阜外首例二尖瓣与主动脉瓣生物瓣损毁·同期经导管双瓣置换

2021年9月17日上午中国医学科学院阜外医院结构性心脏病中心吴永健主任团队和张戈军主任团队共同完成阜外医院首例同期一站式采用爱德华球囊扩张瓣膜(SAPIEN 3)治疗主动脉瓣位及二尖瓣位的双瓣生物瓣毁损。

经过术前详细临床及影像学评估,多次与爱德华生命科学公司临床医学顾问深度交流,并通过阜外医院新技术伦理和结构心脏病中心讨论,决定对于该患者采用一站式治疗同期解决双瓣毁损。

在吴永健主任、张戈军主任的带领下并在麻醉科、超声科等多学科的全力支持下,团队经过3个小时的微创介入操作,手术顺利,下午患者苏醒拔出气管插管,次日患者返回普通病房,术后3日患者可下地活动,恢复迅速。

基本情况:

67岁,女性,身高165cm,体重55kg,BMI 20.2k/m²。

现病史:

• 主诉:劳力性呼吸困难16年,再发4月。
• 现病史:患者于16年前因劳力性呼吸困难于天津胸科医院就诊,完善相关检查,诊断为风湿性心脏瓣膜病,行二尖瓣+主动脉瓣生物瓣置换术,术后规律药物治疗,症状明显好转,分别植入Perimount 27及Perimount 21瓣膜。
• 4月前患者劳力性呼吸困难症状再发,轻微活动时即可诱发。
• 于天津医科大学总医院就诊,超声提示二尖瓣+主动脉瓣生物瓣损毁,慢性心力衰竭急性失代偿,给予强心、利尿等药物治疗,考虑患者二次开胸手术风险高,建议我院就诊。
• 患者于2021-6及2021-8先后2次于我院就诊,经抗心衰治疗好转出院。

既往病史:

• 高脂血症:口服阿托伐他汀调脂治疗,未系统监测血脂水平。
• 心房颤动:平素达比加群酯110mg Bid抗凝 + 阿替洛尔6.25mg控制心室率
• 其他:主动脉粥样硬化、冠状动脉肌桥、甲状腺功能减退、反流性食管炎、胆囊结石、左肾囊肿、肾上腺结节

超声心动图:(表1)

胸部X线检查:

• 双肺门动脉扩张,下肺纹理稍聚拢伴索条影右侧肋膈角模糊
• 肺动脉段明显凸出
• 左房大
• 心影内见人工瓣环影
• 胸骨可见固定钢丝影
• 心胸比:0.52

实验室检查:

• 生化检查:ALT 30IU/L;AST 28IU/L;GGT 123IU/L;Tbil 8.22mol/L;Dbil 3.03umol/L;Crea 103.45umol/L;BUN 10.35mmol/L;Uric 536.96umol/L
• 血常规:WBC 4.5 ×10^9/L;Hb 110g/L;PLT 189×10^9/L
• 凝血常规:凝血酶原时间(PT) 12.2S;凝血酶原时间活动度(PTA) 118%;
国际标准化比值(INR) 0.91;D-dimer 0.87ug/ML
• NT-ProBNP: 1164pg/mL

目前诊断:

心脏瓣膜病;主动脉瓣生物瓣置换术后;二尖瓣生物瓣置换术后;生物瓣膜置换术后功能衰竭;主动脉瓣重度狭窄;二尖瓣重度狭窄;心律失常;心房颤动;心功能IV级(NYHA分级);肺动脉高压;主动脉粥样硬化;冠状动脉肌桥;高脂血症;甲状腺功能减退;反流性食管炎;胆囊结石;左肾囊肿;肾上腺结节; 

STS风险评估:

• Risk of Mortality: 9.608%

术前药物治疗方案:

• 克赛        0.4ml  Q12h
• 阿替洛尔    6.25mg Bid
• 呋塞米      20mg   Qd
• 螺内酯      20mg   Qd
• 氯化钾缓释片0.5g   Bid
• 瑞舒伐他汀  10mg   Qn
• 左甲状腺素片37.5ug Qd
• 杜密克      15ml   Bid

CT评估:

(一)主动脉瓣位评估:

左心耳无血栓,perimount 21瓣膜瓣环,左室流出道,窦管交接区,升主动脉评估,心室大小,全主动脉入路评估,冠脉风险评估,详细见下图。

1. 基本层面CT评估(图1)

2、心室大小和投射角度评估(图2)

3. 全主动脉入路CT评估(图3)

4. 主动脉瓣膜模植入与冠脉风险评估(图4)

拟植入20型号与23型号比较,20型号的SAPIEN 3瓣膜植入冠脉闭塞影响小

5. SAPIEN 3瓣膜尺寸图(图5)

(二)二尖瓣位评估:

测量perimount 27瓣膜瓣环,同时评估拟植入26型号SAPIEN 3瓣膜对于左室流出道的影响,还有生物瓣投射角度分析,房间隔穿刺及距离二尖瓣生物瓣的距离分析,详细见下图(图6)。

TAVR+TMVR一站式操作策略:

• 麻醉:全身麻醉+气管插管
• 经食道超声术中指导
• 静脉通路:颈内静脉的中心静脉置管
• 起搏器:临时起搏器起搏 (经左股静脉)
• 血管超声引导动静脉穿刺
• 2把ProGlide预埋左股动脉,1把ProGlide预埋处理右股静脉
• 主动脉瓣位置换:左侧股动脉为主入路,右肱动脉为副入路
• 二尖瓣位置换:右侧股静脉入路
• 房间隔穿刺(经食道超声引导),必要时电刀辅助穿刺
• 主动脉瓣生物瓣植入20型号SAPIEN 3,球囊体积加2cc
• 可调弯鞘指引猪尾导管跨二尖瓣生物瓣
• 12mm×40mm外周球囊预扩房间隔及模拟尝试跨二尖瓣
• 二尖瓣瓣生物瓣植入26mm SAPIEN 3,球囊体积加2cc

TAVR+TMVR一站式操作全过程:(食道超声与术中造影相结合)

1.食道超声引导房间隔穿刺(经电刀辅助)

房间隔穿刺“小帐篷征”

房间隔穿刺成功

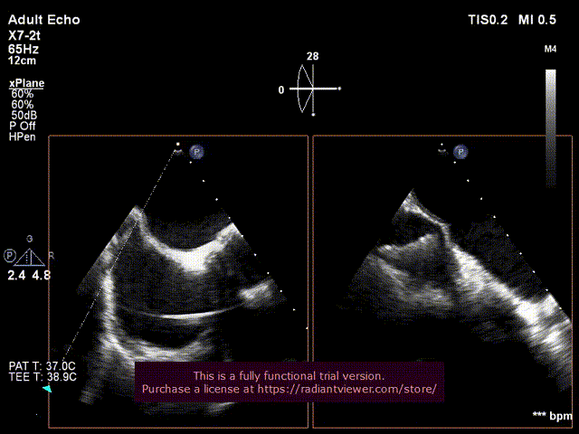
三维显示二尖瓣形态及房间隔穿刺鞘

2. 经右肱动脉行冠脉造影

左冠造影

左冠造影

右冠造影

3.经右肱动脉角度猪尾行主动脉根部造影(生物瓣的右窦中心体位)

根部造影

4.AL2导管配合直头泥鳅跨越主动脉瓣生物瓣

导丝-跨瓣

5.主动脉瓣位植入20mm SAPIEN 3瓣膜,球囊体积增加2cc

释放后瓣膜形态

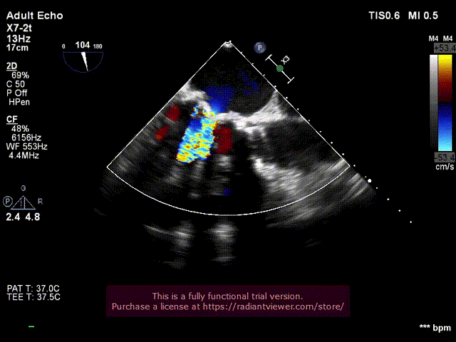
6.经食道超声评估主动脉瓣位SAPIEN 3植入

位置良好,瓣叶运动良好,无反流

7.可调弯导管协助猪尾导管跨二尖瓣

二尖瓣跨瓣

8. 小球囊预扩房间隔和球囊系统预跨二尖瓣生物瓣

球囊扩张房间隔

球囊预跨二尖瓣

球囊扩张房间隔

球囊预跨二尖瓣

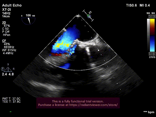
9. 二尖瓣位瓣膜跨瓣、定位、释放

SAPIEN 3瓣膜跨二尖瓣生物瓣

二尖瓣生物瓣位SAPIEN 3瓣膜释放

SAPIEN 3瓣膜跨二尖瓣生物瓣

二尖瓣生物瓣位SAPIEN 3瓣膜释放

10. 双瓣植入后左室造影与主动脉根部造影

二尖瓣位SAPIEN 3植入后左室造影

双瓣SAPIEN 3瓣膜植入后主动脉根部造影

二尖瓣位和主动脉瓣位SAPIEN 3瓣膜功能良好

二尖瓣位SAPIEN 3瓣膜不影响左室流出道

无心包积液


11. 造影撤出左股动脉和右股静脉鞘管

左股动脉撤出鞘管

右股静脉撤出鞘管

12. 术后血流动力学稳定(图7)

术后病房超声评估:(表2)

术后患者满意的笑容(照片已经患者及家属的同意) 

手术团队合影

同期一站式TAVR+TMVR术后感:

随着全球范围内外科生物瓣应用增加,后期越来越多外科生物瓣毁损的患者需要再次行介入微创瓣膜置换治疗。双瓣置换术后生物瓣膜毁损同期干预能够最大程度上较少有创操作,减少手术风险。术前仔细的个体化评估是关键,CT评估包括主动脉瓣位和二尖瓣位的评估,其中需要仔细评估主动脉瓣位的冠脉闭塞风险和二尖瓣瓣位的左室流出道梗阻的风险。术前规划好主动脉瓣位和二尖瓣位置换的入路、房间隔穿刺的位置、主动脉瓣位释放投射角度和二尖瓣位释放投射角度至关重要。术者需要熟练掌握瓣膜置换流程和房间隔穿刺流程。同时务必注意术中钢丝的形态,避免左室穿孔。吴永健教授和张戈军教授团队通过扎实的操作基础,充分的术前评估,密切的团队合作,通过精湛的医术将造福更多需要进行瓣膜置换的患者。



作者:陈阳

审核:牛冠男教授、王墨扬教授、张洪亮教授、赵杰教授

超声审核:王建德教授

感谢:意大利籍德国慕尼黑心脏中心Domenico Mazzitelli医生的技术指导

阅读数: 2949