2021年10月16日,第二届首都医学创新与转化大赛获奖名单揭晓。由北京协和医院心内科主任荆志成教授团队带来的“经皮房间隔造口植入创新型心房分流器治疗危重肺动脉高压右心衰竭”研究项目突破重围,以总分第二名的优异成绩荣获一等奖。
破解危重症肺动脉高压患者困局
在心衰患者治疗领域,药物联合充分治疗后仍然持续心力衰竭进展的危重肺动脉高压患者死亡率极高,而治疗这一疾病的有效手段之一,肺移植或心肺联合移植术在我国尚未广泛开展,尤其是针对肺动脉高压的移植经验很有限,且医疗费用高昂,更受到供体来源限制,远不能满足临床需求。
如何救治药物治疗失败的危重肺动脉高压患者?
又如何优化治疗方法确保患者安全并带来最大获益?
为解决这一临床难题,挽救更多危重肺动脉高压患者,荆志成教授带领团队长期致力于肺动脉高压临床和转化研究,并取得了一系列重要研究成果。
2007年,荆志成教授和领团队在国际权威期刊《Chest》发表的“中国肺动脉高压注册登记研究”中揭示:中国肺动脉高压患者1年、3年、5年生存率极差。此后,荆志成教授带领团队开展了波生坦、吸入伊洛前列素(iloprost)、安立生坦、伐地那非、西地那非、口服曲前列尼尔、利奥西呱等一系列药物治疗临床研究,在攻克危重肺动脉高压领域不断取得新进展。
但危重肺动脉高压患者即使经过国际公认最佳联合治疗方案:安立生坦联合他达拉非或利奥西呱治疗后仍有很高的死亡率。研究证明心功能III-IV级患者1年生存率不到60%。危重肺动脉高压患者合并右心衰竭,重度扩张的右心压迫左心,导致左心输出量严重降低,机体重要脏器供氧不足。而指南所推荐的肺移植或心肺联合移植手术操作复杂,价格高昂,且受到供体来源的限制,在我国开展十分有限,远不能满足大量临床需求。如何破解这一困局?是否可以优化房间隔造口技术来挽救患者生命?
新型心房分流器带来曙光
2002年阜外医院程显声教授和戴汝平教授就合作尝试使用房间隔球囊造口术治疗一例危重肺动高压患者,患者术后一度明显好转,但术后8个月患者猝死。
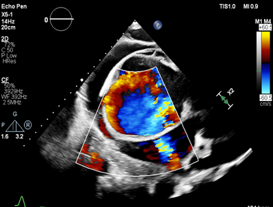
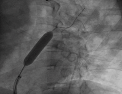
为攻克精准控制分流量的技术难题,荆志成教授带领团队采用“医工交叉”的创新研究策略。在对前期研究数据进行大量分析计算的基础上,制定了设定造口术后目标动脉血氧饱和度,计算目标分流量,再使用导管测定血流动力学参数和血氧含量数据,计算目标分流口径的策略,解决了如何精确计算患者所需要的房间隔造口的直径这一关键问题。随后,荆志成教授团队与武汉唯柯医疗科技有限公司紧密合作,设计了新型心房分流器实现精准控制分流量。同时设计了多种分流器孔径型号,且分流器设置偏心横向螺母端头,释放后可回收、可更换、可二次干预,只为用精心的设计确保经皮房间隔造口术为每一位患者带来最大获益。
期待荆志成教授领导的这一重磅研究尽早传来进展和好消息,为危重肺动脉高压患者带来更多希望。
专家简介

主任医师,教授,北京协和医院心内科主任,北京协和医学院首批长聘教授,意大利帕多瓦大学心脏病学客座教授,荣获“国家杰出青年科学基金”、教育部“长江学者”特聘教授、国家“万人计划”领军人才、“百千万人才工程”国家级人选暨有突出贡献的中青年专家、中国医师奖等国家级人才荣誉和奖项,担任北京医学会心血管病学分会副主任委员、北京医学会血栓与止血分会主任委员、中华医学会心血管病学分会结构性心脏病学组副组长、《中国介入心脏病学杂志》执行主编、《中华心血管病杂志》副总编、《JACC Asia》SECTION EDITOR、ISTH旗舰杂志《Journal of Thrombosis and Haemostasis》副主编等学术职务,擅长先天性心脏病、肺栓塞、肺动脉高压以及肺动脉瓣、三尖瓣等右心瓣膜疾病诊治。