另辟蹊径,经颈换瓣:葛均波院士团队成功完成一例Prizvalve®瓣膜植入

2021年10月8日,复旦大学附属中山医院(以下简称中山医院)葛均波院士团队的周达新教授、潘文志教授等医生应用Prizvalve®经导管主动脉瓣膜系统(以下简称Prizvalve®瓣膜系统),顺利完成一例患者的TAVR手术植入。该例患者为重度主动脉瓣狭窄及中度主动脉瓣反流,外科手术高危,术前医生团队评估患者外周血管不适宜作为瓣膜植入入路,故采用颈动脉入路植入瓣膜。本次手术的顺利完成,是国产球囊扩张式瓣膜Prizvalve®首次采用颈动脉入路植入人工瓣膜,也论证了Prizvalve®瓣膜系统通过颈动脉入路植入瓣膜的安全性和有效性。

病例介绍

患者为女性,80岁,反复胸闷气喘1月伴一般体力活动受限。影像学检查提示二叶式主动脉瓣增厚伴重度钙化,主动脉瓣瓣口面积0.6cm²,平均跨瓣压差42mmHg,主动脉瓣瓣口峰值流速高达4.1m/s,同时合并中度主动脉瓣反流。

CT提示二叶式主动脉瓣明显钙化伴重度狭窄

手术策略

由于患者双侧股动脉多处管壁增厚伴钙化合并中度管腔狭窄,经中山医院结构性心脏病团队谨慎评估后,拟经颈动脉入路,采用18mm球囊进行预扩后,植入23mm Prizvalve®瓣膜。

手术过程

患者全麻后,游离颈动脉建立入路,主动脉根部造影显示主动脉瓣明显钙化伴重度狭窄。直头导丝跨瓣后,测得左心室、主动脉压力分别为180/-7mmHg,84/45mmHg。在180次/分快速心室起搏下,选择18mm球囊进行预扩张。根据术前评估及球囊预扩情况,最终选择23mm Prizvalve®球扩瓣进行植入,主动脉根部造影见轻微主动脉瓣反流,复查左心室、主动脉压力分别为151/1mmHg、150/72mmHg。术后即刻经食道超声心动图评估峰值流速1.4m/s,平均压差4mmHg,瓣口面积约2.1cm²,血流动力学指标理想。

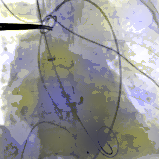
球囊预扩张
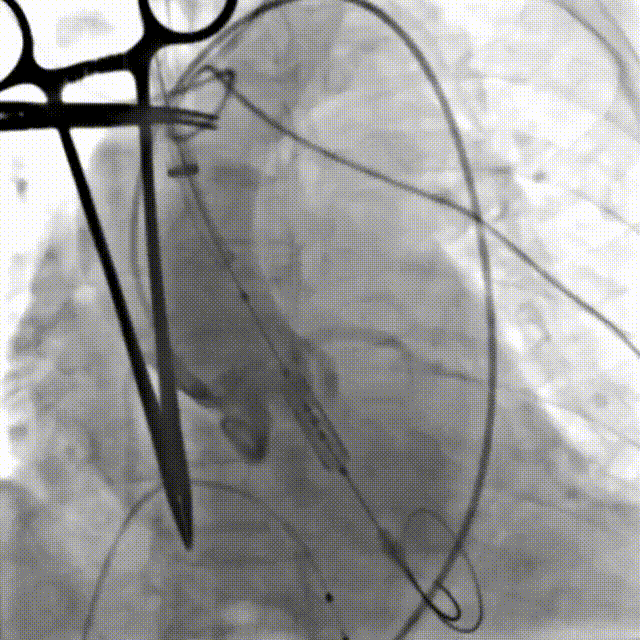
瓣膜释放

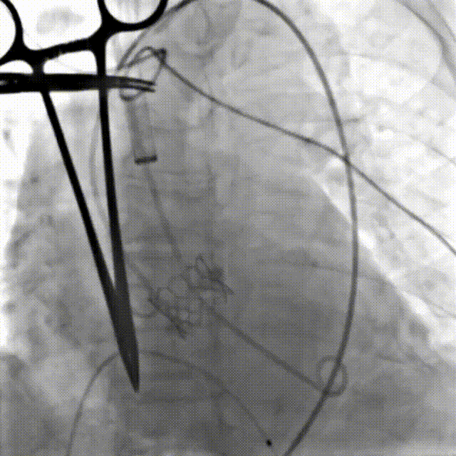
释放后造影

术后评价

术后周达新教授、潘文志教授表示:“以前我中心使用大多数是自膨胀瓣膜,而球扩瓣的使用使得患者有更多选择。多项临床研究显示,较自膨瓣而言,球扩瓣具有独特优点:有更理想的径向支撑力,术后传导阻滞事件发生率低,永久起搏器植入率低等优势。我中心目前已累计开展TAVR手术超过1000例,涵盖国内外多个产品,能够根据患者不同特点选择不同类型瓣膜,从而给患者提供最佳治疗。”

阅读数: 4212
相关专题