TEE-guided Transcatheter aortic valve replacement using J-Valve with “Zero-Contrast”, performed by Professor Pan Xiangbin team of Fuwai Hospital, Chinese Academy of Medical Sciences – A viable alternative for a patient with Allergy to Contrast Medium who has suffered from severe Aortic Valve Regurgitation.
2021-09-01 14:30
2021年8月31日,中国医学科学院阜外医院潘湘斌教授、王旭教授、徐东辉教授介入瓣膜团队,在超声科、麻醉科、影像科的全力配合下,成功为1例造影剂过敏的主动脉瓣重度关闭不全的老年女性患者进行了经心尖人工主动脉瓣置换术(TA-TAVR)。
TAVR手术介绍
TAVR(Transcatheter aortic valve replacement)又称经导管主动脉瓣植入术,它通过经血管或经心尖(Transapical)的入路方式,利用导管(输送器)将人工瓣膜输送到自体主动脉瓣处,释放后在功能上替代了原先病变的瓣膜。但在传统的外科主动脉瓣置换术(SAVR)中,30%-40%的患者被认为存在手术高风险或/和禁忌症,如高龄,心功能差等,因此这部分患者无法接受常规外科手术治疗,大多数只能采取保守治疗¹。随机临床试验的结果表明,与保守治疗相比,TAVR能降低这部分不能手术患者的死亡率,而在中高危患者中,TAVR的预后也不比SAVR差²。
病例介绍
患者,女性,65岁,因“间断心悸、乏力一年”就诊。
患者于1年前出现劳累、活动时心悸、乏力、气促症状,休息后可好转,有时持续时间较长,最长达2日,夜间可平卧。
超声心动图提示舒张期主动脉瓣中重度反流,左心增大(前后径61mm),主动脉窦部/升主动脉增宽(42mm/43mm)。
冠脉CT未见各支冠脉明确有意义狭窄。
患者在使用造影剂(优维显)后于当日晚间出现颜面水肿、胸背部皮疹伴瘙痒等过敏表现,隔日患者在外院就诊期间出现意识丧失,心外按压后意识恢复,无大小便失禁,预抗过敏、西地兰等治疗,后恢复窦性心律。
患者口服抗过敏药物1周后,颜面水肿、皮疹消退,后为求进一步就诊入院治疗。
临床诊断:1、主动脉瓣中-重度关闭不全;2、造影剂过敏。
治疗方案:零造影剂TEE引导下TA-TAVR。
术前CT评估
瓣环平均直径:24.7 mm,左室流出道平均直径:24.3mm。
升主动脉增宽:42.6mm,最佳投射角度:LAO:9°Cranial:12°。
左冠开口高度:11.5 mm,右冠开口高度:19.8 mm。
瓣环平均直径:24.7mm,左室流出道直径24.3mm
窦管交界直径36.9mm,升主动脉直接42.6mm
左冠开口高度11.5mm,右冠开口高度19.8mm
最佳投射角度:LAO:9°Cranial:12°,瓣环、瓣叶及窦部无明显钙化
手术过程
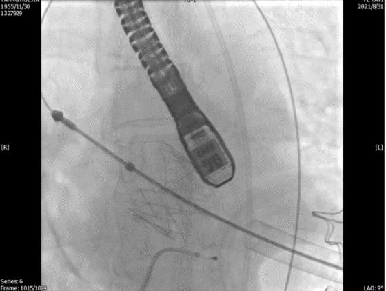
TA-TAVR在全麻和气管插管下进行。经右侧股静脉置入临时起搏器,经右侧股动脉在患者主动脉无冠窦内放置1根6F猪尾导管进行协助定位(图1)。
图1. TEE和放射线显示猪尾导管、临时起搏导线、导丝
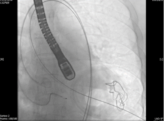
透视下定位后第五肋间小切口进胸,打开心包,选择心尖裸区缝制六边形荷包。心尖穿刺后将泥鳅导丝过主动脉瓣经升主动脉、主动脉弓到达降主动脉膈肌水平,通过TEE确认细导丝没有与二尖瓣腱索缠绕(图2)。
图2. TEE和放射线显示输送器进入升主动脉根部、瓣环平面以上水平
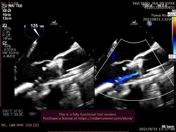
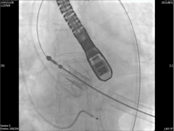
单弯管交换硬导丝后,用16F扩张鞘预扩心尖穿刺处,将 J-valve瓣膜(27号)装入输送器,将输送器推送至主动脉根部(通过零造影剂DSA确认),释放定位件,患者无需起搏,适当调整定位件角度使其进入三个主动脉窦部(图3)。
图3. TEE和放射线显示定位件入窦,人工瓣入座
通过TEE确定三个定位件准确入窦后完全释放瓣膜(图4),再次用TEE观察人工瓣膜自膨后金属支架的形态(自膨胀后最大外径)、位置(瓣环下金属支架长度及占比)、有无明显瓣周漏。撤出输送器(图5),收紧心尖处荷包线并打结,检查无出血,逐层关胸,封皮,拔出股动脉鞘并在股动脉穿刺处压迫止血。手术过程顺利,患者生命体征平稳。
图4. TEE和放射线显示人工瓣膜自膨
图5. 放射线显示锁丝松开后,输送器逐步回撤,TEE提示人工瓣(导丝处)微量中心性反流信号
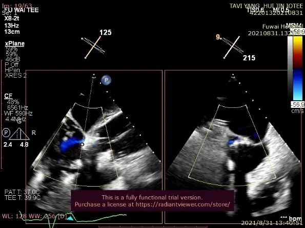
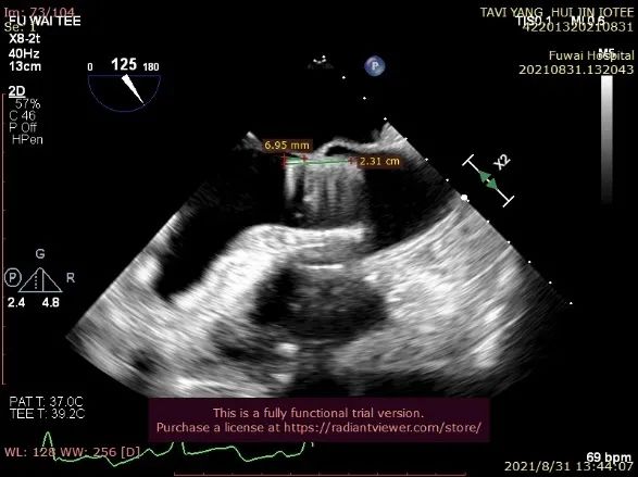
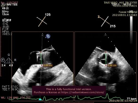
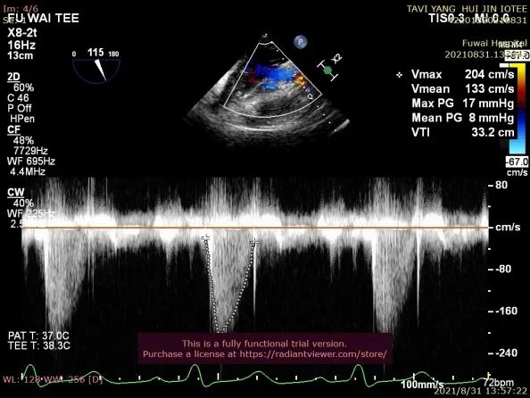
术后即刻放射线显示人工瓣膜位置良好,随心跳运动,与周围组织无相对位移;TEE显示人工主动脉瓣金属支架位置良好,瓣环下支架长度约7mm,支架自膨后外径为26.8mm,接近瓣膜真实外径(图6),CDFI多角度观察,舒张期冠脉开口处血流通畅,左室流出道侧人工瓣和自体瓣环之间仅见微量反流信号(图7),收缩期人工瓣口流速良好(峰值流速:2.0m/s,峰值压差:17mmHg)(图8)。
图6. 人工瓣充分自膨后,TEE示瓣环下方金属支架长约7mm,约占瓣架总高度1/3
图7. TEE提示做冠脉开口处血流通畅,无冠窦和左冠窦交界处可见微量瓣周漏
图8. TEE(胃底心尖五腔心切面)提示人工瓣形态位置良好,CW:Vmax=2.0m/s,MaxPG=17mmHg
讨论
目前,全世界每天都有数百万人次在影像学检查中使用碘造影剂(Iodinated Contrast Media, ICM)³,使用ICM可以增加组织间对比度,能够更好的显示出病变、组织轮廓和形态。因此,在常规TA-TAVR中,术者通过使用ICM可以清楚的观察到人工瓣定位件的入窦情况,以及瓣膜释放后是否存在严重的瓣周漏,这对整个手术的成败至关重要。
但是含碘造影剂引起的不良反应及危险性一直也备受关注,其中造影剂过敏反应是其严重不良反应之一。严重过敏样反应发展迅速且凶险,临床上容易与原发病和手术本身的并发症相混淆,处理不当会危及生命。
碘普罗胺是一种新型造影剂,因其具有显影效果好、低渗性和良好的机体耐受性等特点,现已广泛用于心血管造影及CT增强扫描。碘普罗胺为非离子型次高渗亲水单体碘对比剂,渗透压约为血浆的2倍,其化学毒性明显低于传统的离子对比剂,因此严重的过敏反应罕见⁴。
该患者是一位老年女性,近期在外院行冠脉CT检查后当晚出现了颜面水肿、胸背部皮疹等过敏表现,并于隔日出现意识丧失,后经心肺复苏恢复意识。上述临床表现与静脉注射碘普罗胺(优维显)有合理的时间关系,在排除其他用药后,极有可能是碘普罗胺所致的重度迟发性过敏反应。
较早的研究认为术前应用糖皮质激素可以减少总体ICM不良反应事件⁵,但目前的研究认为只有在不使用ICM的情况下才能真正防止过敏反应的发生⁶。
综合以上分析后,为了防止术中及术后意外事件的发生,潘湘斌教授决定在零造影条件下,完全借助TEE和普通放射线为这位主动脉瓣重度关闭不全的患者实施TAVR手术,即全程通过TEE判断定位件入窦、瓣周漏等情况。但这需要术者具备深厚的超声图像解读能力,可以及时的对术中各种TEE图像做出精准预判,同时超声医生也必须充分了解手术过程,并如同术中DSA一样同频配合术者的手术操作。另外,术中零造影剂将无法对术中患者的冠脉风险进行评估,但术者通过TEE的血流多普勒发现患者瓣膜释放后左、右冠脉开口的血供情况良好,无明显节段性室壁运动异常,射血分数在正常范围内。当然这与J-Valve瓣膜的结构特点密不可分,该人工瓣属于短支架瓣膜,其定位件可以夹住自体瓣叶,无需较大瓣膜整体径向支撑力,因此冠脉梗阻的风险极低。
小结
这是潘湘斌教授团队继半个月前零造影剂下为一位高龄、严重肾功能不全患者行TAVR之后完成的又一例对术者及整个团队要求极高的手术。术后结果表明,在那些术前和术中无法使用造影剂的患者里,术中通过依赖放射线和TEE引导、评估人工瓣膜的释放是完全可行的,但需要超声团队的密切配合,同时对术者在定位件入窦时的手感和影像学判断的能力要求极高。
参考文献:
[1]Kerrigan J, Krishnaswamy A, Bakaeen F, Mick S. Chapter 33 - Transcatheter Aortic Valve Replacement ,2018.
[2]Kolte D, Vlahakes GJ, Palacios IF, et al. Transcatheter Versus Surgical Aortic Valve Replacement in Low-Risk Patients. J Am Coll Cardiol. 2019. 74(12): 1532-1540.
[3]Rosado Ingelmo A, Doña Diaz I, Cabañas Moreno R, et al. Clinical Practice Guidelines for Diagnosis and Management of Hypersensitivity Reactions to Contrast Media. J Investig Allergol Clin Immunol. 2016. 26(3): 144-55; quiz 2 p following 155.
[4]杨旭, 黄晓青, 华潞等. 52例冠状动脉造影患者非离子型含碘对比剂过敏不良反应分析. 中国循环杂志. 2015. (08): 741-743.
[5]Greenberger PA, Patterson R. The prevention of immediate generalized reactions to radiocontrast media in high-risk patients. J Allergy Clin Immunol. 1991. 87(4): 867-72.
[6]Nagaoka M, Tsumuraya N, Nie M, Ikari Y. Zero Contrast Coronary Intervention Using Intravascular Ultrasound Guidance in a Patient with Allergy to Contrast Medium. Tokai J Exp Clin Med. 2016. 41(3): 152-5.
专家简介

博士,主任医师,心脏内、外科双博导。中国医学科学院阜外医院院长助理,国家区域医疗中心:云南省阜外心血管病医院执行院长、华中阜外医院总院长助理。潘湘斌教授,是国际知名的心血管病专家,发明15项世界首创技术,获得30项国内外专利,多项产品在中国及欧洲上市,以中国技术、中国产品构建了具有完全自主知识产权的中国方案。其发明的技术及产品具有“保护患者、保护医生、减少创伤、节约费用、易于推广”的明显优势,甚至可以在门诊治疗常见心血管疾病,大大节约医疗费用、减轻患者痛苦,颠覆了欧美传统技术;其发明成果以巨大的优势得到国际社会广泛认可,受聘担任美国胸外科医生协会(STS)、心血管介入协会(SCAI)及美国心脏病学院(ACC)外籍资深专家;多次受邀赴法国、英国、俄罗斯、加拿大、土耳其、泰国等二十多个国家和地区现场演示手术,并出色完成国家医疗外交任务;其主编的教材被欧美专家逆向翻译成英文,培养了来自美国、德国、日本、土耳其等三十余个国家的学员,成规模、成体系地向世界输出中国方案。