2021年09月27日,江西省心血管病医院洪浪院长带领团队完成一例TAVR冠脉高风险手术。在超声科、麻醉科、介入室技师等多学科的共同协助配合下,手术顺利完成。江西省心血管病医院经过不断的发展,团队人员各司其职,尤其是在处理高难度和疑难病例时,技术越来越成熟!
病史简介
患者
女,64岁。
既往史
患者反复胸闷10年余,出现胸闷、气短、多于活动后,休息可缓解,未予以重视。2017年再次出现上述症状,活动后明显加重,予以药物治疗。患者1月前症状再次发作,为求进一步治疗,到我院就诊,以“心脏瓣膜病”收治入院。有糖尿病病史16年。
术前检查
心脏超声
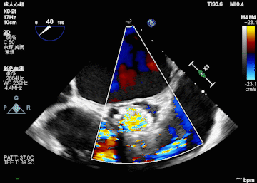
峰值流速:4.3M/s; 最高跨瓣压差:73mmHg; 平均跨瓣压差:43mmHg; 左室射血分数EF值:0.59; 左室舒张末期内径(LVD):5.3 cm。
主动脉瓣评估:三叶瓣,不均匀钙化,右无窦钙化交界处钙化严重,左冠瓣无明显钙化,瓣叶较厚,右无钙化明显。主动脉重度狭窄并中度关闭不全,二尖瓣轻中度狭窄,左房扩大,同时二尖瓣三尖瓣都伴有返流。
主动脉CT
主动脉瓣环周长73.2 mm,最长直径35.5 mm,左室流出道最长直径27.9 mm;左冠开口高度12.4 mm,右冠开口高度15.2 mm;窦宽31.8 mm/29.4 mm/31.8 mm。
瓣环形态
手术策略及治疗
策略制定
洪浪院长总结了该病例特点:左冠开口低且瓣叶冗长、右无窦钙化粘连,左冠高风险,对于这种特殊病例,在瓣膜选择上需要非常谨慎。洪院长组织心内科、超声科、心外科、麻醉科、CCU、介入室等科室进行术前策略分析。考虑到左冠瓣叶也有增厚,球囊预扩可能会影响左冠灌注,右无交界处呈明显团状钙化,考虑球扩无法扩开。
存在风险:
1、左冠存在高风险;
2、流出道较宽,瓣膜有下滑风险。
手术方案:
监护麻醉,右股动脉为主入路,左股为辅入路,通过瓣膜输送导丝直接起搏,选用18mm球囊扩张,使用VitaFlow Liberty™ 24瓣膜。
术前讨论会
手术过程
l 麻醉方式:全身麻醉+气管插管
l 导 尿:术前患者导尿。
l 静脉输液:右颈静脉穿刺取置入中心静脉置管
l 临时起搏器:左锁骨下静脉送入临时起搏电极
l 主入路:右股动脉(穿刺,ProGlide预埋)
l 辅入路:左股动脉
l 球囊选择:选择敖广球囊18mm预扩张
l 冠脉风险评估:观察球囊扩张对冠脉的影响
l 瓣膜选择:植入24 型号VitaFlow瓣膜(21备选)
l 术后即刻超声评估
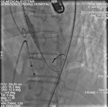
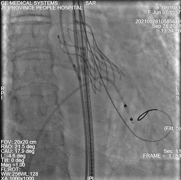
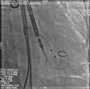
术中操作
加硬导丝输送大鞘
球囊扩张
瓣膜定位
释放后
后扩
球扩后左冠开口到左冠瓣距离
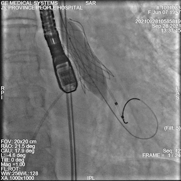
最终造影
撤鞘
术中情况:术中超声及造影评估,左冠灌注未受影响,瓣膜释放后无明显下滑,洪浪院长术中使用VitaFlow Liberty™进行操作,并精准释放,超声及时辅助评估,VitaFlow二代可回收功能给术者增加信心,可以更放心、大胆的挑战高风险病例。
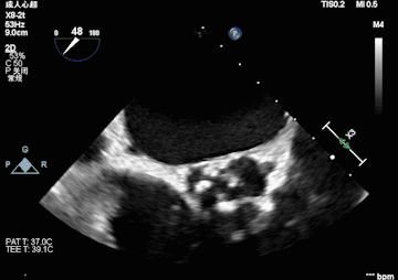
术前超声影像
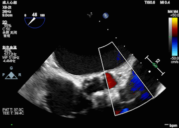
术中球扩后超声影像
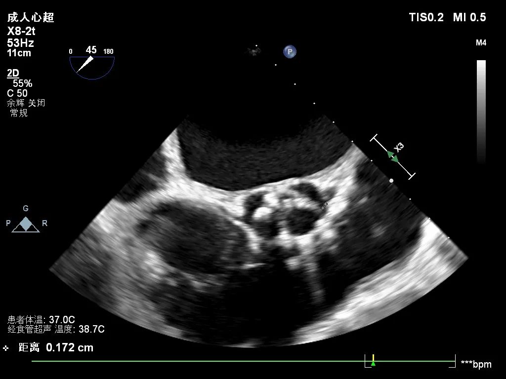
术后超声影像
术后压差对比
结语
在多学科协作下,江西省心血管病医院完成江西省首例VitaFlow Liberty™,进入电动可回收TAVR新时代!该患者主动脉瓣重度狭窄,且CT评估左冠高风险,洪浪院长TAVR团队默契配合,术前充分评估每个重要环节及其应对措施,为手术的成功奠定了基础。患者平均跨瓣压差由术前的67mmHg降至1mmHg,少量瓣周漏,手术取得圆满成功。相比传统开放手术,经股动脉的TAVR不需要体外循环,不需要开胸,没有明显失血,麻醉时间更短,创伤小、恢复快。主动脉瓣膜介入治疗从10年前的前沿探索到现在逐步成为一种主流手术模式,我国瓣膜介入技术正在发生翻天覆地的变化,在此背景下,江西省心血管病医院洪浪院长带领团队不断创新,不断提高团队技术水平,挽救患者生命和提高老年患者生活质量。
术中精彩瞬间
效果良好,术后合影
VitaFlow Liberty™是目前全球唯一一款商业化的电动可回收TAVI系统,其创新性的电动输送系统,在实现稳定精准释放回收的同时,也为术者提供了更好的操控体验;另外VitaFlow Liberty™是目前国内商业化输送系统中唯一可实现瓣膜段360度弯曲功能的输送系统。其较好的柔顺性可有效减少对血管损伤的风险。VitaFlow Liberty™继承了心通医疗第一代TAVI 产品- VitaFlow®的混合密度支架结构,继续使用具有更好耐久性的牛心包做为瓣叶材料,且其合理的双层裙边设计能更大范围有效封堵瓣周漏。
专家简介

洪浪
江西省心血管病医院院长
江西省心血管研究所所长
卫计委“冠心病介入诊疗技术培训基地”、“先心病介入诊疗技术培训基地”及“心律失常介入诊疗技术培训基地”主任;中华医学会心血管介入培训江西基地主任;国家药物临床试验江西基地心血管专业主任;中国医师协会心血管分会先心病工作委员会委员;江西省介入心脏病学会理事长;江西省医师协会心血管内科医师分会会长;江西省“冠心病介入治疗质量控制中心”主任;江西省人民医院胸痛中心技术总监;江西省生物医学工程学会心电起搏分会常委;美国心脏节律协会会员;《中国介入心脏病学杂志》及《中国心脏起搏与心电生理杂志》编委;中国医疗保健国际交流促进会心血管健康医学分会委员;中国医疗保健国际交流促进会心血管病学分会委员。