全球首例!董念国、吴永健、彭小平教授三方团队成功完成Leaflex™ Performer联合TriGUARD3™人体应用

2021年10月17日,华中科技大学同济医学院附属协和医院董念国教授团队,与中国医学科学院阜外医院吴永健教授南昌大学第一附属医院彭小平教授姜宇教授共同协作下,顺利完成创新器械Leaflex™ Performer经导管主动脉瓣膜修复系统联合TriGUARD3™抗栓塞远端脑保护装置全球首例人体应用。

图片


Leaflex™ Performer 联合TriGUARD3™全球首例临床应用成功

患者为女性,85岁,2013年行冠脉支架植入术,2018年再次行冠脉支架植入术合并房颤冷冻球囊消融术,2020年行永久起搏器植入术。1年前无明显诱因出现间断活动后气促,活动耐力下降,近3月上述症状加重。术前CT显示主动脉瓣为三叶瓣,重度钙化,术前经胸超声主动脉瓣口峰值流速5.7m/s,峰值压差124mmHg,平均跨瓣压差78mmHg,诊断为主动脉瓣重度狭窄伴关闭不全。

图片
图片
图片
图片

术前CT分析结果

图片

手术方案讨论

经过专家术前详细讨论,一致认为该患者符合Leaflex™ Performer经导管主动脉瓣膜修复系统的手术指征。

手术策略:

1. 术中在进行修复时,关注患者血流动力学变化情况;

2. 使用远端脑保护装置,避免脑栓塞发生;

图片
图片

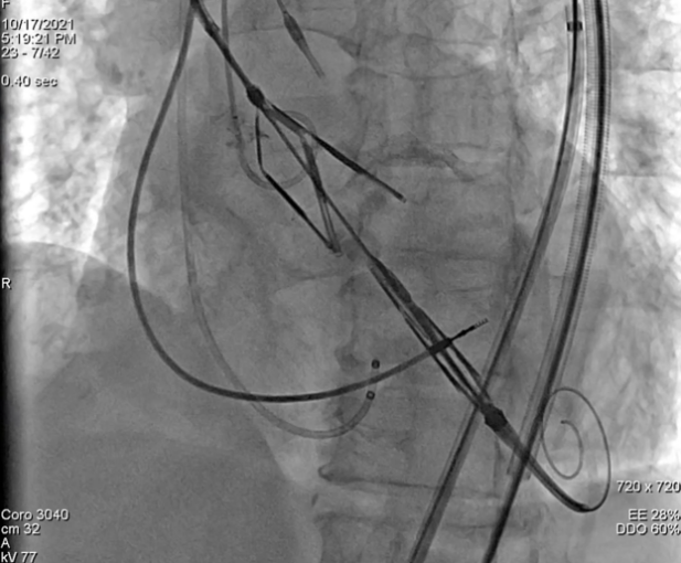
TriGUARD3™脑保护装置精准定位,完全释放

图片

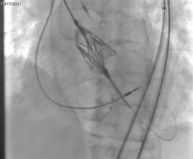
利用Leaflex™ Performer 360°可旋转功能对瓣叶钙化组织进行不同角度压刻修复

图片
图片
图片
图片
图片
图片

利用Leaflex™ Performer 360°可旋转功能对瓣叶钙化组织进行不同角度压刻修复

图片

Leaflex™ Performer顺利撤回

图片

在利用Leaflex™ Performer器械从多角度进行自体主瓣修复过程中,患者血流动力学保持稳定,该过程无需在起搏的条件下进行操作,完成修复后主动脉瓣反流未加重。TEE测得患者瓣口峰值流速降低37.4%,峰值压差降低58.9%,平均压差降低56.4%。修复完成后,顺利撤回Leaflex™ Performer器械。患者术后恢复良好,于2021年10月27日出院。

Leaflex™ Performer由心脏瓣膜钙化非植入导管解决方案的全球领导者Pi-Cardia Ltd.(Pi-Cardia)开发。并在2020年9月由启明医疗将其引入中国。Leaflex™ Performer修复技术既可以让年轻、尚不适合进行手术的患者延迟进行TAVR,也可以对TAVR植入若干年后的主动脉瓣膜进行修复,用低于置换的成本实现对主动脉瓣狭窄患者治疗全周期的覆盖,对患者意义重大。此外,Leaflex™ Performer独特的机械装置,可多角度对瓣膜钙化部分进行压刻,让钙沉积物破裂,从而恢复瓣叶的柔韧性,提高瓣叶活动度,并改善瓣膜血流动力学指标。

图片

董念国教授表示:

随着TAVR技术的发展,经导管主动脉瓣置换已成为治疗中、高危主动脉瓣狭窄的有效手段。相对于TAVR,主动脉瓣膜修复是我们追求的最高目标。随着介入技术的进步和材料科学的发展,Leaflex™ Performer系统这类经导管主动脉瓣修复产品的应运而生,并逐渐进入临床。通过本次手术,可以看到该产品操作较容易,术中患者血流动力学稳定,在完成瓣膜修复后,达到了一定的改善效果。期待该产品在后续使用中有进一步的较好表现。


图片

吴永健教授表示:

TAVR技术不断发展,新产品不断涌现,Leaflex™ Performer就是颇具创新性的一款产品。Leaflex™ Performer经股动脉引入,可用于在主动脉瓣叶的表面创建压刻线,且对限制瓣叶活动并导致主动脉瓣狭窄的钙化沉积进行压刻。通过增加瓣叶灵活性和移动性,达到扩大主动脉瓣开合面积的效果。与BAV相比,这种治疗可能更有效且更持久。本次Leaflex™ Performer联合TriGUARD3™在全球首次人体应用,为该产品的临床应用提供了更好的安全保障。


图片

彭小平教授表示:

近年来,治疗主动脉瓣狭窄已经从外科开胸换瓣到经导管球囊扩张再到经导管主动脉瓣置换,临床疗效得到了很好的改善。但仍有一些年轻的患者不愿意开胸,或者年纪大的患者不愿换瓣(SAVR/TAVR),那么介入瓣膜修复技术就是很好的选择。很荣幸参与到全球第一例Leaflex™ Performer联合TriGUARD3™的联合人体手术中,并顺利完成首例手术。总体来说,Leaflex™ Performer操作不复杂,可反复多次对钙化的瓣叶进行压刻,增加钙化瓣膜的活动度,减轻瓣膜的狭窄。TriGUARD3™也有效地阻挡了手术操作中可能掉落的栓塞物质进入脑部,减少了脑栓塞的风险。期待Leaflex™ Performer早日正式进入临床使用,造福广大患者。


图片

尚小珂教授表示:

作为第一款经导管的主动脉瓣机械修复产品,为不能或者暂时不适合瓣膜置换的患者提供了更多的治疗选择。该产品在无需起搏的情况下对患者钙化主动脉瓣进行修复,手术中患者血流动力学稳定,顺利完成手术。相信该产品未来能给患者带来更多治疗选择。


图片

姜宇教授表示:

Leaflex™ Performer,TriGUARD3™两个创新型产品的联合使用,在对患者进行主动脉瓣修复的同时,也避免了在修复过程中可能掉落的栓塞物质进入脑部,减少了脑栓塞的风险。两个产品的操作并不复杂,手术达到了一定的治疗效果。期待这两款创新产品在未来惠及更多患者。

启明医疗创始人兼总经理訾振军先生表示:“Leaflex™ Performer作为一种经济有效且耐久性良好的独立治疗手段,可改善主动脉瓣膜的重度钙化,有望为更多被忽视和未得到充分治疗的主动脉瓣狭窄患者提供治疗选择。Leaflex™ Performer联合TriGUARD3™的创新联合,彰显了启明医疗对自主创新的坚持和勇气,我们将再接再厉,将创新技术源源不断地引入临床应用,尽早造福医患。”

阅读数: 14691
相关专题