2021年9月3日,重庆大学附属三峡医院心血管内科吴中杰主任团队在程伟主任、燕朝均老师指导下,完成一例高难度、高风险的TAVR手术。
病例回顾
基本情况:周XX,男,69岁
主诉:胸痛、胸闷、心悸、气促6年余、加重20天
现病史:患者在入院6+年之前出现活动后心悸胸闷、胸痛,不剧烈能忍受,气促,休息后能缓解,无肩背部放射性疼痛、无咳嗽、咳痰、无咯血、无发热等,期间反复治疗,并建议外科换瓣,患者拒绝要求保守治疗,好转后出院。病情反复直至加重,伴有恶心呕吐、腹胀、纳差、夜间阵发性呼吸困难,间断双下肢凹陷性水肿。
既往史:既往身体状况一般;否认传染性疾病史;否认重大外伤史;曾患疾病:1.高血压病史12年,最高血压160/90mmHg。2.6年前有脑梗死病史,住院后好转,未留神经系统后遗症。3.慢性肾功能不全氮质血症期;4.反流性食管炎;5.慢性胃炎;6.呼吸道感染;7.高尿酸血症;8.高脂血症9.低蛋白血症。
体格检查:心前区无隆起,心尖搏动位于腋前线与第五肋间交点处增强,无震颤,无心包摩擦感。叩诊心界增大,心率75次/分,律齐,心音正常,有杂音。二尖瓣听诊区可闻及3/6级收缩期吹风样杂音,主动脉瓣听诊区收缩期可闻及4/6级喷射样杂音及舒张期叹气杂音,其他瓣膜区未闻及明显杂音。
辅助检查
诊断
1、主动脉瓣钙化,重度狭窄伴中量返流;
2、全心增大,左室运动减弱。升主稍增宽;
3、二尖瓣少量返流,三尖瓣少量返流,压差增大,提示肺动脉压增高;
4、左室舒张功能不全III级;
5、左室整体收缩期功能测值明显降低。
手术指征
1、患者有明确的临床症状,瓣膜器质性病变诊断明确
2、内科治疗效果不佳
拟施手术名称和方式:TAVR(TF)
拟施麻醉方式:全身麻醉
术前评估
类TYPE2型二叶瓣,极重度钙化,左冠高度稍低,右冠高度可,升主动脉增宽,最宽处约40mm,心脏角度不大,左室大,心尖部局部心肌薄弱作。
手术难点
1、左冠开口低,冠脉风险偏高
2、 TYPE2型二叶瓣加上极重度钙化,影响瓣膜贴壁,瓣周漏产生机率增高。
3、心功能(EF)较差,术中容易出现心脏骤停。
手术策略
1.瓣膜选择:瓣环径24mm,但属于type2型二叶瓣,钙化范围广、程度重,球囊选择18,根据预扩结果进一步明确瓣膜型号,备L23/26/29。
2.冠脉风险:瓣叶较长,右冠高度尚可,左冠9.3mm偏低,但由于钙化分布广且重,瓣叶可能不会被推挤到冠脉开口,术中根据球扩进一步明确。
3.释放:钙化重,使用A+,可考虑高位释放,采用慢快慢节奏。
4.通路:心脏角度不大,主动脉弓平滑无夹角,外周动脉直径超过6mm,无太大风险。
手术前讨论
术中情况
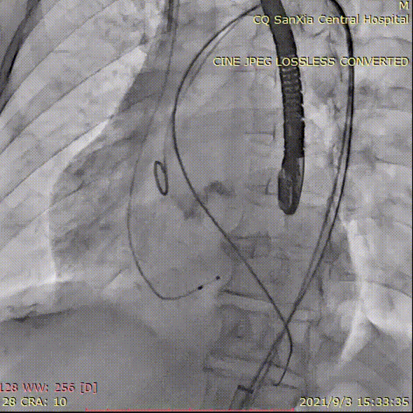
置入lunderquist
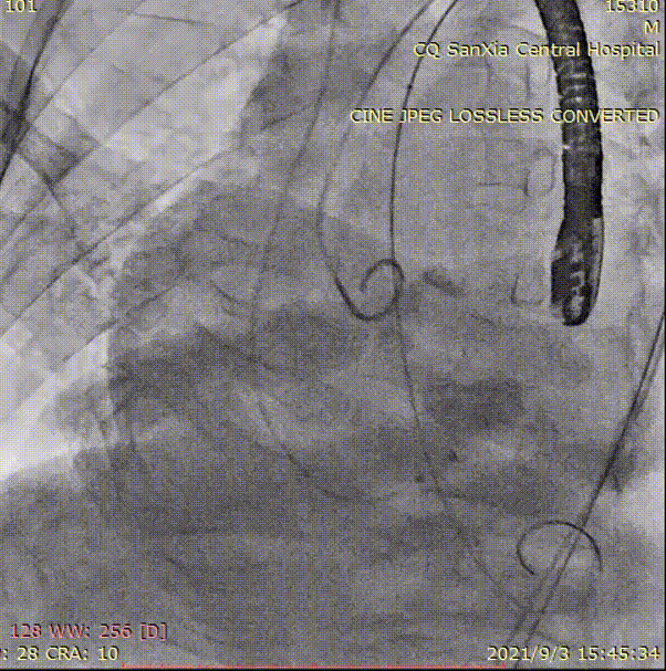
根部造影
CPR
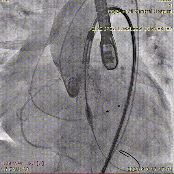
Numed18mm球囊预扩,左右冠脉都有显影
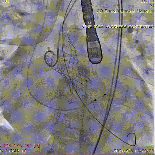
植入L23瓣膜定位,进行高位释放
造影评估
总结
吴中杰老师对这台手术进行了总结:本院这台手术过程复杂,但结果是令人满意的。该患者主动脉瓣极重度钙化,且延续广泛,瓣上限制区域重,伴有全心增大、心肌薄、EF值低,手术风险和难度极高。因此对瓣膜的大小、释放位置有较高的要求,否则发生重度瓣周漏的风险较高。
对于这个病例我们经过术前讨论,预估到了术中可能出现的风险,并做出了完善的应对措施,而且采用启明的VenusA—Plus瓣膜支架,具有可回收功能,也保障手术能达到最佳效果,总体来说通过术前完善的准备和术中流畅的配合,手术是非常成功的。
三峡医院心血管内科及TAVR团队介绍
重庆大学附属三峡医院心血管内科成立于2004年,现已发展成为三峡库区集医疗、教学、科研为一体的心血管疾病的诊治及预防中心。先后被评为万州区重点学科、重庆市特色专科、国家药物临床试验机构(心血管专业)、国家心脏中心心血管技术协作中心、中国基层医师心血管疾病培训示范中心、中国胸痛中心授牌(标准版)、重庆心律失常联盟副理事长单位、重庆市区域重点学科、心脏康复中心建设单位、重庆青年文明号等。
专家简介

心血管内科副主任,主任医师,重庆大学附属三峡医院胸痛中心医疗总监。1993年毕业于中国医科大学,2002年赴北京中国医学科学院阜外心血管医院学习冠状动脉介入治疗技术,至今已在国内核心期刊发表文章10余篇现任重庆市中西医结合学会脑心同治专业委员会心律学组委员、重庆市万州区医学会心血管病学专业委员会委员。

副主任医师,2004年毕业于华中科技大学同济医学院。重庆市医学会心电生理和起搏专业委员会第二届委员会青年委员会委员。毕业后一直在重庆三峡中心医院内科工作,能熟练处理心内科常见疾病及多发病。专业特长:擅长冠心病、急性心肌梗死、高血压、各种原因的心力衰竭、各种心律失常、风湿性心脏病、心肌炎、心肌病、先天性心脏病等各种心血管疾病的诊治。擅长先天性心脏病介入手术、心律失常射频消融术及起搏器植入术、熟悉冠状动脉介入手术。

副主任医师2006年毕业于重庆医科大学临床医学系, 2008年于中国科学院阜外医院进修冠心病介入治疗。专业特长:掌握内科常见病及多发病的诊疗常规,能熟练的治疗冠状动脉粥样硬化性心脏病、心绞痛、急性心肌梗死、高血压、各种原因导致的心力衰竭、各种心律失常、风湿性心脏病、心肌炎、心肌病、先天性心脏病等各种心血管疾病。擅长冠心病介入治疗及外周血管介入治疗。

主治医师,2010年毕业于重庆医科大学临床医学专业,学士学位;2018年通过全国内科规范化培训。专业特长:从事心血管内科学9年,熟练掌握各种心内科常见病,多发病,如:冠心病、高血压、心律失常、瓣膜病、心力衰竭等疾病的诊断与治疗,擅长冠状动脉造影、冠状动脉介入治疗及快速型心律失常室上性心动过速的导管射频消融术的治疗。