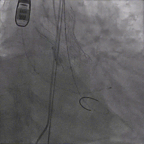
根部造影;直头导丝顺利跨瓣

23mm球囊预扩,冠脉显影正常;输送器顺利过弓
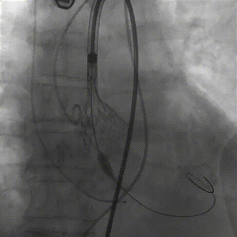
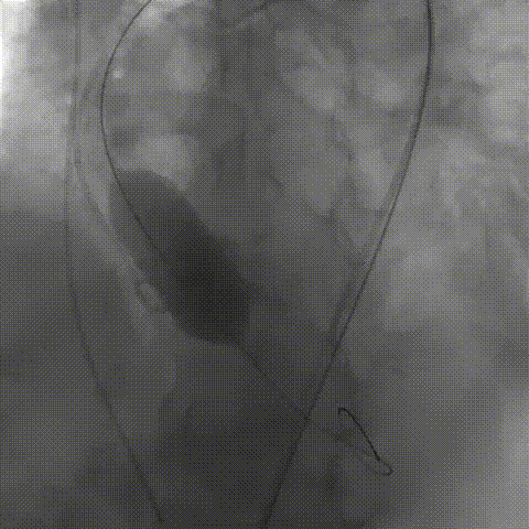
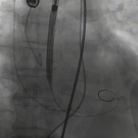
初次释放,无冠窦畸形猪尾难以到达窦底,定位带来挑战;释放至工作位,瓣膜(AV29)位置偏低
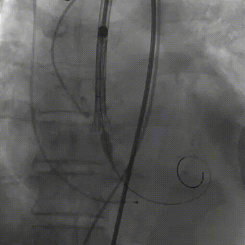
瓣膜(AV29)完全回收后重新定位释放
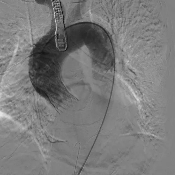
瓣膜(AV29)工作位正交体位造影位置良好,左冠显影正常

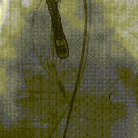
瓣膜(AV29)完全脱钩释放后23mm球囊充分后扩,冠脉灌注良好
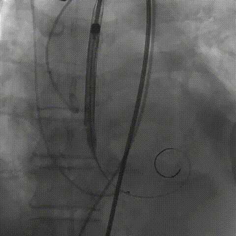
最后造影
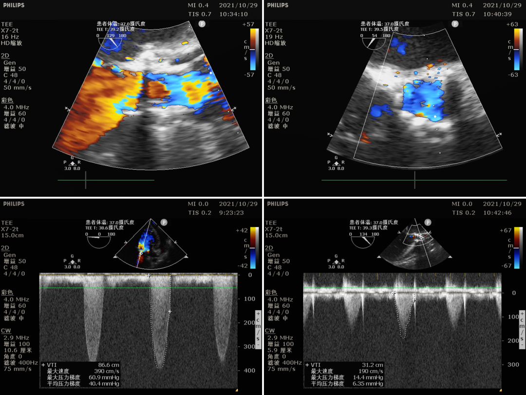
术后血流动力学
瓣膜工作状态良好,极微量瓣周漏,血流动力学有效改善
韩克教授寄语
近年来我国介入结构性心脏病领域快速发展,各类新技术、新器械日新月异。此次我院心内科首次应用可回收TaurusElite®经导管主动脉瓣系统成功完成TAVR手术,效果令人满意。TaurusElite®为我国国产的新一代可回收介入瓣膜系统,采用牛心包材质,具备多次可回收功能,术中我们成功使用回收功能为患者实施了二次定位释放,提升了手术的容错性和安全性,并有助于调整最佳的瓣膜位置,瓣膜释放后工作状态良好,手术取得预期效果。TAVR技术的成熟为更多主动脉瓣狭窄患者带来希望,期待未来我们能与优秀的国产器械一起为我国结构性心脏病领域的发展带来更多助力。
专家简介

西安交通大学医学院第一附属医院副院长,心血管病医院院长,教授,主任医师,博士生导师,心血管病学博士,日本京都大学博士后。国家杰出青年基金获得者。
中华医学会心血管病分会常委兼动脉粥样硬化与冠心病学组组长、中国医师协会心血管内科医师分会副会长兼指南与共识工作组组长、中国老年医学会心血管病分会副主任委员、国际动脉粥样学会(IAS)中国分会副主席、陕西省医学会心血管病分会主任委员、中国胸痛中心联盟副主席/陕西省胸痛中心联盟主席、陕西省心血管专科医师联盟主席。中国动脉粥样硬化杂志副主编、中国分子心脏病学杂志副主编、中国介入心脏病学杂志副主编。主要从事动脉粥样硬化发生与发展机制研究、以及冠心病发病的基础与临床研究,先后承担国家“973”项目、国科金重点与杰青项目、科技部重点研发项目、科技部重大慢病管理项目等,在国际顶级刊物包括Nature Medicine, Circulation, JACC, Cir Res, Euro Heart J, AJRCC等发表论文200余篇,获卫生部有突出贡献专家称号,享受国务院政府津贴。

副主任医师。1999年毕业留校工作至今,主要研究方向冠心病、结构性心脏病介入治疗,心脏疾病的超声及影像学诊断。现任中华医学会心血管病学分会结构性心脏病学组委员,亚洲青年结构性心脏病俱乐部委员,陕西省医学会心血管分会介入学组委员、秘书,陕西省超声医学工程学会委员,曾任陕西省医学会超声分会委员。每年完成冠心病、结构性心脏病及起搏电生理介入治疗数百例。擅长CTO、分叉病变等复杂冠脉介入治疗,ASD、VSD、PDA、PFO等先天性心脏病介入治疗,率先在西北地区开展TAVR及LAAC手术,熟练掌握IVUS、OCT等腔内影像学技术。作为主要研究人员参与多项国家自然科学基金项目、陕西省科技攻关项目、陕西省卫生厅科研基金项目。