安贞医院瓣膜病介入中心利用国产器械在国内首次开展TAVR+TEER微创治疗联合瓣膜反流

心脏瓣膜病是结构性心脏病领域最主要的疾病,既往心脏瓣膜病只能通过外科开胸修复或置换的方式治疗,经过近年的迅猛发展,介入治疗已成为结构性心脏病患者治疗的主要手段,该领域取得重大进展,多项技术逐渐走向成熟。首都医科大学附属北京安贞医院集中优势资源,成立了全国第一家心脏瓣膜病介入中心。该中心近期继续在同一天完成两例经导管二尖瓣缘对缘修复,其中一例为联合瓣膜病,并在四月前已于该中心行TAVR手术。

第一例:TAVR+TEER

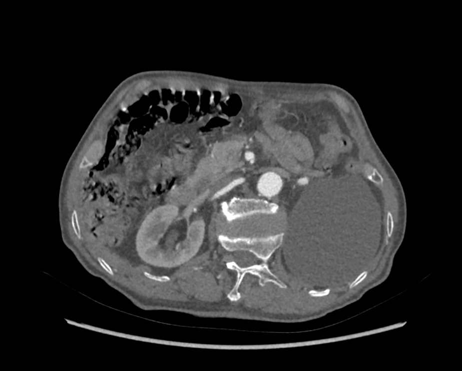
患者为74岁男性,2年前活动后出现胸闷、气短,休息后可以缓解。2021年5月症状加重,我院超声心动图提示:主动脉瓣反流(重度)、二尖瓣反流(重度),二尖瓣后叶脱垂(P2区)。左肾巨大囊肿,肾实质几不可见,左肾几无功能。

左肾巨大囊肿,压迫肾实质

患者老年男性,心衰症状明确,一般情况较差,肾脏储备功能差,外科手术高危,STS评分15.6%。其合并多瓣膜病,主动脉重度关闭不全及二尖瓣退行性重度反流均有介入手术指征,经讨论,拟先行TAVR术,术后最佳药物治疗,随访二尖瓣反流及患者心力衰竭变化情况,根据情况择期行二尖瓣钳夹。

TAVR术前评估及手术过程

术前评估

手术过程:

置入Venus-A 29主动脉瓣,术中复查经胸超声未见瓣周返流,二尖瓣返流较前有所改善,但仍为重度反流。术后出现三度房室传导阻滞,行永久起搏器植入。

患者出院后最佳药物治疗,喘憋症状较前减轻,但仍活动中出现喘憋症状,于9月再次入院拟行二尖瓣钳夹术。

术前超声评估

术前讨论

患者老年男性,原发性二尖瓣重度关闭不全诊断明确,患者存在心力衰竭症状,经积极药物抗心衰治疗,其心衰症状改善不明显,考虑二尖瓣重度关闭不全对患者心功能影响较大,其二尖瓣置换STS评分8.131%,经综合评估后,认为该患者有行二尖瓣钳夹指征。

手术过程:

患者麻醉方式为全麻,建立静脉通路后,穿刺右侧股静脉,预埋ProGlide缝合器,食道超声指导下房间隔穿刺成功,将硬导丝送至左房,后沿导丝将导引导管送入左房,导入二尖瓣膜夹系统,在食道超声辅助下,将2枚二尖瓣瓣膜夹(XW0612及XN0412)成功夹合二尖瓣A2-P2区,超声显示反流明显减少,多切面证实夹合组织充分,肺静脉多普勒波形由反向恢复正常,手术顺利结束,安返普通病房。

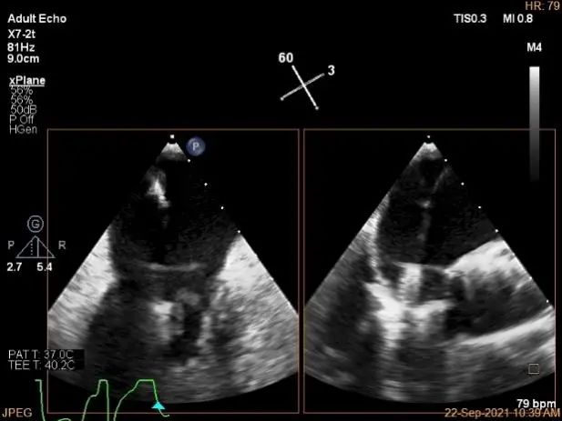
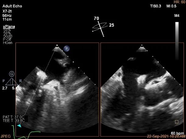
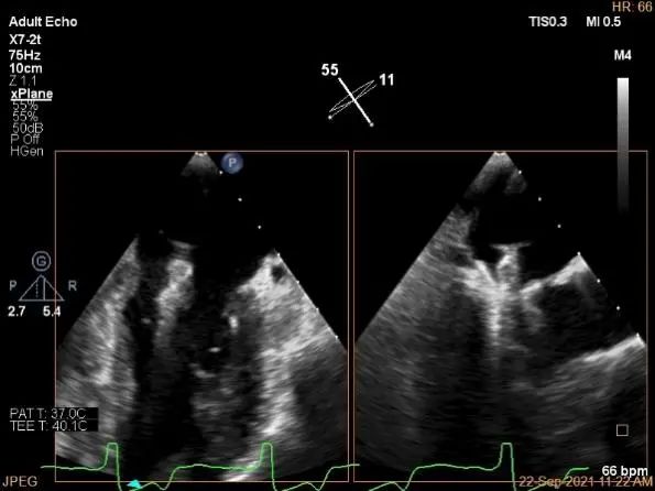
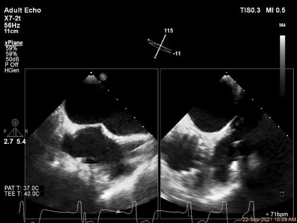
术中超声

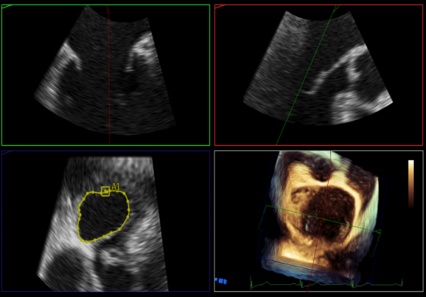
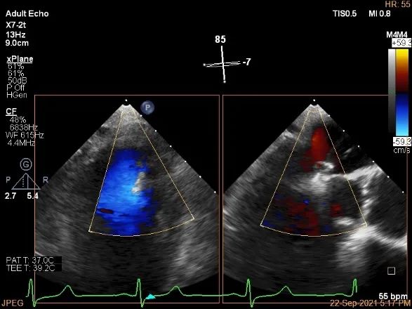
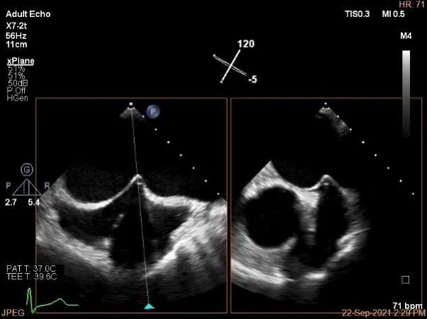
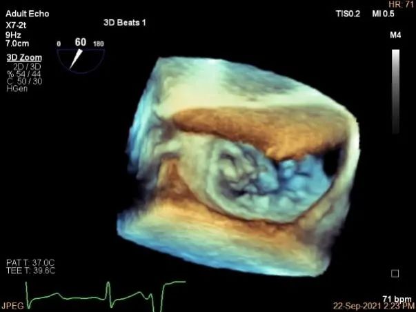
 P2区脱垂,宽14.8mm,Gap:3.3mm

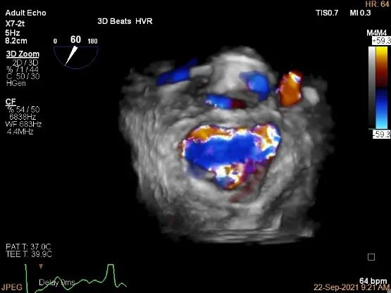
3D-color,返流重度,3+级

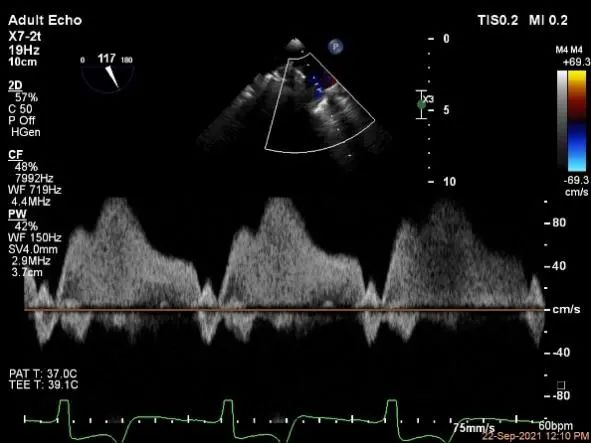
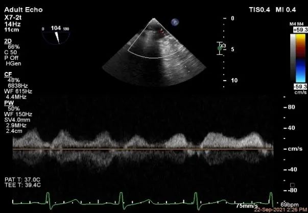
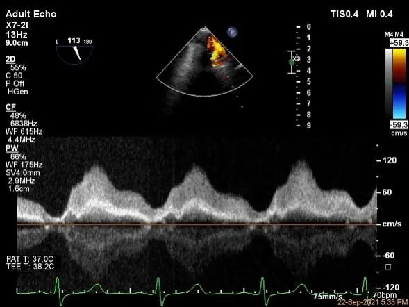
麻醉状态下左肺静脉血流频谱

MVA:6.67cm²

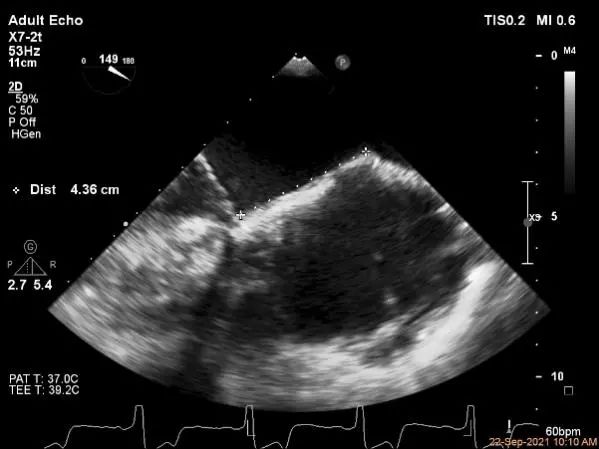
房间隔穿刺点选择

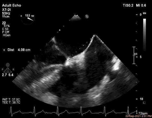
穿刺高度:4.3cm

过大鞘

出夹子,做trajactory

调rotate

夹子进左室

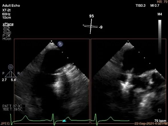
瓣叶捕获后,前叶抓捕长度9.1mm,后叶抓捕长度7.8mm

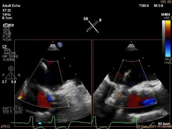
外侧残余少量分流

第一个夹子外侧残余小脱垂

残余分流主要来源于残余脱垂区域

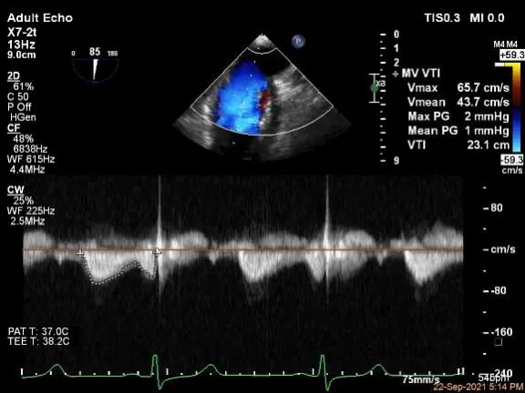
评估瓣口条件,平均跨瓣压差:2mmHg,决定在第一个夹子外侧下第二个夹子

第一个夹子外侧放第二个夹子

第二个夹子捕获瓣叶后,前叶抓捕长度9.3mm,后叶抓捕长度7.3mm

未见明确残余分流

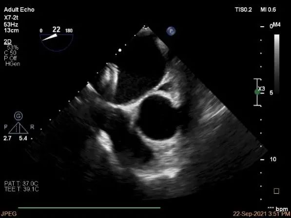
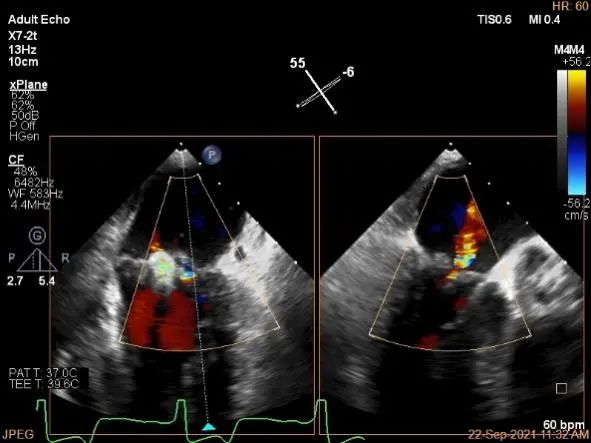
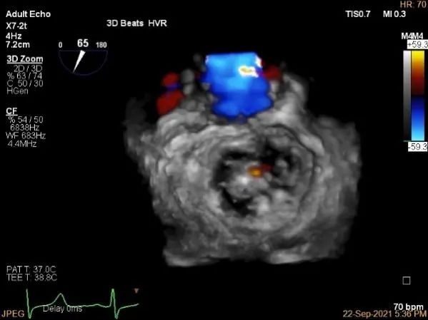
三维评估两个夹子位置

3D-color再次确定未见残余分流

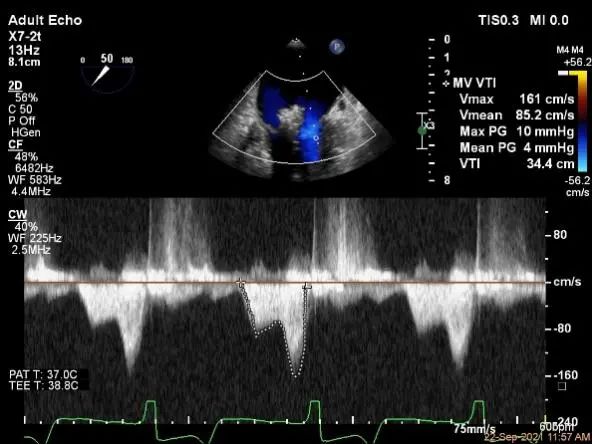
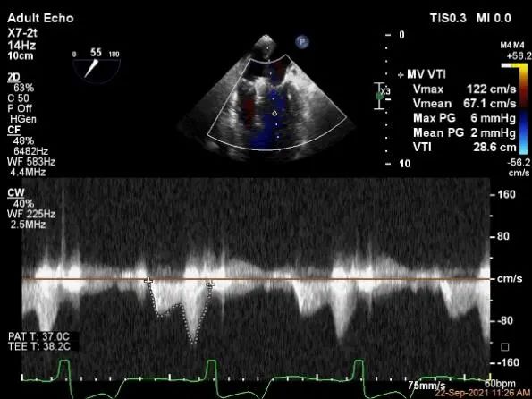
评估瓣口条件,平均跨瓣压差:4mmHg

肺静脉血流频谱恢复正常

 第二例:Mitraclip1例

患者为72岁女性,主因“间断心悸10余年,加重伴胸闷1年”入院,患者10余年前无明显诱因出现心悸,无胸闷、气短等不适,未正规诊治。1年来患者心悸症状较前发作频繁,伴胸闷、气短,以夜间平卧时症状明显,就诊于当地医院,行超声心动提示:二尖瓣大量反流、二尖瓣后叶脱垂可能,予患者口服药物治疗,上述症状改善不明显。4月前就诊于我院,行超声心动:二尖瓣后叶腱索断裂并脱垂,二尖瓣重度关闭不全,左心、右房增大,今为进一步诊治收入院。

既往史:高血压30余年,现血压控制在120-130/80-90mmHg,冠状动脉粥样硬化病史,无糖尿病病史。

入院诊断:心脏瓣膜病 二尖瓣腱索断裂 二尖瓣后叶脱垂 二尖瓣重度关闭不全,心功能III级(NYHA分级) 高血压病1级(极高危),冠状动脉粥样硬化。

术前评估:患者老年女性,原发性二尖瓣重度关闭不全诊断明确,患者存在心力衰竭症状,经积极药物治疗,其心衰症状改善不明显,考虑二尖瓣重度关闭不全对患者心功能影响较大,其二尖瓣置换STS评分8.322%,外科高危,经综合评估后,认为该患者有行Mitraclip指征。

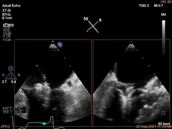
术前超声评估

手术过程:

患者麻醉方式为全麻,建立静脉通路后,穿刺右侧股静脉,预埋ProGlide缝合器,食道超声指导下房间隔穿刺成功,将Superstiff导丝送至左房,应用18F鞘管扩张穿刺部位,沿导丝将导引导管送入左房,MitraClip调整后顺利到达二尖瓣目标位置,在食道超声辅助下,将Mitraclip NTR成形夹精确定位后,成功夹合二尖瓣A1-P1区,超声显示反流明显减少,多切面证实夹合组织充分,肺静脉多普勒波形由反向恢复正常,手术顺利结束,安返普通病房。

术中超声

3D:P1区脱垂并腱索断裂,Width:11.4mm

3D-color:重度MR,4级

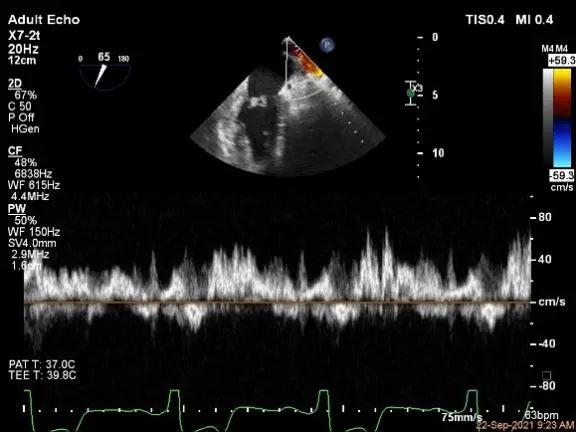
麻醉状态下肺静脉血流频谱

MVA:7.8cm²,平均跨瓣压差:1mmHg

房间隔穿刺点选择

穿刺高度:4.08cm

过大鞘

出夹子,建立trajactory

3D调Rotate

夹子进左室

瓣叶捕获后,计算前叶捕获长度9mm,后叶捕获长度7mm。

夹子夹闭后,未见明确残余分流

3d确认夹子位置在P1区

3d-color确认残余分流情况

评估二尖瓣瓣口平均跨瓣压差:1mmHg

肺静脉血流频谱恢复正常


阅读数: 604