2021年10月(总第2期)
人工心脏瓣膜置换术后瓣周漏(Paravalvular leakage, PVL)是其特有的并发症,主要由于瓣环缝线松脱、断裂,或者人工瓣环缝合处自体组织撕裂等多种复杂原因引发。据国外文献报道,外科换瓣术后瓣周漏的发生率在主动脉瓣约为2~10%,二尖瓣约7~17%,二尖瓣瓣周漏发生率明显高于主动脉瓣。严重的瓣周漏可引起心力衰竭、心律失常、溶血、心内膜炎等并发症,既往对于瓣周漏的治疗以外科手术为主,然而外科再次手术风险极高,死亡率增加,因此,针对此类患者临床医生更倾向寻求介入治疗技术。
患者情况
张某林,男性,66岁,身高170cm,体重66kg。
主诉:二尖瓣置换术后9年,间歇性气短加重半年。
初步诊断:主动脉瓣狭窄,二尖瓣瓣周漏,肺动脉高压(中度),血红蛋白尿,溶血性贫血,高血压病III级,心功能III级。STS Score为20.91%,Euroscore II为12.66 %。
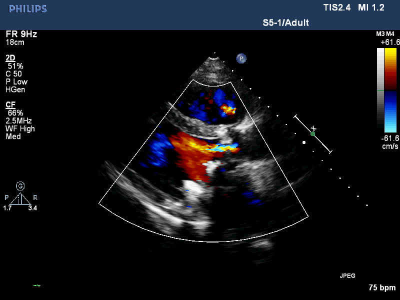
术前超声检查
超声提示:主动脉瓣狭窄并关闭不全,PGmax42mmHg,返流8ml,三叶瓣,钙化轻,EF47%。二尖瓣瓣周漏(两处8点,10点),较大返流10ml,三尖瓣关闭不全(中度),肺动脉高压(PGmax48mmHg)。
术前CT测量
瓣环:24.4mm;LVOT:22.7mm;
瓦氏窦:32.0*31.4*32.0mm;
升主动脉:32.6mm;左冠高度:17.3mm;
右冠高度:17.3mm;钙化积分:1.1mm³;
瓣环与水平面夹角:34°;
髂外动脉:6.4*8.0mm,6.8*7.9mm。
CT评估
主动脉瓣为三叶瓣,瓣叶肥厚且冗长,CT下可见少量钙化点,窦部结构和冠脉高度尚可,人工金属二尖瓣环,最高处距离主动脉瓣环6.9 mm。大血管走行自然,未见明显迂曲及钙化斑块,下肢血管内径可。
手术策略
二尖瓣瓣周漏封堵路径主要有3种:左房顺行途径、左室逆行途径、心尖穿刺途径,其中大部分二尖瓣单瓣置换术后瓣周漏患者都可采用第二种左室逆行途径封堵,对于这位患者,较大的瓣周漏处于8点钟位置(近左心耳处),导丝沿主动脉逆行至左心室并通过二尖瓣瓣周漏相对容易。同时,结合CT的评估结果,行TAVR手术操作难度较大,患者主动脉瓣叶钙化极轻,且以返流为主,瓣膜释放时易发生移位风险,因此在瓣膜型号选择时不易过大,尽可能保证瓣膜释放后植入深度在7mm范围内,减小介入瓣膜与人工金属二尖瓣的相互影响。然而,对于这位患者的二尖瓣瓣周漏封堵和TAVR手术都是逆行通过主动脉实施手术,二者的先后则需要全面考量。
瓣周漏封堵术通常只需在局麻条件下就可完成,其难点主要是导丝找漏口的过程,部分患者在该过程中耗时久,针对此患者,为防止患者一站式手术中全麻时间过久,本中心为患者首先局麻实施二尖瓣瓣周漏封堵术,同时,我们也考虑到若先实施TAVR手术后,在行二尖瓣瓣周漏封堵术时导丝长时间影响主动脉瓣的闭合,对患者也是不利的。
综上,我们制定手术策略:首先局麻状态下经导管逆行封堵二尖瓣瓣周漏,随后在全麻状态下经股动脉标准位植入26mmVenus-A瓣膜。
手术过程
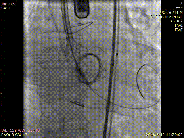
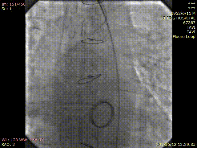
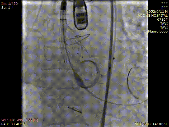
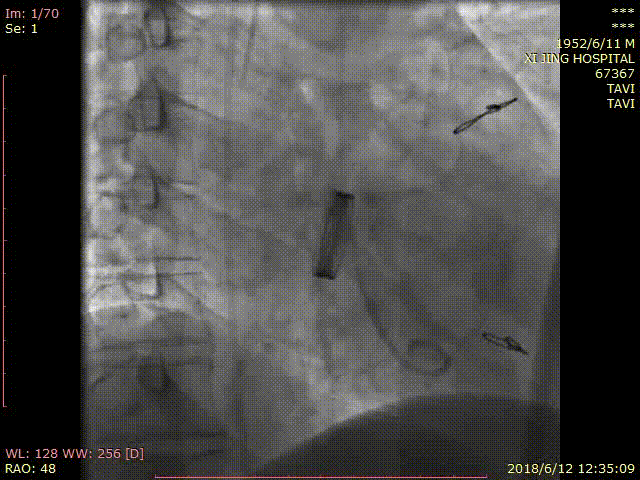
术中DSA影像:
造影检查瓣周漏
TAVR术后造影无瓣周漏
术后超声检查
术后转归
该手术全程顺利,总用时122min,患者术后当天血红蛋白尿消失,无明显瓣周漏,无卡瓣及传导阻滞发生,患者恢复良好,胸闷气短症状消失,并于术后5天出院。
术后3D数字模型
患者左心系统的3D数字模型
(A.左房面观察二尖瓣与封堵器相对位置;B.心肌在半透明设置下观察Venus-A瓣膜、二尖瓣、封堵器相对位置;C.左室流出道侧观察二尖瓣与封堵器相对位置;D.神主动脉侧观察Venus-A瓣膜。蓝色为Venus-A瓣膜,紫色为ADOII封堵器,青色为金属二尖瓣,银色为心肌组织。)
基于CT影像构建的3D数字模型,可以清晰观察到主动脉瓣植入深度属于标准位置,与金属二尖瓣间存在一定的距离,封堵器形态大小均合适,不存在卡瓣的影响。
小结
对于主动脉瓣病变合并二尖瓣瓣周漏的高龄高危患者,采用TAVR联合二尖瓣瓣周漏封堵一站式手术是可行的,在行TAVR手术前需测量二尖瓣与主动脉瓣环间的最小距离并确定合理的植入深度范围,减小介入瓣膜与外科瓣膜之间的相互影响。
二尖瓣瓣周漏封堵术的入路方式有多种,可依据漏口的形态、位置、大小等因素选择最合适的入路方案。术前根据超声测量漏口,并结合3D打印技术体外模拟封堵过程,选择合适的封堵器类型、大小,减小卡瓣或漏口封堵不完全的风险。
应用多模态影像技术,不仅可以协助诊断,而且能够指导制定手术方案,缩短放射线照射和手术时间,提高手术的成功率。
专家简介

心血管外科一病区主任,博士研究生导师。曾于德国洪堡大学Charité医学院、德国柏林心脏中心、美国Cleveland Clinic医学中心等国际知名医学中心访问研修。担任美国心脏协会专家会员(FAHA)、 美国心脏病学会专家会员(FACC)、中国医师协会心血管外科医师分会结构性心脏病专业委员会副主任委员、中华医学会胸心血管外科分会第九届委员会青年委员、陕西省医疗器械不良事件监测专家咨询评价委员会专家。获聘陕西省中青年科技创新领军人才、陕西省科技创新团队带头人,为陕西省自然科学基础研究计划杰出青年科学基金项目获得者、西安交通大学兼职教授。担任Eur Heart J, BMJ,AJC等杂志特邀审稿人,《中华胸心血管外科杂志》、《心脏杂志》、《中国体外循环杂志》、《心血管外科杂志》、《精准医学杂志》编委。临床专长于复杂结构性心脏病的微创及介入治疗,在国内较先开展了经导管肺动脉瓣置换、主动脉瓣置换、二尖瓣修复、二尖瓣置换以及瓣周漏封堵等创新性技术。主要科研方向为结构性心脏病诊疗新技术以及心肌细胞损伤修复、重构和再生的临床转化研究。在微创心血管器械研发、临床转化及以3D打印为主的多模态影像学评估方面有一定建树。先后在Eur Heart J,JACC等国际期刊上以第一或通讯作者发表SCI论文30余篇,被Circulation,JACC等国际权威杂志引用500次,承担十三五国家重点研发计划、国家自然科学基金等10余项基金,经费1000余万元。荣获国家科技进步二等奖、中华医学科技一等奖、中华医学会胸心血管外科分会Lillehei奖学金“菁英奖”、中国医师协会胸心血管外科分会优秀青年医师“杏林奖”等奖励。授权国家专利20余项,出版专著、译著12部。

心血管外科博士,副教授,硕士生导师。美国马里兰大学医学院博士后。国家心血管病专家委员会微创心血管外科专业委员会委员。专注心血管疾病微创治疗。先后开展经皮微创介入瓣膜病修复及置换术,瓣膜置换术后瓣周漏介入封堵术,主动脉缩窄球囊扩张支架置入术,冠状动脉漏介入封堵术等多项心血管疾病微创治疗新技术。在国内外发表研究论著50余篇,其中SCI论著18篇;主持军队重大专项子课题1项,国家自然科学基金1项,军队及省部级课题各3项;参加“863”重点课题,“十二五”、“十三五”国家重大科技专项等课题13项。获国家专利11项;副主译专著1部,参编专著8部。先后获得美国ASAIO青年医师奖,Euro-ELSO青年研究者奖,中国医师协会心血管外科分会杏林奖,中华医学会胸心血管外科分会Lillehei 奖学金及厄尔巴肯奖学金。