2021年9月4日,江西省心血管病医院洪浪院长团队联合心脏内科、心脏外科、CCU、心脏彩超、麻醉科、介入手术护理、外科手术护理、放射科等组成多学科合作团队,成功为两位重度二尖瓣与主动脉瓣关闭不全的患者,采用经心尖入路,完美植入J-Valve瓣膜。其中二尖瓣“瓣中瓣”植入是全省心内科首例!
病例一
简要病史
老年女性,反复胸闷、气逼9月入院,7年前二尖瓣人工瓣置换术后人工瓣叶衰败,二尖瓣人工瓣叶脱垂并中大量反流,三尖瓣中量反流并肺动脉高压。给予利尿。改善心功能等治疗后仍反复出现胸闷、气逼。
心脏彩超提示
二尖瓣人工瓣置换术后人工瓣叶衰败、二尖瓣人工瓣叶脱垂并中大量反流、二尖瓣中量反流并发肺动脉高压、左心功能稍减、射血分数(EF)53%、心功能IV级、STS评分20%,高危组。
影像分析
二尖瓣生物瓣内径23.0mm,外径27.0mm; AV-MV double S curve: RAO 87°/CAU26°;左心室和二尖瓣轴线角度:140°;主动脉-二尖瓣长轴角度:110°;术中最佳投射角度:RAO 33°/CRA 57°;患者左室大小:68.4mm/47.4mm/51.5mm。
病例二
简要病史
老年男性,患者因反复胸闷、气逼5年余,再发加重伴双下肢水肿十天余入院。心脏彩超提示;主动脉瓣钙化并大量反流,予以改善心功能、利尿等治疗。
心脏彩超提示
重度主动脉瓣反流、轻度二尖瓣反流、左心室收缩舒张功能明显减低、反复心衰、射血分数(EF)27%、心功能IV级。
影像分析
患者主动脉瓣三叶式,瓣叶基本大,瓣膜轻度增厚,右冠瓣瓣叶边缘轻度钙化;主动脉瓣环周长折算直径28.4mm;双侧冠脉开口高度可LCA:12.4mm,RCA:25.0mm;术中造影角度RAO:4°,CAU:3°。
顾萍医生术中为患者进行食道超声探查
术前多学科讨论
两位患者分别是二尖瓣工瓣置换术后人工瓣叶衰败、主动脉瓣关闭不全,药物保守治疗后未见好转,尤其是病例一患者外科手术风险极高,病例二患者双侧髂动脉严重狭窄,经股动脉入路不通畅,且两位患者倾向于介入手术治疗。经洪浪院长团队术前讨论,决定采用经心尖入路行介入手术,且术中备好IABP,ECMO等设备,为手术安全保驾护航。
术前在院领导的大力支持下,多学科团队进行了详尽的病情讨论,周云英护士长对手术所有步骤、流程、并发症处理、替代手术预案等进行反复推演,详细到每一根介入导管的口径大小选择,制定严密的手术方案,确保手术万无一失!
手术过程
患者常规静脉全身麻醉后气管插管,通过右侧股静脉植入临时起搏器,调试临时起搏器处于正常运行状态。穿刺右侧股动脉植入猪尾造影管造影,心尖穿刺,切开,植入J-Valve瓣膜,行心尖荷包缝合。
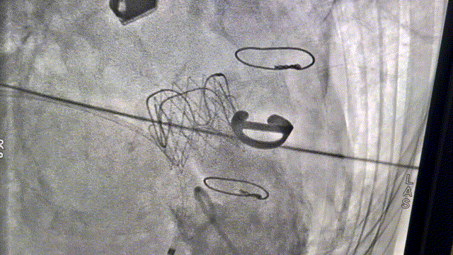
病例一植入后造影
病例二植入后造影
谢爱民主任术中
李彬主任术中
曾洪、王晶医生术中
麻醉医生刘艳龙密切监测患者生命体征
周云英护士长做术中记录
介入护理团队为手术保驾护航
外科护理团队为手术保驾护航
装载瓣膜
江西省心血管病医院洪浪院长团队致力于心脏瓣膜病变介入治疗,不断开展新技术,新项目。此次同日完成两台经心尖植入J-Valve术,再次证明江西省人民医院的心脏瓣膜疾病治疗技术正在高速且平稳的运行着,实现了“心”的突破,为心脏瓣膜疾病患者带来了“心”希望!
专家简介

教授,主任医师,博士生导师。江西省心血管疾病研究所所长;江西省人民医院心血管病中心主任;江西省人民医院大心内科主任;卫健委“冠心病介入诊疗技术培训基地” 主任;卫健委“心律失常介入诊疗技术培训基地” 主任;卫健委“先心病介入诊疗技术培训基地” 主任;中华医学会心血管介入培训江西基地主任;国家药物临床试验基地心血管专业主任;江西省介入心脏病学会 理事长;江西省“冠心病介入治疗质量控制中心”主任;江西省生物医学工程学会心电起搏分会常委;《中国介入心脏病学杂志》及《中国心脏起搏与心电生理杂志》编委;荣获2019年江西“最美医生”称号。