韩伟 马晓腾 杨志强
心脏瓣膜病是结构性心脏病领域最主要的疾病,近年来随着介入技术的迅猛发展,经导管主动脉瓣置换术(TAVR)已成为主动脉瓣疾病患者主要的治疗手段。随着国内外介入器械研发的不断更迭,国内结构性心脏病介入治疗也迎来了“星星之火可以燎原”之势。
近日,首都医科大学附属北京安贞医院周玉杰教授团队成功应用新进获批的爱德华球扩式SAPIEN 3经导管主动脉瓣膜系统为一名胃癌术后极度消瘦、冠脉三支病变且重度钙化的主动脉瓣狭窄患者进行了TAVR治疗。
患者情况
现年72岁身形消瘦的邢先生,既往有糖尿病、高脂血症、脑出血病史20余年,5年前开始出现活动后胸闷、气短症状,就诊心脏科却不幸发现贲门癌行胃大部切除术;此后胸闷、气短反复发作,冠脉造影提示中度血管狭窄,诊断为冠心病、心脏瓣膜病,予药物保守治疗。8个月前因三餐后胸闷、气短明显加重,伴大汗、黑曚、平卧受限再次就诊当地医院,超声心动发现重度主动脉瓣狭窄、重度二尖瓣返流、中度三尖瓣返流、重度肺动脉高压、射血分数明显减低;冠脉CTA提示血管重度狭窄伴严重钙化,诊断为冠心病、联合瓣膜病、心力衰竭。经药物保守治疗后症状略改善,因外科手术风险极高,辗转就诊北京安贞医院周玉杰教授团队。
术前评估
入院查体:BP 83/48mmHg, 极度消瘦,营养状态较差,BMI 17.5kg/m²,双下肺呼吸音略弱,未闻及明显干湿啰音;心界扩大,心音可,主动脉瓣听诊区可闻及3-4/6级收缩期喷射性杂音,向颈部传导;腹部及四肢未见异常。生化指标RBC 4.2*10^12/L, HGB 107g/l, HCT 33.6%, hs TnI 25.8pg/ml, BNP 1179pg/ml, 贫血系列:血清铁↓ 6.9 umol/L, 铁饱和度↓ 9.9%,维生素B12↓ 72pg/ml。
入院超声心动图:主动脉瓣重度钙化,中-重度主动脉瓣狭窄伴轻度返流,二尖瓣重度返流、三尖瓣中度反流、中度肺动脉高压,左心、右房扩大,左心功能明显减低。
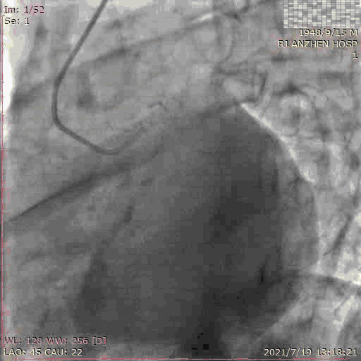
冠脉CTA:冠脉重度钙化(钙化积分3030.38),LM狭窄1-24%,LCX钙化斑块,狭窄25-49%;LAD重度钙化伪影,近-中段狭窄50-69%;RCA全程弥漫性病变,钙化伪影重,中段狭窄70-99%,远段狭窄50-69%。
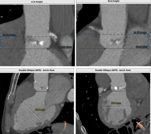
主动脉CTA:三叶瓣,瓣环面积为518 mm²,严重钙化;法式窦结构可,主动脉瓣瓣环周径82.3 mm,平均直径26.2mm,左室流出道周径28.0mm,主动脉窦管交界处(STJ)高28.9 mm;左冠高度14.8mm,右冠高度17.2mm,升主动脉未见明显增宽,主动脉根部角度44°,左室大(66.9mm),心尖部局部心肌薄弱,推荐右侧股动脉做为主入路。推荐使用26号瓣膜。
术前分析及手术策略
邢老先生年龄较大,身材极度消瘦,营养状态较差,BMI仅为17.5kg/m²,合并症较多:冠脉三支病变,肺动脉高压,且既往脑出血、糖尿病、高脂血症、贲门癌胃大部切除术病史。Euro SCORE Ⅱ评分为9.29%,STS评分为9.3%,不仅外科换瓣手术高危,内科介入TAVR也有极大风险。
周玉杰教授、王志坚教授与多学科团队会诊讨论后,考虑患者冠脉钙化较重,术中可能会应用旋磨、激光技术,一站式手术风险较大,遂决定先行PCI术,择期选用爱德华SAPIEN 3 球扩式瓣膜行TAVR术。因患者为多瓣膜疾病,心脏扩大,血压极低,心功能较差,术中、术后极有可能出现循环崩溃,因此决定由心外科、体外循环ECMO团队全程为TAVR手术保驾护航。
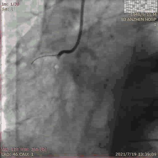
PCI过程:术中使用 7F AL 0.75 Guiding,顺利于RCA植入2.5*18mm支架,术后予双联抗血小板治疗,恢复良好。

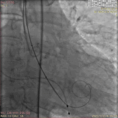
TAVR过程:患者局麻后,植入临时起搏器,穿右股动脉送入23mm球囊预扩张病变,左、右冠状动脉未受明显影响,决定直接植入爱德华SAPIEN 3 26mm 球扩式瓣膜,选择标准位进行释放。





释放后主动脉窦造影提示瓣膜膨胀良好,主动脉瓣周少量反流。术后即刻TTE提示跨瓣最高流速109cm/s,平均跨瓣压差3mmHg。主动脉瓣瓣口面积2.72cm²。
术后管理
邢先生TAVR手术顺利,精神可,但因心功能较差,术前及术中持续存在低血压状态,最低达70/50mmHg;术后给予补液及血管活性药物维持血压平稳;随着心功能的逐渐恢复,血压逐渐提升至100/70mmHg,复查超声心动图各项指标明显改善。
TAVI 术后第二天
术后超声心动图:TAVR术后,人工瓣正常,少量瓣周漏;左心、右房增大,二尖瓣中度返流,三尖瓣重度返流,轻度肺动脉高压,左心功能减低(较前改善)。
术后点评:
王志坚教授:患者为胃部肿瘤胃大部切除后临近恶液质状态,营养状态极差、心功能差、合并症多,STS评分大于8%,为外科手术高危病人,不适合行外科主动脉瓣置换术治疗。冠脉CTA提示患者三支病变、双支中-重度狭窄伴重度钙化,且患者既往脑出血病史,介入手术风险较大;经过周玉杰教授团队与多学科团队综合全面分析决定为患者分期实施PCI及TAVR手术。优先处理右冠重度狭窄,成功植入一枚支架,术后患者心功能及生命体征相对平稳,第三天安排了TAVR手术。瓣膜植入过程很顺利,但术后因心功能较差,持续低血压状态,应用血管活性药物、补液支持治疗后,随着心功能有所改善,血压逐渐平稳。
周玉杰教授:此病例患者综合情况较差,身材瘦小,营养状态差,既往有恶性肿瘤手术史,最重要的是还同时合并严重的冠脉病变,CT分析患者主动脉瓣钙化严重,这些情况均给瓣膜植入带来了巨大挑战。术中采用了爱德华生命科学SAPIEN 3经导管主动脉瓣膜系统,减少了对入路血管的损伤、增加了操作的安全性,整个手术过程均非常顺畅。术后患者仅少量瓣周返流,结果令人满意。
对于高龄、外科手术高危、合并症较多的症状性重度钙化主动脉瓣狭窄患者,经皮TAVR手术因创伤小、风险低、并发症少,住院周期短,恢复快等特点而备受瞩目。以SAPIEN 3为代表的球扩式瓣膜与国产自膨式瓣膜一起,将为中国介入医生提供更完善的治疗决策,为更多的中国瓣膜病患者带来临床获益。
专家简介

老年心血管病中心副主任,主任医师,教授,博士研究生导师,医学博士(MD)、心血管病学博士后、流行病学硕士(MSc),北京市“冠心病精准治疗”重点实验室学科带头人。美国心脏病学会会员(FACC),中华医学会心血管病学分会第十一届委员会代谢性心血管疾病学组委员,中国老年医学会青委会副主任委员,中国医师协会心血管疾病与代谢分会会员,北京心血管疾病防治研究会会员,首都医科大学老年医学系中青委员会委员,《中国误诊学杂志》副主编,《心肺血管病杂志》编委。2014至2016年作为高级访问学者于哈佛医学院访问交流,并取得哈佛公共卫生学院流行病学硕士学位。主要临床方向为冠心病介入治疗及冠心病危险因素控制。主持国家自然科学基金等科研课题多项。以第一或通讯作者发表论著40余篇,其中SCI引用20余篇。主编学术著作《冠状动脉搭桥术后再次血运重建策略》(人民卫生出版社),并参编参译著作多部。

主任医师、教授、博士生导师、北京学者,首都医科大学附属北京安贞医院常务副院长,北京市心肺血管疾病研究所常务副所长,中国复杂、高危、疑难冠心病微创介入治疗和经皮心脏瓣膜疾病介入治疗领域的开拓者和推动者。国家老年心血管临床重点专科,冠心病精准治疗北京市重点实验室,冠心病临床诊疗与研究中心,冠心病创新技术精准化诊疗平台学术负责人,卫生优秀科技人才及领军人才,新世纪国家级百千万人才。“登峰”人才,“使命”人才培养计划团队负责人,国家有突出贡献中青年专家,国家卫生计生委突出贡献专家,个人及指导手术量突破20000例,承担多项国家级重大专项,获得发明专利13项。FACC, FHRS, FSCAI, FESC资深会员,中国医师协会介入心脏病协会主任委员,中国医疗保健国际交流促进会医疗质量控制委员会主任委员,中国老年保健医学研究会慢病防治管理委员会主任委员等。2019年6月荣获美国C3(复杂心血管介入治疗)终身成就奖。