近期,西安交通大学第一附属医院心血管内科郭宁主任团队顺利完成了一例高难度的反鸡翅左心耳封堵手术,且完成了第一次术后CT随访。
手术采用了思创贯宇Anythink β LAAO 智能影像评估系统,辅助术者术前全面评估左心耳解剖结构,快速定位左心耳最佳工作体位,了解房间隔穿刺位点及预估与左心耳的同轴性关系,预判手术难点,提高手术效率;同时专业智能的术后随访评估,可直观查看封堵器植入左心耳后的形态及封堵器的内皮化程度,精确测量残余分流间隙及封堵器露肩高度,从而指导患者术后抗凝用药。
患者基本情况
患者女,63岁。
主诉:间断心悸,气短5年,加重5天。
现病史:5年前无明显诱因出现心悸伴气短,于外院诊断为“阵发性心房颤动”,予以“华法令”、“胺碘酮“等治疗后效果不佳,仍时有发作,后因黑便换用”达比加群“治疗,但仍间断有黑便表现,5天前上述症状再发,为进一步治疗来院。
既往史:”高血压“病史12年,“脑梗死”病史3年。
入院诊断:心律失常,阵发性心房颤动;高血压2级(极高危),陈旧性脑梗死,上消化道出血。
卒中和出血风险评估
CHA₂DS₂-VASc 评分4分,HAS-BLED评分3分
治疗方案
该患者栓塞及出血风险均属高危,且该患者心悸症状明显,向家属告知病情后拟行房颤射频消融+左心耳封堵一站式手术治疗。
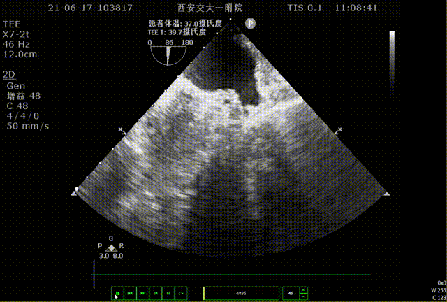
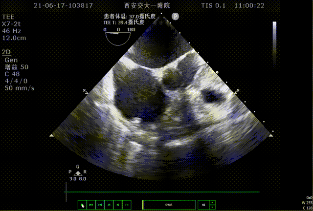
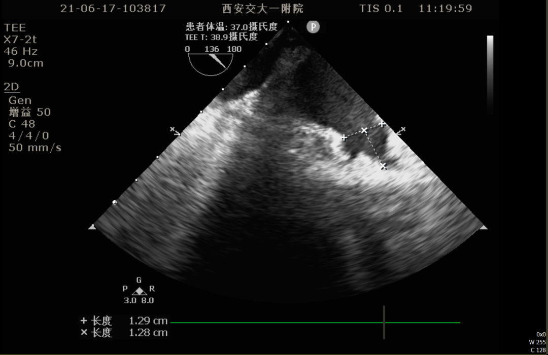
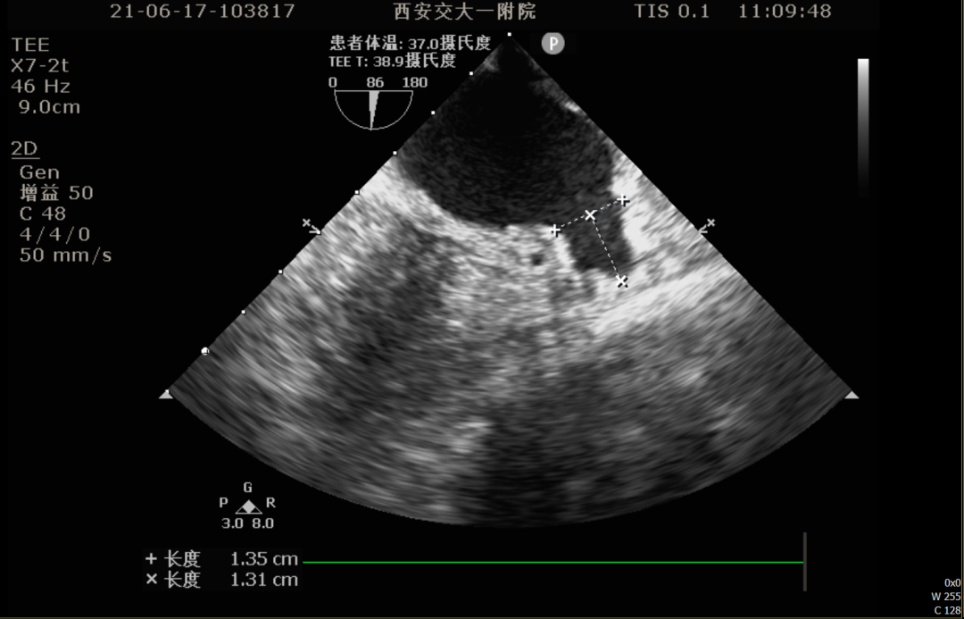
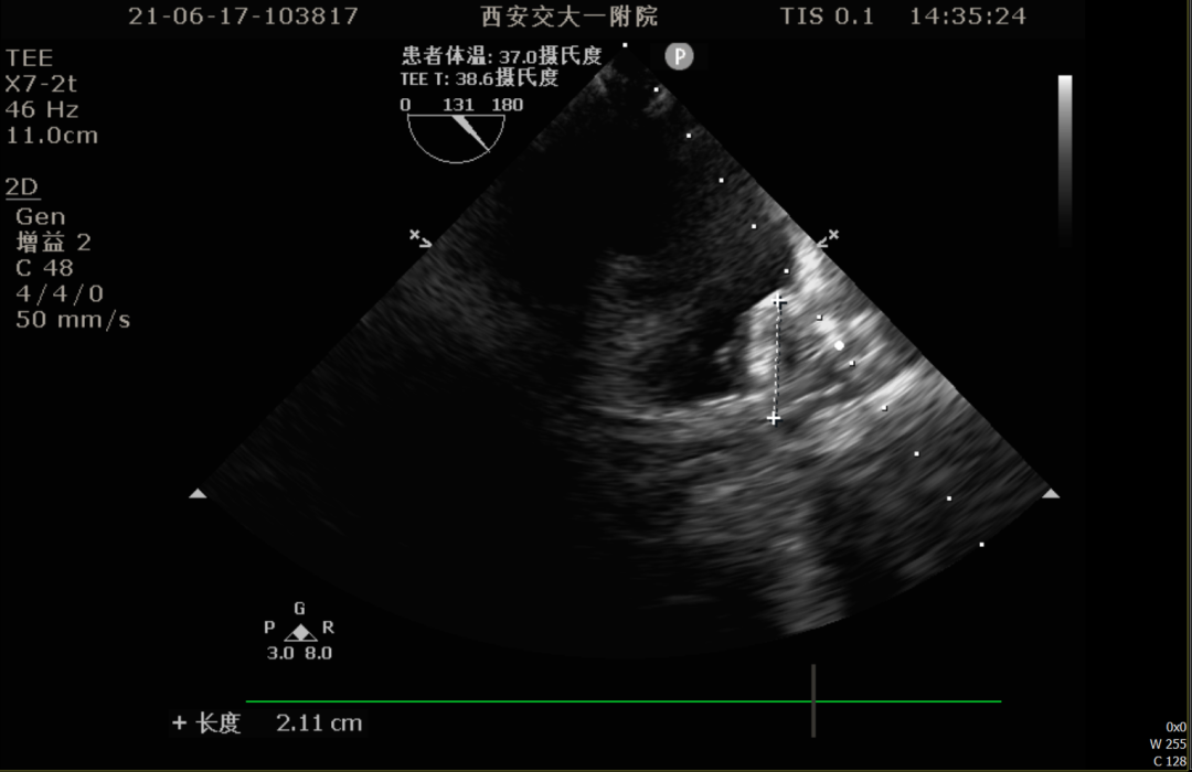
术前TEE评估
术前排除左心耳血栓,左心耳可能呈反鸡翅型,心耳偏小,梳状肌发达。
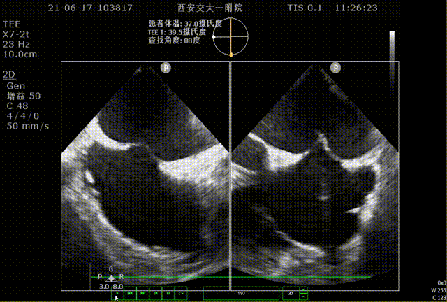
0°TEE
86°TEE
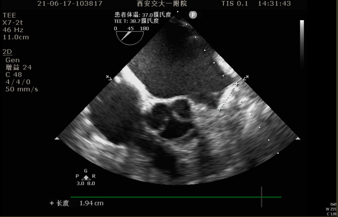
TEE测量左心耳数据:
TEE测量结果:
该患者左心耳开口较小,呈反鸡翅型,开口处即反折,同时内部梳状肌发达,且深度较浅,因此手术难度偏大,术前安排进一步CT评估以协助制定手术策略。
术前CT评估
行CT评估后左心耳内未见血栓,左心耳呈反鸡翅型,开口呈椭圆形,最短径17.3mm,最长径 21.7mm,三维深度19.1mm,二维深度 18.0mm。分析后提示宜选择24mm Watchman封堵器,但若采用下叶进行封堵,深度较浅,应首选上叶做为轴线进行封堵。
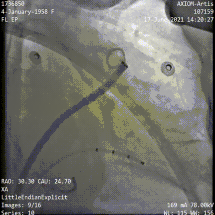
采用CT模拟最佳左心耳封堵工作体位,发现在RAO30 CAU25时左心耳展开较常规体位更好。
RAO30 CAU25
RAO30 CAU25
术前总结
患者TEE检查心耳内无血栓,TEE提示为反鸡翅可能,CTA重建心耳后为反鸡翅型,根据术前入路模拟,考虑穿刺点应偏下稍靠前,根据心脏CT及TEE评估结果来看,左心耳梳状肌发达,开口椭圆形,直径17mm-21mm,考虑24mm WATCHMAN封堵植入,在封堵轴线选择上应以上叶为首选。
术前准备
麻醉方式:采用气管插管全麻。
手术方式:拟行食道超声结合X线标准术式。
拟选封堵器类型及型号:根据术前TEE和CT评估结果,拟采用WATCHAMN 24mm封堵器。
手术难点:该患者心耳特点为低位心耳、呈反鸡翅型,因此穿刺位置与常规相比需要靠下且偏前。另该患者心耳深度稍浅,若走下叶封堵可能出现深度不够,露肩较多的情况,因此尽量将鞘管送入上叶进行封堵。
主要手术流程
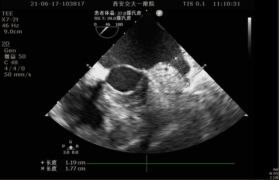
1.房间隔穿刺
房间隔穿刺TEE
RAO30° CAU25°造影,左心耳形态充分暴露,可以观察到心耳属于反鸡翅形状。内部梳状肌较发达,深度较浅。
DSA测量开口17mm,深度19mm,与CT测量结果类似,考虑选择24mm watchman封堵器,首选X3轴向进行封堵。
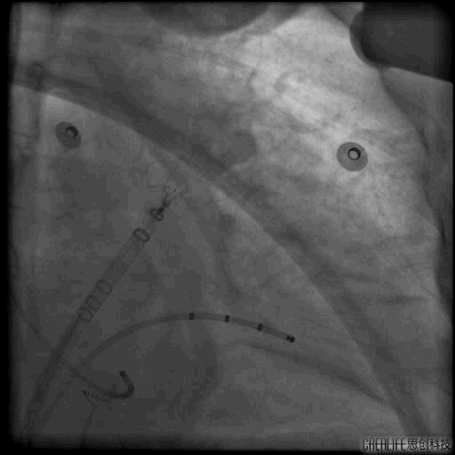
4. 封堵操作
术中在猪尾导管的保护下,逆时针旋转输送鞘,尽量将输送鞘送入上叶。稳定输送系统,体外预借1mm深度,送入封堵伞,逆时针旋转稳定输送鞘,术中缓慢释放封堵伞。



走上叶缓慢展开后即刻造影观察,无残余分流。压缩比测量12.5%~21%。牵拉测试稳定,符合PASS原则,可以释放。
6.术后处理
术后即刻顺利清醒,术后6小时检测无心包积液,加用达比加群 110mg 2次/天;术后第五天出院。
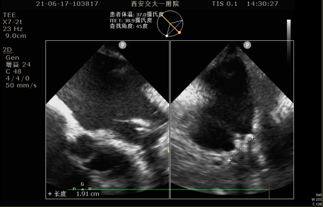
术后随访
术后2个月CT三维重建,直观查看封堵器植入形态,且从二维图像来看,未见残余分流。

术后

封堵后透明三维
术后2个月未完全内皮化,未见DRT。
CT随访后提示左心耳封堵完全,遂停用达比加群,予以双联抗血小板药物进行治疗。
术后总结

心血管内科主任,教授,医学博士,硕士生导师。美国哥伦比亚大学医学中心及美国心血管研究基金会访问学者,主要研究方向为冠心病的临床与基础研究,尤其是冠心病的腔内影像学研究。兼任中华医学会心血管病学分会青年委员,中国医师协会重症医学分会心脏重症专家委员会委员,卫生部冠心病介入培训导师,中国血管内超声学院导师。长期从事心内科医疗、教学及科研工作,对各种急重症心脏病,尤其是冠心病的综合诊治、冠心病的介入治疗以及急性心肌梗死的治疗等具有丰富的临床经验和独到见解。

医学硕士,主治医师。毕业于西安交通大学医学院临床医学系,主要研究方向为冠心病介入治疗及冠脉腔内影像学。现任中华医学会冠心病与动脉粥样硬化学组秘书,陕西省保健学会高血压学组委员、陕西省心血管介入质控中心秘书、西安医学会心血管病分会委员。从事心血管内科疾病诊疗十余年,对本专业的常见病、多发病等以及急重症等疾病的诊断和治疗有扎实的基础知识和丰富的临床实践经验,累计完成冠脉介入治疗手术4000余例,擅长复杂危重冠脉手术治疗,同时对于冠脉腔内影像学及功能学有独到理解,多次在国内外心血管会议如CIT、TCT、PCR等会议上进行专题报告。参编有《冠状动脉超声》、《冠状动脉腔内影像学》等专业著作。发表学术论文十余篇,SCI收录五篇。参与多项国家自然科学基金及陕西省自然科学基金工作,获陕西省科学技术进步奖二等奖。