心脏瓣膜病是结构性心脏病领域最主要的疾病,既往心脏瓣膜病只能通过外科开胸修复或置换的方式治疗,经过近年的迅猛发展,介入治疗已成为结构性心脏病患者治疗的主要手段,该领域取得重大进展,多项技术逐渐走向成熟。首都医科大学附属北京安贞医院集中优势资源,成立了全国第一家心脏瓣膜病介入中心。该中心近期继续在同一天完成两例经导管二尖瓣缘对缘修复,其中一例为联合瓣膜病,并在四月前已于该中心行TAVR手术。
第一例:TAVR+TEER
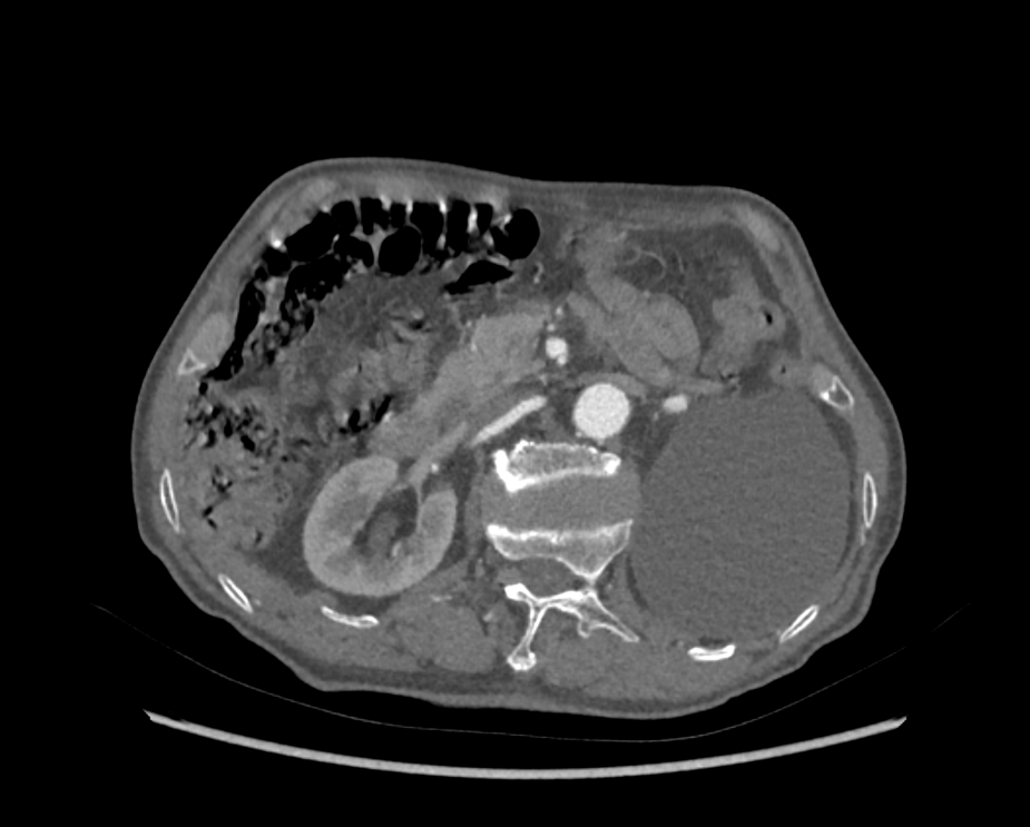
患者为74岁男性,2年前活动后出现胸闷、气短,休息后可以缓解。2021年5月症状加重,我院超声心动图提示:主动脉瓣反流(重度)、二尖瓣反流(重度),二尖瓣后叶脱垂(P2区)。左肾巨大囊肿,肾实质几不可见,左肾几无功能。
左肾巨大囊肿,压迫肾实质
术前讨论:
患者老年男性,心衰症状明确,一般情况较差,肾脏储备功能差,外科手术高危,STS评分15.6%。其合并多瓣膜病,主动脉重度关闭不全及二尖瓣退行性重度反流均有介入手术指征,经讨论,拟先行TAVR术,术后最佳药物治疗,随访二尖瓣反流及患者心力衰竭变化情况,根据情况择期行二尖瓣钳夹。
TAVR术前评估及手术过程
手术过程:
置入Venus-A 29主动脉瓣,术中复查经胸超声未见瓣周返流,二尖瓣返流较前有所改善,但仍为重度反流。术后出现三度房室传导阻滞,行永久起搏器植入。
患者出院后最佳药物治疗,喘憋症状较前减轻,但仍活动中出现喘憋症状,于9月再次入院拟行二尖瓣钳夹术。
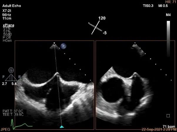
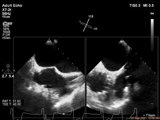
术前超声评估
术前讨论
患者老年男性,原发性二尖瓣重度关闭不全诊断明确,患者存在心力衰竭症状,经积极药物抗心衰治疗,其心衰症状改善不明显,考虑二尖瓣重度关闭不全对患者心功能影响较大,其二尖瓣置换STS评分8.131%,经综合评估后,认为该患者有行二尖瓣钳夹指征。
手术过程:
患者麻醉方式为全麻,建立静脉通路后,穿刺右侧股静脉,预埋ProGlide缝合器,食道超声指导下房间隔穿刺成功,将硬导丝送至左房,后沿导丝将导引导管送入左房,导入二尖瓣膜夹系统,在食道超声辅助下,将2枚二尖瓣瓣膜夹(XW0612及XN0412)成功夹合二尖瓣A2-P2区,超声显示反流明显减少,多切面证实夹合组织充分,肺静脉多普勒波形由反向恢复正常,手术顺利结束,安返普通病房。
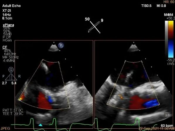
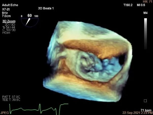
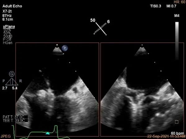
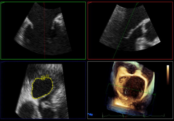
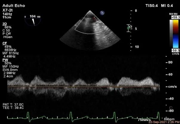
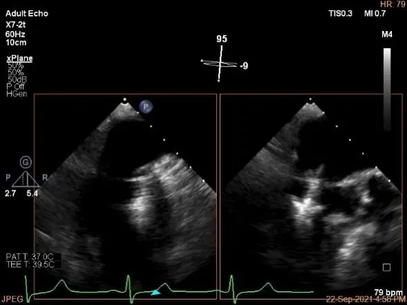
术中超声
P2区脱垂,宽14.8mm,Gap:3.3mm
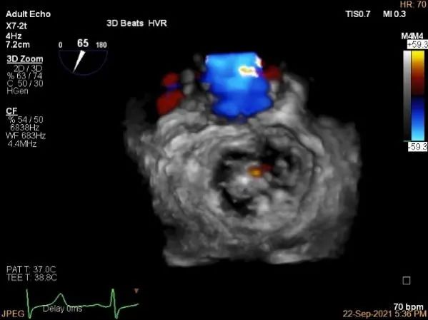
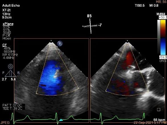
3D-color,返流重度,3+级
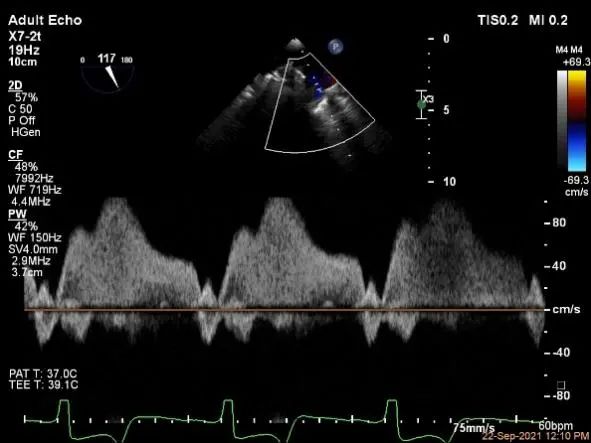
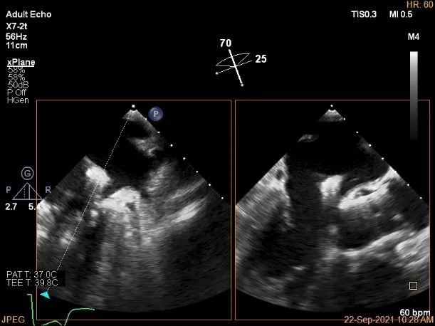
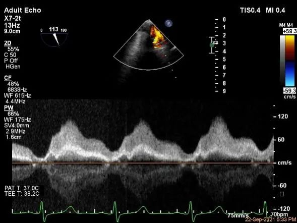
麻醉状态下左肺静脉血流频谱
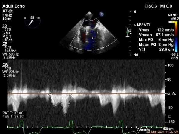
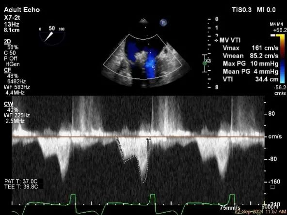
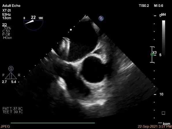
MVA:6.67cm²
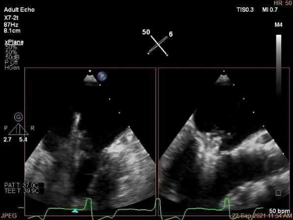
房间隔穿刺点选择
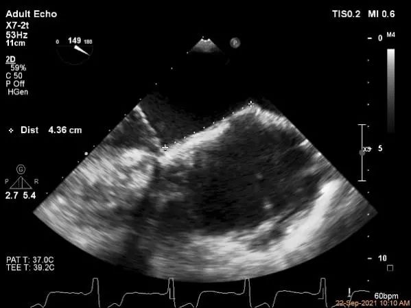
穿刺高度:4.3cm
过大鞘
出夹子,做trajactory
调rotate
夹子进左室
瓣叶捕获后,前叶抓捕长度9.1mm,后叶抓捕长度7.8mm
外侧残余少量分流
第一个夹子外侧残余小脱垂
残余分流主要来源于残余脱垂区域
评估瓣口条件,平均跨瓣压差:2mmHg,决定在第一个夹子外侧下第二个夹子
第一个夹子外侧放第二个夹子
第二个夹子捕获瓣叶后,前叶抓捕长度9.3mm,后叶抓捕长度7.3mm
未见明确残余分流
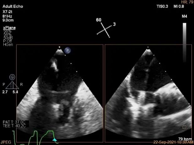
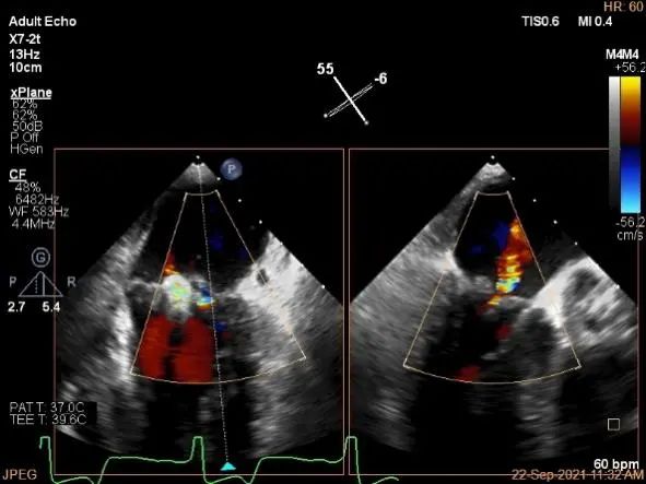
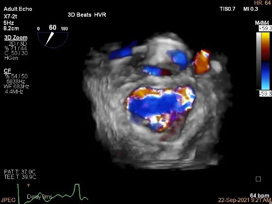
三维评估两个夹子位置
3D-color再次确定未见残余分流
评估瓣口条件,平均跨瓣压差:4mmHg
肺静脉血流频谱恢复正常
第二例:Mitraclip1例
患者为72岁女性,主因“间断心悸10余年,加重伴胸闷1年”入院,患者10余年前无明显诱因出现心悸,无胸闷、气短等不适,未正规诊治。1年来患者心悸症状较前发作频繁,伴胸闷、气短,以夜间平卧时症状明显,就诊于当地医院,行超声心动提示:二尖瓣大量反流、二尖瓣后叶脱垂可能,予患者口服药物治疗,上述症状改善不明显。4月前就诊于我院,行超声心动:二尖瓣后叶腱索断裂并脱垂,二尖瓣重度关闭不全,左心、右房增大,今为进一步诊治收入院。
既往史:高血压30余年,现血压控制在120-130/80-90mmHg,冠状动脉粥样硬化病史,无糖尿病病史。
入院诊断:心脏瓣膜病 二尖瓣腱索断裂 二尖瓣后叶脱垂 二尖瓣重度关闭不全,心功能III级(NYHA分级) 高血压病1级(极高危),冠状动脉粥样硬化。
术前评估:患者老年女性,原发性二尖瓣重度关闭不全诊断明确,患者存在心力衰竭症状,经积极药物治疗,其心衰症状改善不明显,考虑二尖瓣重度关闭不全对患者心功能影响较大,其二尖瓣置换STS评分8.322%,外科高危,经综合评估后,认为该患者有行Mitraclip指征。
术前超声评估
手术过程:
患者麻醉方式为全麻,建立静脉通路后,穿刺右侧股静脉,预埋ProGlide缝合器,食道超声指导下房间隔穿刺成功,将Superstiff导丝送至左房,应用18F鞘管扩张穿刺部位,沿导丝将导引导管送入左房,MitraClip调整后顺利到达二尖瓣目标位置,在食道超声辅助下,将Mitraclip NTR成形夹精确定位后,成功夹合二尖瓣A1-P1区,超声显示反流明显减少,多切面证实夹合组织充分,肺静脉多普勒波形由反向恢复正常,手术顺利结束,安返普通病房。
术中超声
3D:P1区脱垂并腱索断裂,Width:11.4mm
3D-color:重度MR,4级
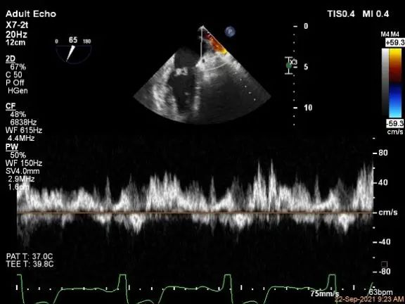
麻醉状态下肺静脉血流频谱
MVA:7.8cm²,平均跨瓣压差:1mmHg
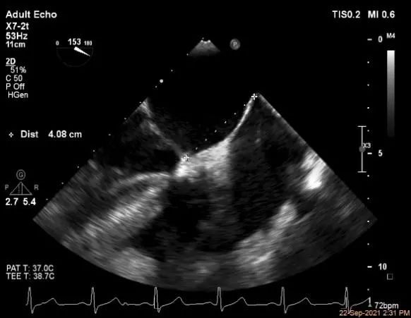
房间隔穿刺点选择
穿刺高度:4.08cm
过大鞘
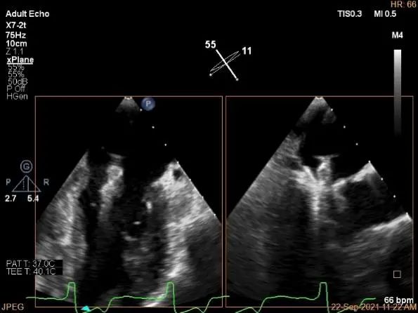
出夹子,建立trajactory
3D调Rotate
夹子进左室
瓣叶捕获后,计算前叶捕获长度9mm,后叶捕获长度7mm。
夹子夹闭后,未见明确残余分流
3d确认夹子位置在P1区
3d-color确认残余分流情况
评估二尖瓣瓣口平均跨瓣压差:1mmHg
肺静脉血流频谱恢复正常
专家简介

教授,博士生导师,心脏瓣膜病介入中心主任
专业擅长:主动脉瓣狭窄、二三尖瓣关闭不全等心脏瓣膜病的介入治疗,左心耳封堵术,复杂冠心病的介入治疗。
中国医师协会心血管病分会结构专家委员会秘书,中华医学会北京分会心血管病委员会结构学组秘书,中华医学会北京分会心血管病委员会青年委员会委员,亚太结构性心脏病青年俱乐部秘书长,亚洲心脏病瓣膜病学会中国分会心脏瓣膜病介入治疗技术学术委员会副主任委员,中国医疗保健国际交流促进会心血管预防治疗分会“冠心病防治学组”委员,世界中联专业委员会心血管介入协会 委员,中国结构周核心工作组秘书长,亚太结构心脏会议(AP-CASH)日程委员会委员,中国心脏大会(CHC)日程委员会/主席团委员,中国介入心脏病大会(CIT)工作组/主席团委员,欧洲介入心脏病年会(EUR-PCR)主席团成员,德国结构和先天性心脏病年会(CSI)主席团成员,美国介入心脏病年会(TCT)主席团成员,美国心脏病学院(ACC)复杂冠心病介入介入导师,复杂冠脉CTO介入治疗-正向内膜下重回真腔技术(ADR)认证术者,全球TAVR(启明、微创、爱德华等)带教专家,全球LAAC(波士顿科学等)带教专家。
主要进行退行性瓣膜病介入治疗、复杂冠心病介入治疗,糖尿病合并冠心病诊疗、冠心病介入治疗术后微循环功能评价等系列研究,2015.2-2016.7 美国Cedars Sinai Medical Center博士后学习,累计完成TAVR手术超过1000例,其中TAVR+PCI一站式治疗100余例,累计完成LAAC超过200例,其中LAAO+PCI一站式治疗50余例,主持结构性心脏病影像核心实验室,目前完成CT分析2000余例,包括TAVR和LAAC,为全国提供临床和科研支持,带教省级医院横跨30余省市60余家,主持国家自然青年基金、教育部博士点基金、协和青年基金等多项课题,研究成果在ESC、CHC和CIT等大会报告,发表论文20余篇,共计他引110余次,发表文章质量高:63.2%的文章均发表在《我国高质量科技期刊分级目录》收录的期刊中; 21%的文章位于T1区(国际一流期刊),31.6%的文章于T2区(国际知名期刊),参与编写、翻译多部书籍,主译《心脏导管手册》,《结构性心脏病介入治疗》。《结构性心脏病集萃2020》。