2021年10月18日,中国医学科学院阜外医院(简称阜外医院)吴永健教授团队采用完全局麻无镇静的极简式TAVR顺利完成中国Silara ® - Valve主动脉瓣膜用于症状性主动脉瓣重度狭窄患者的微创介入治疗。
不全麻,不开胸,即可完成微创瓣膜置换,术式更简单,手术时间更短,患者更加舒适!
患者基本情况
患者,男78岁,诊断为症状性重度主动脉瓣狭窄,NYHA心功能分级而Ⅱ-Ⅲ级。超声心动图提示:主动脉瓣平均跨瓣压差52mmHg, 左室舒张末径46mm, 左室射血分数72%,主动脉瓣重度狭窄并少量反流,二尖瓣轻度狭窄并少中量反流。
主动脉瓣CT评估:三叶瓣,双冠脉开口水平可,钙化分布较均匀。双侧髂股动脉内径可。瓣环长短径分别为17.9*25.1mm,周长为68.8mm,面积为358.1mm²。
瓣上多平面测量:
主动脉根部整体形态(自流出道至升主动脉方向):
瓣叶运动4DCT:
血管入路评估:
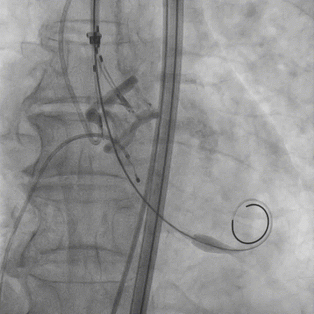
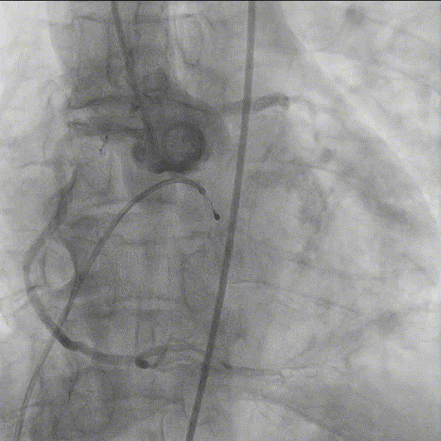
手术过程
1. 麻醉科监护下完全局麻无镇静方式手术;
2. 超声引导精准穿刺右股主入路、左股副入路,及右股静脉;
3. 两把ProGlide预埋右股动脉,植入20F戈尔大鞘;
4. 右窦中心投照体位行主动脉根部造影;
5. AL2导管配合直头超滑导丝跨瓣;
6. 20mm球囊预扩张;
7. 23mm Silara-Valve瓣膜过弓和跨瓣;
8. 23mm Silara - Valve瓣膜左心室初步释放,瓣膜功能良好(不需要左心室快速起搏);
9. Silara - Valve提拉至瓣环水平,精准定位瓣膜,造影剂显示瓣膜功能良好,完成固化;
10. 最终造影瓣膜位置理想,无返流。
总结
此次微创介入手术是阜外医院吴永健教授在国内首次采用避免全麻,采用完全局麻无镇静的极简术式完成Silara- Valve瓣膜治疗重度主动脉瓣狭窄患者,整个手术过程为1个小时,手术的成功实施为Silara - Valve瓣膜的中国试验顺利开展提供了良好的支持,加快了Silara - Valve瓣膜在中国临床应用的步伐,相信Silara - Valve瓣膜将造福更多的主动脉瓣重度狭窄患者!
由中国医学科学院阜外医院牵头的Silara-Valve临床试验在国内火热开展中。如果您或者您的家人、朋友有意向参加本研究,您可以通过以下联系人咨询相关信息,我们会为您详细介绍该研究的具体情况,联系人:陈医生 18810968311。
专家简介

中国医学科学院阜外医院冠心病中心主任、结构性心脏病中心副主任、冠心病二病区主任。北京协和医学院长聘教授、博士生导师、主任医师。中华医学会心血管病分会委员,中华医学会心血管病分会冠心病与动脉粥样硬化学组副组长,中国医师协会心血管病分会常务委员,北京医学会心血管病分会副主任委员,中国医师协会中西医结合医师分会心脏康复专业委员会主任委员,世界中联心脏康复专业委员会主任委员,中国医师协会心脏重症专家委员会副主任委员,海峡两岸医学交流协会心脏重症专家委员会副主任委员以及全国多个学会的副主任委员、常委或委员;北京市冠心病介入质控专家组成员,中央和山东省保健成员,北京市医疗事故鉴定组成员。《中国循环杂志》、《中国介入心脏病杂志》编委,《中华心血管病杂志》、英国《心脏》(HEART)杂志通讯编委及多家其他杂志的编委。获得2020年教育部科技进步奖一等奖,2020年中华医学科技进步奖二等奖。擅长复杂冠心病的介入治疗,在国内率先开展OCT、FFR、旋磨技术、准分子激光消蚀手术(ELCA)等,目前他与心脏外科医生通力协作开展复合杂交手术,具全国前列,为常规介入手术或搭桥手术高危和远期疗效差的患者提供了全新治疗手段。是我国最早开展不用开胸经导管进行主动脉瓣膜置换的专家之一。承担国家和省部级科研课题12 项,横向课题10 项,2020 年国家科技部国家重点研发计划专项(老年瓣膜性心脏病标准评估体系及优化治疗路径研究)任首席专家;完成经导管主动脉瓣膜置换(TAVR)1000 余例。从零开始探索我国TAVR 体系,参与研发我国首个临床应用的商业化人工瓣膜Venus-A,参与研发多款其他瓣膜(VitaFlow、TaurusOne、Silara 和SinoCrown),获专利30 余项;制定我国首个《经导管主动脉瓣置换术中国专家共识》;打造国内首个TAVR 影像学核心实验室;国际上首次提出CT“多平面评估体系”;推广标准化TAVR 体系在全国100 多家医院应用。