2021年10月(总第3期)
外科瓣膜置换术后瓣周漏(PVL)是人工心脏瓣膜置换术后特有的并发症,也是最常见的换瓣后再手术的原因。根据瓣周漏位置可以分为主动脉瓣瓣周漏、二尖瓣瓣周漏、三尖瓣瓣周漏、联合瓣膜瓣周漏,其中二尖瓣瓣周漏最为常见。相比再次开胸瓣周漏修补或再次换瓣手术,瓣周漏封堵创伤小,风险小,不需体外循环心脏停跳,是危重患者首选治疗方式。主动脉瓣瓣周漏好发部位多在外科视角4-9点位置,即右冠-右无交界位置;二尖瓣瓣周漏多见在外科视角9点和2点附近,即内外交界位置。主动脉瓣PVL封堵技术相对简单,二尖瓣PVL由于入路多弯操作相对难度大,需要根据患者具体解剖结构选择最优路径。
外科解剖学瓣周漏位置
二尖瓣瓣周漏封堵路径(左房顺行途径、左室逆行途径、经心尖入路途径)
患者情况
男,63岁,16年前因“感染性心内膜炎”行二尖瓣、主动脉瓣机械瓣置换术,1月前患者乏力、多汗,外院就诊行超声心动图检查提示:双瓣置换术后,二尖瓣瓣周漏,建议来我院进一步治疗。
超声检查
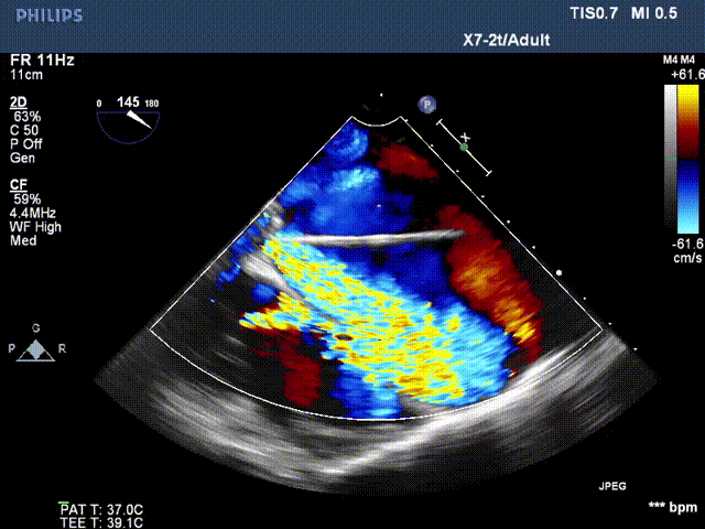
患者二尖瓣机械瓣瓣周可见两处间隙,分别位于10点位、1-2点位,大小分别约为:10点位7×5mm,1-2点位10×4mm,彩色血流提示二尖瓣位瓣周返流(两束,大量),主动脉瓣位机械瓣上血流速度正常,瓣周未见明显返流。
心脏超声可见两处二尖瓣瓣周漏
手术操作
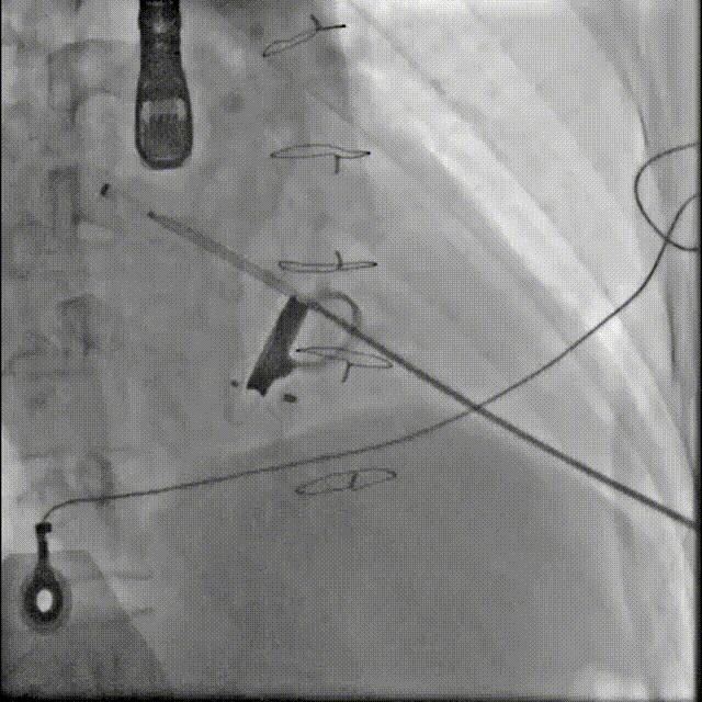
1.患者平卧位,食道超声检查瓣周漏位置及大小,并引导穿刺心尖,选择7F鞘管通过10点位置瓣周漏口,将单弯导管送入左心室,置换超硬导丝至左心室,选择12-14mmPDAO封堵10点位漏口。
3.选择7F鞘管通过1-2点位置瓣周漏,彩超显示鞘管对瓣周漏口的影响较小,结合漏口大小,选择14-16mmPDAO封堵此处漏口。
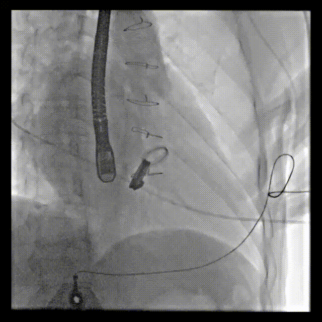
5.最后结合超声及造影,检查在经皮心尖穿刺过程中是否造成左冠脉损伤,以及心尖封堵是否成功、有无出血、胸腔积液、心包填塞等并发症。
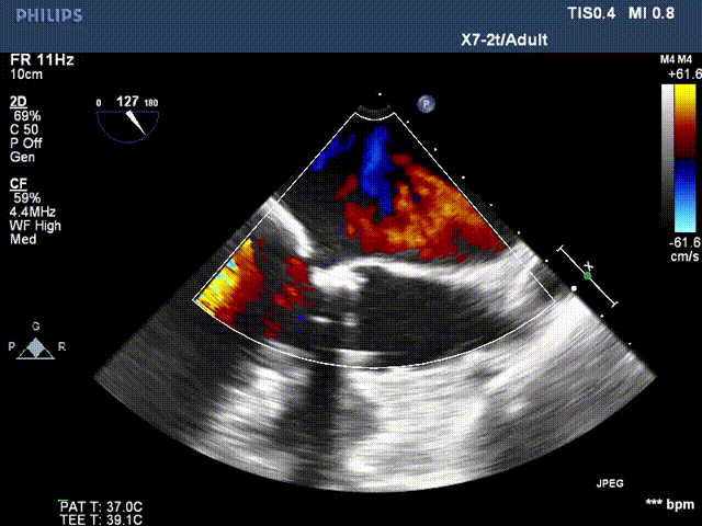
术后封堵器形态位置
术后转归
手术全程顺利,术中出血100ml,使用造影剂40ml,共计用时1小时50分钟,术后患者无不适,安全返回普通病房,并于3天后出院。
经验体会
对于主动脉瓣及二尖瓣双机械瓣置换后的二尖瓣瓣周漏患者,采用“主动脉-左心室“入路的逆行途径封堵漏口时,鞘管将影响主动脉瓣金属瓣叶的活动,导致血流动力学不稳定,从“下腔静脉-房间隔-左心房“顺行途径入路时,由于封堵器在漏口处处于逆血流方向,大部分情况下,尤其间隔侧的瓣周漏应用该途径通过漏口的几率较低,虽然有研究者提出或可采用经上腔静脉入路减小输送鞘角度,但无论采取哪种外周入路途径封堵瓣周漏,都存在路径长,可控性差、手术时间久的问题,因此,这类患者可采用心尖入路封堵漏口。
专家简介

心血管外科一病区主任,博士研究生导师。曾于德国洪堡大学Charité医学院、德国柏林心脏中心、美国Cleveland Clinic医学中心等国际知名医学中心访问研修。担任美国心脏协会专家会员(FAHA)、 美国心脏病学会专家会员(FACC)、中国医师协会心血管外科医师分会结构性心脏病专业委员会副主任委员、中华医学会胸心血管外科分会第九届委员会青年委员、陕西省医疗器械不良事件监测专家咨询评价委员会专家。获聘陕西省中青年科技创新领军人才、陕西省科技创新团队带头人,为陕西省自然科学基础研究计划杰出青年科学基金项目获得者、西安交通大学兼职教授。担任Eur Heart J, BMJ,AJC等杂志特邀审稿人,《中华胸心血管外科杂志》、《心脏杂志》、《中国体外循环杂志》、《心血管外科杂志》、《精准医学杂志》编委。临床专长于复杂结构性心脏病的微创及介入治疗,在国内较先开展了经导管肺动脉瓣置换、主动脉瓣置换、二尖瓣修复、二尖瓣置换以及瓣周漏封堵等创新性技术。主要科研方向为结构性心脏病诊疗新技术以及心肌细胞损伤修复、重构和再生的临床转化研究。在微创心血管器械研发、临床转化及以3D打印为主的多模态影像学评估方面有一定建树。先后在Eur Heart J,JACC等国际期刊上以第一或通讯作者发表SCI论文30余篇,被Circulation,JACC等国际权威杂志引用500次,承担十三五国家重点研发计划、国家自然科学基金等10余项基金,经费1000余万元。荣获国家科技进步二等奖、中华医学科技一等奖、中华医学会胸心血管外科分会Lillehei奖学金“菁英奖”、中国医师协会胸心血管外科分会优秀青年医师“杏林奖”等奖励。授权国家专利20余项,出版专著、译著12部。

心血管外科博士,副教授,硕士生导师。美国马里兰大学医学院博士后。国家心血管病专家委员会微创心血管外科专业委员会委员。专注心血管疾病微创治疗。先后开展经皮微创介入瓣膜病修复及置换术,瓣膜置换术后瓣周漏介入封堵术,主动脉缩窄球囊扩张支架置入术,冠状动脉漏介入封堵术等多项心血管疾病微创治疗新技术。在国内外发表研究论著50余篇,其中SCI论著18篇;主持军队重大专项子课题1项,国家自然科学基金1项,军队及省部级课题各3项;参加“863”重点课题,“十二五”、“十三五”国家重大科技专项等课题13项。获国家专利11项;副主译专著1部,参编专著8部。先后获得美国ASAIO青年医师奖,Euro-ELSO青年研究者奖,中国医师协会心血管外科分会杏林奖,中华医学会胸心血管外科分会Lillehei 奖学金及厄尔巴肯奖学金。