2021年10月13日,在中国结构周2021“左心耳及其他”频道手术转播中,温州医科大学附属第二医院李岳春教授团队完美演示了一例LAmbre™高难度菜花型左心耳封堵术。患者心耳梳状肌非常发达,收缩力极强,为封堵器的展开带来了巨大的挑战,李岳春教授团队通过精准选型及灵活运用LAmbre™左心耳封堵器独特的“推送式”植入法,最终实现了完美的封堵效果。本次手术的成功彰显了温州医科大学附属第二医院李岳春教授团队娴熟的操作技巧,同时也为此类复杂左心耳的封堵提供了绝佳的示范与启发。
病例介绍
风险评分:卒中评分:CHA2DS2-VASc=4,出血评分:HAS-BLED=2。
手术策略
对于症状性阵发性房颤多年的患者而言,导管消融为其节律控制的最佳选择,但该患者栓塞事件的风险也不容忽视。消融合并左心耳封堵“一站式”手术为患者上“双保险”,将房颤卒中扼制在摇篮内,避免长期服用口服抗凝药,故拟行“射频消融+左心耳封堵”一站式手术。
手术过程
① 射频消融
患者在局麻下行“射频消融+左心耳封堵”一站式手术,通过Ensite系统三维成像左房及肺静脉,遂在左右肺静脉前庭行大环状电隔离,直至上下肺静脉电位完全消失,然后予以心房Burst刺激及异丙肾上腺素静滴均不能诱发房性心律失常。
②左心耳封堵
行左心耳头位和足位造影,造影显示左心耳为菜花型。锚定区约为20mm,开口区约为24mm,依据选型原则,拟选LAmbre™2228封堵器或2430封堵器。
图1:RAO30° CRA20° 头位造影
图2:RAO30° CAU20° 足位造影
图3:DSA测量图
手术难点:封堵器型号选择至关重要,直接影响到心耳的封堵质量和手术效果。
LAmbre™2228型号:
优势:固定盘能完全展开,形态和稳定性良好。
劣势:封堵盘释放后大概率会陷入囊袋内,形成残腔。上缘残腔往往是DRT发生的高风险区域,是术后并发症的一大高危隐患。
LAmbre™2430型号:
优势:封堵盘可盖在嵴外将口部完全封堵,大大减少术后DRT风险。
劣势:心耳空间有限,24mm固定盘的展开将面临较大的张力,或无法完全展开。
综合考虑以上2种型号的利弊和心耳的实际情况,李岳春教授选择LAmbre™2430封堵器并采用 “推送式”植入法打开封堵器,口部半打开固定盘,整体推送到达理想区域后再完全展开固定盘。切线位观察固定盘U型钩与连接件位于同一直线上,且受力均匀,形态良好。
图4:固定盘口部半展开
图5:推送固定盘到理想区域后完全打开
完全展开封堵器后评估:封堵盘此时置于嵴内,不符合预期。李教授通过牵拉操作,使封堵盘成功盖在嵴外,且固定盘锚定良好,非常稳定。释放后再次评估,超声及造影证实封堵器恰能完全覆盖心耳,满足COST原则,结束手术。
图6:DSA下牵拉测试图
图7:DSA评估图
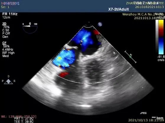
图8:TEE评估图
图9:释放封堵器
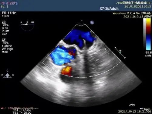
图10:释放后TEE再次评估封堵效果
术后总结
据统计,温州医科大学附属第二医院(以下简称“温医大附二院”)自2018年至今已完成600余例左心耳封堵手术,其中LAmbre™左心耳封堵术达200多例,75%为“左心耳封堵+消融”一站式手术,总体成功率高达99%,严重并发症为0例,有效保障了患者的手术安全性。温医大附二院不仅为众多房颤患者卒中预防带来了福音,也推动着地区左心耳封堵学科的蓬勃发展。
同时,李岳春教授认为左心耳封堵手术治疗的完全成功与术后的抗凝效果是密不可分的,很多患者在完成手术后,往往忽略了抗凝治疗的重要性,导致器械相关血栓形成。作为临床医师,我们应该主动地担负起监督工作,加强患者教育、积极随访,督促患者规律服药,以降低器械表面血栓风险。温医大附二院一般建议患者术后服用3个月新型口服抗凝药(利伐沙班)10 mg bid进行抗凝,不仅可以有效减少器械表面血栓风险的发生,同时降低大出血事件的发生。同时中心出院后全程管理,密切跟踪随访,术后患者影像学整体随访率高达90%以上。
专家简介

主任医师,博士研究生导师,温州医科大学附属第二医院心血管内科副主任,卫生部心律失常介入培训导师,中国房颤中心联盟左心耳封堵学组常务委员,中国心律学会左心耳封堵学组委员,浙江省心血管病学会心源性卒中学组副组长,长三角心血管联盟心源性脑卒中防治专业委员会常委,左心耳封堵全球带教专家。首批浙江省高校领军人才,浙江省高校中青年学科带头人,浙江省151人才第二层次,浙江省卫生创新人才,浙江省首届医坛新秀,温州名医,温州市十大杰出青年,国家自然科学基金通讯评审专家,以第一或通讯作者在《JAMA Internal Medicine》、《Circulation: Arrhythmia and Electrophysiology》、《JACC Clinical Electrophysiology》、《Heart Rhythm》等专业期刊发表SCI论文40多篇。特别擅长心房颤动的射频消融术和左心耳封堵术,多次在全国心血管病大会上手术演示心房颤动的射频消融术、左心耳封堵术以及“一站式”手术。已在国内20多家三甲医院手术演示和带教。2019、2020连续2年心房颤动“一站式”和左心耳封堵术手术量居浙江省前2位。擅长房间隔缺损和卵圆孔未闭封堵术。擅长心脏起搏器植入术。完成浙江省第一例脑保护装置下左心耳口部血栓封堵术。完成温州地区第一例AMPLATZER卵圆孔未闭封堵术。