术者:邱春光、卢文杰、彭猛
近日,郑州大学第一附属医院邱春光教授团队应用SAPIEN 3瓣膜为一位二叶瓣严重钙化的主动脉瓣重度狭窄患者完成TAVR手术治疗。
TYPE0型二叶式主动脉瓣,瓣叶严重钙化增厚。冠脉无明显狭窄,冠脉开口高度左侧15.4mm、右侧14.9mm,冠状窦水平无瓣叶,TAVR手术冠脉闭塞风险低。升主动脉扩张,主动脉扭曲。双侧股动脉通畅,无明显钙化。
病历摘要
患者为72岁老年女性,发作性胸闷、气喘半年,加重2月,NYHA IV级,Euroscore:11.2%, STS score:11.9%,为SAVR高风险。同时,患者合并多种疾病,低体重(BMI:16.1),心衰严重,虚弱状态,心外科会诊评估该患者外科手术风险极高,拒绝行外科手术治疗。严重主动脉瓣狭窄且出现症状,满足TAVR手术指证。
手术难点
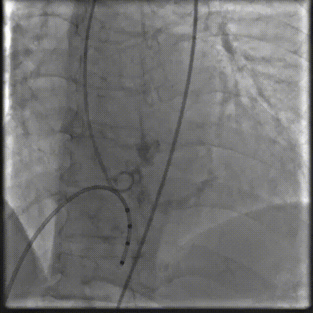
二叶瓣严重钙化(如图A、B 所示术前CT检查及术中影像均可见明显钙化团块),术中发生瓣周漏、瓣膜移位、瓣环破裂等风险较高,TAVR操作具有一定挑战性。升主动脉明显增宽,再加上主动脉瓣钙化严重,为器械输送增加难度。
手术策略
麻醉方式:全麻;
主入路:右股动脉(2把ProGlide预埋);
辅入路:左股动脉;
临时起搏器:左股静脉路径右心室起搏;
球囊扩张:20mm球囊预扩张;
瓣膜选择:基于术前CTA的测量结果,因二叶瓣严重钙化为降低瓣环破裂等风险选择偏小一号的人工瓣膜(downsize策略)植入23 mm SAPIEN 3瓣膜。
TAVR 操作过程
1.经左股动脉猪尾行主动脉根部造影:
2.20mm球囊预扩,无腰征无返流,证实选择偏小一号的人工瓣膜(downsize策略)的可行性。

3.瓣膜输送到位,精准定位释放23 mm SAPIEN 3瓣膜。

4.术后即刻跨瓣峰值压差2mmHg,无反流。
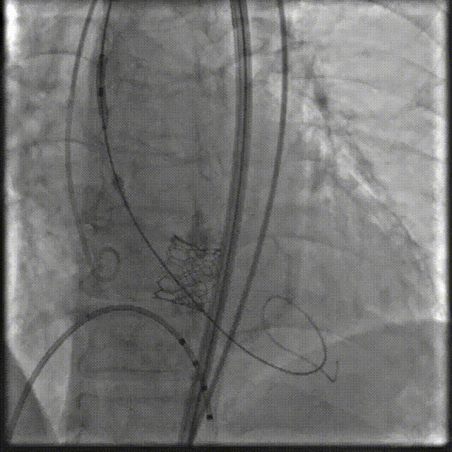
图A、B 术前CT检查及术中影像均可见明显钙化团块(箭头所示),图C、D:球囊预扩张及人工瓣膜植入过程中均可见钙化团块明显移位(箭头所示)。
总结
二叶瓣主动脉瓣狭窄解剖结构较为特殊,常合并主动脉瓣钙化、主动脉扩张等病变,导致TAVR术后易发生瓣周漏、瓣膜移位、瓣环破裂等多种并发症,TAVR操作具有一定挑战性。瓣膜尺寸选择及精确定位预防瓣膜发生滑脱方面需要认真考虑。二叶瓣瓣叶开口形态变化及瓣叶严重钙化使得实际瓣叶开口径通常小于瓣环径,瓣膜尺寸选择有时采用偏小型号(downsize策略),术前CT测量评估及术中球囊预扩张均可为瓣膜选择提供重要参考信息。尽管我们选取了偏小一号的23 mm SAPIEN 3瓣膜,在球囊预扩张及瓣膜植入过程中仍可以观察到钙化团块明显移位,如按照常规选择植入26 mm SAPIEN 3瓣膜会使瓣膜滑脱、瓣膜破裂等风险增加。该患者升主动脉明显增宽,会导致输送系统过弓后向大弯侧移位,再加上主动脉瓣钙化严重,从而进一步增加了跨瓣的难度,SAPIEN 3瓣膜经导管主动脉瓣瓣膜输送系统具有双重调弯功能,可调节远端辅助通过复杂的解剖结构,降低主动脉损伤的风险,并有助于瓣膜定位过程中控制同轴性,精细控制定位,确保精准放置人工瓣膜。术后患者恢复良好,胸闷、气喘症状消失,心功能明显改善,顺利出院。
专家简介
医学博士,教授、二级教授、主任医师,博士研究生导师,现任郑州大学第一附属医院心血管内科副主任,导管室主任,任美国心血管造影和介入学会(FSCAI)会员,美国心律学会会员(FHRS),美国心脏病学会专家会员(FACC),国家卫健委心血管疾病介入诊疗技术冠脉专家委员会执行主任,卫健委心脏介入培训基地导师,中国医师协会心律学分会常务委员,中国医师协会心血管病分会委员,中国生物工程学会心律学会常务委员,中华医学会心血管病分会介入工作组委员,河南省医学会心脏起搏与电生理分会主任委员,河南省医学会心血管病分会候任主任委员,现任《中华心律失常学杂志》、《中国心脏起搏与心电生理杂志》《欧洲心脏病杂志EHJ》中文版编委。荣获河南省科委科技进步二等奖4项;以第一作者或通讯作者发表SCI论文30余篇,中华和国家核心期刊论文数百余篇;参编《冠状动脉完全闭塞病变介入治疗》、《介入心脏病学》等专著10余部。