基于影像的术前分析对TAVR手术决策至关重要,近日,西安交通大学第一附属医院胡志教授团队协同韩克教授,首次应用FEops分析预测系统和VenusA-Plus系统顺利为一名重度钙化的二瓣式主动脉瓣狭窄患者完成了经导管主动脉瓣置换术(TAVR)。本次手术所运用的有大数据经验的FEops术前重建影像分析系统,给予手术方案决策提供了关键支持。
病人情况
现年75岁的李奶奶,2年前开始出现胸闷、气短的症状,干体力活也觉得大不如前,起初李奶奶认为随着年龄增长难免会导致体力下降,就没有在意,但近来越发严重的症状已经严重影响到李奶奶的生活质量,以至于稍微活动就觉得胸闷难受。于是在家人的陪同下,慕名来到了西安交通大学第一附属医院进行检查。
超声显示:主动脉瓣瓣上峰值流速6.07m/s,瓣口面积为0.7cm²,平均跨瓣压差为82mmhg,伴有瓣下返流。
诊断为:主动脉瓣二瓣畸形重度狭窄伴少量返流。
术前分析
由于患者为主动脉瓣二瓣畸形且重度钙化,根据瓣上结构来选瓣定位显得尤为重要,不同以往的是,这次术前分析没有通过3D打印的主动脉根部模型模拟瓣膜释放过程,而是运用了更为科学、拟真的FEops智能分析预测系统。FEops作为TAVR手术的辅助软件已经通过了CE认证,目前帮助全球术者累计分析了3000余份样本量,FEops基于患者的术前CT,通过云端精确计算,不仅能将主动脉根部植入瓣膜的前后形态分别以3D模型的形式直观的展示,更是能对术后结果进行量化预测,让术者能够通过预测结果综合评估不同选型与释放位置的优劣,最终确定最优的选瓣定位方案,最大程度保障患者手术获益。
瓣环平面相关:
面积为370.2mm²
韩克教授和胡志教授根据瓣环径及瓣上结构,采用L26型号瓣膜
通过FEops评估冠脉风险
植入瓣膜前的主动脉根部
VenusA植入后的支架形态
根据FEops报告上的左右冠脉CT截面得知RCA Height:17.6mm、LCA Height:11.7mm,左冠脉高度小于12mm是存在一定阻塞风险的,但是通过植入前后的3D模型对比瓣叶形态得知冠脉风险比较低。
FEops量化预测瓣周漏
VenusA植入后的贴覆情况
VenusA植入后瓣周漏情况
根据FEops量化预测得知,选用L26瓣膜高位释放会导致27.6ml/s的瓣周漏,超过FEops预测瓣周漏无至轻度和中至重度的临界值16ml/s,而选用L26标准位释放会导致17.3ml/s的瓣周漏,虽然也高于临界值16ml/s但是比起高位释放导致27.6ml/s的瓣周漏更加安全,另外可以通过VenusA-Plus®可回收输送系统在术中对释放位置进行微调,以寻求最佳的手术效果。
FEops量化预测传导阻滞
VenusA植入后的主动脉根部受压情况
根据FEops量化预测得知,选用L26瓣膜高位释放不会导致传导阻滞,而选用L26标准位释放会导致10%的压力传导指数,但是低于FEops预测发生传导阻滞的临界值14%,所以L26的标准位释放也是可以考虑的。
手术策略
韩克教授与胡志教授团队经过分析研判、反复讨论,决定采纳FEops预测的L26型号瓣膜标准位释放的手术方案,选用23 mm球囊预扩张对瓣膜选型与冠脉风险进行进一步评估,因FEops预测会产生瓣周漏,故使用VenusA-Plus®可回收输送系统寻求最佳释放位置尽量减少瓣周漏程度。
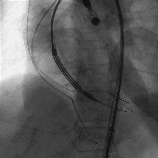
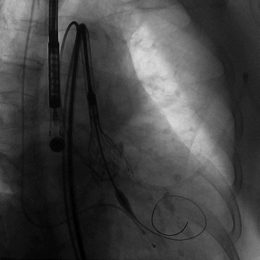
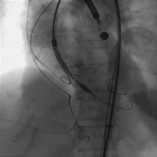
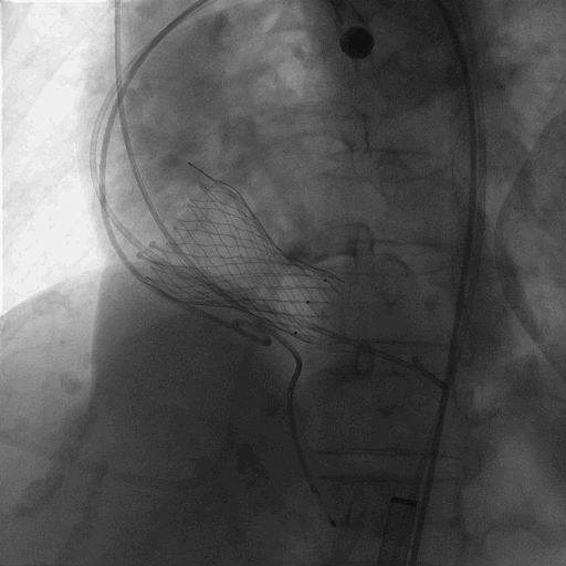
术中造影
植入L26 VenusA-Plus瓣膜,标准位释放,释放到2/3,观察瓣膜位置,以及再次确认冠脉风险,左冠正常显影,选择全部释放。
术后结果
造影可见轻微瓣周漏,与FEops预测一致。
跨瓣压差在术前为89mmHg,术后为几乎无压差。
术后超声
EF:67%➟71%
主动脉瓣瓣上流速:607➟265cm/s
患者狭窄解除,流速明显降低,跨瓣压差降为0,超声显示轻微瓣周漏(与FEops预测结果一致),术中及术后未出现相关并发症,手术圆满成功。
结论
本次手术充分利用FEops分析预测系统的各项功能,通过查看主动脉根部植入VenusA前后3D模型的对比,辅助术者团队手术方案的确定;通过量化预测术后结果,有效的避免了手术风险,进一步建立术者与患者信任关系;术中加以配合VenusA-Plus可回收输送系统,保证了瓣膜位置的精准释放,最终手术取得圆满成功!
袁祖贻院长表示“有了FEops分析预测系统辅助TAVR术前选瓣定位,可以有效的缩短新中心开展TAVR术式的学习曲线,同时国内精细化TAVR手术的布局得到进一步拓展,为我国广大主动脉瓣狭窄患者带来福音。”
专家简介

心血管病医院院长,教授/主任医师,博士生导师,心血管病学博士, 日本京都大学博士后。国家杰出青年基金获得者。
中华医学会心血管病分会常委兼动脉粥样硬化与冠心病学组组长、中国医师协会心血管内科医师分会副会长兼指南与共识工作组组长、中国老年医学会心血管病分会副主任委员、国际动脉粥样学会(IAS)中国分会副主席、陕西省医学会心血管病分会主任委员、中国胸痛中心联盟副主席/陕西省胸痛中心联盟主席、陕西省心血管专科医师联盟主席。中国动脉粥样硬化杂志副主编、中国分子心脏病学杂志副主编、中国介入心脏病学杂志副主编。主要从事动脉粥样硬化发生与发展机制研究、以及冠心病发病的基础与临床研究,先后承担国家“973”项目、国科金重点与杰青项目、科技部重点研发项目、科技部重大慢病管理项目等,在国际顶级刊物包括Nature Medicine, Circulation, JACC, Cir Res, Euro Heart J, AJRCC等发表论文200余篇,获卫生部有突出贡献专家称号,享受国务院政府津贴。

副主任医师。1999年毕业留校工作至今,主要研究方向冠心病、结构性心脏病介入治疗,心脏疾病的超声及影像学诊断。现任中华医学会心血管病学分会结构性心脏病学组委员,亚洲青年结构性心脏病俱乐部委员,陕西省医学会心血管分会介入学组委员、秘书,陕西省超声医学工程学会委员,曾任陕西省医学会超声分会委员。每年完成冠心病、结构性心脏病及起搏电生理介入治疗数百例。擅长CTO、分叉病变等复杂冠脉介入治疗,ASD、VSD、PDA、PFO等先天性心脏病介入治疗,率先在西北地区开展TAVR及LAAC手术,熟练掌握IVUS、OCT等腔内影像学技术。作为主要研究人员参与多项国家自然科学基金项目、陕西省科技攻关项目、陕西省卫生厅科研基金项目。

副主任医师,副教授,博士。中国医促会胸痛分会青年委员;西安结构性心脏病学会分会委员;中国老年保健医学研究会心脏学会委员;陕西省医师协会腔内血管学专业委员会委员;国家医学考试中心试题开发专家命题库委员;陕西省健康促进与教育协会体外生命支持分会委员;陕西省中西医结合学会老年心脑血管健康专业委员会副主任委员。犹他大学Intermountain Medical Center中心访问学者。
临床主要进行冠心病、结构性心脏病、心力衰竭、心律失常的发病机制研究及治疗,常规进行冠心病介入治疗、心力衰竭CRT植入治疗及恶性心律失常ICD、起搏器植入治疗;正进行经皮股动脉主动脉瓣膜置换术(TAVI)、房颤左心耳封堵术(LAAC)的临床研究工作。发表论文及参编论著20余篇,其中第一作者SCI收录论文3篇,主持3项陕西省自然科学基金及院基金,1项校级临床新技术。