CMC Week 2021开启中国微创心血管外科新篇章

微心科技,创聚未来

——CMC Week 2021 中国微创心血管外科大会

暨2021中国微创心外科手术直播周


图片

CMC Week2021 心外科手术直播周 正式启动

2021年10月19日,CMC Week 2021 中国微创心血管外科大会暨2021中国微创心外科手术直播周启动仪式隆重开始,来自中国医学科学院阜外医院、复旦大学附属中山医院、华中科技大学同济医学院附属同济医院、首都医科大学附属北京安贞医院、浙江大学附属第一医院、海军军医大学附属长海医院,台湾亚东纪念医院等多家顶尖医疗机构的多位行业专家齐聚线上,中国工程院院士、国家心血管病中心主任、中国医学科学院阜外医院院长胡盛寿教授,国家心血管病中心党委书记、中国医学科学院阜外医院党委书记郑哲教授,CMC大会主席、复旦大学附属中山医院心脏外科主任王春生教授,华中科技大学同济医学院附属同济医院心脏大血管外科主任魏翔教授,台湾亚东纪念医院副院长兼心外科主任邱冠明教授分别发言。
胡盛寿院士表示微创是心血管外科的重要发展方向,遥远距离不会阻隔人们的交流热情,对本次CMC Week 2021 中国微创心血管外科大会暨2021中国微创心外科手术直播周的办会理念和组织给予高度肯定,并为本次线上直播送上美好祝愿。    
郑哲教授对本次会议召开表示热烈祝贺,特别强调了微创技术规范发展和年轻医生规范培训的重要性。
王春生教授回顾了CMC的历史,介绍了近年来国家微创心血管外科专业委员CMICS在国家心血管病中心领导下,为推动中国微创心外科事业发展做出的努力。
魏翔教授作为本次会议的东道主介绍了会议的组织情况,并热烈欢迎全国心外科同道周末汇聚武汉。
邱冠明院长回忆了参加往届CMC的愉快经历,介绍了台湾地区微创心外科开展的基本情况,表达了海峡两岸心外科同道加强交流的美好愿望。最后魏来秘书长宣布2021中国微创心血管外科大会暨中国微创心外科手术直播周正式启动。
图片
图片
图片
图片


启动仪式过后,本次线上直播正式开始。
19日手术直播共6场,分别由中国医学科学院阜外医院王欣、华中科技大学同济医学院附属同济医院魏翔、首都医科大学附属北京天坛医院徐东、上海交通大学附属瑞金医院王哲、南京大学医学院附属南京鼓楼医院周庆、南京市第一医院张雷杨六位教授主刀。
直播上半场由中国医学科学院阜外医院郑哲教授、台湾亚东纪念医院邱冠明教授、浙江大学医学院附属第一医院倪一鸣教授、首都医科大学附属北京安贞医院尤斌教授、复旦大学附属中山医院魏来教授、海军军医大学附属长海医院韩林教授共同主持。

CMC Week 2021


手术直播(一):微创二尖瓣成形术

主刀:王欣教授
中国医学科学院阜外医院
图片
图片
患者25岁男性,近3年来出现胸闷不适,心慌心悸,患者未予重视,近期症状反复发作加剧,就诊于当地医院并诊断为心脏瓣膜病,二尖瓣大量返流,因常规开胸手术创伤大选择微创成形手术治疗。且瓣膜成形若不满意,则面临人工瓣膜置换,长期抗凝治疗的后果,对于患者远期生活质量影响巨大。
术前经王欣教授团队为其充分术前评估,考虑患者虽然二尖瓣瓣叶脱垂病变范围广,瓣叶、瓣下结构病变复杂,但脱垂尚局限于前叶,且进一步精确定位,考虑A2,A3区受累为主,并可见腱索断裂,致瓣膜关闭不全。具备行二尖瓣成形修复手术的条件,且考虑患者对微创手术的需求,遂决定行胸腔镜下二尖瓣成形术。
图片
术中王欣教授团队以3D胸腔镜提供高清术野,右侧前外侧肋间小切口入路进行手术。术中探查见二尖瓣前叶脱垂病变范围广,后内侧乳头肌发育差。王欣教授采用LOOP技术,经仔细测量,分别植入3根人工腱索,最后植入二尖瓣成形环。术后食道超声结果显示二尖瓣返流消失,成型效果满意。
图片

近年来瓣膜成形手术的理念与技术迅速发展,显著改善患者生活质量。阜外医院王欣教授团队率先开展二尖瓣成形手术常规微创化,以3D胸腔镜提供高清术野,外侧肋间小切口入路,虽然操作较常规开胸手术复杂,但具备显露清晰、创伤小、术后恢复快等优势。经微创切口术中可精准完成瓣环、瓣叶、瓣下结构成形,并率先开展应用LOOP技术,成形成功率高,效果确切,为广大患者提供了新的选择。



手术直播(二):微创主动脉瓣置换术

主刀:魏  翔教授

华中科技大学同济医学院附属同济医院

图片
图片
患者46岁女性,1周前因活动后胸痛就诊,心脏超声检查结果显示:主动脉瓣重度关闭不全,左室明显扩大。患者拒绝开胸手术,辗转多家医院寻求微创手术的办法。术前魏翔教授团队进行了充分的术前评估,该患者手术指征明确, CT提示1/2升主动脉位于胸骨右缘,遂决定行肋间小切口主动脉瓣机械瓣置换手术。
术中取胸骨旁右侧第二肋间5cm切口入路,股动脉、股静脉、颈静脉入路建立体外循环,经肺静脉置左心引流管。术野显露清晰,充分显露了主动脉根部结构,魏主任采用双头针带垫片间断缝合,并应用了EASY-KNOT打结器,免去了逐个打结的过程,缩短了体外循环时间。
图片
魏翔教授凭借娴熟的操作技术,将以往十几厘米的手术切口缩小至仅5cm的迷你切口,最大程度的保留了胸骨完整性,小切口实施主动脉瓣置换手术,不仅是手术创伤的减小,更能明显降低患者术后疼痛感、促进胸廓稳定性、加速术后恢复,同时也大大降低了患者的心理创伤。


手术直播(三):微创左心耳夹闭术

主刀:徐  东

(首都医科大学附属北京天坛医院)

图片
图片
患者69岁,男性,因“房颤合并脑梗”入院。外院诊为阵发性房颤、间断发作快速房颤,既往有脑梗病史和左颈内动脉支架植入病史。三个月前再发急性脑梗,外院溶栓治疗。综合病史及辅助检查,考虑患者卒中为心源性,脑梗死与房颤相关。CHA2-DS2-VASc 6分,HAS-BLED 4分。因患者房颤病史多年,且为高龄患者,反复脑梗,对抗凝药物耐受欠佳,故决定卒中的预防以处理左心耳为宜。
患者入院后血压血糖控制平稳,冠脉造影检查阴性,复查头部CT梗死软化灶稳定。完善心脏超声和左房—肺静脉CTA检查,明确左心耳位置和形态,拟择期行微创左心耳夹闭术。
徐东教授处理左心耳的方法采用的是全胸腔镜下左心耳夹闭术。该手术在全胸腔镜、非体外循环下进行,打开心包显露左心耳,通过夹闭器械闭合左心耳。手术创伤微小、操作简便易行,与左心耳封堵术相比,避免了卵圆窝穿刺,心腔内无异物,减少了术后器械相关性栓塞并发症的发生,同时术后无需服用抗凝药物,避免了高龄患者抗凝治疗的风险。初期的临床试验亦显示该手术在卒中预防中的作用显著。
直播下半场由华中科技大学同济医学院附属协和医院董念国教授、中国医学科学院阜外医院舒畅教授、上海交通大学附属第一人民医院袁忠祥教授、海军军医大学附属长海医院冯睿教授、华中科技大学同济医学院附属同济医院程才教授、复旦大学附属中山医院王利新教授共同主持。


手术直播(四):Castor支架主动脉腔内修复术

主刀:王  哲

(上海交通大学医学院附属瑞金医院)

图片
图片
患者64岁男性,既往未规律治疗高血压,因突发胸背部2小时来院就诊,来院时血压高达200/90mmHg,急诊CTA提示:主动脉夹层,Debakey III型,破口位于左锁骨下动脉以远2cm处,广泛累及整个胸降主动脉及腹主动脉至双侧髂动脉分叉处,降主动脉近段直径约4.0cm,腹腔干动脉、肠系膜上动脉、双侧肾动脉及肠系膜下动脉均开口于真腔。
王哲教授团队在术前仔细分析了患者的检查资料,由于患者主动脉夹层破口距离左锁骨下动脉开口仅2cm,且锁骨下动脉周围还有血肿,若使用传统的大血管支架,则需要进行颈部血管旁路手术或应用开窗技术植入主动脉支架及左锁骨下动脉支架,增加患者的手术创伤及风险。王哲教授团队选择应用Castor®分支型大血管覆膜支架,希望以最微创的方式为患者拆除定时炸弹。
双侧腹股沟暴露双侧股动脉、左侧肘关节处暴露左侧肱动脉,王哲教授团队通过3个仅约1cm的切口,以娴熟的手法,交换导丝、建立通路、精准定位,仅用约30分钟时间就成功将Castor®分支型大血管覆膜支架植入至患者的主动脉弓降部,术中造影未见一丝内漏,左锁骨下动脉显影良好。


手术直播(五):

Ankura支架主动脉夹层原位开窗修复术

主刀:周  庆

(南京大学医学院附属鼓楼医院)

图片
图片
患者为51岁男性,因“胸背痛8小时”入院,主动脉CTA示Stanford B型主动脉夹层,夹层累及主动脉弓部、真腔受压、假腔扩张,手术指征明确。
术前周庆教授团队为其手术方案进行充分评估,拟采用微创介入的方法治疗,但夹层近端破口距左锁骨下动脉开口约2cm,且夹层累及了左锁骨下动脉开口,要封闭破口,必须将锚定区延伸至左颈总动脉开口后缘。综合患者解剖条件及微创要求,周庆教授团队决定为患者行主动脉腔内隔绝术,并以原位开窗技术重建左锁骨下动脉血供。
术中,在杂交手术室,周庆教授团队首先经股动脉入路植入先健36*200mm胸主动脉支架,支架近端置于左颈总动脉开口后缘,然后经左肱动脉送入球囊穿刺针成功破膜,再送入球囊扩张穿刺点,以一枚12*40mm血管覆膜支架重建左锁骨下动脉血供。术后造影提示支架形态良好,主动脉夹层近端破口完全封闭,无造影剂渗漏,左颈总动脉及左锁骨下动脉血流通畅,完美达到了术前预定目标。


图片
图片

手术方案


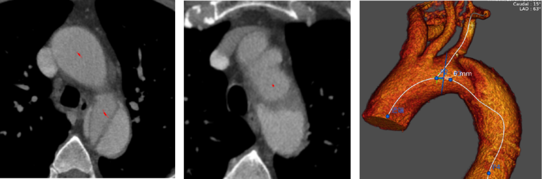
影像分析显示,破口位于弓降部小弯侧,近端累及LSA后侧壁,颈锁距离为6mm。
图片


手术直播(六):Ankura支架主动脉夹层杂交手术

主刀:张雷杨

南京市第一医院

图片
图片
患者为46岁男性,体检发现胸主动脉夹层动脉瘤3周,主动脉CTA示:主动脉夹层动脉瘤(Stanford B型),夹层动脉瘤明显扩张直径约6.1cm,属于破裂高危,手术指征明确。
张雷杨教授团队首先采用微创介入的方法治疗夹层动脉瘤,但患者的主动脉夹层动脉瘤累及了左锁骨下动脉和左颈总动脉开口,要充分隔绝夹层动脉瘤,必然会影响上述两个重要血管的血供。目前重建主动脉弓部多支血管的主要方法有开窗技术、烟囱技术和杂交技术,这几种方法各有优缺点,有不同的适应症。针对该患者,由于夹层动脉瘤巨大,首先是要保证术后不能有近侧I型内漏,其次,患者的左颈总动脉起始部和左锁骨下动脉异常扭曲,导致原位开窗困难。所以,张雷杨教授团队决定采用杂交技术,手术方案为:先行右颈总动脉-左颈总动脉搭桥+左颈总动脉-左锁骨下动脉搭桥,然后行TEVAR(主动脉夹层腔内隔绝术)。
图片
图片
术中,在杂交手术室,张雷杨教授团队首先在颈部经三个小切口,顺利完成了颈颈搭桥和颈锁搭桥;然后经股动脉行TEVAR(主动脉夹层腔内隔绝术),把支架锚定区延长至无名动脉远侧缘。术后造影提示主动脉夹层动脉瘤隔绝效果完美,“零”内漏,而且两根桥血管通畅,血流流速、流量均满意!
今日6台手术直播病例均具有较强代表性,专家们研判精准,手术技艺精湛,为我们奉献了一场场精彩的手术示范,具有较高的临床参考价值。首日网络点击量高达42000次。
“中国微创心血管外科大会CMC”的前身“上海国际微创心血管外科论坛”创始于2010年,12年来见证了我国微创心脏外科事业的蓬勃发展。2017年随着国家心血管病专家委员会微创心血管外科专业委员会(CMICS)的成立,CMC正式成为CMICS的学术年会,同时开创了“微创中国行”系列学术活动品牌。2021年,CMC进一步升级为“中国微创心血管外科大会暨中国微创心外科手术直播周CMC Week”,开启覆盖一周的线上线下相结合的全面学术交流。如今CMC Week已经成为国内最大规模、具有最高学术影响力的微创心外科学术盛宴。

CMC Week次日将继续为您带来6台精彩的微创心脏手术直播,敬请期待。

阅读数: 848