众所周知,随着医疗技术的发展以及业界同仁的共同努力,我国冠心病介入治疗历经三十余载不懈探索与进步,在介入新技术、新器械的推广应用方面已基本与国际领先水平接轨。与此同时,技术的持续革新也助推了无数冠脉介入术者临床诊疗技能的深化和提高,不断有来自中国的术者在国际舞台上崭露头角,与国外同行一道分享来自中国的先进介入手术技巧。
2021年9月25日,第十一届新加坡冠脉慢性闭塞病变介入治疗论坛举办期间,广东省人民医院张斌教授团队受邀采用线上转播的形式,于云端向新加坡心血管病同道成功完成两台高难度CTO手术直播演示,并和线上嘉宾一起讨论了手术方案决策和术中操作技巧,相互借鉴中、新两国冠脉介入手术经验,推动中新医疗合作不断走向深度融合。
张斌教授手术演示
同心同台,两例手术直播既要
病例1 :双血管CTO病变,既往三度开通失败
病史概要
患者为55岁男性,9个月前因急性心肌梗死、心源性休克入院。9月前首次冠脉造影提示LAD、RCA完全闭塞,LCX重度狭窄,尝试开通LAD病变失败,于LCX植入支架一枚。此后,分别于5月前和2月前两次尝试开通LAD和RCA,均失败。
既往有糖尿病、高血压病史。
超声心动图提示左室射血分数43%,室壁运动功能障碍。
简要病史


9月前初次冠脉造影结果
手术策略讨论
对于该病例,参会专家一致认为患者血管病变严重,既往3次手术均以失败告终,且尝试开通RCA时均造成动脉夹层,是一例具有极高难度的复杂病例。根据造影情况张斌教授认为RCA-CTO开通相对安全,LM到LAD病变弥漫,行PCI术可能累及分支,安全起见,暂不同时处理。启动逆向方案后,很多与会专家建议处理LM-LAD病变,但张斌主任认为LM管腔足够大,手术过程中严密观察患者症状、心电图改变、血压变化等情况,如有异常立即暂停逆向手术。
手术过程
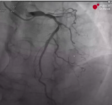
1、术前造影显示LAD弥漫病变、中段完全闭塞,LCX原支架血流通畅,RCA血管纤细、中段完全闭塞,远段侧枝循环形成。
LAD造影图像
RCA造影图像
2、经7F桡动脉鞘送入7F AL0.75指引导管到达右冠开口,在corsair135cm微导管的支撑下送入runthrough导丝到达病变处。
runthrough导丝到达病变处
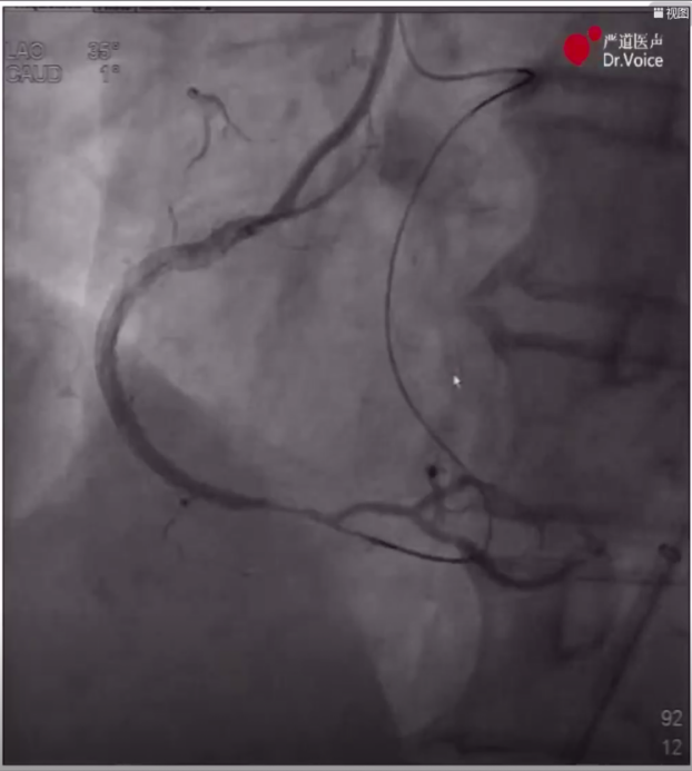
3、更换Pilot200导丝正向进入RCA中段内膜下,尝试调整导丝进入远端真腔不成功,为避免造成大的夹层和血肿,遂放弃正向开通,经右股动脉8F抗折鞘送入7F XB3.0指引导管至左冠,准备启动逆向方案。
正向Pilot200导丝位于RCA中段
4、在150cm Corsair微导管支撑下,经第一间隔支尝试送入SION BLACK导丝进入PDA不成功,行Tip injection明确侧枝走行后,更换SION导丝顺利进入PDA至RCA中段,更换Pilot200导丝进入闭塞段,但无法通过闭塞段逆向进入RCA正向指引导管。
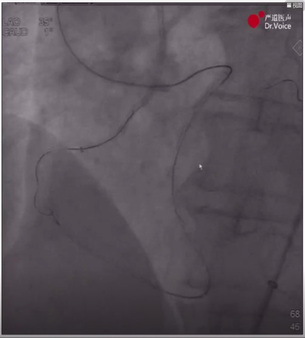
AGT技术将逆向导丝送入正向导管
5、送入Guidezilla辅助,采取AGT(Active Greeting Technique主动迎客技术),逆向Pilot200导丝顺利通过闭塞段,随后跟进逆向微导管进入正向指引导管内,将正向带2.0*15mm球囊的Pilot200导丝直接送入逆向微导管至右冠远端,随后进行常规球囊扩张并用IVUS明确血管腔内情况,在IVUS指导下完成支架植入,最后造影显示效果满意。
RCA最终开通效果
6、患者血管条件较差,为安全起见,计划择期开通LAD。
病例2 双血管CTO病变,逆向开通新思路
病史概要
患者为69岁男性,因劳力性心绞痛入院。1年前首次冠脉造影提示RCA、OM完全闭塞,LAD重度狭窄,尝试开通RCA病变失败。6月前尝试开通OM失败,并导致LCX闭塞,于LAD植入支架一枚。
既往有糖尿病、高血压病史。
超声心动图提示左室射血分数62%,室壁运动功能障碍。
手术策略
对于该患者,张斌教授认为,本次手术首先尝试开通RCA,考虑既往RCA开通失败,逆向策略成功概率较大,从造影情况可以看到LAD通过间隔支逆向供血至RCA,但2条间隔支极度迂曲,呈螺旋状,正常情况下不适宜作为室间隔侧枝的选择,手术难度大但仍可尝试。
手术过程
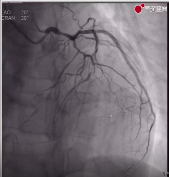
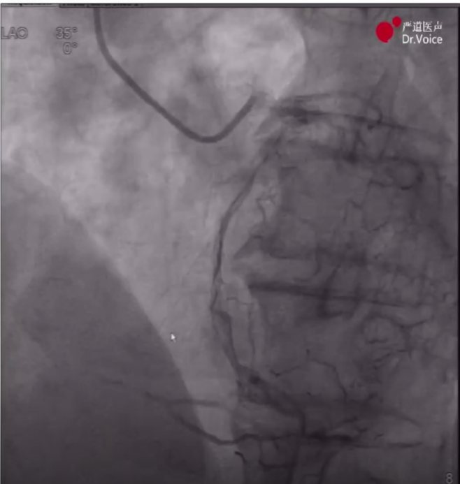
1、术前造影显示LAD近中段弥漫病变,LCX中段完全闭塞,RCA近段完全闭塞、远端形成侧枝循环。
LAD、LCX造影结果
RCA远端侧枝循环
RCA近端完全闭塞
2、经7F桡动脉鞘将7F AL 0.75指引导管至于右冠开口,送入Guidezilla加强支撑,送入带135cm Corsair微导管的runthrough导丝至病变处,更换Pilot200导丝进入RCA中段内膜下;期间患者出现血压下降、心率降低,考虑正向开通风险较大,遂启动逆向策略。
3、经右股动脉8F抗折鞘送入7F XB3.5指引导管至左冠,造影及IVUS提示LAD开口严重狭窄并钙化,在IVUS指导下完成LM-LAD支架植入,造影显示效果满意。
LAD近端血管病变
LAD近端支架植入后效果
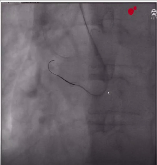
4、在150cm Corsair微导管支撑下,经间隔支尝试送入SUOH03导丝进入PDA不顺利。
导丝无法逆向进入PDA
5、考虑2条间隔支侧枝极度迂曲,走行呈螺旋状,选择更换SION BLACK导丝快速旋转顺利进入PDA。
导丝逆向进入RCA
6、正常情况下不常规自制带侧孔指引导管,如出现导管嵌顿情况可通过调整指引导管与血管不同轴来解决,但本例手术中RCA正向导管深插后引起患者血压、心率降低,撤回导管,在导管前端打孔12个,重新送入RCA,患者生命体征相对稳定。
7、重新送入导管后,调整正向和逆向导丝重叠,通过AGT技术将逆向导丝送入正向指引导管,正向球囊锚定逆向导丝后,跟进逆向corsair150微导管至正向指引导管,正向runthrough导丝穿逆向微导管后完成轨道建立。
逆向导丝进入正向导管内
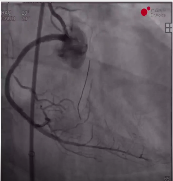
8、在IVUS指导下完成支架植入,最终造影显示血管恢复通畅,分支均保留,未见夹层及穿孔。
RCA远端残余狭窄
RCA最终造影效果
9、由于LCX血管纤细,开通难度较大,计划择期处理LCX。
近年来,中、新两国民间友好往来日渐扩展,医疗领域交流的合作日益深入,我国的冠脉介入技术也在从稚嫩走向成熟,在成熟中创新发展,有着大量的优秀诊疗经验和先进技术值得分享。此次广东省人民医院张斌教授团队于云端以技会友,即我国心血管病医生与新加坡、日本、新西兰、澳大利亚、瑞士、印度及印尼等心血管同仁的一次学术交流,也是中、新两国之间医疗领域的一次具体合作。以“第十一届新加坡冠脉慢性闭塞病变介入治疗论坛”为契机,期待未来中、新两国心血管病医生能进一步合作共赢,续写两国深厚友谊的新篇章。