
作者:中国医学科学院阜外医院 吴永健团队
一、临床资料
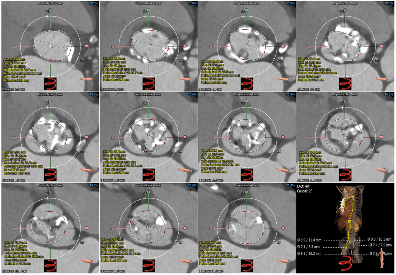
患者男,82岁,主诉:活动后胸闷加重2月,于2021年4月30日入阜外医院。患者近2个月来胸闷、气促,与活动有关,多于行走时、上楼时及情绪变化时出现,每次持续约数分钟后可缓解。体格检查:体温36.0℃,脉搏85次/min,呼吸12次/分,血压88/52 mmHg(1 mmHg=0.133 kPa)。双肺呼吸音清,未闻及干湿性啰音;心率85次/分,律齐,主动脉瓣听诊区可闻及3/6 级喷射性杂音;双下肢无水肿。入院诊断: 主动脉瓣重度狭窄、三尖瓣重度关闭不全、冠状动脉粥样硬化性心脏病、NYHA心功能Ⅲ级、高脂血症、肺动脉高压。入院心电图为窦性心律,ST-T改变。超声心动图:主动脉瓣瓣口面积为0.38 m2,瓣口峰值流速5.0 m/s,平均跨瓣压差66 mmHg,左室舒张末径48 mm,左室射血分数45%,三尖瓣大量反流,肺动脉压力57 mmHg。实验室检查:白细胞计数4.67×109 /L,血红蛋白144 g/L,血小板计数180×109 /L,血肌酐104.96 umol/L,钾离子4.55 mmol/L,NT-ProBNP 5987 pg/ml。冠脉CT评估冠脉三支未见明显狭窄。3Mensio软件评估主动脉根部解剖:功能性二叶瓣,左右融合,融合区团块状钙化;三个瓣叶钙化均匀,左冠瓣钙化延伸至左室流出道;三个瓣叶增厚,呈风湿样改变;冠脉开口高度可(L:13.8 mm,R:22.2 mm),左冠开口水平可见明显瓣叶结构,且左冠瓣叶明显增厚钙化,考虑到左右融合区存在团块状钙化,不易被植入的瓣膜扩张开,因此冠脉闭塞风险不大,注意术中球囊预扩张进一步明确冠脉闭塞风险;瓣环长短径分别为24.8*32.6 mm,周长为90.1 mm,面积为624.2 mm2;其他测量参数见图1,多平面测量参数及全主动脉评估见图2。患者高龄,拒绝外科手术,外科手术风险STS评分为2.891 %;主动脉瓣膜解剖上适合行TAVR;纠正重度主动脉瓣狭窄后的预期寿命超过1 年,符合TAVR适应证,无手术禁忌证,因此决定行TAVR。
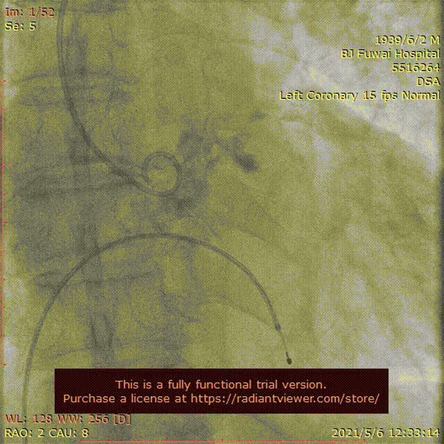
手术当天,病房护士提前行左肘正中静脉留置针作为补充液体通路;患者送达介入导管室后,省去经颈内静脉穿刺行中心静脉置管、经食道超声检查、术前导尿和麻醉师全身麻醉及气管插管或喉罩通气等过程;患者经过消毒及铺单后。半支(50mg)利多卡因局部麻醉后,穿刺右桡动脉作为辅入路,立即检测动脉血压;四支(400mg)利多卡因局部麻醉后,血管超声引导精准穿刺右股总动脉,两把ProGlide预埋处理后,作为主入路,置入20F 长导引鞘管(戈尔公司),立即动脉给予肝素5000单位;经右股静脉入路,将漂浮电极送入右心室心尖,临时起搏器调整至120次/分调试及测试患者的耐受性。主入路和静脉起搏器入路建立过程中,密切关注患者的血压心率等生命体征无明显异常,患者无明显不适。经右桡动脉送角度猪尾于右冠窦,采用右窦中心投照体位(右2°,足8°)行主动脉根部造影;

AL2导管配合直头超滑导丝进行跨瓣;

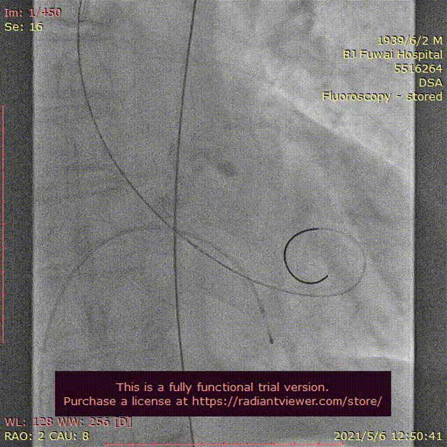
交换为头端塑形好的Landerquist超硬导丝,采用23 mm NUMED-II球囊对狭窄钙化的主动脉瓣进行预扩张,同时造影显示球囊完全封闭主动脉瓣,几乎无反流;

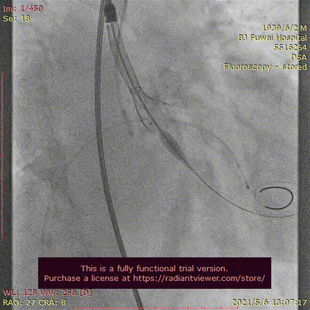
根据瓣上结构测量及球囊预扩张效果,采取“Down-size”策略,选择A-26 Venus A瓣膜,通过输送系统完成过弓和跨瓣;Venus A瓣膜精准定位于瓣环水平,

在临时起搏器控制心室快速起搏下完成瓣膜释放;

由于本例患者原瓣叶融合钙化较重,采用“瓣中瓣”技术植入另外一个A-26 Venus A瓣膜,

采用23mm NUMED-II球囊对植入的瓣膜进行后扩张;

最后造影显示新植入的瓣膜位置理想,少量瓣周反流,

跨瓣压差由术前30 mmHg下降至4 mmHg;即刻经胸超声评估主动脉瓣位植入生物瓣峰值流速为2.0 m/s,平均跨瓣压差为16 mmHg,少中量瓣周反流,左室射血分数为45%;评估患者心率为67次/分并且心电图较术前无明显异常,故即刻拔出临时起搏导线。整个手术过程仅采用局部麻醉,无任何镇静剂使用,患者全程清醒,配合良好,在球囊扩张主动脉瓣及瓣膜释放过程的血压及心率等生命体征与既往全麻相比无明显异常,患者略感心慌及无力。(图3)。术后患者平卧24 小时即下床活动,进行康复训练;采用阿司匹林100 mg (QD)和氯吡格雷75 mg(QD)行双联抗血小板治疗,术后4天顺利出院。

图1患者主动脉根部CT评估
A:瓣环;B:左心室流出道;C:瓦氏窦;D:左侧冠脉开口高度;E:窦管结合部 F:升主动脉(最宽处);G:虚拟瓣叶形态及钙化分布;H:右侧冠脉开口高度。

图2患者CT多平面测量及全主动脉评估
A,B,C,D,E,F, G, H, I, J, K分别为瓣环下2mm和瓣环上的2,4,6,8,10,12,14,16,18mm水平,测量圆圈为术前推测植入瓣架展开的最大形态;L:全主动脉CT三维重建显示血管无明显狭窄。

图3患者经导管主动脉瓣置换术及围术期操作
A:主动脉根部造影;B:23 mm球囊预扩张;C:26型号VenusA瓣膜植入;D:26型号VenusA“瓣中瓣”位置良好,少量瓣周漏;E和F:术前及术后经导管跨瓣压差;G:肘正中静脉留置针;H:患者全程清醒状态。
二、讨论
随着国内外TAVR技术的蓬勃发展[1-3],欧美国家TAVR数量已经超过外科换瓣手术[4],因此极简式TAVR理念应运而生,国外极简式TAVR意味在导管室内完成的经股动脉TAVR代替杂交手术室内TAVR,其安全性已得到证实[5, 6]。本团队进一步简化导管室内TAVR操作流程:局麻加镇静(取代全身麻醉+气管插管或喉罩通气);术前不导尿;左肘正中静脉留置针(取代颈内静脉的中心静脉置管)行静脉输液;右股静脉植入临时起搏电极(180bpm起搏测试患者耐受程度)或左心室导丝直接起搏[7];右股动脉(动脉超声引导穿刺,2把ProGlide预埋)作为主入路;右桡动脉(取代左股动脉)作为辅入路;术后即刻经胸超声评估(取代经食道超声)。
本例患者首次尝试完全局麻且无镇静下行极简式TAVR,将首个国产Venus A瓣膜(中国,启明公司)成功用于症状性主动脉瓣重度狭窄患者[8, 9]。阜外医院TAVR团队作为国内最早开展极简式TAVR的团队之一,再次简化TAVR操作流程。术前充分评估患者耐受性和风险,对适合的患者,采用完全局麻无镇静方式完成极简式TAVR操作,患者全程意识清醒,大大提高TAVR操作效率,极度压缩手术前后麻醉时长,患者更加舒适,术后恢复更加迅速,使得TAVR真正简化似冠脉介入,极大促进TAVR技术的冠脉化方向发展和普及。该完全局麻且无镇静下极简式TAVR的安全性和有效性有望在今后大样本病例中得到验证。
(注:本文正由《中国循环杂志》审稿,待发表)
参考文献:
[1].Otto CM, Nishimura RA, Bonow RO et al. 2020 ACC/AHA Guideline for the Management of Patients With Valvular Heart Disease: A Report of the American College of Cardiology/American Heart Association Joint Committee on Clinical Practice Guidelines[J]. J Am Coll Cardiol, 2020. Doi:10.1016/j.jacc.2020.11.018.
[2].中国医师协会心血管内科医师分会结构性心脏病专业委员会. 经导管主动脉瓣置换术中国专家共识(2020 更新版)[J]. 中国介入心脏病学杂志, 2020, 28(6): 301-309. Doi:10. 3969/j. issn. 1004-8812. 2020. 06. 001.
[3].中华医学会心血管病学分会结构性心脏病学组,中国医师协会心血管内科医师分会结构性, 心脏病专业委员会. 中国经导管主动脉瓣置换术临床路径专家共识[J]. 中国循环杂志, 2018, 33(12): 1162-1169. Doi:10.3969/69/j.issn.100.1000-3614.2018.12.004.
[4].Carroll JD, Mack MJ, Vemulapalli S et al. STS-ACC TVT Registry of Transcatheter Aortic Valve Replacement[J]. J Am Coll Cardiol, 2020, 76(21): 2492-2516. Doi:10.1016/j.jacc.2020.09.595.
[5].Hosoba S, Yamamoto M, Shioda K et al. Safety and efficacy of minimalist approach in transfemoral transcatheter aortic valve replacement: insights from the Optimized transCathEter vAlvular interventioN-Transcatheter Aortic Valve Implantation (OCEAN-TAVI) registry[J]. Interact Cardiovasc Thorac Surg, 2018, 26(3): 420-424. Doi:10.1093/icvts/ivx355.
[6].Babaliaros V, Devireddy C, Lerakis S et al. Comparison of transfemoral transcatheter aortic valve replacement performed in the catheterization laboratory (minimalist approach) versus hybrid operating room (standard approach): outcomes and cost analysis[J]. JACC Cardiovasc Interv, 2014, 7(8): 898-904. Doi:10.1016/j.jcin.2014.04.005.
[7].宋光远,刘新民,滕思勇,等. 使用左心室导丝起搏技术行经导管主动脉瓣置换术[J]. 中华心血管病杂志, 2021, 49(5).
[8].Song G, Jilaihawi H, Wang M et al. Severe Symptomatic Bicuspid and Tricuspid Aortic Stenosis in China: Characteristics and Outcomes of Transcatheter Aortic Valve Replacement with the Venus-A Valve[J]. Structural Heart, 2017, 2(1): 60-68. Doi:10.1080/24748706.2017.1398437.
[9].宋光远, 王墨扬, 王媛 等. Venus-A主动脉瓣膜介入治疗重度主动脉瓣狭窄的效果[J]. 中华心血管病杂志, 2017, 45(10): 843-847.

扫描二维码,马上进入“瓣月谈”