2021年9月10日,南昌大学第二附属医院心血管内科吴延庆主任带领TAVR团队,在超声科、心脏大血管外科、麻醉科等科室大力支持配合下,应用VenusA输送系统成功完成一例ECMO辅助下极重度钙化合并心衰超高难度TAVR手术。此次手术的成功为周边地区广大主动脉瓣疾病患者带来福音,充分展现南昌大学第二附属医院心内科高超的手术水平。
患者老年男性,67岁。患者缘于半年前出现胸闷心悸,活动后加重,入院超声检查显示主动脉瓣重度狭窄,可见多发强回声钙化,开放明显受限,峰值5.02m/s,平均跨瓣压差62mmhg,左房明显增大。EF值低至24%,术前几近循环崩溃。有多年冠心病史。
术前CT评估
Annulus Dimensions—27.4mm
LVOT—31.1mm
窦部:28*43.1mm
STJ—39.5mm
升主最宽处:50.5mm
路入分析:右股动脉
术前分析及手术策略
患者为Type0型二叶瓣,瓣叶明显增厚,极重度钙化,法式窦结构不大,双冠高度可,初步判断冠脉风险低,升主动脉明显增宽,左室肥大,EF值只有24%,心衰指征明显术中存在循环崩溃的可能;主动脉弓部走行较平缓,推荐右侧股动脉做为主入路。
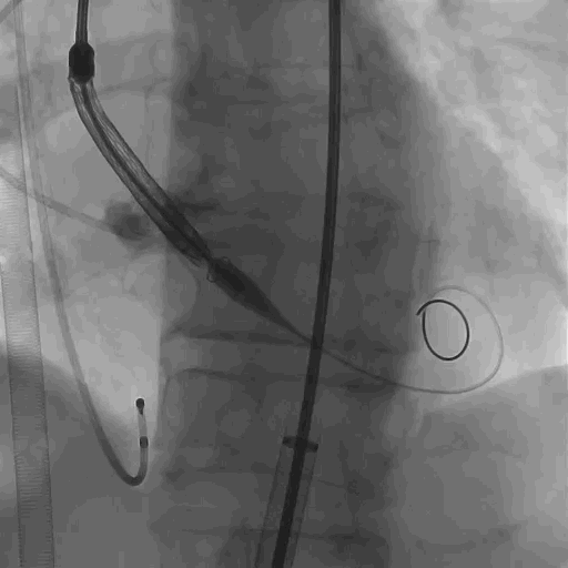
手术过程
主动脉根部造影,有中大量反流。

主动脉根部造影
导丝跨瓣,多次跳出,跨瓣困难。

导丝跨瓣
球囊预扩,考虑心室大,心衰的征象存在,术前ECMO辅助患者进行循环,预扩时反流量将球囊上冲,等患者恢复后进行第二次扩张,球囊无腰无漏,冠脉显影明显。

球囊预扩
选用启明VenusA L29瓣膜,瓣膜同轴性差,进行调整后选择标准位释放,释放位置良好。
瓣膜释放定位
瓣膜调整后释放
术后造影,反流明显改善,瓣膜工作状态良好。

瓣膜释放完毕

造影观察主动脉弓
术后总结
患者主动脉根部钙化积分达到1700+,瓣膜置换后即刻跨瓣压差显著下降,反流量明显减少,再行主动脉根部造影后提示瓣膜置入位置良好、形态完整,未见瓣周漏,未出现相关并发症。超声复查下,提示轻度反流存在,手术效果显著。
专家点评
Type0型二叶式主动脉瓣一直是国际上TAVR领域的难题,但因为我国患者病因的复杂性和结构的独特性,二叶式主动脉瓣结构的病人比例近50%,每一次的二叶式主动脉瓣手术的成功都是我们积累的宝贵经验。此例病人的钙化积分极高,病人主动脉瓣狭窄的症状很明显,手术成功的解决了狭窄的问题,极大的缓解了病人的身体情况。瓣膜存在钙化的病人相比较单纯反流的病人,瓣膜更加容易锚定,结构更加明朗;而单纯反流的病人,因长期反流量的冲击会使升主动脉增宽,瓣环直径扩大,不利于瓣膜稳定。
专家简介

现任南昌大学二级教授,主任医师,硕士生/博士生/博士后导师,南昌大学第二附属医院心内科主任,兼任美国心血管造影和介入学会(SCAI )专家会员、中国医师协会心血管内科分会常委兼基层学组副组长,国家心血管病专业质控中心专家委员会冠心病专家工作组专家、中华医学会心血管病分会动脉粥样硬化和冠心病组委员、中国非公立医疗机构协会心血管疾病专业委员会第一届委员会常委、中国房颤中心联盟副主席、囯家卫健委及医师协会心血管(心律失常、冠心病、结构性心脏病)介入培训基地导师、江西省康复医学会心血管病专业委员会主任委员、江西省房颤中心联盟主席、江西省胸痛联盟副主席、江西省医学会心血管病分会主任委员、江西省医师协会理事、中国胸痛中心执委会委员及核查专家、中国心血管康复中心执委会委员及核查专家、巜中国介入心脏病杂志》、《ESC Congress in Review Chinese Editiong》巜中国心血管病研究》杂志编委。共主持及完成国家级课题6项,省、厅级研究项目21项。获省级二等奖2项,三等奖4项,厅级奖7项。担任4部学术专著主编,撰写论文100余篇,其中SCI、核心期刊80余篇。培养硕博研究生70余人。

主任医师/教授,医学博士,博士生导师,南昌大学第二附属医院心血管内科教研室副主任,江西省百千万人才人选,江西省高校中青年骨干教师,江西省卫生系统学术学科带头人培养对象。
兼任中华医学会心血管病分会代谢性心脏病学组第一届委员,中国医师协会心血管病分会代谢性心肌病学组委员,江西省研究型医院学会胸痛分会副主任委员,江西省保健学会心血管病分会高血压学组副主任委员,江西省睡眠学会专业委员会理事,江西省睡眠学会心血管病专业委员会第一届常委。
长期从事心血管内科临床及科研工作,能够完成冠心病领域各种高难度手术,对心血管疑难及危重症处理具有很高的造诣,担任全国心血管疾病介入诊疗技术培训导师。主持国家自然科学基金1项,江西省自然科学基金1项,主持江西省科技支撑项目1项,发表SCI第一作者10余篇,国内核心期刊发表论文20余篇。获得江西省科技进步三等奖2项,江西省高校科技成果二等奖1项,国家专利1项。

心血管内科主治医师,在职博士, 留美访问学者,中国医学促进会青年委员,中国结构性心脏病委员会青年委员,江西省研究型医院协会胸痛分会委员。