随着全球介入医疗技术水平渐趋成熟,在二尖瓣疾病治疗领域,涌现出越来越多的前沿技术,经股静脉缘对缘修复技术是目前临床证据最成熟的二尖瓣介入技术。日前,武汉大学人民医院江洪教授团队应用国内领先介入技术成功开展经导管二尖瓣缘对缘修复手术,标志着中国大陆首个经股静脉二尖瓣瓣膜夹修复系统湖北地区进入上市前多中心注册临床研究阶段。
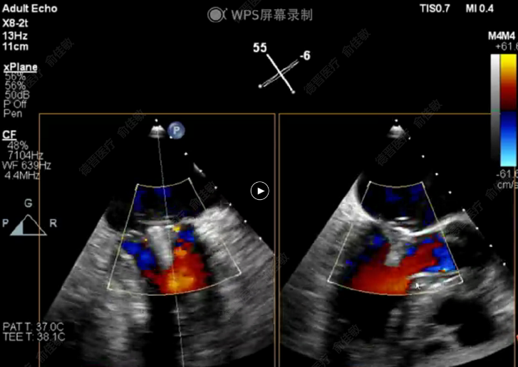
2021年8月27日,武汉大学人民医院江洪教授、陈静教授及超声科周青教授与浙江大学附属第二医院王建安教授团队密切合作,应用中国第一款自主研发的DragonFly经导管二尖瓣瓣膜夹系统,成功为一位高龄患者完成了经导管二尖瓣缘对缘修复手术。期间与美国弗吉尼亚大学医学中心David Scott Lim教授团队及香港亚心医院林逸贤教授全程视频连线沟通,团队通力合作,为患者早日康复尽心竭力。
专家简介

心血管内科科主任,基地主任,二级教授,一级主任医师,博士生导师。
国务院政府特殊津贴专家,跨世纪学科带头人,湖北省首届医学领军人才,珞珈杰出学者,赛克勒优秀医师奖获得者。兼任中华医学会心血管病学分会常委兼急重症学组组长、中华医学会心电生理和起搏分会常委兼室性心律失常工作组副组长、中国医师协会心血管内科医师分会心律学专业委员会副主任委员、湖北省医学会心血管病学分会主任委员、中国生物医学工程学会心律分会副主任委员、中国医学装备协会心血管装备技术专业委员会副主任委员。主要从事心血管疾病的基础、临床研究和创新转化。主持国家重点研发计划、国家自然科学基金重点项目及面上项目、湖北省自然科学基金重点项目等科研项目20余项,在Circulation、JACC、Adv Funct Mater、JACC Cardiovasc Interv、Circ Heart Fail、EBioMedicine、Cardiovasc Res、Heart Rhythm等国际权威期刊上,发表专业领域高质量研究论文200余篇。获国家科技进步二等奖3项,湖北省科技进步一等奖5项,以及华夏医学科技奖一等奖、中国医疗保健国际交流促进会一等奖、湖北省科技成果推广奖一等奖等多项科技奖项。主编、参编专著17部,申请专利4项,授权2项。