周周寄语:
自开展TAVR术式以来,广东省人民医院罗建方教授、范瑞新教授、李捷教授已完成数例ECMO支持下TAVR手术,对ECMO支持下TAVR术式有一些思考,以供和各位同道交流。

本例患者行ECMO辅助主要原因有两个:第一,虽然患者流速有4米,但是EF只有21%,属于极低EF,临床上既往有主动脉置换术的病史,STS评分高危;第二,患者解剖上属于开放性流出道,瓣膜移位风险较高,升主动脉较小,可能给瓣中瓣操作带来困难。基于以上两点,为了尽可能平稳手术,故选择ECMO辅助TAVR。
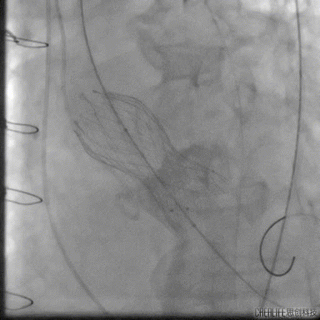
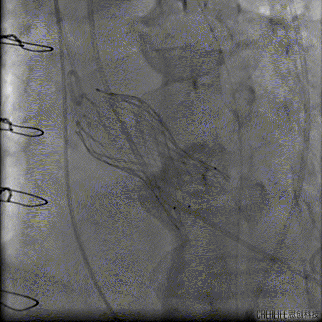
解剖上,这个患者虽然是右无融合的二叶瓣,但是右窦发育较小,形态上接近0型二叶瓣,瓣上钙化中,且集中在左窦,接近左右瓣叶联合部。瓣环及流出道平面较大,而瓣上结构较小,瓣叶联合部距离只有26,这种情况下只能考虑根据瓣上结构进行选择瓣膜。目标瓣膜为26号,为了避免破坏瓣上结构,我们选择26瓣膜的下限20号瓣膜进行与扩张。因为主动脉弓和升主动脉角度问题,没有选择plus。20球囊扩张可以看到左窦钙化很硬,右无联合可以推开,没有反流,故选择26号瓣膜,高位释放。释放后瓣膜下滑到标准位,有明显的腰,故用20球囊进行后扩展。最后造影虽然有中度瓣周漏,但是考虑患者狭窄解除,且升主动脉人工血管限制了瓣膜的流出端,未再行瓣中瓣。术中撤除ECMO,辅助循环约1小时。
对于复杂危重患者,ECMO辅助可以让手术更加平稳,这类患者行TAVR治疗以救命为主,术中不需要追求完美,达到既定目标既可收手。
病例情况:
患者男,73岁;
主诉:反复胸闷气促伴双下肢水肿6个月,加重19天;
现病史:6月前患者无明显诱因出现胸闷气促,伴双下肢水肿,不伴胸痛,不伴头晕头痛,不伴恶心呕吐,不伴咳嗽咳痰,遂于2021—5—13就诊于外院,心脏超声示:主动脉瓣重度狭窄伴轻度关闭不全,二尖瓣、三尖瓣重度反流,全心增大,中度肺高压,CTA 示:1主动脉瓣钙化伴主动脉瓣口狭窄;2.升主动脉置换术后:3.主动脉、双侧骼总动脉、骼内外动脉粥样硬化,右侧髂外动脉管腔轻度狭窄,右侧髂总动脉局部瘤样扩张;4左右冠脉壁钙化。予以对症处理后出院。此后症状反复发作,19天前患者自觉症状较前加重,偶有头晕头痛,遂就诊外院,心脏超声示:主动脉瓣钙化并重度狭窄及轻度关闭不全,全心增大,二尖瓣重度反流,三尖瓣中度反流,肺动脉高压(中度),双侧胸腔少—中度积液,建议患者行 TAVR 术,患者拒绝手术,予以抗心衰等对症治疗后出院。今为进一步治疗,就诊于我院门诊,门诊拟诊“主动脉瓣狭窄”收入我区,精神、食欲、胃纳一般,大小便无异常,近期体重无减轻。拟行TAVR术式。
患者既往行全升主人工血管置换,为type1型二叶瓣畸形患者,瓣环28.7,左室流出道30.2,二叶瓣鱼嘴短径为26.6,重度钙化,左右冠分别为12.7与15.1,STJ30.8,升主均径人工血管为27.7,患者EF值极低,心功能极差,遂行ECMO辅助下TAVR术式。
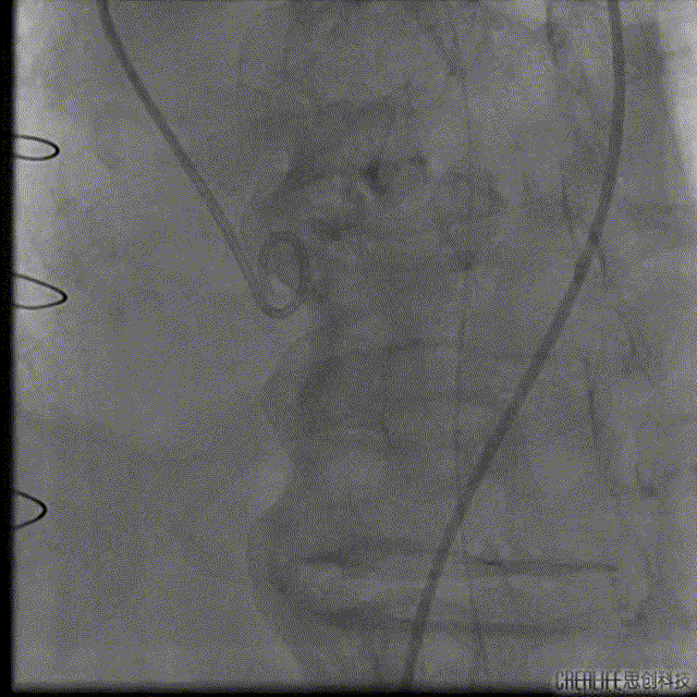
根部解剖:
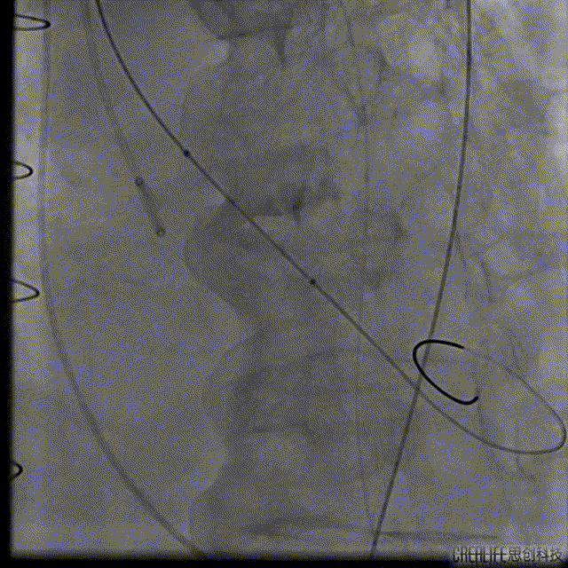
手术过程:
Numed20后扩
术后:
患者跨瓣压差消失,轻中度瓣周漏,ECMO成功撤机后转入CCU,6天后转入普通病房,出院前超声显示EF值已提升为40%,患者症状改善,随后出院。
专家介绍

医学博士、主任医师、博士生导师。现任广东省人民医院心内科副主任,广东省人民医院南海医院院长、广东省人民医院血管病诊疗中心主任、广东省冠心病防治研究重点实验室副主任。
学术任职:美国心脏病学院Fellow (FACC)、欧洲心脏病协会Fellow (FESC)、美国心血管造影与介入学会Fellow (FSCAI)、首批Global Hybrid Algorithm Community国际认证Hybrid CTO带教专家、卫生部心血管疾病介入诊疗培训基地(冠心病介入治疗)导师。
中华医学会心血管病学分会大血管学组副组长、中国研究型医院学会心血管影像专业委员会副主任委员、中国研究型医院学会血管医学专业委员会副主任委员、中国医疗保健国际交流促进会血管疾病分会副主任委员、中国医疗保健国际交流促进会难治性高血压与周围动脉病分会副主任委员、中国医药教育协会血管医学分会副主任委员、广东省介入性心脏病学会周围血管介入分会主任委员、广东省医师协会心血管介入医师分会副主任委员、广东省医师协会心血管内科医师分会常务委员、广东省医学会心血管病分会结构性心脏病学组副组长等。
血管疾病多学科协作论坛(VMDT)执行主席、冠心病与周围血管介入沙龙(CPIS)执行主席、亚太CTO俱乐部广州峰会共同执行主席、亚洲心脏病学会年会秘书长等。
技术特长:擅长复杂冠脉病变、主动脉疾病、瓣膜疾病、周围血管病等的介入治疗。在国内率先开展脑保护装置下颈动脉介入治疗、经桡动脉行肾动脉介入治疗、快速起搏与经皮穿刺主动脉腔内修复术(TEVAR),2016年4月完成华南地区首例经导管主动脉瓣置换术(TAVR),2019年2月成功实施全球首例经股动脉途径TAVR联合TEVAR一站式手术,团队整体TAVR手术量已超过500台,已经帮助全国100家中心开展TAVR手术。
科研成果:获中国医药教育协会科学技术奖二等奖1项、广东省科学技术奖二等奖2项、三等奖2项。参编学术专著6部,发明专利4项,发表学术论文100余篇。先后承担省市级课题数项,培养硕博士20余人,目前在研经费超过500万元。

医学博士,副主任医师,硕士导师。
学术任职:中国医师协会心血管病分会结构组委员;广东省介入性心脏病协会结构分会常务委员;广东省医师协会心血管介入医师分会委员;广东省医师协会高血压分会青年委员;广东省医院协会心血管质控管理分会结构性心脏病学组委员;中国大湾区心脏协会精准诊疗分会委员;中国结构周秘书长;血管疾病多学科协作论坛(VMDT)秘书。
技术特长:擅长经导管主动脉瓣置换术,手术量超600台,帮助全国70多家中心开展TAVR手术。擅长复杂冠脉病变、主动脉疾病、瓣膜疾病、周围血管病等的介入治疗。