2021年8月26日,四川大学华西医院陈茂、冯沅教授团队在“得心应收,行稳致远”主题联播活动中演示了一例高难度TAVR手术,成功为一例严重心衰解剖结构复杂的重度主动脉瓣狭窄的患者进行了经导管主动脉瓣置换术。术中四川大学华西医院陈茂、冯沅教授团队使用了TaurusElite®的可回收功能的两种使用方式(部分回收及全部回收),最终实现了瓣膜位置的精准释放,获得了相对完美的结果,术后即刻患者心衰及血流动力学都获得显著改善,这也是该系统上市后华西陈茂及冯沅教授团队首次植入,在新一代TaurusElite®可回收功能的保驾护航下更从容的进行选择策略、演示了教科书式的TAVR手术。
患者基本信息:
患者为66岁男性,因“反复心累3年以上,近来症状加重6个月以上”入院。
超声诊断:主动脉瓣二叶式伴狭窄(重度)反流(轻度),钙化累及二尖瓣前瓣。EF34%、LV60、Vmax=4.8m/s、PGmean=51mmHg、EOA=0.6cm2。
术前主动脉根部评估:
主动脉根部CT评估
1.主动脉瓣瓣环周长85.1mm,平均周长径27.1mm。
2.主动脉瓣呈Type 1型二叶瓣,瓣叶纤维增厚,中重度钙化,钙化散在分布累及二尖瓣前瓣。
3.左右冠开口高度较好,瓦氏窦较大,冠脉遮挡风险相对较小。
4. 主动脉瓣环与水平面夹角可,主动脉弓角度与宽度可。双侧血管内径偏小,整体入路血管条件尚可,需使用TaurusElite®带内联鞘型号。
病例特点:
该病人为一例典型Type 1型主动脉瓣重度狭窄患者,瓣叶增厚,中重度钙化,钙化累及二尖瓣前瓣,对瓣膜释放的位置相对较高。
患者心功能差,心脏代偿性总体较差,在术中会特别注意血流动力学的崩溃。
该病例为带嵴二叶瓣,合并主动脉瓣少量反流,瓣膜位移风险较高。并且钙化累及二尖瓣前瓣对于位置要求也较高,整体来说对于人工瓣释放要求高。
患者升主动脉增宽,有夹层风险。
手术策略讨论:
1.该病例主动脉瓣瓣环平均径、周长径数值位于瓣膜推荐型号AV29型号,球囊使用23mm进行预扩。
2.根据主动脉根部结构特点瓣膜有下移风险,及二尖瓣前瓣钙化对位置要求较高,故选择高位释放。
3.患者双侧入路血管条件合格,常规选择右侧股动脉为主入路,左侧为辅入路。外周入路整体条件良好,管径偏细,使用内联鞘代替大鞘建立人工瓣膜通路。
4.患者升主动脉增宽对于过弓性能要求较高,过弓时轻柔缓慢通过。
手术过程概览:
陈茂、冯沅教授团队进行手术直播演示
主动脉根部造影
球囊预扩
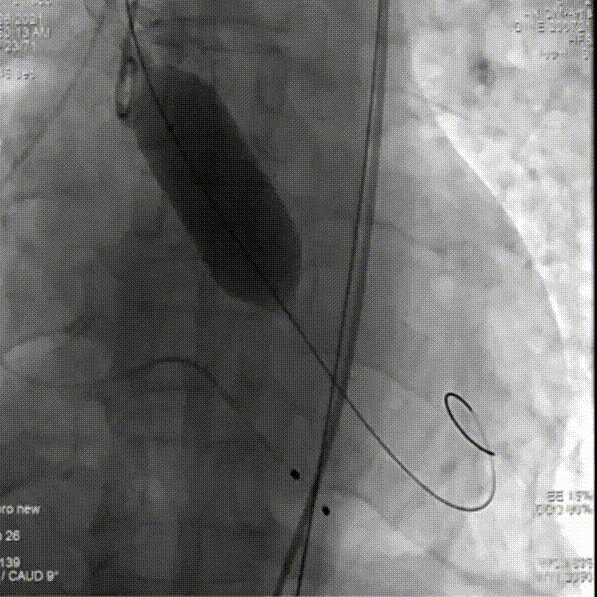
第一次尝试释放
位置偏深回收调整,进行第二次释放
瓣膜流入端被压缩有上跳风险,再一次进行回收
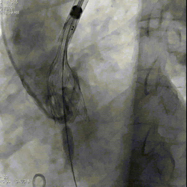
第三次释放
人工瓣有相应折叠,全部回收撤出体外
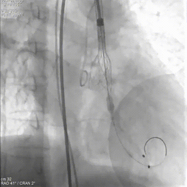
更换后瓣膜再一次进行释放
部分回收进行位置的微调整
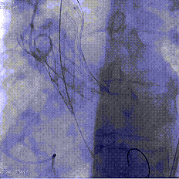
完全释放后,主动脉根部造影
术后超声:
术后压差显著改善,无反流,患者血压良好。
植入后心衰及血流动力学都有效改善,术后Vmean1.6M/S,Pgmean 7mmHg。
本次手术病例为疑难病例,患者主动脉根部解剖结构复杂并且角度较大,结合二叶式的病变及钙化分布整体对于术者及人工瓣膜的要求较高,TaurusElite®可回收瓣膜多次稳定的回收性能可以帮助术者提高TAVR瓣膜的精确定位,且在术中给与术者最大程度的选择机会更从容应对各种情况,大幅度提高了TAVR手术的质量及最终效果。本次手术四川大学华西医院陈茂及冯沅教授团队在术中展现的精准判断力及高超技术,给到了TAVR邻域内教科书级的手术策略选择及操作模板。
专家点评:
我国患者具有年龄较轻、解剖结构更为复杂(二叶瓣比例高,钙化严重)等特点,这增加了TAVR的难度。既往二叶瓣被视为TAVR的相对禁忌证,主要原因在于其的TAVR操作具有特殊性,治疗效果欠佳、并发症发生概率较高。近年来,多个大型国际研究显示TAVR治疗二叶瓣狭窄的效果与常规三叶式主动脉瓣(以下简称为三叶瓣)狭窄相当,尤其是使用新一代瓣膜产品时。
但基于二叶瓣狭窄患者解剖特点,术中还需要术者更加关注手术情况,例如二叶瓣常具有钙化程度高和不对称、瓣叶不等大等解剖特殊性,这就造成了主动脉根部对植入瓣膜有较大的不均匀推挤。在国外报道中,如果使用大型号的瓣膜就容易出现Stent Frame Infolding。其造成的主要原因可能与高钙化的Type1型二叶瓣解剖特点、过大的Oversizing,大瓣膜Radial force不足等因素有关。在二叶瓣,尤其是采用大瓣膜型号的手术中,通过术中影像学支架的string sign 及超声短轴平面形态可综合评估Stent Frame Infolding,如在释放前发现该现象建议回收瓣膜重新更换,释放完成后发现建议球囊后扩处理。这也是二叶瓣TAVR治疗中推荐使用可回收系统的原因之一,能在术中最大限度降低风险保证手术安全,并且部分回收及完全回收两种使用方式能适用于所有风险较高病例。
团队介绍:
四川大学华西医院心脏瓣膜病介入治疗团队主要以陈茂教授、冯沅教授为核心,至今完成超过1200例TAVR手术,其中患者最大年龄超过99岁,手术量占全国总手术量1/4,手术经验丰富,成功率超过98%,是全球二叶瓣治疗病例数最多的中心之一,吸引手术患者不远万里前往华西医院心脏内科接受治疗。四川大学华西医院心内科除了主动脉瓣疾病以外同时已开展经导管二尖瓣、三尖瓣以及肺动脉瓣等瓣膜疾病的相关介入治疗,在今后华西医院心脏瓣膜疾病介入治疗团队将会为更多种类瓣膜疾病患者提供有效治疗。
专家简介

华西医院心脏内科主任,主任医师,博士生导师,中华医学会心血管病学分会常务委员,四川省医学会心血管病分会主任委员,中国医师协会心血管内科医师分会常务委员,中国医师协会心血管病内科医师分会肺血管专业委员会副主任委员。PCR-CIT成都国际心脏瓣膜病介入治疗学术会议执行主席,PCR伦敦瓣膜会及PCR东京瓣膜会学术委员会共同主席。迄今以负责人身份获得多项国家自然科学基金项目,国家科技部863计划子项目,中国博士后等资助项目,并以第一主研人身份参加多项国家十二五支撑计划,国家科技部863计划项目,还负责了多项院内和横向科学硏究课题,累计科硏经费逾千万元。以第作者或通讯作者发表英文SC论文20余篇,累积影响因子超过80,负责的“冠心病危重症的预警和个体化治疗硏究”项目,获得2011年四川省科学技术进步二等奖。

主任医师,研究生导师,华西医院先心病亚专业组长,一级专家。
中华医学会心血管病分会结构性心脏病学组委员,中国医师协会结构性心脏病学组委员,中华医学会儿科学心血管学组新生儿心脏协作组副组长,中华医学会心血管病分会第10届委员会肺血管病学组委员,四川省心脏瓣膜联盟副主任委员,亚洲心脏瓣膜病学会中国分会心脏瓣膜病介入治疗技术学术委员会常委。临床经验丰富,诊疗技术水平突出,擅长结构性心脏病(先心病、瓣膜病、肺血管病、肺动脉高压)介入诊疗。领先开展多项新技术和挑战、危重症介入手术,高质量完成从新生儿到超高龄患者的各种心脏、肺血管介入手术6000台。发表SCI文章38篇(IF180+),受邀在国内外数十家著名心脏中心指导开展结构性心脏病介入手术。获得2019年四川省科技进步一等奖。