近期,北京大学第一医院心内科李建平教授、郑博教授团队,使用北芯Truephysio压力微导管为患者完成FFR测量。北芯Truephysio压力微导管是国内首个实测型FFR产品,同时也是国内唯一采用快速交换设计的产品。
病例:
患者男性,65岁,因“间断性胸闷3年,休息5分钟后缓解”入院。高血压2级,长期吸烟史,父亲85岁因急性心梗去世。术前检查CT提示左主干加三支病变。心脏超声提示LVEF为68.6%,室壁运动正常。ECG提示窦性心率。入院诊断为冠心病,稳定型心绞痛。
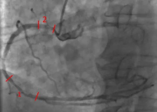
冠脉造影:
提示LM轻度病变,LAD中段局限病变并伴有钙化(图1);LCX远端局限病变(图2);RCA中段临界病变,开口处重度狭窄(图3)。
针对多支病变且RCA开口重度狭窄患者,教授团队经讨论后决定使用FFR及IVUS对患者进行准确诊断及精准治疗。鉴于RCA狭窄程度最严重,先对此血管进行检查及治疗。由于RCA开口处的狭窄,进行EQ时我们需要将指引导管及压力微导管的压力感受器放置于冠脉窦中进行,基于压力微导管快速交换设计,压力微导管骑行在工作导丝上,可使指引导管及压力微导管在冠脉窦中的位置保持固定,确保准确程度,之后测量将压力微导管推送至血管病变远端更加方便快捷。
图5.RCA术前FFR
图6.RCA病变处
测量FFR结果为0.74(图5),verify为1mmHg。
对RCA进行IVUS检查,可以看到RCA两处狭窄为纤维、钙化混合斑块,中段MLA为2.94mm²(图7);开口处MLA为4.53mm²(图8)。
图7
图8
图9.术后造影
术后对RCA进行FFR及IVUS复查。
图10.RCA术后FFR
术后FFR结果为0.90,;verify为1mmHg。(图10)IVUS显示中段支架内面积6.11mm²,开口处面积10.5mm²,贴壁良好,无夹层。
由于患者术中出现不耐受表现,故另两支血管未进行检查及治疗。叮嘱患者进行定期回院随访。
北京大学第一医院郑博教授表示:
随着冠心病患者的人数持续增加,冠心病诊疗水平的提升,精准治疗已经成为现阶段冠心病治疗的趋势与标准。限于冠脉造影的局限性,冠状动脉血流储备分数(FFR)可协助术者对冠状动脉进行精准诊断血流受影响程度,从而帮助术者选择正确的治疗策略。
基于国内外越来越多的临床结果显示,FFR对于协助术者选择最佳的患者治疗策略及改善患者的远期预后情况。目前国际上使用的有源FFR产品均为进口产品,而北芯压力微导管为我国填补了这一领域的空缺,同时压力微导管的快速交换设计,在保证准确性的同时,其操控性,通过性,安全性,便捷性均优于压力导丝,尤其是针对复杂病变,应用前景更加广阔。
专家简介

北京大学第一医院心内科主任医师,教授,博士研究生导师;北京大学第一医院心内科主任,心血管病研究所所长;北京大学分子心血管学教育部重点实验室副主任;中国医疗保健国际交流促进会心血管健康分会主任委员;北京医学会心血管病学分会副会长;北京市胸痛中心联盟副主席。
主要从事冠心病的介入诊疗工作,是卫健委冠心病介入诊疗培训基地导师,北京市心血管介入质量控制和改进中心专家委员会委员。
以第二完成人身份获得国家科技进步二等奖一项、其它国家级科技奖一等奖三项、二等奖一项。
荣获人民网、健康时报组织评选的“国之名医”、“荣耀医者”、“人民好医生”称号。

北京大学第一医院心内科主任医师、副教授、硕士研究生导师,北京大学第一医院心血管病研究所副所长,2008年毕业于北京大学医学部并获得医学博士学位,2013年赴美国哥伦比亚大学医学中心纽约长老会医院从事博士后研究。长期从事冠心病介入诊疗工作,擅长应用冠脉腔内影像和功能学技术指导复杂冠脉介入手术,现为国家卫生健康委冠心病介入培训导师、中国医师协会和中国县域医院院长联盟冠心病介入培训导师。学术任职包括美国心脏协会专家会员(FACC)、欧洲心脏学会专家会员(FESC)、亚太介入心血管病学学会专家会员(FAPSIC)、第十届中华医学会心血管病分会青年委员、第十一届中华医学会心血管病分会冠脉腔内影像和生理学学组委员、北京医学会心血管病分会青年委员会委员、中国医疗保健国际交流促进会心血管健康医学分会委员、中国医师协会冠脉介入专业委员会委员、北京医学会血栓与止血分会第二界青年委员会委员、Circulation杂志中文版编委、Cardiology Plus杂志特约编辑、European Heart Journal 中文版青年编委,中国介入心脏病学杂志青年编委,中国心血管病研究杂志青年编委,BMC Cardiovascular Disorders等杂志审稿人,在国际知名期刊及核心期刊发表论文50余篇,获得3项国家发明专利授权及华夏医学科技奖一等奖。