阜外医院结构性心脏病中心成为中国第一家可独立进行MitraClip®手术的中心:开创微创二尖瓣介入治疗新格局

2021年9月23日,由国家心血管病中心、国家结构性心脏病介入质控中心和北京健康促进会联合开设的“结构性心脏病介入技术培训班第31期培训会”圆满举办。培训会的特邀学员2021CHC结构性心脏病论坛辩论赛最佳辩手之一的上海长海医院乔帆医生和瓣膜介入精英赛获奖选手山东大学齐鲁医院孙厚荣医生现场目睹了潘湘斌教授团队成功完成MitraClip®上市后单中心植入第50例手术,这也意味着中国医学科学院阜外医院成为中国第一家可独立进行MitraClip®手术的中心,潘湘斌教授成为中国大陆MitraClip®第一位独立术者,同时也证实了MitraClip®在中国二尖瓣介入治疗技术领域的广阔应用前景。

第50例手术概况

患者为一名68岁高龄女性,因“活动后胸闷7年,加重1年” 入院。二尖瓣重度关闭不全并二尖瓣后叶脱垂,心功能III级,属于外科高危人群。

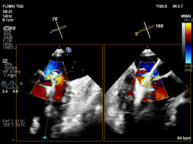
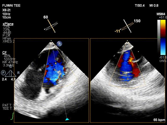
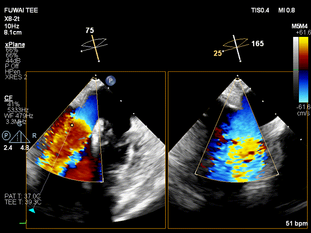
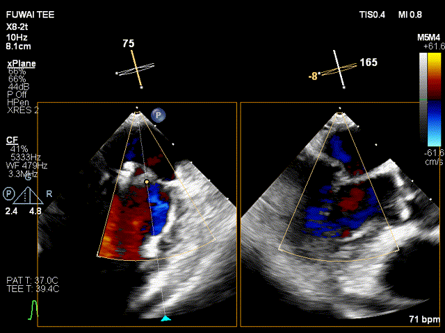
手术团队使用MitraClip®独特的三层双调弯导管,经股静脉穿刺,在食道超声引导下完成房间隔穿刺。穿刺后将导管送入左心房,对准二尖瓣目标位置P2区域。准确捕捉瓣叶,二尖瓣夹释放后,超声显示反流几近消失,患者各项生理指标正常,手术顺利完成。

中国医学科学院阜外医院单中心MitraClip®手术50例早期结果

据潘湘斌教授介绍,团队目前共完成MitraClip®手术50例,男性33例,女性17例;其中DMR30例,FMR13例,Mixed 7例;中位年龄为70(28-86)岁。

术前MR中重度(3+)22例, MR重度(4+)28例;术后MR中重度(3+) 1例,MR中度(2+)5例子,MR轻度(1+)21例,MR无(0+)23例。

二尖瓣反流(Mitral Regurgitation,MR)是最常见的心脏瓣膜疾病,以往MR治疗最有效的手段是心外科二尖瓣修复或置换手术,但因为心功能差、高龄、合并症多等高危因素而无法耐受手术,很多重度患者未得到有效治疗。当前国际上微创二尖瓣介入治疗技术方兴未艾,这方面技术国内尚属于起步阶段。

从2021年1月6日潘湘斌教授团队完成MitraClip®上市后第1例临床应用到现在取得满意的阶段性成果(中国大陆手术量已突破100例),阜外医院再次用事实说话,逐一解开了MitraClip®在中国应用的种种“质疑”。MitraClip®技术对患者症状的近远期改善效果在全世界已经有了充分的临床证据,MitraClip®使更多的高危患者具备了手术条件,适合当下的推广和普及。潘湘斌教授同时表示,从目前的临床结果来看,MitraClip®的上市不仅仅是挽救了一批患者,更打开了我国微创二尖瓣介入治疗的新格局。

阅读数: 5103
相关专题