2021年7月21日,佛山市第二人民医院心内科梁健球主任及其团队完成了佛山地区首例应用新型8F三维心腔内超声导管指导的左心耳封堵术,奠定我院心内科在心腔内超声指导下复杂心脏疾病治疗的地区领先地位。
该64岁的女患者患有房颤风湿性心脏病,既往有过脑梗死,再度卒中风险高。故选择为病人植入左心耳封堵器,减少再次卒中风险。
手术主要流程:经右股静脉入路,通过房间隔穿刺,将8F ICE导管送入左心房,在左心房通过三个不同的位置和角度测量左心耳锚定区大小和深度:左上肺静脉脊部角度、右肺静脉角度,二尖瓣环角度。而后进行左心耳造影,多种方式测量左心耳大小,选择合适病人情况的封堵器。放置左心耳封堵器后再用同样位置角度评估封堵情况。
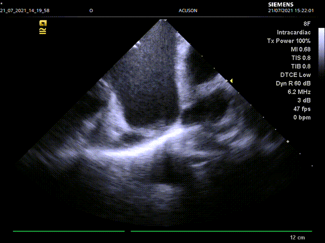
心腔内超声左房内左上肺静脉嵴部测量左心耳开口锚定区和深度
心腔内超声左房内右肺静脉前测量左心耳开口锚定区和深度
心腔内超声左房内二尖瓣水平测量左心耳开口锚定区和深度
X射线下造影测量左心耳大小(两个体位分别为外30mm,内25mm和外35mm,内31mm)
经测量,选用LAmbre 2638型号封堵器,在ICE指导下进行封堵,再进行左上肺静脉脊部、右肺静脉,二尖瓣环三个角度的封堵情况评估和牵拉测试,最终释放封堵器。
心腔内超声左房内左上肺静脉嵴部评估封堵情况
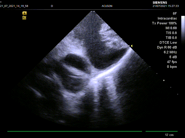
心腔内超声左房内右肺肺静脉前评估封堵情况
心腔内超声左房内二尖瓣水平评估封堵情况
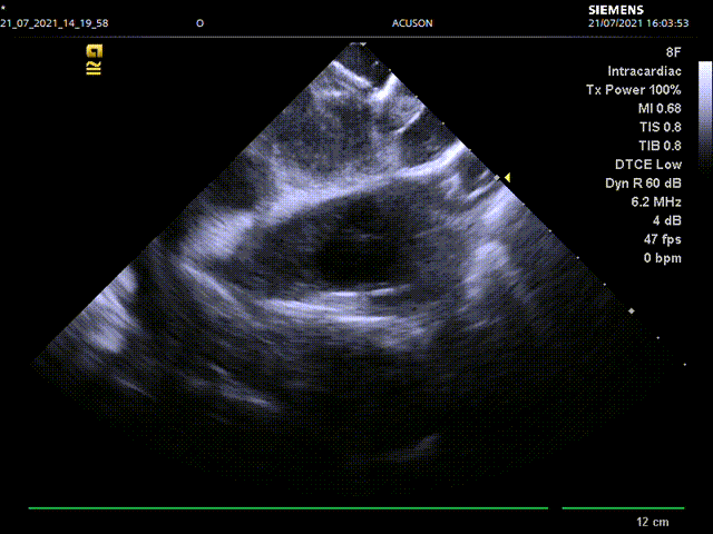
心腔内超声评估封堵器牵拉试验
心腔内超声评估封堵器释放之后封堵情况
X射线下评估封堵器释放之后封堵情况
梁健球主任电生理团队手术过程
左心耳封堵术系通过微创导管封堵左心耳的技术。传统左心耳封堵手术在经食道超声心动图指导下完成,术前及术中均需要通过插入食道超声监测排除左心房及左心耳血栓,技术依赖超声及麻醉专科医生。部分患者不能耐受或者不愿意接受经食道超声心动图检查,因此无法顺利手术。心腔内超声(简称ICE)可在患者清醒的状态下进行操作,通过穿刺股静脉入路,将超声导管置于心腔内,导管输出稳定的画面和多角度的扇面,实时展示心腔内的结构。
本次左心耳封堵术中使用的新型超声导管系全球最新款三维心腔内超声导管。与传统心腔内导管相比,导管管径更小,仅为8F,可以方便的进入左心房进行近距离多角度的测量操作,还能更好地减少血管创伤。在ICE指导下的房间隔穿刺,直视房间隔,能极大地降低房间隔缺损风险。在进入左房后,ICE能更好地明确左心耳解剖结构,更准确地根据心腔内实际情况预判难度、测量相关参数及评估封堵策略。进行左心耳封堵的过程中,实时监测实现了包括心包积液、血栓等多角度的手术把控,大大提高手术安全性。
此次新型心腔内超声导管在左心耳封堵术中的成功应用,彰显了我院心内科的技术优势和敢为人先精神。与时俱进,勇攀高峰!为复杂心脏疾病患者的治疗带来新希望!
专家简介
心脏中心主任,主任医师 博士 硕士研究生导师,佛山医学会心血管分会副主任委员,广东省心血管学会委员。广东省起搏与电生理学会委员广东省介入心脏病学会理事。 熟练进行冠心病的各类型复杂病变的介入手术,各类型心律失常的射频消融及起搏器植入术、胸主动脉夹层腔内隔绝术、外周血管介入术、擅长心血管病危重病的抢救。曾在美国芝加哥Advocate chirst医学中心及香港威尔斯亲王医院进修,主持省自然基金,市科研攻关基金,中国医师协会阳光基金等多项课题研究。