近日,在陆军军医大学大坪医院,在心血管内科曾春雨主任的统筹下,王伟教授、王红勇教授带领瓣膜介入团队,应用VenusA-Valve瓣膜完成两例喉罩麻醉+极简式TAVR手术,两例病人虽然结构复杂(一例为二叶式主动脉瓣畸形伴重度钙化,另一例合并冠脉重度病变,需行PCI+TAVR一站式手术),但在团队的密切配合下,两台手术圆满完成。患者术中安全舒适,术后恢复良好。该团队对TAVR技术的娴熟运用,给更多主动脉瓣膜狭窄患者带来了治愈的希望。
病例一
患者男性,71岁,于2020年2月劳累后突发晕倒,持续时间约数分钟,期间意识丧失,醒后乏力及大汗淋漓,此后患者又因劳累晕倒2次,性质及持续时间同前;于2021年6月左右,患者诉出现胸闷、气促的症状及频率加剧,且伴随头晕乏力。
超声显示
EF:71%
主动脉瓣平均跨瓣压差:65mmHg
主动脉瓣口峰值流速:4.05m/s
超声诊断:二叶主动脉瓣重度狭窄伴轻度关闭不全
CT评估
瓣环直径:24.5mm,左室流出道直径:25.4mm
主动脉窦:25.9*36.9mm,STJ:30.4mm
升主动脉直径:36.5,心脏夹角:59度
左冠高度:20.1mm,右冠高度:19.5mm
钙化积分及分布
入路情况
难点分析
该患者为二叶式畸形主动脉瓣极重度钙化,钙化积分高达1333,且在左右冠窦交界处存在钙化粘连,瓣膜下滑风险增加,球扩时瓣环撕裂风险增加;
心脏角度略大,输送器跨瓣困难,释放瓣膜时,瓣膜与瓣环同轴性差;
因患者为二叶式主动脉瓣畸形,左右冠窦交界处容易发生瓣周漏。
手术策略
经过分析研判,结合患者瓣上结构,拟采取downsize手术策略,优先需用L23号的VenusA-Valve瓣膜,备L26,术中根据20mm球囊预扩结果来确认选型,术中如遇到输送器跨瓣困难,避免强行推进,可以使用圈套器协助,瓣膜释放后结合造影和超声情况,决定是否后扩。
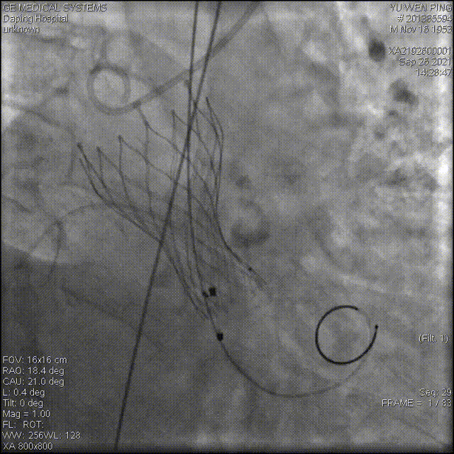
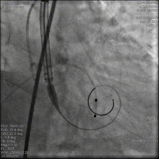
术中影像
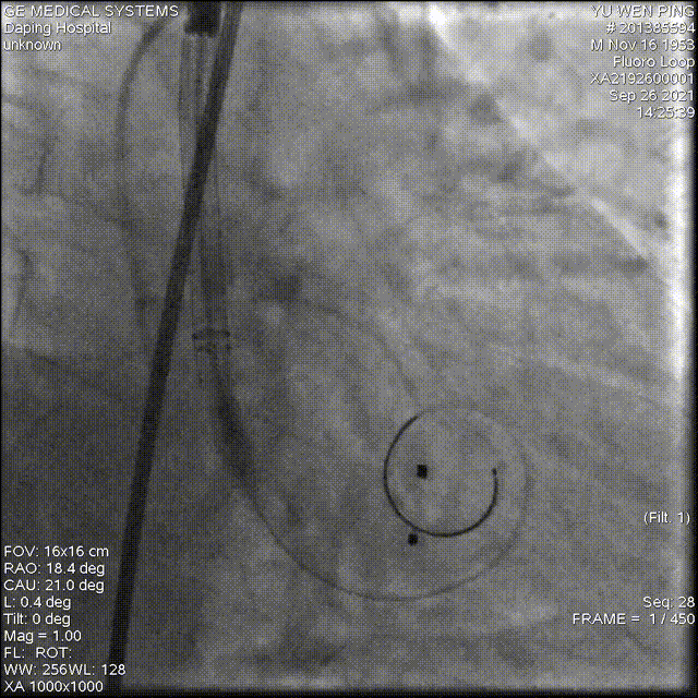
以 Seldinger法穿刺右桡动脉,使用Pig造影导管行主动脉根部造影
20mm球囊预扩,有腰无漏
造影确定释放位置

释放成功,但存在中度瓣周漏,经20mm球囊后扩,造影见微量瓣周漏,较前明显好转
术后结果
术后造影及超声探查未见反流,跨瓣压差由术前65mmHg降为3mmHg,术中及术后未出现相关并发症,手术圆满完成。
患者男性,67岁,于2月前活动后开始出现胸闷,每次持续时间约5-6分钟,休息后可部分缓解,近期因症状加重,遂来医院检查。
EF:71%
主动脉瓣跨瓣压差:40mmHg
主动脉瓣口峰值流速:7.6m/s
超声诊断:主动脉瓣重度狭窄伴轻度关闭不全
CT评估
主动脉根部解剖结构
瓣环直径:26.9mm,左室流出道直径:27.7mm
主动脉窦:36.2*37.5*36.8mm,STJ:31.4mm
左冠高度:13.0mm,右冠高度:19.4mm
升主动脉直径:38.3mm,心脏夹角:48度
钙化积分及分布
入路情况
难点分析
该患者为TYPE1型二叶瓣,且主动脉瓣极重度钙化,钙化积分高达1351,瓣膜移位风险增加。
患者左右窦之间存在钙化融合,融合脊较难推动,且瓣口打开呈椭圆形,可能出现瓣中瓣无法解决的瓣周漏。
病人冠脉有狭窄,考虑同期行PCI。
手术策略
经分析研判,决定采取先行PCI再行TAVR的一站式手术策略,结合患者瓣上结构,拟采取downsize选择瓣膜型号,确保患者手术安全,优先选用L26号VenusA-Valve瓣膜,备选L29,术中根据22mm球囊预扩结果来确认选型,瓣膜释放后结合造影和超声情况,决定是否后扩。
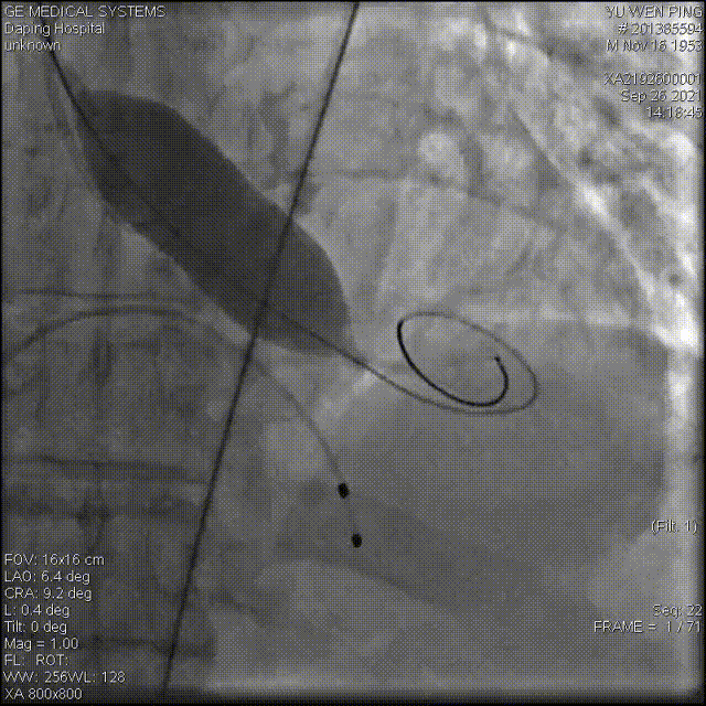
术中影像
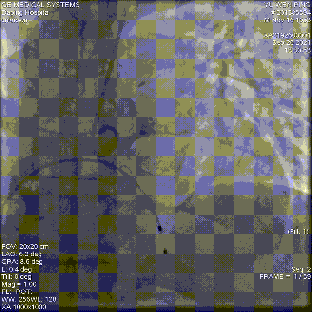
以 Seldinger法穿刺右桡动脉,行PCI后,使用PIG造影管行主动脉根部造影
22mm球囊预扩
造影确定输送器位置
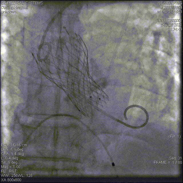
高位释放瓣膜
受钙化挤压影响,瓣膜展开状态差,决定进行后扩
22mm球囊后扩
经后扩,支架展开形态良好
术后结果
总结
琴心剑魄,势如破竹!两台高难度极简式TAVR手术,一方面反映出大坪医院心血管内科团队对TAVR术式的深刻理解,另一方面体现了大坪医院各学科之间的紧密协作。另外值得注意的是,两台手术均采用了喉罩麻醉以及经胸超声,在确保手术效果的前提下,最大程度保证患者舒适度,充分体现了“以人为本”的治疗理念。王伟教授总结“两例患者均为重度钙化导致的主动脉瓣狭窄病变,侧面反映出我国患者的病理解剖特点, VenusA-Valve具有较强的径向支撑力,为这类患者的手术提供了有效帮助。北京安贞医院心脏瓣膜病介入中心团队为该两例手术的成功提供了大力支持。”
专家简介

心血管内科主任医师、教授、科室副主任。博士生导师、留美博士后、国家优秀青年科学基金获得者。
长期从事临床诊疗工作,对各种心血管疾病如冠心病、瓣膜病、高血压、心力衰竭、心律失常和心肌病的诊疗经验丰富。擅长疑难和危重患者的诊治,擅长冠脉介入诊疗及心脏瓣膜病的介入治疗。
科研方向为心脏修复与再生。获重庆市“青年拔尖人才”、军队“优秀青年科技人才”等荣誉。兼任重庆市心血管病专委会常委等学术职务,Circ Res等SCI期刊审稿人。