随着全球介入医疗技术的发展,不断涌现出前沿技术,准分子激光冠脉斑块消蚀术(Excimer Laser Coronary Atherectomy,简称ELCA)作为经过临床验证的减容手段,在国内也被越来越多应用于复杂冠脉病变的治疗。该技术通过光消蚀、声波压及空泡效应可以消蚀斑块,修饰管腔,改善血管顺应性,是血管介入领域安全有效的减容新技术。
2021年9月16日,四川省人民医院心血管内科冠脉团队成功完成了四川省首例准分子激光冠脉斑块消蚀术(ELCA),术中通过激光对斑块的消蚀,有效获得管腔。该例手术的成功开展,意味着又一新技术在天府之国顺利落地,也为西南区域的冠脉介入治疗开启了新的征程。
患者基本情况
患者:女,69岁
现病史:半月前因胸痛伴上腹疼痛在四川省人民医院CCU住院治疗,诊断为“急性下壁、正后壁ST短抬高型心肌梗死,冠心病,2型糖尿病”,于8月30日行冠脉造影术见前降支及右冠狭窄明显,并行右冠状动脉支架置入两枚。当时建议行前降支PCI,患者拒绝,随后病情好转出院。术后患者未再发胸痛,偶有心悸不适,晚上7-8点明显,持续半小时可自行缓解。后于9月15日就诊入院。
诊断:
1. 冠状动脉粥样硬化性心脏病,冠脉支架植入术后;
2. 2型糖尿病;
3. 原发性高血压”。
手术治疗策略
冠状动脉造影+准分子激光冠脉斑块消蚀术(ELCA)+光学相干断层成像(OCT)+支架植入术。
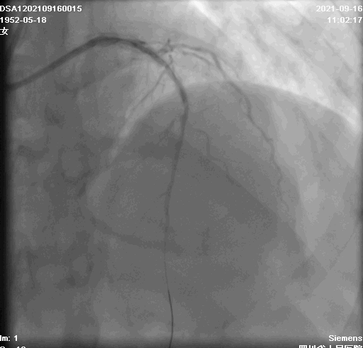
术中影像

消蚀前:管腔面积<1.5mm²,钙化。


支架后:管腔面积>6mm²,支架贴壁良好。
术后评估
激光消蚀后前降支病变处最大管腔>6mm²,未见血栓及夹层,支架植入后复查CTO支架贴壁良好,扩张充分,未见血肿及夹层,手术效果良好。
准分子激光技术介绍
准分子激光冠脉斑块消蚀术(Excimer Laser Coronary Atherectomy)简称ELCA,飞利浦最新一代的CVX-300激光系统以惰性卤化物为激光媒介,通过激光导管内的光纤发出波长为308nm的高强度紫外线激光。不同于既往长波长的热激光,新一代的准分子激光对组织的穿透深度<100 μm,工作温度50°,因此又称为冷激光,这一特性减少了不必要组织损伤,能安全有效地作用于各种斑块或血栓却不损伤正常组织和血液,是目前最安全有效、应用前景最广阔的血管减容工具之一。
准分子激光是唯一被美国FDA和中国药监局批准的处理复杂病变的斑块消蚀技术及减容手段,其原理是利用斑块组织或血栓对308nm准分子激光能量的特殊吸收效应消蚀斑块。
准分子激光组织消蚀有三种工作机制:
① 光消蚀作用,光脉冲被斑块组织吸收,持续时间125ns,作用深度0.1mm,每个发射脉冲都会使数十亿的组织分子键被裂解;
② 声波效应,随光脉冲向四周释放声波,能有效修饰较硬斑块松解钙化,穿透较软组织改善血管的顺应性;
③ 空泡效应,通过等离子空泡的膨胀与收缩,震碎周边组织,修饰斑块并促进大于导管直径的管腔获得,有效起到减容的作用。消蚀后99%的组织碎片直径小于25μm,相当于两个白血球的直径,可直接通过循环系统代谢。
术者介绍

心内科主任医师,四川省卫生计生委学术技术带头人后备人选;成都医学院硕士研究生导师;成都医学会心血管专委会委员;四川省医师协会心血管专委会青年委员;主要从事冠心病介入诊疗方面及血管内皮功能的研究。
从事心血管内科临床工作10余年,临床功底扎实,尤其擅长冠心病介入诊疗手术,能熟练运用血管内超声、主动脉球囊反搏、旋磨仪、冠脉血流储备分数测定等完成较为复杂、高危冠状动脉病变的介入治疗。
目前主持四川省科技厅科研项目1项,四川省卫生厅课题2项,四川省人民医院青年基金1项,可支配研究经费近30万元。近5年以第一作者或通讯作者发表SCI论文及国内A类期刊10余篇。
专家团队

四川省医学科学院 四川省人民医院心血管内科主任,主任医师,硕士生导师。
《实用医院临床杂志》编委,《心血管病学进展杂志》编委。
美国心律学会Fellow,中国生物医学工程学会心律学分会委员,中国医师协会心血管内科医师分会委员,中国医师协会心血管内科医师分会第二届抗栓委员会委员,中国高血压联盟第五届理事会理事,四川省医学会心电生理与起搏专业委员会副主任委员,四川省康复学会心血管病康复专业委员会主任委员,四川省医师协会心血管病分会副会长。成都市心血管专委会副主任委员,四川省人民医院胸痛中心技术总监。
科研项目“超声心脏的心电生理学的应用基础研究”,于2003年获四川省科技进步一等奖,“生理性起搏的系列研究(应用研究)”于2009年获成都市医学科技奖一等奖。
2010年11月~2011年5月在香港中文大学威尔斯亲王医院做访问学者。

心内科主任医师,冠脉亚专业组长,四川省卫健委学术技术带头人 卫生部冠脉介入基地导师 四川省专家服务团特聘专家。长期从事心血管疾病临床诊疗与研究,擅长冠心病临床诊疗及冠状动脉介入。
学术任职:中国医师协会心血管分会超声心动图和影像学组委员;四川省医学会心电生理与起搏专委会委员;四川省医师协会心血管分会委员;四川省康复学会心血管专委会副主任委员;中国康复医学会心血管病专委会全国青委;四川省医学会循证医学专委会委员;成都市医学会心血管专委会冠脉学组委员;成都市中西医结合学会脑心同治专委会副主任委员。
主持并参与卫生厅,医学会及科技厅多项课题;以第一作者,通讯作者在国内外期刊公开发表论著20余篇,SCI3篇。