2021年9月2日下午,葛均波院士团队葛雷教授,成功于上海德达医院,完成Comet™压力导丝上市后全国首例临床应用。Comet导丝于2021年5月12日获得NMPA审批,可正式应用于临床。此次接受手术的患者为70岁女性患者,葛雷教授带领手术团队配合默契、手术过程顺利,患者术毕安返病房。
患者基本信息:
患者为70岁老年女性,主诉因“阵发性胸部不适半年余”入院。患者半年前开始出现活动后胸部不适,位于胸骨后,无胸痛及肩背部放射痛,无气急、呼吸困难等不适,患者未予重视,未诊治。患者近2月来,无明显诱因再发胸部不适,每次持续时间约1-3分钟不等,休息后可自行缓解。患者既往有高血压及 II 型糖尿病病史30余年;患者本次以“冠状动脉粥样硬化性心脏病、原发性高血压、 II 型糖尿病”收治入院。
病例特点:
该患者危险因子:高血压、糖尿病;
手术策略讨论:
患者造影示前降支中远段迂曲,需手术操作尽量轻柔,避免造成血管损伤;
需采取让患者获益最大的辅助检查手段,明确是否需进行POBA或支架植入。
手术过程:
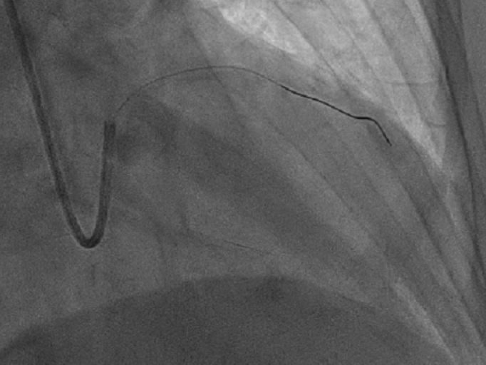
患者造影示左前降支近段发出第二对角支处偏心性狭窄50-60%,远段迂曲,第一对角支管壁不规则,左回旋支近段狭窄30%,第一钝缘支管壁不规则。
取6F SPB 3.5指引导管送入左冠口,0.014“ Comet 压力导丝校零后通过病变处送至前降支中远段,腺苷负荷后测得FFR 0.86,建议药物治疗。手术成功,拔鞘。
测量 LAD FFR:回撤压力导引钢丝,观察压力有无飘移
葛雷教授演示 Comet 压力导丝性能
术后讨论:
患者造影示前降支中远段迂曲,在操控导引钢丝过程中需全程动作轻柔,避免造成血管损伤;葛雷教授评价 Comet 压力导丝易操控、通过性能佳,在很大程度上减少血管损伤;
采取功能生理学FFR对患者冠脉进行辅助检查,以明确是否需进行POBA或支架植入术,最终得出前降支FFR 0.86的结论,患者无需进行支架植入,继续药物治疗,给患者以最大获益。
Comet 压力导丝介绍:
Asahi联合开发,具有真正的工作导丝性能
• 易于塑性,不易损伤组织
• 精确的切割带来1:1 扭矩体验
智能连接
• 光学技术提供了可靠的信号连接
• 自由旋转柄带来最小的操作阻抗
FFR与IVUS 集合显示
• 先进的导丝设计帮助介入操作中进行诊断
• 为器械通过提供优化的轨道支持 (与0.014“ 兼容)
专家简介

2001年10月获复旦大学上海医学院(原上海医科大学)内科学临床医学博士学位,2004年3月至2005年3月在意大利米兰EMO Centro Cuore Columbus医院培训。现任复旦大学附属中山医院心脏介入中心副主任,中华医学会心血管病分会介入学组委员,卫生部冠心病介入培训基地培训导师,上海医学会冠脉介入学组副组长、欧洲心脏病学会委员(FESC),美国心血管造影与介入协会委员(FSCAI),亚太心脏介入学会委员(FAPSIC),亚太冠状动脉慢性完全闭塞病变(CTO)俱乐部(APCTO Club)主任委员,中国CTO俱乐部(CTOCC)秘书长,东方心脏病学会议(OCC)冠脉介入论坛副坛主,中日科技交流协会心血管病分会副会长。
长期从事高危、复杂冠心病的诊断与治疗,多次在国内和国际学术会议上进行手术演示及学术报告。先后参与多项科研工作,其中包括:上海市科学技术委员会重点攻关项目:“完全可降解聚乳酸雷帕霉素冠脉支架的实验研究”(课题负责人,已结题);目前在研项目为国家科技部国家重点研发计划“全降解聚合物支架的动物和临床实验研究”(课题负责人)。
担任《冠状动脉慢性完全闭塞病变介入治疗》副主编、《冠状动脉慢性完全闭塞病变介入治疗2013》副主编、《冠状动脉慢性完全闭塞病变介入治疗2017》副主编、《冠状动脉慢性完全闭塞病变逆向介入治疗》主编,《冠状动脉慢性完全闭塞病变介入治疗:策略列、技术及病例精选》主编。
先后在JACC、JAMA、EHJ、AJC、Heart等国际著名期刊发表论文多篇。两次在韩国AngioplastySummit暨亚太TCT会议上获最佳论文奖。在国际上首次阐明分叉病变Crush技术最终球囊对吻的重要性、首次分析了药物洗脱支架在退化的大隐静脉桥血管的疗效和安全性,较早观察了药物洗脱支架在慢性闭塞病变的应用,以及较早提出CTO PCI手术中使用电生理模式降低射线量的观点,连续5年入选Elsevier中国高被引用学者榜单,单篇论文最高引用次数为2214次,总引用次数为15232次。