面对我国二叶畸变和退行性钙化导致主动脉瓣狭窄的病例比例远超国外的实际情况,在术前根据患者CT影像选瓣定位成为TAVR手术流程中至关重要的环节之一,以往在术前靠主观猜测瓣膜释放结果的评估方法随着TAVR手术的不断发展,存在的弊端逐渐暴露出来,反而成为限制TAVR手术精细化发展的关键桎梏,如何能在术前拟真、科学的模拟瓣膜释放是当前急需解决的难题,如今FEops的出现为我们提交了一份完美的答卷!近日,西安交通大学第一附属医院韩克教授带领手术团队,在FEops的保驾护航下,顺利完成一台二瓣式畸变重度狭窄患者的TAVR手术,术后患者血流动力学指标及症状得到明显改善。
患者情况
今年61岁的周女士,退休的清闲日子还没享受几年,就遇到了一件烦心事,退休在家的这段时间反而感觉越来越疲惫乏力,稍微活动就感觉胸口憋闷的不行,怎么自己清闲在家反而身体还出现问题了?于是周女士带着疑问来到了西安交通大学第一附属医院进行检查,这一查,发现竟然是主动脉瓣在“罢工”。超声显示:主动脉瓣瓣上峰值流速5.17m/s,平均跨瓣压差为51mmhg,诊断为:主动脉瓣二瓣畸形重度狭窄。
术前分析
根据FEops报告选型
瓣环平面相关:
面积为289.8mm²
周长为61.2mm
周长导出径为19.5mm
面积导出径为19.2mm
平均径为19.3mm
韩克教授根据FEops提示的瓣环径以及瓣上结构,决定采用L23型号瓣膜
通过FEops评估冠脉风险
根据FEops报告上的左右冠脉CT截面得知LCA Height:19.1mm、RCA Height:16.9mm,患者的左右冠脉高度大于12mm评估该患者冠脉堵塞风险比较低,通过植入瓣膜前后的主动脉根部3D模型对比可以进一步验证。
左右冠脉CT截面
植入瓣膜前的瓣膜形态
VenusA植入后的瓣膜形态
FEops量化预测瓣周漏
根据FEops量化评估得知,选用L23瓣膜高位释放会导致3.6ml/s的瓣周漏,而选用L23标准位释放会导致3.3ml/s的瓣周漏,两种释放位置产生的瓣周漏均低于发生中度以上返流的临界值16ml/s,所以两种释放位置均可以纳入考虑范围,由FEops模拟瓣周漏的3D建模得知发生瓣周漏的主要区域为二叶瓣鱼嘴的开口位置。
L23高位植入后的瓣周漏情况
L23标准位植入后瓣周漏情况
FEops量化预测传导阻滞
根据FEops量化评估得知,选用L23瓣膜高位释放不会导致传导阻滞,而选用L23标准位释放会导致6%的接触压力指数,但是低于FEops评估发生传导阻滞的临界值14%,所以L26的标准位释放也是可以考虑的,但是高位释放的结果还是优于标准位释放结果。
L23高位释放后的主动脉根部受压情况
L23标准位释放后的主动脉根部受压情况
通过FEops预估稳定位置
根据FEops评估的L23瓣膜高位释放结果,发现瓣膜起始位置与稳定位置有较大的改变,判断发生下滑可能性比较大,建议使用VenusA-Plus®可回收输送系统保障手术安全。
手术策略
韩克教授团队根据FEops评估结果,经过研究讨论,决定采取L23型号瓣膜高位释放的手术方案,针对FEops评估在瓣膜释放之后可能会出现下滑的情况,决定使用VenusA-Plus®可回收输送系统,确保手术安全顺利。
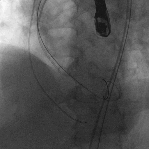
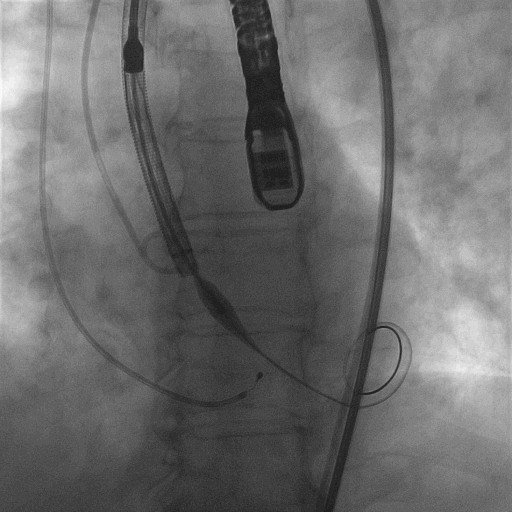
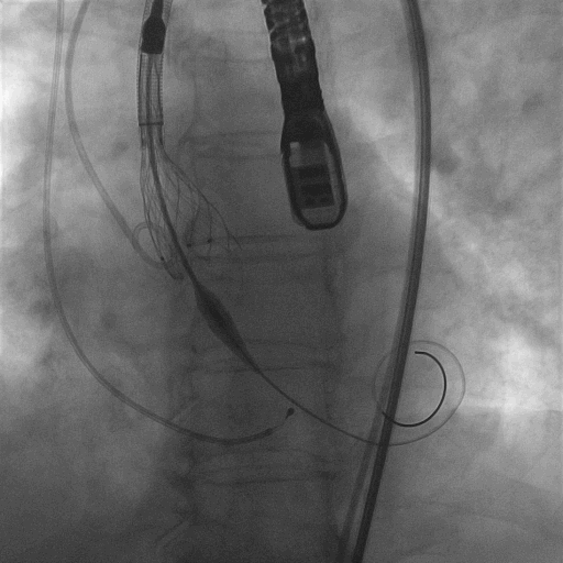
术中造影

18mm球囊预扩,有腰无漏
L23超高位释放
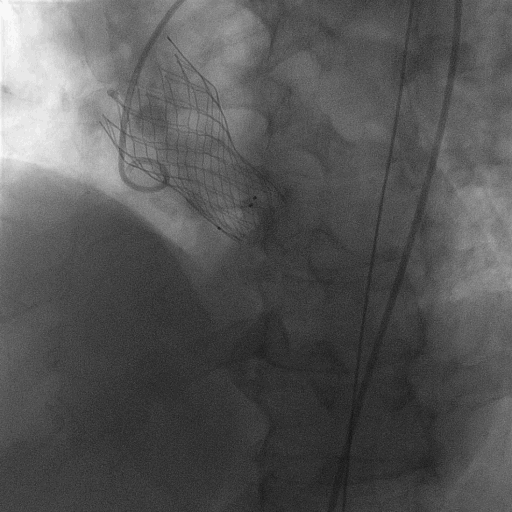
释放到2/3,观察瓣膜位置,与FEops评估一致,瓣膜发生了下滑
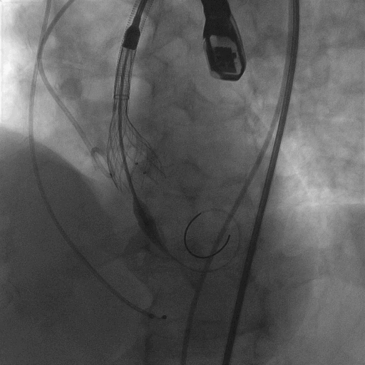
使用VenusA-Plus®回收功能以后,调整投射角度继续以高位释放
再次释放到2/3,造影观察瓣膜位置良好,选择全部释放

L23高位释放成功
术后结果
跨瓣压差:51mmhg⇢12mmhg
主动脉瓣口峰值流速:5.71m/s⇢2.7m/s
结论
FEops在已经拥有3000余例样本量的大数据基础上,依然坚持将每台手术的术前预测和术后结果进行拟合对比,不断修正两者之间的差异并改进更新,力求模拟最真实的释放结果,本次TAVR手术中FEops的表现,再次印证了其模拟结果的真实性以及实用性,通过术前预测瓣膜释放之后的下滑情况,提示术者预先做好相关准备,术中通过使用VenusA-Plus®的可回收功能完美解决了“意料之中”的小插曲。
韩克教授总结“TAVR手术有很多的不确定因素,以往凭借术前主观猜测、术中试错验证的方法已经不适用于当下国内TAVR的发展形势,同样也不利于新中心树立开展TAVR术式的信心,但是有了FEops后将彻底改变这一局面,术者能够通过FEops的评估结果,有效规避手术风险,在确保手术安全的同时最大程度保证患者手术获益”。
专家简介

心血管病医院院长,教授/主任医师,博士生导师,心血管病学博士, 日本京都大学博士后。国家杰出青年基金获得者。

副主任医师,1999年毕业留校工作至今,主要研究方向冠心病、结构性心脏病介入治疗,心脏疾病的超声及影像学诊断。现任中华医学会心血管病学分会结构性心脏病学组委员,亚洲青年结构性心脏病俱乐部委员,陕西省医学会心血管分会介入学组委员、秘书,陕西省超声医学工程学会委员,曾任陕西省医学会超声分会委员。每年完成冠心病、结构性心脏病及起搏电生理介入治疗数百例。擅长CTO、分叉病变等复杂冠脉介入治疗,ASD、VSD、PDA、PFO等先天性心脏病介入治疗,率先在西北地区开展TAVR及LAAC手术,熟练掌握IVUS、OCT等腔内影像学技术。作为主要研究人员参与多项国家自然科学基金项目、陕西省科技攻关项目、陕西省卫生厅科研基金项目。