经典病例周周谈|广东省人民医院罗建方教授TAVR团队完成一例ECMO辅助下低流速低压差高难度病例

周周寄语:

这周谈谈低流速低压差的AS患者。在TAVR前年代,低流速低压差AS患者建议术前行多巴酚丁胺实验评估心肌储备。本中心早年也做过一些,需要在充分的监护环境下,逐步加大多巴酚丁胺用量,同时超声评估左室收缩情况和瓣口流速,如果瓣口流速能提升20%以上,既认为多巴酚丁胺试验阳性,心肌有储备功能。在TAVR技术成熟后,英国的学者对比了多巴酚丁胺阳性和阴性的低流速低压差AS患者,两组行TAVR 手术治疗后,心功能都比术前明显改善,EF值也明显升高。不同的是多巴酚丁胺阳性患者改善的时间更短,效果更明显。TAVR手术因其微创,不停跳的特点,对严重心功能不全的患者更加友好。但这部分病人相对于高压差的患者,仍然是高风险患者,术中必须考虑循环辅助装置的使用。

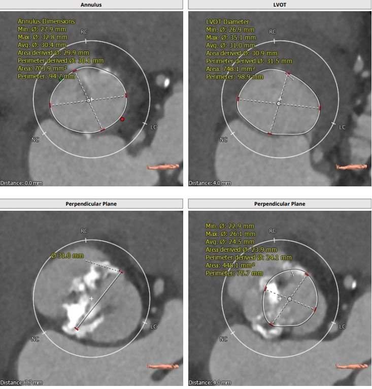
本例患者只有61岁,超声诊断低流速低压差AS,合并升主动脉扩张,CT下测量升主动脉超过50,原则上首选外科手术。但广东省人民医院大血管组会诊后考虑患者低流速低压差,行主动脉瓣和升主动脉置换术,手术风险极高,建议TAVR。从解剖上,瓣环流出道的大小分别是30、31,但瓣上结构是TYPE 0二叶瓣,重度钙化,联合部有钙化融合,瓣上短轴31,窦高度超过23,横位心,角度78°二叶瓣方向呈1点到7点方向。这种解剖做TAVR无疑挑战极大。对于低流速低压差的患者合并解剖挑战的病人,术前计划就是ecmo辅助下TAVR。考虑二叶瓣和重度钙化,目标瓣膜是29号,故用23号球囊预扩,尽量不破坏瓣上结构,另外考虑横位心,升主宽,破裂风险高,瓣膜跨瓣困难,故准备抓捕器辅助跨瓣。投照角度方面准备了瓣膜切线位(左肩),用来跨瓣和球扩,同时准备多一个右足位,这个角度下瓣环和人工瓣膜可以达到共平面,方便瓣膜定位。因为升主宽,横位心,主动脉迂曲,为减少破裂风险,没有选择plus。术中跨瓣遇到较大挑战,因为主动脉根部的角度大,普通的AL2,JR2,多功能导管均无法跨瓣,尝试直头导丝和弯头泥鳅也失败,最后是JL4加直头导丝成功跨瓣。预扩后瓣膜跨瓣尽管在抓捕器辅助下仍然非常困难,在反复尝试后侥幸跨瓣。瓣膜释放后位置偏深,但结合瓣膜角度,瓣周漏可以接受,压差消失,故未再行瓣中瓣。术中未发生停跳,故手术结束后撤去ECMO返回CCU。术后一个月随访EF值明显改善,患者自我感觉明显好转,虽然有中度瓣周漏,但是患者年轻,调整好心功能后,为以后外科置换升主动脉和主动脉瓣打下基础。

术前:

患者男,61岁,患者于5年前起逐渐出现活动后胸前区闷痛,伴气促,胸闷痛非压榨性,无向他处放射,休息约30分钟不等,后渐缓解,无紫绀,间伴夜间阵发性呼吸困难,间伴双侧踝关节红肿热痛,无头晕、头痛、晕厥、黑朦、畏寒、发热、咳嗽、咳痰、咳血、恶心、呕吐、返酸、嗳气、咯血、腹痛、腹胀等不适。当时不重视,无就诊,近2个月患者胸闷痛伴气促症状加重,伴活动耐量下降。曾于外院住院,诊断:急性左心衰竭、重度主动脉狭窄伴中度关闭不全、频发房性早搏、主动脉瘤样扩张、冠状动脉硬化。经治疗症状好转出院,今为求进一步手术治疗主动脉瓣膜病,门诊拟“重度主动脉狭窄”收入院。经超声检查,患者为二叶瓣畸形主动脉重度狭窄伴中度反流(低流速低压差)患者,经临床综合考虑,拟行ECMO辅助下TAVR手术。


患者为type0二叶瓣,重度钙化,78度大横位心,左心明显扩大,EF值为21%,瓣环径为30.1,LVOT31.5,二叶瓣鱼嘴开口初短径为31,钙化融合至对侧为27.5,左右冠高度均为25.7,升主明显扩张。


入路:



手术过程:


根部造影
Nmued 23扩张
VenusA 29瓣膜定位
VenusA 29瓣膜释放
最后一枪造影


术后:


跨瓣压差下降为4mmHg,生命体征平稳,拔出作古ECMO静脉置管后闭合入路,遂送入CCU,术后两天床旁超声显示,人工瓣架功能良好,轻微瓣周漏,术后一个月随访,EF值由21%提升到57%。


专家介绍

罗建方

广东省人民医院

医学博士、主任医师、博士生导师。现任广东省人民医院心内科副主任,广东省人民医院南海医院院长、广东省人民医院血管病诊疗中心主任、广东省冠心病防治研究重点实验室副主任。

学术任职:美国心脏病学院Fellow (FACC)、欧洲心脏病协会Fellow (FESC)、美国心血管造影与介入学会Fellow (FSCAI)、首批Global Hybrid Algorithm Community国际认证Hybrid CTO带教专家、卫生部心血管疾病介入诊疗培训基地(冠心病介入治疗)导师。

中华医学会心血管病学分会大血管学组副组长、中国研究型医院学会心血管影像专业委员会副主任委员、中国研究型医院学会血管医学专业委员会副主任委员、中国医疗保健国际交流促进会血管疾病分会副主任委员、中国医疗保健国际交流促进会难治性高血压与周围动脉病分会副主任委员、中国医药教育协会血管医学分会副主任委员、广东省介入性心脏病学会周围血管介入分会主任委员、广东省医师协会心血管介入医师分会副主任委员、广东省医师协会心血管内科医师分会常务委员、广东省医学会心血管病分会结构性心脏病学组副组长等。

血管疾病多学科协作论坛(VMDT)执行主席、冠心病与周围血管介入沙龙(CPIS)执行主席、亚太CTO俱乐部广州峰会共同执行主席、亚洲心脏病学会年会秘书长等。

技术特长:擅长复杂冠脉病变、主动脉疾病、瓣膜疾病、周围血管病等的介入治疗。在国内率先开展脑保护装置下颈动脉介入治疗、经桡动脉行肾动脉介入治疗、快速起搏与经皮穿刺主动脉腔内修复术(TEVAR),2016年4月完成华南地区首例经导管主动脉瓣置换术(TAVR),2019年2月成功实施全球首例经股动脉途径TAVR联合TEVAR一站式手术,团队整体TAVR手术量已超过500台,已经帮助全国100家中心开展TAVR手术。

科研成果:获中国医药教育协会科学技术奖二等奖1项、广东省科学技术奖二等奖2项、三等奖2项。参编学术专著6部,发明专利4项,发表学术论文100余篇。先后承担省市级课题数项,培养硕博士20余人,目前在研经费超过500万元。

李捷

广东省人民医院

医学博士,副主任医师,硕士导师。

学术任职:中国医师协会心血管病分会结构组委员;广东省介入性心脏病协会结构分会常务委员;广东省医师协会心血管介入医师分会委员;广东省医师协会高血压分会青年委员;广东省医院协会心血管质控管理分会结构性心脏病学组委员;中国大湾区心脏协会精准诊疗分会委员;中国结构周秘书长;血管疾病多学科协作论坛(VMDT)秘书。

技术特长:擅长经导管主动脉瓣置换术,手术量超600台,帮助全国70多家中心开展TAVR手术。擅长复杂冠脉病变、主动脉疾病、瓣膜疾病、周围血管病等的介入治疗。

阅读数: 2079