北京安贞医院周玉杰教授团队完成华北地区首例EVOLUT PRO植入

2021年9月26日,首都医科大学附属北京安贞医院周玉杰教授团队成功为一位高龄、复杂的重度主动脉瓣狭窄高龄患者置入最新一代EVOLUT PRO瓣膜系统,属华北地区首例临床研究植入。

图片

患者是一位78岁老年女性,因“心前区不适2月余”入院,既往高血压、高脂血症、外周动脉疾病和COPD病史。
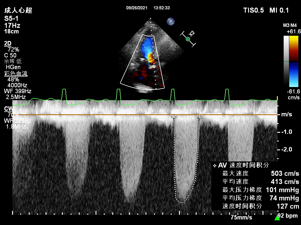
术前超声心动图:主动脉瓣重度狭窄伴轻度反流,瓣口面积仅0.37cm²,LVEF 71%,Vmax:5.15m/s,平均压差68mmHg,冠状动脉造影示LAD近段、中段狭窄50%-70%,LCX远段狭窄30%-50%,RCA中段狭窄30%-50%,MDCT示三叶瓣伴钙化,瓣环直径21.9mm,LVOT、SOV和STJ直径均较小,分别为20.3mm、26.7mm和21.8mm,左冠开口高度12.3mm。
图片
图片

术前明确了常用的工作体位(coplanar view和cusp overlap view)

图片

对入路血管分析发现,双侧股动脉分叉位置较高,右侧髂动脉最小管腔直径4mm,可疑斑块或血栓,左侧髂动脉最小管腔直径5.5mm。

图片

术中影像

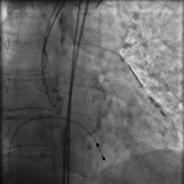
右侧股动脉造影提示股动脉管腔较细,分叉较高,遂选择左侧股动脉为主入路

图片

右侧股动脉细 分叉高

coplanar view主动脉根部造影提示主动脉瓣复合体结构较小,无明显主动脉瓣反流

图片

主动脉根部造影

成功跨越主动脉瓣后依次使用18mm和20mm球囊预扩张

图片

球囊扩张

瓣膜输送系统于LAO view通过主动脉弓(Flush port朝向3点钟方向以确保commissure alignment)

图片

过弓

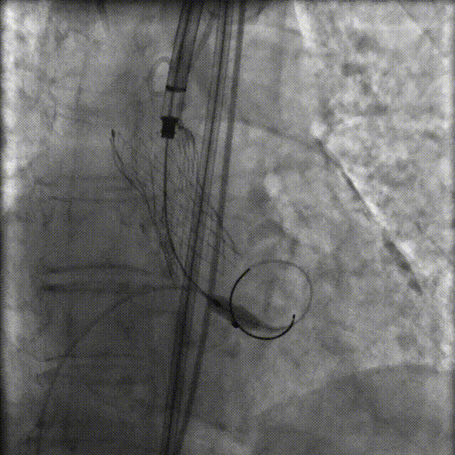
cusp overlap view释放Evolut Pro 26mm瓣膜

图片

瓣膜释放

瓣膜释放后主动脉根部造影提示瓣膜膨胀、位置良好,无主动脉瓣反流,未影响冠脉开口

图片

 释放后造影

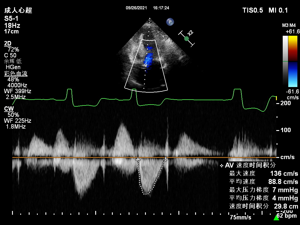
术后超声

主动脉瓣最大流速由5.03 m/s下降至1.36 m/s,平均压差由74mmHg下降至4mmHg,未见主动脉瓣反流

图片

患者为高龄女性,手术难度非常大。

难点一:主动脉瓣复合体整体结构小,为避免损伤主动脉和获得更好的血流动力学效果,选用环上瓣(Evolut Pro 26mm);

难点二:患者双侧髂-股动脉多发动脉硬化斑块,伴有管腔细小、血管严重迂曲及重度钙化,右侧入路最小直径4mm,左侧入路最小直径5.5mm,多次尝试均难以通过,最终应用Inline sheath技术成功将瓣膜送达;

难点三:患者冠脉开口低,联合cusp overlap view和commissure alignment技术确保瓣膜置入深度合适且不阻挡冠状动脉开口。

图片

首都医科大学附属北京安贞医院老年心血管病中心由多学科管理团队组建,推行协同诊疗模式,实施心脏瓣膜病的规范诊疗和长期管理,以最大程度提高心脏瓣膜病患者的生存率和生活质量。该患者术前经过影像科徐磊主任团队及心脏超声科张纯主任团队的精准评估和诊断,周玉杰教授为患者制定了周全的手术方案,周玉杰教授及其团队成员(参与手术的还有张海波教授、史冬梅教授、王志坚教授、刘巍教授、郭永和教授、申华、于一、贾硕、杜俣)克服重重困难,成功为患者植入Evolut Pro 26mm主动脉瓣瓣膜。术后主动脉瓣最大流速由5.03 m/s下降至1.36 m/s,平均压差由74mmHg下降至4mmHg,无主动脉瓣反流,心率血压平稳,双侧股动脉良好,术后24小时患者可下地自由行走。2021年9月29日,是第22个世界心脏病日,周玉杰院长亲自为患者制定出院诊疗计划,为患者送上暖心的关怀,带来了“心”希望。

图片

阅读数: 5213