随着我国人口老龄化加剧,冠心病的发病率成连续上升的趋势,其中,约15%的患者往往同时合并有瓣膜病变[1]。冠状动脉旁路移植术(CABG)属于临床常见的治疗冠心病的术式。研究表明约50%左右的冠心病合并瓣膜病患者可以在CABG术式的同期进行心脏瓣膜置换治疗[2,3],但对于高龄、心功能较差的患者,联合手术风险较单项手术明显增加[4]。
近些年来随着微创手术观念不断深入人心,小切口CABG(MIDCABG)技术和经心尖TAVR(TA-TAVR)逐渐成熟,因此对于冠心病合并主动脉瓣病变的患者而言,二者结合(MIDCABG+TA-TAVR)可以避免体外循环造成的内环境紊乱,同时减少创伤,缩短住院时间,以及减少术后并发症的发生。
2021年9月7号陆军军医大学第二附属医院(新桥医院)肖颖彬、蹇朝教授团队在超声科、放射科、麻醉科等多方位的全力配合下,成功的为一位冠心病合并主动脉瓣重度狭窄的高龄患者同期实施了不停跳下小切口冠脉搭桥术(OP-MIDCABG)和经心尖TAVR术(TA-TAVR)。
病例介绍
患者,男性,77岁,因“劳累性心悸,气促1年”就诊。患者于一年前因“感冒”感觉疾走、上楼后心悸、气促、呼吸困难,经休息后症状有所缓解,当地超声提示“主动脉瓣狭窄伴关闭不全”,诊断为“风湿性瓣膜病”。此后患者间断反复出现劳累或感冒后出现心悸、胸闷、气促,经休息和服药后症状有所缓解。
门诊复查心脏超声提示:
6.左室收缩功能偏低,舒张功能减退。
冠脉CT提示:左冠前降支多发钙斑及混合斑形成,中段局部管腔可疑闭塞,近段管腔轻微狭窄(狭窄约10~20%),远段血管纤细、显影浅淡;第一对角支多发钙斑、混合斑形成,局部管腔遮蔽显示不清;左回旋支近中段多发钙化性及混合性斑块,管腔轻度狭窄;右冠状动脉各段散在钙化性及混合性斑块,近中段管腔轻度狭窄,远段管腔闭塞。
主要临床诊断:1、主动脉瓣重度狭窄伴中度关闭不全;2、冠心病;3、不稳定性心绞痛。
治疗方案:不停跳下小切口冠脉搭桥术(OP-MIDCABG)+经心尖TAVR(TA-TAVR)
术前CT评估
1.患者主动脉瓣三叶式,瓣叶基本等大,瓣叶增厚,游离缘重度钙化,钙化至窦底可见。
2.患者主动脉瓣环周长折算直径约24.5mm。
3.患者双侧冠脉开口高度尚可:LCA:10.4mm,RCA:13.3mm。
4.患者术中最佳造影角度RAO:19°,CAU:24°。
5.升主动脉增宽。
瓣环直径:24.5mm
升主动脉直径:45.7mm
左冠开口高度:10.4mm
右冠开口高度:13.3mm
主动脉瓣环及瓣叶总钙化积分:396mm³
术中最佳造影角度RAO:19°,CAU:24°
手术过程
不停跳下MIDCABG:全麻,双腔气管插管,仰卧位,左胸垫高20-30°,取左前胸第四肋间切口,长约5-7 cm,进胸后右侧单肺通气,用悬吊式乳内动脉牵开系统( FEHLING) 向上牵开肋骨,良好显露手术视野,用特制的加长取乳内动脉器械在直视下获取LIMA,上至第一肋骨上缘,下至第五肋,LIMA 分支用钛夹钳夹后电灼切断,游离充分后用罂粟碱水冲洗防止痉挛,全身肝素化(1mg/kg),在膈神经前切开心包,暴露前降支,确定LAD 吻合位置,估测LIMA游离长度足够,离断LIMA远端,观察LIMA血流,并向LIMA内注入罂粟碱水使其充分舒张,残端修剪整齐,并剪开至合适宽度备用。放置合适大小肋骨牵开器,悬吊心包,充分暴露前降支吻合部位。用吸引式心脏稳定器固LAD,将LAD切开适当长度,放置冠脉内分流器(shunt),7-0或8-0 prolene线进行LIMA 和LAD的端侧吻合。确保吻合可靠,尤其注意吻合时不能缝住对侧血管壁。吻合完成放置胸腔引流管一根,外接水封瓶,并常规用罗哌卡因行肋间神经阻滞,以减少术后切口疼痛,逐层关胸。
经心尖TAVR:经右侧股静脉置入临时起搏器,经右侧股动脉在患者主动脉无冠窦内放置1根6F猪尾导管进行协助定位。透视下定位后第六肋间小切口进胸,打开心包,选择心尖裸区缝制六边形荷包。心尖穿刺后将泥鳅导丝过主动脉瓣经升主动脉、主动脉弓到达降主动脉膈肌水平,通过TEE确认细导丝没有与二尖瓣腱索缠绕。单弯管交换硬导丝后,用16F扩张鞘预扩心尖穿刺处,先用24号球囊对狭窄瓣膜预扩一次(快速起搏心率:180次/分)(图3),后将 J-Valve瓣膜(25号)装入输送器,将输送器推送至主动脉根部,释放定位件,适当调整定位件角度使其进入三个主动脉窦部。通过DSA和TEE确定三个定位件准确入窦后完全释放瓣膜,撤出输送器。快速起搏心率180次/分,用24号球囊后扩一下人工瓣。通过DSA和TEE观察人工瓣膜膨胀后金属支架的形态、位置良好,无瓣周漏,前向血流速度较术前明显降低(图4-6)。撤出球囊及导丝,收紧心尖处荷包线并打结,后鱼精蛋白中和肝素,彻底止血,逐层关胸,封皮,拔出股动脉鞘并在股动脉穿刺处压迫止血。手术过程顺利,患者生命体征平稳。
TTE和DSA图像评估
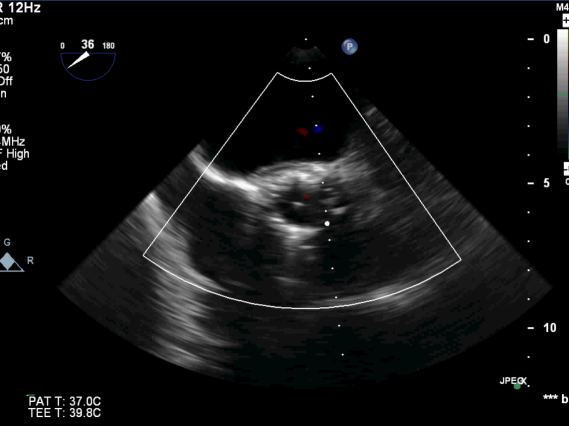
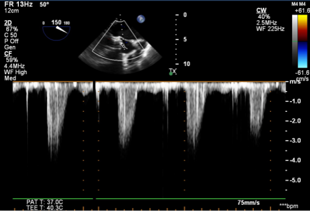
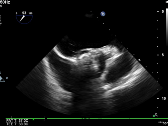
图1. 主动脉瓣钙化明显,并中量反流
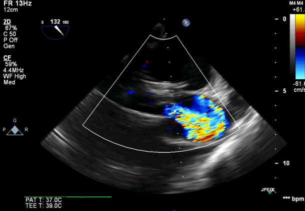
图2.CDFI示主动脉瓣血流信号呈“五彩”样,CW示过瓣流速明显增快
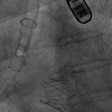
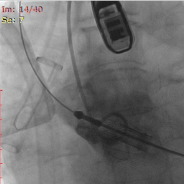
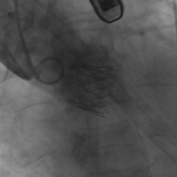
图3.术前24号球囊预扩
图4.定位件入窦,人工瓣入座
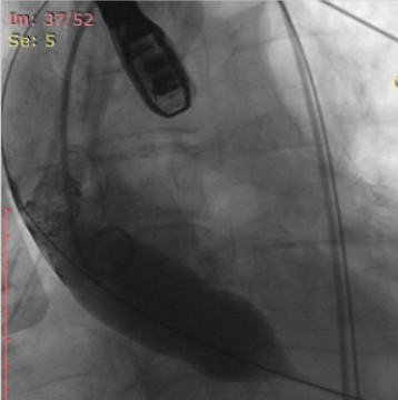
图5.人工瓣形态位置良好,造影未见瓣周漏
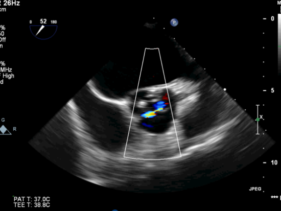
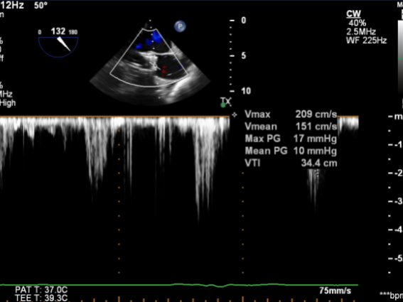
图6.TEE提示未见瓣周漏,CW示过瓣流速较术前明显下降
讨论
该患者为老年男性,术前临床表现和影像学检查提示该患者在主动脉瓣狭窄、中度关闭不全的基础上同时合并有冠心病、不稳定性心绞痛。研究表明在这类患者中,单纯采取换瓣治疗的近中期存活率为60%,而同期行CABG后,瓣膜病患者的近中期存活率为85%[5]。另外,同期手术可以避免患者2次手术,通过血运重建使心肌再血管化并恢复心肌收缩力[6]。
不停跳下小切口冠脉搭桥(OP-MIDCABG)是一种微创的手术方式,其汇集了小切口和非体外循环两个微创概念。与正中切口CABG相比,OP-MIDCABG乳内动脉桥早期通畅率大98.3%,症状缓解率达95%以上[7],具有创伤小,出血量少,并发症少等优点,具有较好的可靠性和可行性,特别适用于高龄耐受能差且病情复杂的患者。
非体外循环下的心脏血流分布与术前基本一致,非缺血区接近生理状态,可根据手术需要随时进行近端吻合,并及时恢复缺血区的血供,而不必担心延长冠脉的阻断时间[8]。另外,OP-CABG没有血液在体外循环装置进行流通氧合的过程,因此避免了体外循环的相关的炎症反应及损伤,也减少了凝血功能障碍、组织损伤等并发症的出现[9]。研究表明,对于高龄患者,OP-CABG可以明显降低患者术后的死亡率[10,11]考虑到上述情况,肖颖彬、蹇朝教授团队决定首先对患者行不停跳下小切口CABG治疗(OP-MIDCABG),术后造影显示乳内动脉桥血管血流通畅。在确保心肌血供情况改善后,肖颖彬、蹇朝教授决定对患者进行同期的经心尖TAVR治疗。
TAVR手术时间短,创伤小,无需进行体外循环和心脏停搏,患者术后恢复快,为高危或不能耐受手术的主动脉瓣病变患者提供了一种新的治疗手段。本例TAVR手术使用的J-Valve是苏州杰成医疗公司自主研发的经心尖路径置入自膨胀瓣膜,可应用于主动脉瓣狭窄和/或主动脉瓣反流的患者中。该瓣膜金属支架瓣膜外周连接着具备锚定功能的三个定位件,将其释放入窦后可以引导人工瓣膜精准置入到原病变瓣膜处,同时和自膨后的瓣膜共同夹住自身病变瓣膜,最终达到固定人工瓣的目的[12],因此J-Valve无需很大的径向支撑力,也可以对冠脉起到很好的保护作用,同时在最大程度上减少房室传导阻滞的发生概率。
小结
随着外科微创技术的不断发展,OP-MIDCABG技术已被广泛应用于冠心病的治疗。当一部分高龄的冠心病患者合并瓣膜病时,经心尖TAVR技术在上述微创CABG的基础上可以进一步为患者减少创伤,缩短住院时间,减少同期手术后的并发症创造有利条件。这是重庆地区首例OP-MIDCABG同期行经心尖TAVR手术,肖颖彬、蹇朝教授团队综合运用了上述微创术式为冠心病合并主动脉瓣病变的高龄患者提供了一个新的治疗手段。
参考文献:
[1] 赵东敏. 同期心脏瓣膜置换对冠心病合并心脏瓣膜病患者心功能的影响. 承德医学院学报. 2017. (05): 384-386.
[2] 钟少彬, 郑宝石, 谢晓勇, 罗程. 同期心脏瓣膜手术与冠脉旁路移植术的临床研究. 微创医学. 2017. (01): 6-10.
[3] 梁丽梅, 刘燕, 黄达等. 心脏瓣膜术联合冠状动脉旁路移植术对老年冠心病合并心脏瓣膜病患者炎症因子及心脏功能的影响. 中国循证心血管医学杂志. 2018. (08): 929-931.
[4] 朱震, 潘勃. 心脏瓣膜手术同期冠状动脉旁路手术治疗冠心病合并瓣膜病的临床效果. 中国基层医药. 2020. (10): 1153-1157.
[5] 刘季春, 喻本桐, 吴起才等. 中老年患者瓣膜替换同期冠状动脉旁路移植术临床研究. 重庆医学. 2014. (01): 94-96.
[6] 岳军. 冠状动脉搭桥同时行瓣膜置换术15例的体会. 中国实用医药. 2014. (32): 66-67.
[7] Bucerius J, Metz S, Walther T, et al. Endoscopic internal thoracic artery dissection leads to significant reduction of pain after minimally invasive direct coronary artery bypass graft surgery. Ann Thorac Surg. 2002. 73(4): 1180-4.
[8] Smith JM, Stein H, Robinson JR, Hawes J, Engel Ma AM. Influence of anastomotic techniques in totally endoscopic coronary artery bypass. Int J Med Robot. 2006. 2(2): 197-201.
[9] Bigdeli AK, Kaczmarek I, Eifert S, et al. Interrupted nitinol U-Clips versus standard running suture for the central arterial T-graft anastomosis: a prospective randomized study. Eur J Cardiothorac Surg. 2011. 40(2): e93-7.
[10] Poston RS, Tran R, Collins M, et al. Comparison of economic and patient outcomes with minimally invasive versus traditional off-pump coronary artery bypass grafting techniques. Ann Surg. 2008. 248(4): 638-46.
[11] Jones B, Desai P, Poston R. Establishing the case for minimally invasive, robotic-assisted CABG in the treatment of multivessel coronary artery disease. Heart Surg Forum. 2009. 12(3): E147-9.
[12] 刘路路, 石峻, 马皓, 郭应强. 应用J-valve瓣膜经心尖途径治疗超高龄单纯性主动脉瓣重度反流一例. 中国胸心血管外科临床杂志. 2019. (06): 619-622.
手术团队合照
专家简介

副主任医师、副教授、硕士研究生导师。现工作于陆军军医大学第二附属医院(新桥医院)心血管外科。以老年危重瓣膜疾病的外科综合治疗为特色,带领团队独立开展包含主动脉瓣关闭不全在内的TAVR手术数百台,指导带教多家心脏中心顺利开展TAVR手术,并在瓣膜修复、瓣膜疾病的微创外科治疗,心房纤颤的外科治疗中均有较丰富的治疗经验。曾获中华医学会胸心血管外科分会青年论文奖和中国医师协会心血管外科分会优秀青年医师奖。作为主要参与人获得“军队医疗成果二等奖”1项。在科研工作中,以心力衰竭的发生机制及干预为研究重点,主持国家自然科学基金3项,参与军队重点建设项目和重庆市重点技术攻关项目各1项。以第一作者或通讯作者发表SCI论文12篇,核心期刊论文10余篇,SCI论著累计影响因子62,SCI论文累计被他引154次。