中山大学附属第一医院成功开展DragonFly经导管二尖瓣缘对缘修复手术

展望二尖瓣疾病治疗领域,经股静脉-房间隔入路缘对缘修复技术是目前临床证据最成熟的二尖瓣介入技术,日前,中山大学附属第一医院心脏团队应用国内创新器械DragonFly成功开展股静脉-房间隔入路经导管二尖瓣缘对缘修复手术。


2021年10月9日,中山大学附属第一医院李怡教授、庄晓东教授、超声科姚凤娟教授及麻醉科温仕宏教授与浙江大学附属第二医院王建安教授团队密切合作,成功为一位高龄患者完成了股静脉-房间隔入路经导管二尖瓣缘对缘修复手术。期间与美国弗吉尼亚大学医学中心David Scott Lim教授团队及香港亚心医院林逸贤教授全程视频连线沟通,团队配合密切,手术过程顺利。


患者基本情况

71岁,老年女性。

主诉

二尖瓣关闭不全15年,心悸2年且伴有反复胸闷。

B超结果

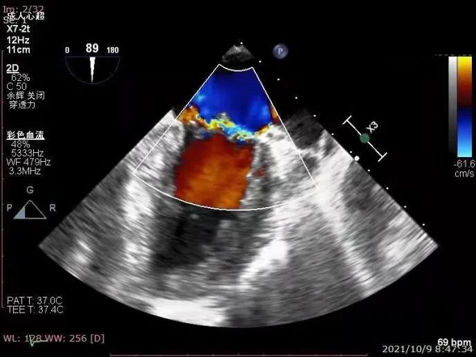
二尖瓣重度关闭不全伴后叶脱垂(2区)、左房右房左室扩大、肺动脉高压(轻度)。

诊断结果

二尖瓣重度关闭不全,阵发性心房颤动,慢性心衰急性加重。

手术策略

术前,李怡教授、庄晓东教授与王建安教授团队、Scott教授团队进行了多次讨论,考虑到患者高龄,STS 8.274分,外科手术风险较大,且二尖瓣脱垂并伴重度关闭不全,A2/P2区域较大面积脱垂,经股静脉-房间隔入路二尖瓣缘对缘修复术为最佳手术方案。

手术过程

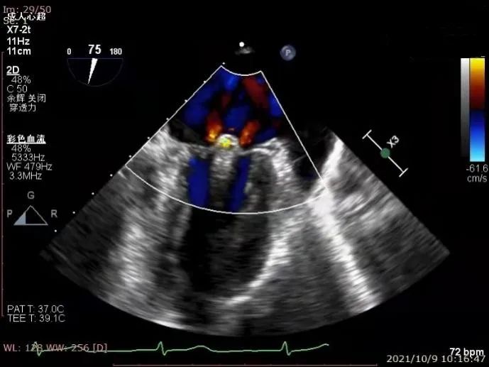
患者全麻后,在超声和射线引导下器械经股静脉穿刺房间隔,通过输送系统送入患者左心房,顺利到达病变的二尖瓣区域。在经食道超声及DSA引导下,术者通过反复评估二尖瓣膜脱垂范围、抓捕位置、反流程度,精准夹合,成功植入一枚DragonFly瓣膜夹稳定脱垂瓣叶。患者术后反流从4+减少到1+,跨二尖瓣平均压差3mmHg,血流动力学改善明显,手术取得圆满成功。

术前心超

术后心超

微创介入手术是目前已知创伤小,手术时间短,术后并发症少,恢复最快、对患者术后生活影响最小的治疗方案。尤其是股静脉-房间隔入路经导管二尖瓣缘対缘修复术是目前临床证据最成熟的二尖瓣介入技术。此次手术的成功宣告了中山大学附属第一医院心脏内科团队已掌握独立开展经导管二尖瓣缘对缘修复手术,为更多二尖瓣反流患者带去“心”希望。

经导管二尖瓣缘对缘修复技术目前已正式进入中国临床应用,DragonFly二尖瓣缘对缘修复器械于2020年7月23日完成首例探索性临床入组,并于2021年4月完成最后一例入组,共计23例探索性临床研究。早期的临床数据结果表明患者术后即刻的手术成功率高达100%,器械成功率达到100%。所有患者无主要不良事件发生,出院前二尖瓣反流均下降至中度及以下。充分证明了DragonFly二尖瓣缘对缘修复器械其安全性和有效性。

DragonFly目前在全国开展的多中心注册临床研究已陆续在各地医院展开,本研究计划入组DMR、FMR各百余例二尖瓣反流的患者,并为入组患者提供二尖瓣反流治疗的优质解决方案及各医院的专业医疗服务和术后随访服务。
阅读数: 768