武汉协和医院心内科团队成功完成ECMO辅助下心外膜来源器质性室速消融一例——生死“室速”惊心动魄 妙手施治重获新生

2021年10月12日上午,在武汉协和医院(华中科技大学同济医学院附属协和医院)心内科程翔主任的统筹指导下,由心内科电生理团队和CCU重症团队通力合作,成功完成一例体外膜肺氧合(ECMO)支持下高危心外膜来源的器质性室速消融术。

病例基本情况

本例患者为54岁男性,一年前因“反复心慌、活动后胸闷”被诊断为“扩张型心肌病;心力衰竭(NYHA IV级)”。半年前因反复发作室性心动过速合并晕厥于我院行埋藏式心律转复除颤器(ICD)植入术。3天前患者出现心慌、胸闷,ICD频繁放电20余次,于外院诊断为室速/室颤电风暴,经治疗效果不佳转入我科CCU。入院后先后静脉使用四种抗心律失常药物(胺碘酮、利多卡因、艾司洛尔、尼非卡兰)强化治疗均无法有效终止室性心动过速发作。患者出现心衰进行性加重,血流动力学不稳定、心源性休克,心脏超声显示左室扩大,下侧壁基底段呈瘤样膨出,最薄处约0.5cm,多次心脏超声检查LVEF值为20%-30%。同时ICD频繁放电导致患者极度焦虑及恐慌,迅速、有效地控制室性心动过速迫在眉睫。

风险重重

据心内科电生理团队陈志坚教授介绍:“这个病例处理起来相当棘手。首先,该名患者是器质性心脏病合并持续性室性心动过速,虽此前已经行ICD植入术,但病情进展,强化抗心律失常药物治疗无效,ICD频繁放电,一天多达20余次。每次电击复律,对患者造成巨大的心理压力,心功能持续恶化。其次,患者本身心衰极重,室速发作时存在血流动力学不稳定(室速发作时患者呼吸困难,收缩压仅为60-70mmHg),数次处于濒死边缘,ICD联合药物治疗效果差,因此最好的方法是行射频消融以治疗频繁发作的室速,但消融术中需要诱发室速,以便定位病灶,室速持续发作极有可能导致循环崩溃,手术难度大,风险高。另外,患者为扩张型心肌病,根据室速发作时的心电图特征分析,室速很可能起源于心外膜,心外膜室速消融需要行干性心包穿刺,患者心室壁肌菲薄,有穿破心肌、损伤冠脉导致心包填塞的风险。且心外膜室速标测难度更大,消融风险更高。能否维持患者术中血流动力学及生命体征的稳定,给予充足的室速标测时间,是手术成功与否的关键”。

图片

术前室速发作时心电图(ICD行ATP治疗终止室速)

攻坚克难

ECMO是进行生命支持的一把“利器”,可以对重症心、肺功能衰竭患者进行长时间心肺支持,为危重症患者的抢救赢得宝贵时间。ECMO支持下即使术中发作室速也能有效维持循环,保障患者的生命安全。结合本病例的特殊情况,武汉协和医院多学科团队会诊协商后决定在全麻及ECMO支持下进行此例室速的消融治疗。

手术于10月12日上午在心脏介入中心实施。为保障患者术中安全,麻醉科对患者进行气管插管、有创机械通气,并进行全身麻醉。心内科电生理团队迅速完成经剑突下途径干性心包穿刺后,心内科ECMO团队在血管外科的积极配合和保障下顺利完成ECMO动、静脉插管和ECMO的运行,运行过程中患者生命体征稳定,ECMO运行状态良好。

图片

经剑突下途径干性心包穿刺

因患者超声心动图提示左室下侧壁基底段呈瘤样膨出,故首先行冠脉造影检查,结果未见明显异常,排除冠脉病变。之后在窦性心律下行心内膜侧电压标测,未发现有低电压区,提示心内膜基质无明显异常;继而经心包行心外膜面电压标测,在左室下侧壁室壁瘤区附近发现大片低电压和瘢痕区以及异常心室激动电位。在诱发室速后行激动标测时,患者心室率高达270bpm,甚至蜕化为室扑、室颤,心脏停止有效射血,有创血压的压力波形曲线消失,ECMO的支持有效地维持了血压、血氧,阻断了循环崩溃,同时,在ECMO的强力支持下,术者有充足的时间进行激动标测,无需为维持血流动力学而立即电击复律,为手术的顺利完成赢得了宝贵的时间和机会。之后,在冠脉造影引导下,确定消融区域避开了冠状动脉后,在低电压区域内进行基质改良消融。最后通过心室程序刺激证实无临床持续性室性心动过速发作,提示消融成功。术后ECMO顺利撤机,患者转入CCU病房未再发作室性心动过速,术后七天好转出院。

图片

心外膜基质标测:青点和蓝点为不同形态LAVA电位

图片

冠脉造影及大头电极消融靶点位置

图片

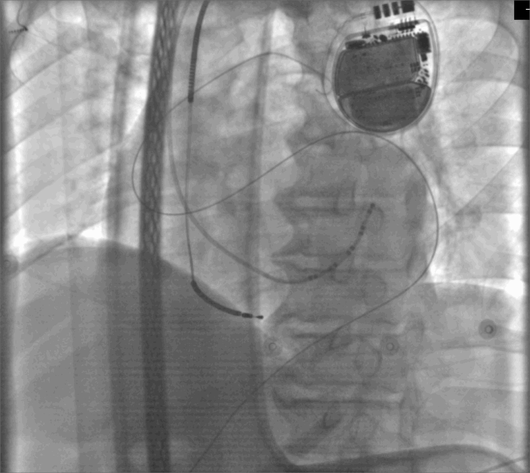
激动标测:室速发作,大头电极记录到舒张中期电位,提前体表QRS波77ms,考虑该处可能为室速发作时的关键峡部,于此处放电,室速终止

图片

术中室速发作, 患者心室率高达270bpm,心脏停止有效射血,有创血压的压力波形曲线(绿色曲线)消失ECMO支持下平流血压72mmHg

图片

手术团队人员名单:程翔、陈志坚、魏宇淼、张家明、张敏、帅欣欣、周彦兆、余刘玉、杨先杰、李海涛、夏程琨、王丹、孙春花

器质性室速的消融治疗在世界范围内仍是难点,对手术团队及术者的要求极高。对于血流动力学不稳定的器质性室速,在ECMO辅助下行射频消融更安全、更高效。武汉协和医院心内科作为华中地区唯一的一家集国家重点学科、国家临床重点专科、国家区域医疗中心试点输出单位为一体的大型临床、科研和教学中心,将为更多高危复杂心律失常患者带来福音!

(张敏,周彦兆)

专家简介

图片

程翔

华中科技大学同济医学院附属协和医院

所在科室:心血管内科

职称:心内科主任、主任医师、二级教授、博士生导师

专业专长:擅长冠心病介入治疗和血脂异常的诊治

简介:教育部长江学者特聘教授,国家杰出青年基金获得者,美国心脏病学院Fellow(FACC)。中国医师协会心血管内科医师分会委员,中华医学会心血管病学分会青委会副主委,武汉医学会心血管病学分会主委,湖北省医学会心血管病学分会副主委。《临床心血管病杂志》常务副主编,《中华心血管病杂志》编委。主持国家自然科学基金九项,教育部新世纪优秀人才支持计划一项。以通讯作者在Circulation, J Am Coll Cardiol, Eur Heart J等杂志发表SCI论文40余篇。获树兰医学青年奖和省科技进步一等奖各一项,参编《心血管内科学(第3版)》、《心脏病学》等专著,获国家发明专利一项。

图片

陈志坚

华中科技大学同济医学院附属协和医院

所在科室:心血管内科

职称:教授,主任医师,博士生导师,心内科副主任。

简介:中华医学会心血管病学分会心律失常学组委员、中国医师协会心血管内科医师分会心律失常专业委员会委员、中国医药生物技术协会心电学技术分会委员、国家卫健委脑卒中防治专家委员会房颤卒中防治专业委员会委员、中国心胸血管麻醉学会基层心血管病分会常委、中国研究型医院学会心房颤动专业委员会委员、中国中药协会微循环用药专业委员会常委、湖北省医师协会心律学专业委员会副主任委员、湖北省卒中学会常务理事、湖北省心血管内科质量控制中心办公室主任、武汉市医学会心电学专业委员会副主任委员、武汉市医学会心血管病学分会心律失常学组组长。《中华诊断学电子杂志》、《临床心血管病杂志》、《临床急诊杂志》、《临床内科学》常务编委。独立承担国家自然科学基金面上项目3项,参加国家级课题(包括973计划和863项目)数项,发表专业学术论著40余篇。

图片

魏宇淼

华中科技大学同济医学院附属协和医院

所在科室:心血管内科

职称:心内科副主任、主任医师、教授、博士生导师

专业专长:急性心肌梗死、重症心力衰竭、休克及多脏器衰竭、心血管疑难杂症、冠心病介入诊疗

简介:华中科技大学同济医学院医学博士毕业,曾公派美国弗吉尼亚联邦大学学习一年,获得并主持国家自然科学基金六项,发表文章二十余篇。为中华医学会心血管病学分会心血管急重症学组委员,中国心衰中心联盟委员,湖北省医学会心血管病学分会委员,武汉市医学会心血管病学分会血脂与动脉粥样硬化学组副组长。心血管专科医师规范化培训导师,心血管介入诊疗培训导师。

阅读数: 732