厦心王焱团队成功为待心脏移植终末期心衰患者行二尖瓣钳夹术

近日,厦门大学附属心血管病医院为一名等待心脏移植的终末期心衰患者成功施行了经股静脉二尖瓣钳夹手术。该患者反复活动胸闷气促10余年,长期优化药物治疗仍反复发作心衰入院,近一年心衰症状加重,经心脏移植团队评估具备心脏移植指征。

但在等待心脏供体的过程中,心功能仍进一步恶化。经王焱教授领衔的结构性心脏病团队评估,使用微创二尖瓣缘对缘修复手术,改善重度二尖瓣反流是目前最佳治疗方案。
图片

患者,男,59岁, 长期吸烟,心肺功能差。

主要诊断:心脏瓣膜病,功能性重度二尖瓣反流,冠状动脉粥样硬化性心脏病(LCX PTCA术后),持续性心房颤动,CKD I期。患者近10余年来持续心衰发作,夜间不能平卧,血压低(80/50mmHg),于3个月前转诊我院,入院后行TTE示:全心扩大,LVDD 75mm,LVS 64mm,LVEF 31%,重度二尖瓣反流。

行冠脉CAG示:LM未见明显狭窄,LAD中段 50%狭窄,LCX近段90%狭窄,RCA远段斑块,行LCX PTCA术。

术后继续予以冠心病二级预防、控制血压、心率/律、改善心功能等对症支持处理。经积极予以最佳药物治疗3月后,患者仍有反复胸闷、气促,近一月反复夜间呼吸困难,血压偏低。

行TEE示:功能性重度二尖瓣反流、二尖瓣口舒张期几何面积 4.41cm²、收缩期二尖瓣口偏心性反流束缩流颈宽度7.2mm、PISA定量瓣口EROA=0.58cm²。STS评分高达22.1%。患者虽然为终末期心衰,二尖瓣反流量多,根据COAPT研究的结论, 患者具有TEER手术指征,考虑患者等待心脏移植一年,未有供体,但患者病情危重,心功能持续恶化,厦心结构性心脏病团队决定为患者实行经导管二尖瓣钳夹术。

手术过程

手术麻醉后,患者频发室早二联律合并室内传导阻滞,术中突发室颤,予以电除颤后转复房颤心律。穿刺房间隔后,经导管测定左房压力为:49/29/15mmHg。在患者血压下降至76/38mmHg,予血管活性药物应用后血压仍低,遂予IABP植入,之后患者血压维持在120/65mmHg。
之后迅速调整夹子位置,准确的捕获二尖瓣叶,完成了夹合。术后即刻(植入第一个夹子)TEE示:二尖瓣反流降低至中度,二尖瓣压差6mmHg;测定左房压力:23/20/17mmHg。
考虑患者残余反流仍偏高,经团队评估后,遂植入第二个夹子。术后即刻(植入第二个夹子)TEE示:二尖瓣反流降低至微量,二尖瓣压差1mmHg;测定左房压力:19/16/14mmHg,手术成功。患者术后即刻麻醉清醒,血压维持在110/60mmHg, 胸闷,呼吸困难症状明显缓解。
图片

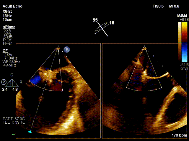
基线view

图片

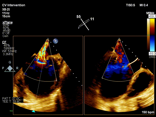
第一个架子后

图片

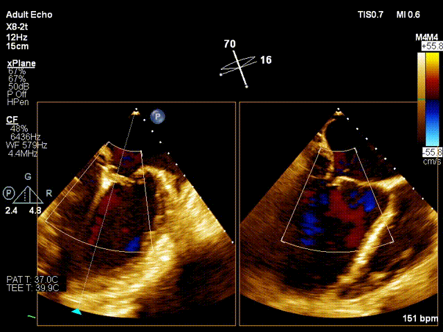
Final

图片

3D基线view

图片

3D一个架子后

图片

3D Final

目前,经导管二尖瓣钳夹术已成为外科手术风险高危的重度二尖瓣反流患者改善症状和预后的有效替代策略。国外有少量使用左室辅助装置治疗该类急危重症的报道。我院针对该类鉴于该类手术高危患者,使用左室辅助装置,有效增加患者心脏耐受力,保障手术安全进行,不失为安全有效的方法。

图片

自经股静脉二尖瓣钳夹技术在国内获批应用以来,厦门大学附属心血管病医院在该领域不断创新,勇于挑战,无论手术量及手术难度都处于国内领先地位。此次在左室辅助装置下,为终末期心衰患者成功施行微创二尖瓣修复手术,有望为这位患者赢得了宝贵的等待心脏移植手术的时间,也给广大二尖瓣反流的心衰患者带来了福音。

阅读数: 4923
相关专题