2021年10月10日,高州市人民医院心脏外科陈凯明、刘浪教授团队使用VitaFlow Liberty™可回收电动输送系统完成一例重度纯返流主动脉瓣置换。在医院多学科的共同协助配合下,手术顺利完成。此次手术的成功,标志着高州市人民医院心脏外科团队的主动脉瓣治疗(TAVR)水平全面进入电动可回收新时代。
病史简介
患者
男,70岁。
主诉
反复胸闷气短1年余,加重3天,有高血压、慢性支气管炎并肺气肿、冠状动脉支架植入术病史。
患者近3天轻活动后胸闷、气促,偶有夜间阵发性呼吸困难,无明显胸痛,间中腹胀、腹痛,拟“心力衰竭 冠心病”急诊入院。
术前检查
心脏彩超
主动脉瓣舒张期见中-大量红色返流,返流面积10.32cm2;
左室射血分数EF值:46%;
左室舒张末期内径(LVD):50 mm;
升主动脉增宽;
左房增大并左室增大,左室壁运动异常;
主动脉瓣评估:主动脉瓣重度关闭不全。
主动脉CT
药物&手术治疗策略
策略制定
陈凯明、刘浪教授团队术前总结了该病例特点:此例患者为单纯主动脉瓣返流,升主动脉直径41mm,瓣环周长79.8 mm,流出道周长86.2 mm,左心室扩大明显,特别是主动脉瓣环和瓣叶没有钙化组织, 升主动脉增宽, 喇叭口型左室流出道。这些特殊解剖特点使TAVR支架瓣膜锚定难度大,术中或术后可能出现瓣膜移位等严重并发症。这使得瓣膜的精准定位和释放极为关键。
经过反复评估和研讨后,考虑国内首创的电动可回收输送系统, 以及VitaFlow Liberty™瓣膜的长裙边能提供足够的锚定空间,比较合适类似病例,可以实现快速稳定且较为精准的释放、回收、及瓣膜锚定。最终决定右股动脉入路、植入30型号瓣膜,监护麻醉,经右侧股动脉行TAVR,临时起搏器起搏,植入VitaFlow 30瓣膜。
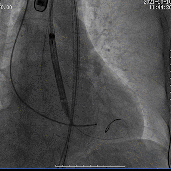
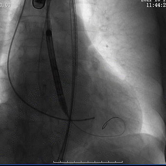
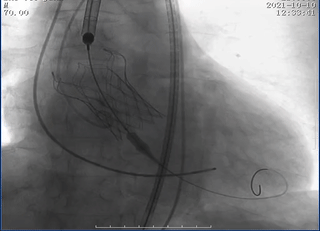
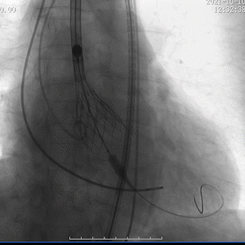
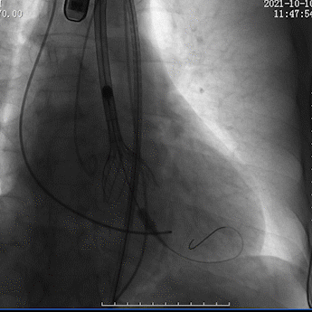
术中操作

瓣膜回收调整位置
瓣膜再定位
瓣膜植入较深
瓣膜再回收调整
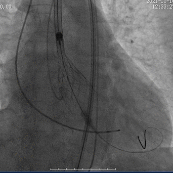
瓣膜释放至可回收极限处造影
瓣膜完全释放后造影
结 语
在多学科协作下,高州市人民医院心脏外科陈凯明、刘浪教授团队完成首例VitaFlow Liberty™主动脉瓣置换。经过2个小时紧张有序的操作,术中借助VitaFlow Liberty™的可回收技术,帮助瓣膜精准定位植入,术后造影检查和心脏彩超评估瓣膜形态活动良好,没有瓣周漏。手术取得圆满成功,患者心功能改善显著,次日转回普通病房。
自2010年中国首例TAVR完成至今,此项技术已取得突飞猛进并逐渐成熟。高州市人民医院心脏外科(三区)TAVR团队在陈凯明、刘浪主任带领下锐意进取,开展了多项高精尖新技术如经导管主动脉瓣置换术(TAVR)和先天性心脏病介入封堵术等。陈凯明、刘浪主任的TAVR团队可根据瓣膜病变和血管入路的具体情况,个体化选择经股动脉、锁骨下动脉、经颈动脉以及经心尖等途径完成TAVR手术,治疗危重主动脉瓣返流和主动脉瓣狭窄,挽救了大量危重患者的生命,此手术的成功开展将进一步提高手术的安全性和有效性,降低并发症发生率和提高瓣膜的耐久性,为更多心脏瓣膜疾病患者带来福音。
VitaFlow LibertyTM是目前全球唯一一款商业化的电动可回收TAVR系统,其创新性的电动输送系统,在实现稳定精准释放回收的同时,也为术者提供了更好的操控体验;另外VitaFlow LibertyTM是目前国内商业化输送系统中唯一可实现瓣膜段360度弯曲功能的输送系统。其较好的柔顺性可有效减少对血管损伤的风险。VitaFlow LibertyTM继承了心通医疗第一代TAVR产品- VitaFlow®的混合密度支架结构,继续使用具有更好耐久性的牛心包做为瓣叶材料,且其合理的双层裙边设计能更大范围有效封堵瓣周漏。
专家简介

陈凯明
心血管外三科主任,主任医师,广东省心血病中心专家委员会特聘专家,岭南名医。从事心外科逾20年,独立主刀各种心外科手术逾3500例,不受年龄、体重、病种限制,擅长重症心脏瓣膜病、重症冠心病、复杂先天性心脏病的外科手术治疗,近年来致力于全胸腔镜心脏手术、小切口心脏手术、经导管主动脉瓣置换术、先天性心脏病介入手术、微创不停跳冠脉搭桥手术等微创手术。担任亚洲心脏瓣膜学会中国分会委员,中国研究型医院学会心脏瓣膜病学专业委员会委员,广东省医师协会心外科分会常委,广东省医学会微创外科学分会委员,广东省胸部疾病学会心血管外科专业委员会委员,是高州市第五批市管优秀专家和拔尖人才,高州市第五批创新型领军人才;获茂名市科技进步奖三项。

刘浪
副主任医师,中共党员,从事心血管外科工作10多年,曾在广东省心血管病研究所进修一年,获国家卫生部认证授予的先天性心脏病介入诊疗技术资质。任广东省医学会心血管学分会结构性心脏病学组成员,广东省介入性心脏病学会委员,广东省医师协会小儿心血管病分会委员。获茂名市科学技术进步奖二等奖、三等奖5项,10余篇论文发表在国家级中文核心、科技核心等专业医学杂志。擅长先天性心脏病的外科及微创不开刀介入手术,重度肺动脉高压左右心导管检查术,复杂先心病镶嵌(杂交)手术,风湿性心脏病的瓣膜置换或成形术,冠心病冠脉搭桥术,心脏肿瘤手术,经皮导管微创主动脉瓣置换术(TAVR)等。成功实施粤西首例经心尖导管主动脉瓣生物瓣置换(TAVR)+冠状动脉支架植入(PCI)同期手术。
擅长领域:
1、先天性心脏病微创不开刀介入封堵术;2、先心病外科手术(包括小切口、经胸封堵术);3、风湿性心脏病、老年性退行性心脏病瓣膜成形术或人工瓣置换术;4、冠心病冠状动脉搭桥术,心梗后室间隔穿孔介入封堵术;5、心脏肿瘤切除术;6、重度肺动脉高压,左右心导管检查评估肺动脉压力和肺血管阻力。靶向药物降肺动脉压力;7、高龄重症心力衰竭主动脉瓣狭窄或关闭不全的经皮导管、经心尖主动脉瓣生物瓣置换手术(TAVR);8、心房颤动的左心耳介入封堵术。每年主刀完成的先天性心脏病微创不开刀介入手术位于省内前列。
