2021年9月24日,南昌大学心脑血管病医院院长、心内科主任吴延庆教授带领TAVR团队,在超声科、麻醉科等科室大力支持配合下,应用VenusA瓣膜系统,成功完成江西省首例高难度Type0型二叶瓣极简式TAVR。
本次手术是省内首例极简式TAVR手术,不仅充分展示了吴延庆教授团队处理复杂危重病例方面高超的技术水平和丰富的经验,同时也代表着南昌大学第二附属医院心内科团队在结构心脏病领域又进入了全新的阶段,引领全省瓣膜介入发展。
“老爷子,别担心,您只管躺好睡一觉,手术就做好了。”
随着主要术者杨人强教授对患者的一句问候,大家各司其职有条不紊的进行镇静麻醉、起搏、球囊预扩张,到最后瓣膜准确定位释放,配合默契,顺利进行手术。
为了在省内顺利开展极简式TAVR术,术前吴延庆教授、杨人强教授带领团队仔细研究患者情况,评估主动脉瓣膜结构特点,认为患者为一例典型的中国主动脉瓣重度狭窄患者,心脏及动脉血管解剖结构较好,适合TAVR手术治疗,但瓣口面积很小,且局部不规则钙化,术中主要的难点在于导丝跨瓣。
与麻醉科同事预估患者整体状况及手术风险,术中可能会遇到的风险,制订风险处理预案,竭尽全力保证病人安全,认为该患者适合采用极简式TAVR术,在监测麻醉下完成手术的方案。一切准备工作完备后,团队成员各就各位,按既定方案进行。
患者基本情况
患者老年男性,67岁。缘于半年前出现活动后胸闷心悸,稍快步走即出现呼吸困难,入院超声检查显示主动脉瓣重度狭窄,瓣口面积0.56cm2,可见多发强回声钙化,开放明显受限,主动脉瓣峰值血流4.78m/s,超声测得平均跨瓣压差89mmHg。
术前CT评估
入路分析:右股动脉
术前分析及手术策略
患者为Type0型二叶瓣,瓣叶明显增厚,中度钙化,法式窦结构不大,双冠高度可,初步判断冠脉风险低,升主动脉明显增宽,左室大小正常,主动脉弓部走行较平缓,推荐右侧股动脉为主入路。
手术过程
患者采取局麻加镇静的监测麻醉方式。建立静脉通路后,局麻穿刺左侧股动脉及股静脉,翻山冒烟指导高位穿刺右侧股动脉并预埋两把ProGlide缝合器,置入18F动脉鞘管,临时起搏电极经股静脉送至右室心尖。
主动脉根部造影,左右冠脉显影明显,有少中量反流。
主动脉根部造影
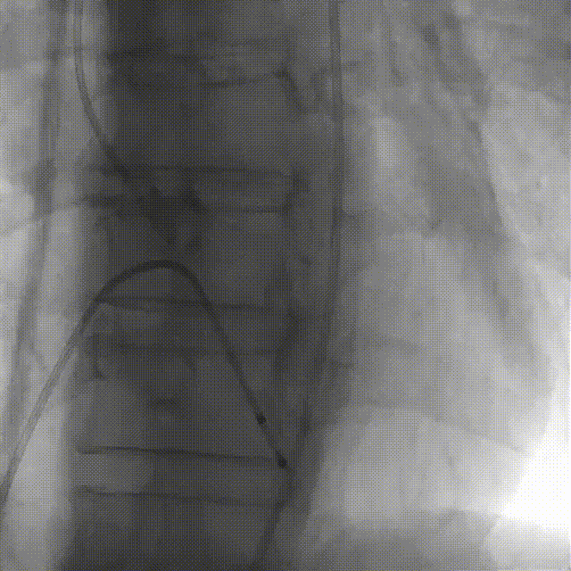
导丝跨瓣极其困难,因其Type0型二叶瓣的独特结构,加之不均匀的钙化分布,引起瓣膜的贴合不良,难以找到准确的瓣口,多次弹出,最后成功过瓣后显示路径有明显弯度。
导丝跨瓣
给予患者加强镇静后起搏下采用25mm球囊进行预扩张,无明显腰征,无瓣周漏。
球囊预扩
选用启明VenusA L29瓣膜,考虑Type0型二叶瓣的特殊狭窄情况选择稍高位释放,释放位置良好
瓣膜释放定位造影
瓣膜调整后释放造影
瓣膜释放完毕后,位置良好,但形态稍受挤压,采用25mm球囊进行后扩。
瓣膜释放完毕后造影
术后造影,反流消失的无影无踪,瓣膜工作状态良好。
后扩完毕后造影
解除镇静,患者立即清醒,瓣膜释放成功,缝合血管并造影检查。
右股动脉造影图
术前压差:255-115=140mmHg。
术后压差:115-114=1mmHg。
术后总结
患者为Type0型二叶式主动脉瓣,瓣膜钙化分布不均匀,导致两个瓣叶出现贴合不良的状况,从而使导丝跨瓣异常困难,为我们今后进行导丝跨瓣积累了丰富经验。患者瓣口严重狭窄,瓣膜释放过程中容易因挤压导致瓣膜下移,应注意从稍高位置开始释放并注意调整位置。人工瓣膜植入后即刻跨瓣压差由术前140mmHg减少为1mmHg,再行主动脉根部造影后提示瓣膜置入位置良好、形态完整,未见瓣周漏,未出现相关并发症。
专家点评
该患者为我国人群典型的二叶型主动脉瓣重度狭窄,瓣膜中度钙化且少中量反流,两侧冠脉高度正常,无冠脉堵塞风险,患者一般状况稳定,非常适合开展极简式TAVR。极简式TAVR的优势在于整个手术过程麻醉浅且无需气管插管,对患者生理状态干预少,麻醉时间短,相比于传统TAVR手术,手术时间缩减三分之一左右,并进一步减少了患者医源性创伤,为患者早期康复及改善预后提供了便利。这也正是南昌大学第二附属医院心内科TAVR团队不断创新,“以患者为中心”的充分体现。
专家简介

江西省心血管病医疗中心主任,江西省心血管病质控中心主任、享受国务院政府特殊津贴,江西省赣鄱英才555领军人物、江西省主要学科和技术带头人、江西省青年科学家、江西省百千万人才称号、江西卫生系统首届有突出贡献专家。
现任南昌大学二级教授,主任医师,硕士生/博士生/博士后导师,南昌大学心脑血管病医院院长、南昌大学第二附属医院心内科主任,兼任美国心血管造影和介入学会(SCAI )专家会员、中国医师协会心血管内科分会常委兼基层学组副组长,国家心血管病专业质控中心专家委员会冠心病专家工作组专家、中华医学会心血管病分会动脉粥样硬化和冠心病组委员、中国房颤中心联盟副主席、囯家卫健委及医师协会心血管(心律失常、冠心病、结构性心脏病)介入培训基地导师、江西省康复医学会心血管病专业委员会主任委员、江西省医学会心血管病分会主任委员、巜中国介入心脏病杂志》、《ESC Congress in Review Chinese Editiong》巜中国心血管病研究》杂志编委。共主持及完成国家级课题7项,省、厅级研究项目21项。获省级二等奖2项,三等奖4项,厅级奖7项。担任4部学术专著主编,撰写论文100余篇,其中SCI、核心期刊80余篇。培养硕博研究生70余人。

医学博士,教授,主任医师,博士生导师,南昌大学第二附属医院心血管内科副主任兼冠心病区主任,江西省胸痛中心质控中心主任, “井冈学者”特聘教授,江西省“千人计划”人才,江西省青年科学家,省百千万人才,省卫生系统学术和技术带头人,省卫计委有突出贡献中青年专家,2012-2014教育部公派出国留学。欧洲心血管介入协会会员(EAPCI),中国医师协会心血管内科医师分会动脉粥样硬化学组委员,中国医促会心血管健康分会委员,全国介入培训基地冠脉介入培训导师,江西省医学会心血管病分会秘书长,江西省研究型医院学会胸痛分会主任委员。主要研究方向为冠心病基础及临床诊治,参与省内率先开展了经皮主动脉瓣置换术(自膨瓣及球扩瓣),人工心肺循环V-A模式支持下极高危复杂冠心病介入治疗,经皮准分子激光治疗冠脉支架再狭窄,极简式TAVR等新技术。近年主持国家十二五科技支撑计划、国家自然科学基金、江西省科技支撑重大项目等科研课题10余项。在《Nature Cardiology Review》等杂志发表学术论文八十多篇,参编专著10部,获国家专利3项,发明专利1项,获江西省自然科学二等奖等奖励7项。

主任医师/教授,医学博士,博士生导师,南昌大学第二附属医院心血管内科教研室副主任,江西省百千万人才人选,江西省高校中青年骨干教师,江西省卫生系统学术学科带头人培养对象。
兼任中华医学会心血管病分会代谢性心脏病学组第一届委员,中国医师协会心血管病分会代谢性心肌病学组委员,江西省研究型医院学会胸痛分会副主任委员,江西省保健学会心血管病分会高血压学组副主任委员,江西省睡眠学会专业委员会理事,江西省睡眠学会心血管病专业委员会第一届常委。
长期从事心血管内科临床及科研工作,能够完成冠心病领域各种高难度手术,对心血管疑难及危重症处理具有很高的造诣,担任全国心血管疾病介入诊疗技术培训导师。主持国家自然科学基金1项,江西省自然科学基金1项,主持江西省科技支撑项目1项,发表SCI第一作者10余篇,国内核心期刊发表论文20余篇。获得江西省科技进步三等奖2项,江西省高校科技成果二等奖1项,国家专利1项。

南昌大学第二附属医院心血管内科主治医师 在职博士;留美访问学者,中国医学促进会青年委员;中国结构性心脏病委员会青年委员;江西省研究型医院协会胸痛分会委员。