近日,珠海市人民医院心内科姜小飞教授团队使用先健科技LAmbre™左心耳封堵器与LAnavi™分段控弯导引系统,为一名患者成功实施了左心耳封堵手术。这是LAnavi™分段控弯导引系统上市后的首例正式入院使用,该例手术的圆满收官标志着左心耳封堵领域正式迈入“可调弯时代”,而LAnavi™作为全球首个商业化的分段可调弯导引系统,将助力临床医生优化手术操作,让左心耳封堵术更加安全、可控。
珠海市人民医院心内科姜小飞教授(右二)及其团队合影
患者信息
患者为81岁女性,因“心率加快4天,自测最高心率109次/分,伴乏力”入院就诊。
既往史:因病窦综合征曾植入心脏起搏器,规律服用“阿司匹林、舒降之、美托洛尔”等治疗。
入院诊断:阵发性心房颤动,老年性心脏瓣膜退行性病变,双房扩大,三尖瓣中量反流,肺动脉高压(中度),一度房室传导阻滞,心功能I级,肾功能不全。
CHA2DS2-VASc评分为5分,HAS-BLED评分为4分。
心脏彩超显示,左心房前后径36mm, 左心室舒张末期前后径48 mm,EF 62%,提示左房增大,二尖瓣可见微量反流。
术前CT影像
术前CT结果显示,患者左心耳形态呈鸡翅形,开口呈椭圆形,开口大小约为25mm*20mm, 左心耳深径约20mm。为解决房颤引发脑卒中的后顾之忧,姜小飞教授团队为患者定制了射频消融+左心耳封堵术“一站式”手术解决方案,且由于患者心耳内腔较大,姜小飞教授选择LAmbre™左心耳封堵器进行封堵。
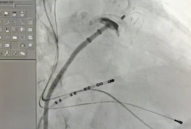
左心耳封堵过程

左心耳头位造影

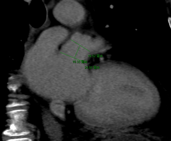
左心耳测量
常规肝位造影显示,左心耳锚定区约26mm, 开口约29mm, 因此选择型号为LT-LAA-2834的LAmbre™左心耳封堵器对患者实施封堵。LAmbre™植入过程一步到位,U型钩均完全展开。随后复查造影及TEE结果,封堵盘呈“碗状”形态完美贴合于左心耳口部,无残余分流,牵拉测试稳定,综合评估符合COST原则,随后完美释放,封堵效果理想。术后,患者各项指标正常,身体恢复良好。




封堵器牵拉测试稳定


封堵器释放后头位与肝位造影

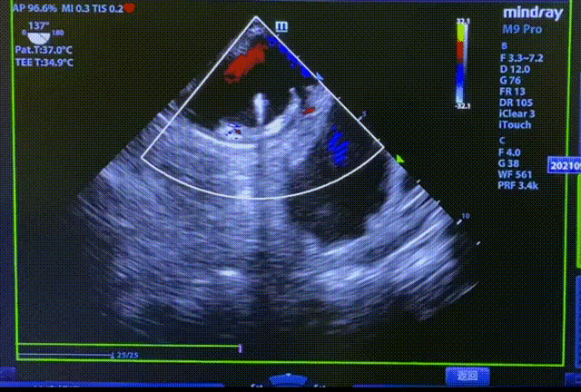
释放后TEE检查(135°)

近年来,随着人口老龄化进程的加速,各类疾病发病率大幅攀升。我国房颤患者人群尤为庞大,与房颤相关的节律控制和卒中预防正逐渐成为心内科医生工作的重中之重。以往,口服抗凝药物是房颤卒中预防的标准方法,然而抗凝治疗存在高出血风险、低依从性等局限性。相比之下,左心耳封堵术是一项安全、有效的房颤卒中预防技术,其弥补了抗凝治疗的诸多短板,为临床专家提供了新的选择,继而获得了国内外专家共识与指南的推荐。我认为左心耳封堵技术的兴起对于患者、科室以及社会均具有重大的意义,值得广大心血管同仁去大力推广和普及。
在该例左心耳封堵手术中,我首次使用了先健科技LAnavi™分段控弯导引系统,LAnavi™采用全新的设计理念,是全球首款分段控弯导引系统。众所周知,房间隔穿刺作为左心耳封堵术中的关键步骤,很大程度上决定了手术轴向与封堵效果。通常在穿刺点选择欠佳且无法微调的情况下,术者需要重新穿刺房间隔,浪费了宝贵的手术时间。如今,LAnavi™独特的分段双可调弯设计,可实现在左心房内多角度、多平面自由调节,能够满足几乎所有左心耳形态的轴向需求,令左心耳封堵手术更便利、更安全可控,且由于鞘管与心耳同轴,封堵效果更加理想。
对于新开展左心耳封堵的中心而言,LAnavi™能够降低房间隔穿刺难度,进一步优化术者的学习曲线。同时,在LAnavi™的辅助下,房间隔穿刺过程中对于食道超声的依赖将大幅降低,为患者带来了更佳的治疗体验,亦促进了“优化式”左心耳封堵技术的开展。在此,我深刻的体会到我国在左心耳封堵器械研发领域已取得突破性进展,期待在创新器械持续不断的迭代与精进之下,左心耳封堵术将迎来更广阔的发展空间。
专家简介

医学博士、主任医师、心内科副主任(主持全面工作)、第八党支部书记。
中华医学会心血管病学分会肺血管病学组委员;中国人体健康科技促进会结构性心脏病委员会 副主任委员;中国生物医学工程学会心律学会左心耳封堵学组委员;亚洲心脏病学会理事;亚太结构性心脏病青年俱乐部黄金会员;澳门粤港澳大湾区心脏研究学会(澳门)理事;中国心血管医师创新俱乐部(CCI)广东分部执行委员;广东省医师协会心血管病学分会委员;广东省医师协会心脏病器械辅助治疗医师分会常务委员;广东省医师协会小儿心血管病医师分会常务委员;广东省医学会心血管病学分会委员;广东省医院协会心血管疾病质控管理分会常务委员(兼结构性心脏病组副组长);广东省健康管理学会肺血管疾病分会常务委员;广东省介入性心脏病协会结构性心脏病分会常委委员;广东省医学会心脏起搏与电生理学分会心房颤动学组委员;广东省医学教育协会心脏内科学专委会常务委员;广东省高血压达标中心联盟副主任委员;广东省心脏康复联盟副主席;《中国心血管病研究》杂志编委会青年委员;中国高血压达标中心认证专家委员会委员;WATCHMAN左心耳封堵全球带教专家;德国布伦瑞克医学中心访问学者;波鸿鲁尔大学附属bergmannsheil医院访问学者。