周周寄语:
瓣中瓣(v-in-v)TAVR是很常见的一类TAVR类型。国外的研究显示v-in-v TAVR比redo SAVR有更好的围术期预后,随着TAVR技术的发展,生物瓣衰败的v-in-v TAVR逐渐成为生物瓣膜衰败的标准化治疗方案。v-in-v TAVR有专门的app可以检索,针对不同品牌和大小的生物瓣,外径多少,内径多少,选择多大的瓣膜,都有推荐。在充分了解患者的瓣膜品牌后可以很方便的制定手术方案。
本例病例特殊在于患者合并瓣周漏,生物瓣瓣周漏无法通过TAVR解决,故广东省人民医院TAVR团队讨论后决定先行瓣周漏封堵,再行v-in-v TAVR。术中在食道超声指导下泥鳅导丝跨越瓣周漏,建立轨道,超声下测量瓣周漏大小,用合适的血管塞封堵瓣周漏。最后做到既解决了瓣周漏,又解决了瓣膜衰败,一举两得。
术前评估:
患者男,75岁,活动后气促两月余,高血压10年,糖尿病7年,2007年于广东省人民医院因风湿性心脏病行二尖瓣、主动脉瓣置换术。
2020年2月初出现无明显诱因气促伴发热,广东省人民医院就诊提示糖尿病酮症合并败血症,血培养解没食子酸盐酸链球巴斯德亚;予皮下胰岛素泵控制血糖,予泰能抗感染治疗,好转后出院。
2020年3月9日再次高热40°C伴气促,B超提示主瓣置换后人工瓣退行性变并梗阻,二尖瓣置换后退行性变功能尚可,左室腔腱索上异常回声;结合病史诊断急性感染性心内膜炎,升级万古霉素抗感染治疗,好转后拟行TAVR手术。
根部解剖:
患者2007年植入HANCOCK 23号外科生物瓣,生物瓣衰败后内径为21.8 mm,术前超声评估除瓣中明显反流外,右无窦区域明显瓣周漏,综合评估,决定行血管塞封堵瓣周漏联合TAVR行瓣中瓣术式。
术中:
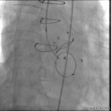
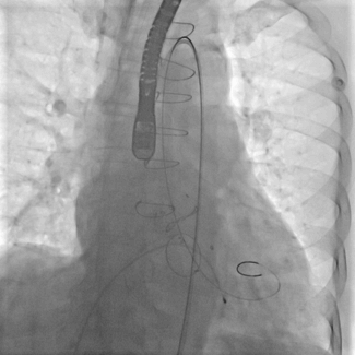
瓣上造影
造影可见主漏及无窦附近明显瓣周漏;

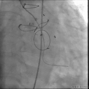
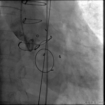
建立瓣周漏轨道

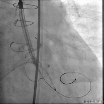
血管塞封堵
12mm三支血管塞置入
术中食道超声确认满意后释放血管塞

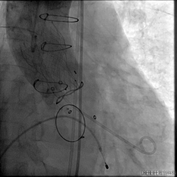
跨瓣建立轨道
主动脉瓣架植入
根据造影情况决定选择VenusA 23号瓣膜

主动脉瓣架释放
复查造影
术后:
跨瓣压差下降为20左右,超声复查微量瓣周漏,瓣膜植入位置良好,遂闭合入路送回病房,一周后康复出院。
专家介绍

医学博士、主任医师、博士生导师。现任广东省人民医院心内科副主任,广东省人民医院南海医院院长、广东省人民医院血管病诊疗中心主任、广东省冠心病防治研究重点实验室副主任。
学术任职:美国心脏病学院Fellow (FACC)、欧洲心脏病协会Fellow (FESC)、美国心血管造影与介入学会Fellow (FSCAI)、首批Global Hybrid Algorithm Community国际认证Hybrid CTO带教专家、卫生部心血管疾病介入诊疗培训基地(冠心病介入治疗)导师。
中华医学会心血管病学分会大血管学组副组长、中国研究型医院学会心血管影像专业委员会副主任委员、中国研究型医院学会血管医学专业委员会副主任委员、中国医疗保健国际交流促进会血管疾病分会副主任委员、中国医疗保健国际交流促进会难治性高血压与周围动脉病分会副主任委员、中国医药教育协会血管医学分会副主任委员、广东省介入性心脏病学会周围血管介入分会主任委员、广东省医师协会心血管介入医师分会副主任委员、广东省医师协会心血管内科医师分会常务委员、广东省医学会心血管病分会结构性心脏病学组副组长等。
血管疾病多学科协作论坛(VMDT)执行主席、冠心病与周围血管介入沙龙(CPIS)执行主席、亚太CTO俱乐部广州峰会共同执行主席、亚洲心脏病学会年会秘书长等。
技术特长:擅长复杂冠脉病变、主动脉疾病、瓣膜疾病、周围血管病等的介入治疗。在国内率先开展脑保护装置下颈动脉介入治疗、经桡动脉行肾动脉介入治疗、快速起搏与经皮穿刺主动脉腔内修复术(TEVAR),2016年4月完成华南地区首例经导管主动脉瓣置换术(TAVR),2019年2月成功实施全球首例经股动脉途径TAVR联合TEVAR一站式手术,团队整体TAVR手术量已超过500台,已经帮助全国100家中心开展TAVR手术。
科研成果:获中国医药教育协会科学技术奖二等奖1项、广东省科学技术奖二等奖2项、三等奖2项。参编学术专著6部,发明专利4项,发表学术论文100余篇。先后承担省市级课题数项,培养硕博士20余人,目前在研经费超过500万元。

医学博士,副主任医师,硕士导师。
学术任职:中国医师协会心血管病分会结构组委员;广东省介入性心脏病协会结构分会常务委员;广东省医师协会心血管介入医师分会委员;广东省医师协会高血压分会青年委员;广东省医院协会心血管质控管理分会结构性心脏病学组委员;中国大湾区心脏协会精准诊疗分会委员;中国结构周秘书长;血管疾病多学科协作论坛(VMDT)秘书。
技术特长:擅长经导管主动脉瓣置换术,手术量超600台,帮助全国70多家中心开展TAVR手术。擅长复杂冠脉病变、主动脉疾病、瓣膜疾病、周围血管病等的介入治疗。