近期,南宁市第一人民医院心血管内科主任刘杰带领TAVR团队,在多学科的通力配合下克服种种危险因素,成功救治一例高龄、重度主动脉瓣狭窄伴二尖瓣大量返流、缺血性心肌病、重度心功能不全、重度营养不良的患者,经过TAVR手术团队的密切配合和术后利用PICCO精准化指导治疗,患者术后恢复状况良好。
病史简介:
患者:女,72岁,43kg
主诉:反复活动后气促、胸闷3月,加重1周。
既往史:有冠心病、心功能不全病史10年,有2型糖尿病病史。
患者入院后两次发生急性左心衰。
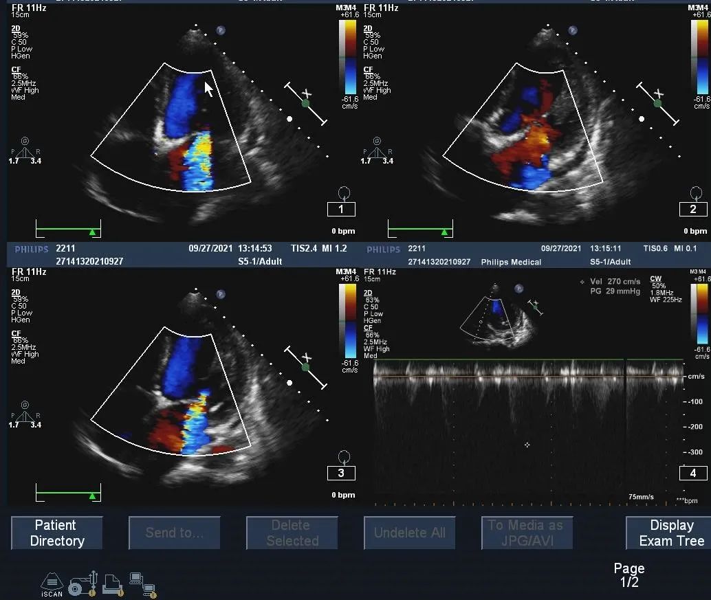
超声心动图所见:
1.全心增大,以左室增大为明显,左室呈球形。左室壁厚度偏薄(平均约6mm),室壁收缩运动普遍减弱。
2.主动脉瓣叶及结构显示不清,瓣膜明显增厚钙化,似呈纵裂式二叶瓣,开放明显受限,过瓣流速428cm/s,最大压差73mmHg,关闭欠佳,二尖瓣瓣环增宽,大量返流。余瓣膜形态及运动未见异常
3.升主动脉、肺动脉稍增宽
4.EF:29%
术前CT分析:
· 三叶瓣,中度钙化。整体结构呈上小下大,法式窦结构小,左冠瓣叶长度较长,流出道大。
· 冠脉严重钙化、提示严重冠心病。
· 难点:选择大号瓣膜担心冠脉风险,选择小号瓣膜担心瓣周漏。
· 29%的术前EF值,球扩后循环崩溃的风险极高。
术前CT分析:
瓣环平均直径:24.0mm,左室流出道平均直径:25.2mm
左冠窦:25.5mm,右冠窦:22.6mm,无冠窦:28.7mm,
窦管交界处:22.9mm
升主未见明显增宽:34mm,心脏角度:41°
钙化积分:501mm³,中重度钙化
左冠高度:10.9mm,右冠高度12.7mm
心室明显增大
双侧股动脉-髂动脉钙化,髂外动脉
手术策略:
患者反复左心衰发作,病情极其危重,刘杰主任立即组织多学科会诊(MDT),包括心血管外科、心脏重症监护室、麻醉科、导管室、超声科、呼吸内科、营养科等,由MDT团队对患者病情进行了深入分析、反复讨论后认为,患者可以明确诊断为重度主动脉瓣狭窄,且存在外科手术禁忌症。同时,该病例也面临着几点挑战:一、由于该患者存在着严重冠心病(心肌偏薄,与单纯的主动脉瓣狭窄不符合,考虑合并缺血性心肌病)、心功能极差,且伴有二尖瓣重度关闭不全,手术风险极高。最高风险极有可能发生于术中球囊扩张后,本身心功能差加上突然出现的大量主动脉瓣反流将导致左心室后负荷突然增加,存在术中循环崩溃的高风险,且手术效果可能不确切。二、患者的冠脉CTA提示冠脉有严重病变伴钙化,CTA判断欠佳,如冠脉造影明确严重冠脉病变且合并钙化,合并重度主动脉瓣狭窄,是一站式解决或是分次解决?三、由于患者心功能极差,围手术期的管理也是极其重要的一环,因此,术后还需要使用“脉波指示剂连续心排血量监测(PICCO)”进行精准化管理,PICCO能较好的监测患者血流动力学变化,主要监测包括心输出量(CI),每搏量指数(SVI),全心舒张末期容积指数(GEDI),血管外肺水指数(ELWI),全身血管阻力指数(后负荷)SVRI,左心室收缩指数(dpMax)等,能够让团队精确地进行血流动力学监测和前后负荷的管理。
刘杰主任把讨论结果向心血管内科学术带头人韦金儒院长汇报,韦院长指出:尽管患者本身及病情存在诸多尖锐矛盾,但如不解决重度的主动脉瓣狭窄,患者将很快濒临死亡。所以应该把重点放在解决重度主动脉瓣狭窄上,冠脉病变简单处理,建议一站式手术。次日,由刘杰主任主刀,按术前制定的方案进行TAVR手术,并做好了各种应急预案。
手术过程:
患者反复左心衰发作,病情极其危重,刘杰主任立即组织多学科会诊(MDT),包括心血管外科、心脏重症监护室、麻醉科、导管室、超声科、呼吸内科、营养科等,由MDT团队对患者病情进行了深入分析、反复讨论后认为,患者可以明确诊断为重度主动脉瓣狭窄,且存在外科手术禁忌症。同时,该病例也面临着几点挑战:一、由于该患者存在着严重冠心病(心肌偏薄,与单纯的主动脉瓣狭窄不符合,考虑合并缺血性心肌病)、心功能极差,且伴有二尖瓣重度关闭不全,手术风险极高。最高风险极有可能发生于术中球囊扩张后,本身心功能差加上突然出现的大量主动脉瓣反流将导致左心室后负荷突然增加,存在术中循环崩溃的高风险,且手术效果可能不确切。二、患者的冠脉CTA提示冠脉有严重病变伴钙化,CTA判断欠佳,如冠脉造影明确严重冠脉病变且合并钙化,合并重度主动脉瓣狭窄,是一站式解决或是分次解决?三、由于患者心功能极差,围手术期的管理也是极其重要的一环,因此,术后还需要使用“脉波指示剂连续心排血量监测(PICCO)”进行精准化管理,PICCO能较好的监测患者血流动力学变化,主要监测包括心输出量(CI),每搏量指数(SVI),全心舒张末期容积指数(GEDI),血管外肺水指数(ELWI),全身血管阻力指数(后负荷)SVRI,左心室收缩指数(dpMax)等,能够让团队精确地进行血流动力学监测和前后负荷的管理。
刘杰主任把讨论结果向心血管内科学术带头人韦金儒院长汇报,韦院长指出:尽管患者本身及病情存在诸多尖锐矛盾,但如不解决重度的主动脉瓣狭窄,患者将很快濒临死亡。所以应该把重点放在解决重度主动脉瓣狭窄上,冠脉病变简单处理,建议一站式手术。次日,由刘杰主任主刀,按术前制定的方案进行TAVR手术,并做好了各种应急预案。
手术过程:
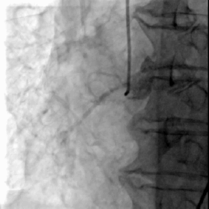
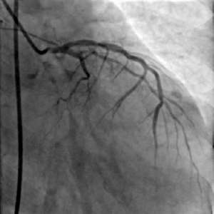
冠脉造影

LAD可见:近段70%-80%弥漫性狭窄,远段75%局限性狭窄,向右冠发出极丰富倒枝循环
冠脉造影
LCX远段闭塞
冠脉造影
右冠中段闭塞
冠脉造影提示患者存在严重冠脉病变,结合病史,缺血性心肌病诊断明确;
CAG后即刻出现血压下降、心率增快,考虑循环崩溃,因此需立即解决重度主动脉瓣狭窄
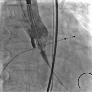
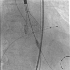
球囊扩张
瓣膜定位
快速释放瓣膜
快速释放瓣膜

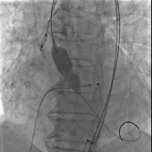
瓣膜到位,患者突然心跳骤停,立即给予胸外心脏按压并快速释放瓣膜,之后继续胸外心脏按压,肾上腺素静推。
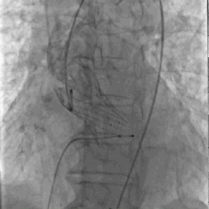
瓣膜完全释放,形态良好、无周漏
经过以上处理,患者心跳恢复、血压回升、术后压力阶差降至小于3-5mmHg,瓣膜形态良好,极少量瓣周漏,但患者随后出现持续性室性心动过速。
室速心电图给予起搏器超速抑制后转为窦性心律,但仍可见频发室性早搏
2021.9.27患者术后Picco监测提示心功能差,CI、CPI、GEF等心脏做功指标较低,后负荷(SVRI)高,血容量指标(GEDI)尚可,而肺淤血渗出指标(ELWL)增加等情况,术后立即给予强心、利尿及减轻心脏后负荷等处理,维持液体负平衡,患者心功能逐渐改善,CI由术后1.39 L/min/m2升至停止Picco前的2.23 L/min/m2,外周血管阻力由4913 dyn.s.cm-5.m2 降至2091 dyn.s.cm-5.m2 ,CPI从0.21w/m2升至0.42w/m2,GEF由7%提高至16%,GEDI维持平衡,ELWL从21mL/kg降至16mL/kg,继续予新活素扩张动静脉,降低心脏前后负荷等处理,2021.9.29血流动力学基本稳定,查体双肺听诊无干湿性啰音,观察患者自主呼吸良好,血氧饱和度正常,四肢肌活动有力,顺利撤除呼吸机辅助通气,2021.9.30停止Picco监测,将于近日康复出院。
南宁市第一人民医院刘杰主任首次在国内提出了:在高危重度AS患者的TAVR围手术期利用PICCO进行精准化监测和治疗,并进行了科研立项。PICCO能针对TAVR围手术期的血容量进行精细化管理和针对性的处理,提高手术的成功率和保障患者安全,改善预后,为临床应用与推广提供了理论支持和客观依据。
专家介绍

刘杰,中共党员、主任医师、医学硕士、心血管内科主任,南宁市胸痛中心联盟副主席、南宁市胸痛中心联盟培训组组长、广西医师协会心血管内科医师分s会常务委员,亚太结构性心脏病青年俱乐部黄金会员,广西预防医学会老年病防治专业委员会常务委员、中国医疗保健国际交流促进会精准心血管病分会委员、海峡两岸医药卫生交流协会老年医学专业委员会青委会常委、广西中西医结合学会心脏介入专业委员会委员;
擅长复杂、高危冠脉病变的介入治疗(左主干及分叉病变、慢性闭塞病变(CTO)、钙化病变),熟悉各种冠脉介入技术(各种分支支架术、冠脉斑块旋磨术、冠脉内超声检查、冠脉血流分数储备、正、逆向开通CTO),擅长外周动脉疾病介入(包括主动脉夹层、动脉瘤腔内隔绝术,椎动脉、锁骨下动脉、肾动脉、下肢动脉),率先在南宁市级医院开展了国内领先的经导管主动脉瓣置换术(TAVR)并取得了良好疗效;熟悉原发性醛固酮增多症、大动脉炎、纤维肌发育不良的诊断、药物及手术介入治疗;常规开展肾上腺静脉分侧取血(AVS)等继发性高血压介入检查。拥有专利1项、主持及参与卫计委课题多项、参与国自然课题1项、获广西适宜技术推广奖3等奖、参与翻译心血管著作《心脏导管手册》,在SCI、国内专业期刊发表论文20余篇。
门诊时间: 每周三上午