2021年8月19日,南昌大学第一附属医院心内科瓣膜介入团队,在心外科、麻醉科、手术室、超声影像科等兄弟科室全力配合下,在沛嘉主办的“得心应收 行稳致远”可回收TAVR系统全国手术联播活动中,采用TaurusElite经导管主动脉瓣系统成功完成一例高钙化Type1型二叶式主动脉瓣重度狭窄的TAVR治疗,使一位83岁老年患者得到救治。此次手术成功也是TaurusElite瓣膜在典型中国主动脉瓣狭窄患者——二叶瓣、高钙化解剖特点的又一次成功实践,在TAVR技术不断发展的今天,为更多国内高钙化二叶式主动脉瓣狭窄患者的治疗积累临床经验。
手术直播
术后合影
患者基本情况
患者老年男性,83岁,10余年前劳累后出现胸闷,气短,休息后症状缓解,一周前患者症状加重,入院超声检查显示主动脉瓣重度狭窄,可见多发强回声钙化,较大者约1.1*0.7cm,开放明显受限,闭合尚可,峰值流速5.19m/s,平均压差68mmHg,室间隔及左室壁增厚。
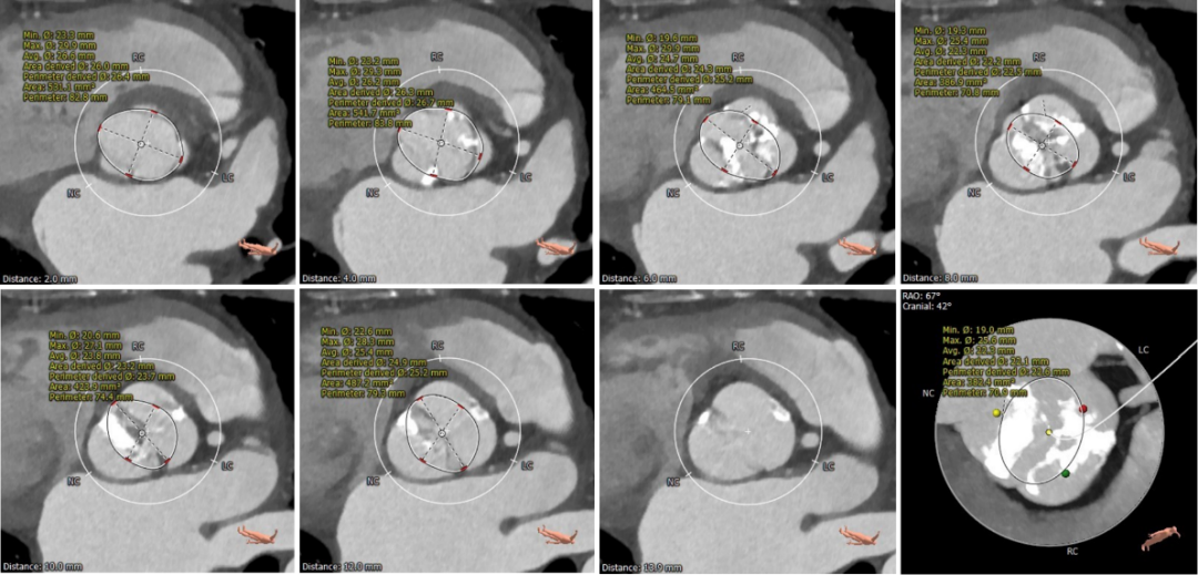
术前CT评估
• Type1型二叶式主动脉瓣,重度钙化,钙化分布稍欠均匀,左右瓣叶融合形成钙化嵴,无瓣叶严重钙化,无冠窦较大;
• 左右冠开口高度可,未见明显冗长瓣叶,冠脉散在钙化;
• 流入段形态呈直桶状,瓦氏窦,窦管交界及升主动脉内径可;
• 主动脉瓣环与水平面夹角可,非横位心,主动脉弓角度与宽度可;
• 入路血管块状散在钙化,双侧股动脉穿刺区域散在钙化,左侧髂外动脉管径稍偏细,右侧入路血管内径尚可;

CT动态预览
主动脉根部测量
瓣上结构测量与分析
冠脉阻挡风险及钙化评估
外周血管入路评估
手术难点及策略
根据术前CT报告分析,本例手术存在以下难点:
• 二叶式主动脉瓣,重度钙化,根据钙化分布与形态,预估人工瓣膜形态受限较重,存在假体瓣膜形变、根部损伤及瓣环撕裂风险,人工瓣膜向下移位风险稍偏高,瓣架贴合封堵效果受一定影响,预计少量或少量偏多瓣周漏可能较大;
• 冠脉高度可,综合瓦氏窦内径等因素考虑,冠脉遮挡风险小;
• 瓣环平面水平夹角可,主动脉弓部夹角与弓距可,预估输送系统可顺利过弓;
• 右侧入路血管条件尚可,穿刺规范操作,避免出现入路血管并发症。
相应的手术策略:
• 右侧股动脉为主入路,左侧辅助入路,使用20F血管鞘;
• 跨瓣角度为LAO 17° CAU 8°(右窦中心位)左右,使用22mm球囊预扩张,球囊预扩角度为LAO 17° CAU 8° (右窦中心位)左右;
• 预装AV26瓣膜,释放角度RAO 11° CAU 32°(左右重合)左右,较高位释放(瓣环下0-2mm)。释放后调整至左前斜头位( LAO 35° CRA11°)进一步确定人工瓣膜形态。手术结束后造影评估入路血管情况,避免遗漏血管并发症情况。
手术过程
主动脉根部造影,少量反流,采用22mm球囊预扩,轻微腰征,造影微量瓣周漏。
主动脉根部造影
球囊预扩
TaurusElite 输送器轻松过弓、跨瓣,TaurusElite AV26精准定位无冠窦最低点。

TaurusElite柔顺过弓
瓣膜定位
起搏150次/分,TaurusElite AV26瓣膜高位快速释放了四分之三,评估冠脉血流良好,无阻挡,瓣膜位置合适,释放后,造影显示反流增加,超声显示瓣周漏主要存在左右钙化嵴处,前向流速明显减小,跨瓣压差由术前60 mmHg减小到20mmHg,瓣膜横截面最大处18mm。
瓣膜工作位评估
术后主动脉根部造影评估
使用22mm球囊后扩,瓣膜展开形态更好。
球囊后扩
术后超声显示,瓣膜与主动脉贴合更好,但是在左右钙化嵴处还是存在少中量反流。
术后即刻超声评估
术中跨瓣压差为1mmHg,血流动力学得到明显改善。
术前压差
术后压差
二叶式主动脉瓣狭窄一直是国际上TAVR治疗的一个难题,而国内主动脉瓣狭窄患者又具有二叶瓣比例高、钙化严重等特点,这对于瓣膜释放之后的形态、瓣周漏封堵性能都提出了很高的挑战。本例患者无冠窦团块状严重钙化,左右冠窦钙化嵴,“T”型的钙化分布对瓣膜释放之后的形态产生了严重的影响,为了减少瓣周漏,需要对瓣膜植入的深度做精准的控制。随着TaurusElite可回收系统在临床的应用,术中可以更放心的尝试获得更加理想的释放位置,外裙边的设计也能够对瓣周漏的预防起到积极的作用。此次手术成功是针对中国主动脉瓣狭窄患者设计的国产瓣膜的一次成功实践,更体现出了南昌大学第一附属医院彭小平教授率领瓣膜介入团队在TAVR治疗技术上的努力与积累。
手术直播
专家点评:
本例患者为Type1型二叶式主动脉瓣,重度钙化,左右瓣叶融合形成钙化嵴,无瓣叶严重钙化,存在较大钙化团。这个病人明显植入瓣膜后,反流加重,我们选择球囊后扩,而球囊后扩主要是根据病人的手术实际情况进行选择,一个是看跨瓣压差,如果还是很大的话,是需要后扩的,还有一个是看瓣膜形态,如果瓣膜形态不好,受压,短径没有完全撑开,那也是可以选择后扩的,不然瓣膜已经充分扩张,一方面没有余地,并且再次大球囊后扩还需要权衡并发症的问题,没有必要,还有一个是看反流的量的多少,病人心腔的大小等,如果病人心腔太小,少量的反流适应性好,不会太影响。那么针对这个病人,反流存在在左右融合嵴处,形成一凸起抵着植入瓣膜,再后扩的意义不大,瓣膜已经展开很好,并且无跨瓣压差,这个结果是非常好了。TaurusElite经导管主动脉瓣系统其输送系统较柔软,在本例中能很好的柔顺过弓,其可回收功能,给术者信心和机会挑战更加复杂的病例,下次对于这种钙化严重的病人,会尝试更加高位释放,瓣周漏的风险可能会减少,帮助临床在术中获得更好的即刻疗效。相信随着国内医生经验的累积与国产厂家的不断创新,TAVR技术将给更多主动脉瓣病变患者带来福音。
团队介绍:
南昌大学第一附属医院心脏瓣膜团队由郑泽琪教授、彭小平教授牵头组建,联合心脏大血管外科、麻醉科、手术室、超声医学科等多个学科组成多学科团队,整合了多个部门精英骨干,聚焦经导管心脏瓣膜病介入治疗,制定了精细的术前筛查、手术计划,术中精诚合作,术后精细管理,为每一位心脏瓣膜疾病患者提供最优化的治疗方案。团队自2018年组建以来,已完成60余例TAVR手术,包括全国首例经腋动脉入路无造影剂TAVR手术、江西省首例一站式TAVR+PCI术、江西省首例可回收TAVR术及江西省年龄最大(90岁超高龄患者)TAVR手术,取得了良好的社会反响。
专家简介

主任医师、教授、博士研究生导师,心内科主任,江西省高血压病研究所副所长,中国胸痛中心、中国心衰中心、中国高血压达标中心核查专家,中国心衰中心联盟专家委员会常务委员,中国高血压联盟第六届理事会理事,中国卒中学会心血管病分会第一届委员会常务委员,中国医师协会心血管内科医师分会第五届委员会委员,中国医师协会高血压专业委员第三届委员会委员,中国临床医学会江西省心血管专业委员会常务委员,江西省整合医学会心血管病专业委员会主任委员,江西省中西医结合学会第四届心血管病专业委员会主任委员,江西省介入心脏病学会冠心病诊疗专业委员会副主任委员,江西省医学会心血管学会第九届委员会副主任委员等。

主任医师、教授,医学博士,博士研究生导师,留美归国学者,井冈学者特聘教授,南昌大学第一临床学院内科学教研室副主任,南昌大学第一附属医院胸痛中心主任、心内科行政副主任。
国家卫计委冠脉介入培训导师,国家心血管专科规范化培训导师,美国AHA会员、CTOCC成员、CTO老伙计成员,CIT工作组成员,全国高等医学教育学会诊断学分会委员,中国健康医学教育PBL联盟理事。
江西省医学会介入心血管病学分会候任主任委员,江西省中西医结合学会心血管专业委员会/脑心同治专业委员会副主任委员,江西省医师协会心血管专业委员会副会长,江西省医学会心血管专业委员会常委。
担任总教练/副总教练带领学生团队获得全国医学院校大学生临床技能竞赛,获华东赛区特等奖/一等奖,全国二等奖。主持国家自然科学基金3项,发表SCI等论文数十篇。
全国青年岗位能手,国家卫健委医政管理局颁发的“改善医疗服务突出贡献工作者”。
江西省抗击新冠肺炎疫情先进个人,南昌大学十大教学标兵,南昌大学优秀共产党员。
擅长复杂冠心病,瓣膜病,心力衰竭的介入手术治疗,完成全国首例经左腋动脉无造影剂TAVR手术,江西省首例一站式TAVR+PCI术,完成江西省首例生物可吸收冠状动脉支架,首例左心室多位点起搏术等多项首例手术。

胸痛中心副主任,主任医师,硕士生导师,亚洲心脏病学会理事,中国冠状动脉慢性闭塞病变介入治疗俱乐部(CTOCC)会员,江西省医学会介入心血管病学会委员,江西省医学会第七届心血管病学专业委员会委员。中国生物医学工程学会心脏起搏与电生理分会江西省常委,江西省心电协会常务理事。
从事心血管内科、心脏介入治疗,从事心脏介入手术6年,能熟练完成起搏器安装、射频消融、先心封堵、冠脉介入等介入手术,擅长心血管疾病治疗,急性心肌梗死,严重心律失常,心源性休克,急性心功能不全,高血压,冠心病,心力衰竭的抢救及心血管介入手术。

主治医师,擅长冠心病介入、结构性心脏病介入、心血管超声,曾赴北京安贞医院学习心血管介入彩超,上海儿童医学中心学习先天性心脏病介入治疗及北京阜外医院学习TAVR手术,江西省心血管介入心脏病学会青年专业委员会常务委员;江西省整合医学学会睡眠医学分会委员。