2021年9月10日,复旦大学附属中山医院葛均波院士团队周达新教授、潘文志教授、张晓春教授、陈莎莎教授在心脏超声科、心外科等多学科团队的密切配合下完成了TaurusNXT经导管主动脉瓣系统多中心临床试验全国首例入组。
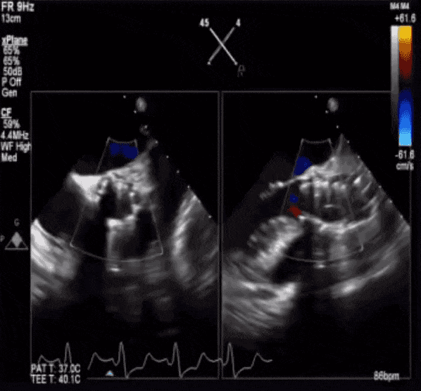
患者为71岁女性,影像学检查提示三叶式主动脉瓣,瓣膜增厚钙化,开放重度受限,钙化积分HU850:722mm³,主动脉瓣口面积仅为0.7 cm²,平均跨瓣压差53 mmHg,主动脉瓣口峰值流速高达4.6 m/s,诊断为主动脉重度狭窄。葛均波院士亲自携多学科团队进行评估并制定了详细的手术方案,拟采用20 mm球囊进行预扩,植入AV26TaurusNXT主动脉瓣。术中通过多次使用回收功能寻找最理想的锚定位置和释放位点,并使用22mm 球囊进行后扩张。术后即刻经食道超声心动图评估显示仅微量瓣周漏,平均跨瓣压差仅为7 mmHg,主动脉瓣口峰值流速为1.9 m/s,术后即刻瓣口面积为2.0cm²,血流动力学指标理想。
主动脉根部及冠脉解剖分析:
血管外周入路评估:
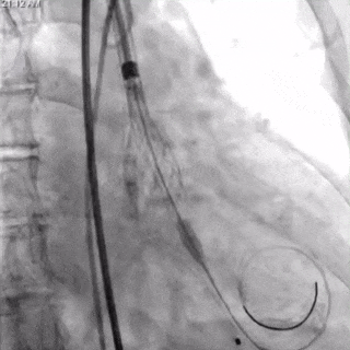
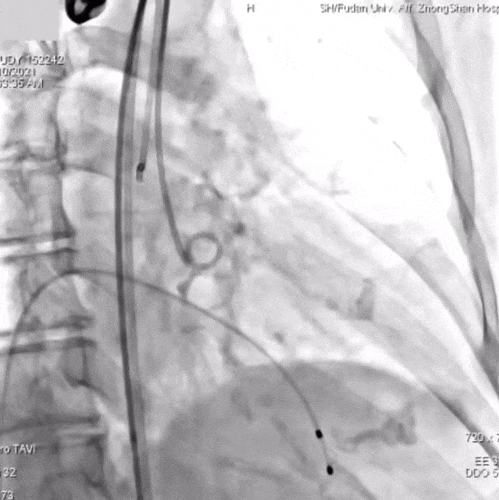
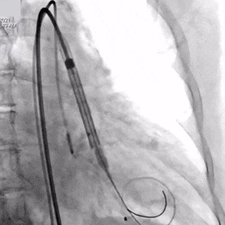
TaurusNXT植入过程:
主动脉瓣根部造影
球囊预扩
瓣膜第一次展开与回收
瓣膜再次定位与展开
瓣膜稳定释放
术后即刻造影
TaurusNXT为全新一代干瓣预装载经导管主动脉瓣系统,在瓣叶生物化处理上采用国际领先的非戊二醛技术,避免了残留醛基诱发组织钙化,机制上消除了钙化的主要风险,并且在复合交联、除原体细胞、抗降解性能、病毒去活等全方位提升了生物瓣叶的性能,以期带来更优越耐久性和更好的生物相容性。此外,有别于传统的甘油处理技术,采用国际首创的低温冻干技术的瓣叶干式处理,完整保持了瓣叶物理性能,同时实现瓣膜系统的预装载。TaurusNXT输送器采用的专利导管设计,在不牺牲过弓柔顺性的同时确保可靠稳定的回收性能,并增加远端调弯功能,改善瓣膜与主动脉的同轴性,进一步提升过弓跨瓣能力,可安全有效的应对复杂主动脉弓及横位心等形态挑战,改善同轴性。
葛均波院士寄语:
TaurusNXT临床试验是一项前瞻性、多中心、单组目标值研究评价TaurusNXT经导管主动脉瓣系统用于治疗重度主动脉瓣钙化性狭窄的安全性及有效性的上市前NMPA注册临床试验。TaurusNXT主动脉瓣在传承TaurusOne瓣膜平衡性能以及TaurusElite优异的可回收功能之上,采用国际领先的非戊二醛交联及低温冻干技术,同步优化了支架结构和输送系统,以期在瓣膜锚定、封闭、血流动力学改善以及在术者操控性等方面有进一步提升。期待TaurusNXT经导管主动脉瓣系统使术者更有信心追求更为理想的植入效果,为患者带来更好的临床预后,惠及我国更多主动脉瓣重度狭窄的患者。
专家介绍

中国科学院院士、长江学者、教授、博士生导师。现任中国医师协会心血管分会会长,中国心血管健康联盟主席,复旦大学附属中山医院心内科主任,上海市心血管临床医学中心主任,上海市心血管病研究所所长,安徽省立医院院长,复旦大学生物医学研究院院长,复旦大学泛血管医学研究院院长,复旦大学泛血管基金理事长,教育部“心血管介入治疗技术与器械”工程研究中心主任,中国医学科学院学部委员、美国心血管造影和介入学会理事会理事,美国心脏病学会国际顾问,世界心脏联盟常务理事,世界华人心血管医师协会荣誉会长、美国哥伦比亚大学客座教授。