周周寄语:
联合瓣膜病变是老年人常见的一种情况,诊疗策略还是要从病因入手。文献报道,欧洲最常见的瓣膜病是AS,而MS是最少见的病变(43.1%vs12.1%),AS最常见的病因是退行性变,最少见的病因是风湿性(81.9%vs11.2%),而二尖瓣狭窄最常见的病因是风湿性,最少见的是退行性变(85.4%vs12.5%)。2021ESC指南对于75岁以上AS患者,推荐TAVR治疗(IB),对于风湿性二尖瓣狭窄,首选推荐PBMV治疗(IB)。本例患者从CT和超声结果来看,主动脉瓣狭窄符合退行性变,而二尖瓣狭窄是典型的风湿性改变。
患者男 ;年龄83岁 ;主诉反复胸闷气促年余。
现病史患者于4年前出现活动后胸闷气促,无胸痛,无头晕头痛,无恶心呕吐,无咳嗽咳痰,无晕厥,无夜间阵车发性呼吸困难,休息数分钟可缓解,外院查心脏彩超提示主动脉瓣狭窄(具体不详)。患者近1月再发活动后胸闷、呼吸困难,程度较前加重,予降压、营养心肌等治疗后好转。患者为求进一步治疗,至我院门诊就诊,查心脏彩超提示重度主动脉瓣狭窄并中—重度关闭不全,重度二尖瓣狭窄并中度关闭不全,重度三尖瓣关闭不,重度肺高压,并收入我科治疗。患者自起病以来,精神、饮食、睡眠一般,1月前曾解黑便,予停用阿司匹林、胃镜下止血、护胃治疗后缓解,小便正常,体重无明显变化。既往史有高血压病史;否认脑梗塞史;否认慢性肺气肿病史;否认风湿性心脏病史;有冠心病史,有胃溃疡病史;否认心梗病史;有房颤病史;否认肝炎病史;否认结核病史;否认其他传染病史;否认输血史;否认外伤史;否认手术史;否认中毒史;无食物药物过敏史。结合心超检查,收入我院,拟行TAVR+PBMV一站式手术。
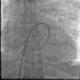
根部解剖:
手术过程:
球囊跨二尖瓣
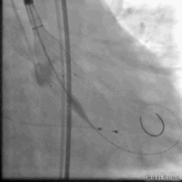
24MM二尖瓣球囊扩张

主动脉根部造影

Numed20预扩
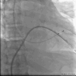
VenusA26定位
瓣膜释放三分之二
瓣膜完全释放

最后一枪造影
术后:
二尖瓣球囊扩张后,超声观察,超声二尖瓣狭窄解除,主动脉及左心室压差由术前80下降为3,轻度瓣周漏,EF值提升至65%,心功能明显改善,术后病房康复一周后出院。
专家介绍

医学博士、主任医师、博士生导师。现任广东省人民医院心内科副主任,广东省人民医院南海医院院长、广东省人民医院血管病诊疗中心主任、广东省冠心病防治研究重点实验室副主任。
学术任职:美国心脏病学院Fellow (FACC)、欧洲心脏病协会Fellow (FESC)、美国心血管造影与介入学会Fellow (FSCAI)、首批Global Hybrid Algorithm Community国际认证Hybrid CTO带教专家、卫生部心血管疾病介入诊疗培训基地(冠心病介入治疗)导师。
中华医学会心血管病学分会大血管学组副组长、中国研究型医院学会心血管影像专业委员会副主任委员、中国研究型医院学会血管医学专业委员会副主任委员、中国医疗保健国际交流促进会血管疾病分会副主任委员、中国医疗保健国际交流促进会难治性高血压与周围动脉病分会副主任委员、中国医药教育协会血管医学分会副主任委员、广东省介入性心脏病学会周围血管介入分会主任委员、广东省医师协会心血管介入医师分会副主任委员、广东省医师协会心血管内科医师分会常务委员、广东省医学会心血管病分会结构性心脏病学组副组长等。
血管疾病多学科协作论坛(VMDT)执行主席、冠心病与周围血管介入沙龙(CPIS)执行主席、亚太CTO俱乐部广州峰会共同执行主席、亚洲心脏病学会年会秘书长等。
技术特长:擅长复杂冠脉病变、主动脉疾病、瓣膜疾病、周围血管病等的介入治疗。在国内率先开展脑保护装置下颈动脉介入治疗、经桡动脉行肾动脉介入治疗、快速起搏与经皮穿刺主动脉腔内修复术(TEVAR),2016年4月完成华南地区首例经导管主动脉瓣置换术(TAVR),2019年2月成功实施全球首例经股动脉途径TAVR联合TEVAR一站式手术,团队整体TAVR手术量已超过500台,已经帮助全国100家中心开展TAVR手术。
科研成果:获中国医药教育协会科学技术奖二等奖1项、广东省科学技术奖二等奖2项、三等奖2项。参编学术专著6部,发明专利4项,发表学术论文100余篇。先后承担省市级课题数项,培养硕博士20余人,目前在研经费超过500万元。

医学博士,副主任医师,硕士导师。
学术任职:中国医师协会心血管病分会结构组委员;广东省介入性心脏病协会结构分会常务委员;广东省医师协会心血管介入医师分会委员;广东省医师协会高血压分会青年委员;广东省医院协会心血管质控管理分会结构性心脏病学组委员;中国大湾区心脏协会精准诊疗分会委员;中国结构周秘书长;血管疾病多学科协作论坛(VMDT)秘书。
技术特长:擅长经导管主动脉瓣置换术,手术量超600台,帮助全国70多家中心开展TAVR手术。擅长复杂冠脉病变、主动脉疾病、瓣膜疾病、周围血管病等的介入治疗。