重庆首例!重庆新桥医院心内科晋军教授团队成功开展经导管二尖瓣缘对缘修复手术
2021-08-31 09:47
2021年8月27日,重庆市新桥医院心内科晋军教授团队、超声科夏红梅教授团队、麻醉科李洪教授团队与浙江大学附属第二医院王建安教授团队密切合作,成功开展经导管二尖瓣缘对缘修复手术,为一位外科手术高风险的重度二尖瓣反流患者成功植入DragonFly二尖瓣瓣膜夹。本次手术标志着重庆新桥医院在二尖瓣介入治疗领域取得重要进展,同时意味着新桥医院心内科晋军主任团队继成功开展经导管主动脉瓣置换术后再次突破二尖瓣介入治疗。
病例分享
患者基本情况:
75岁 老年男性
主诉:
劳力性心悸气促1+年,加重伴头晕3+月
B超结果:
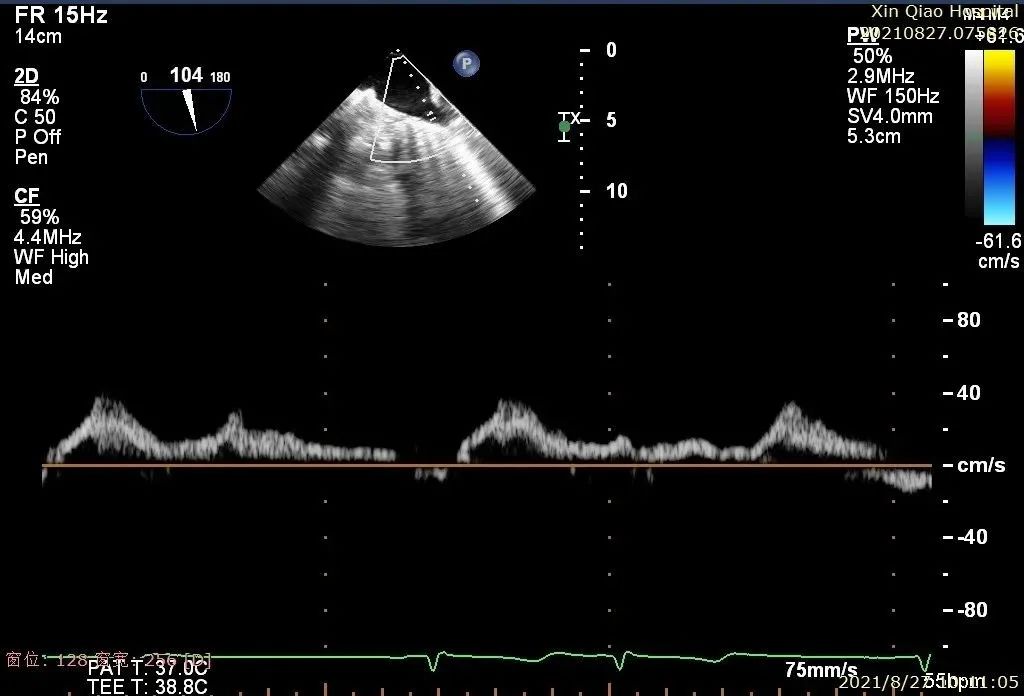
二尖瓣后瓣腱索断裂,瓣叶脱垂(P2区),关闭不全,重度反流
手术策略:
术前,晋军教授团队与王建安教授团队进行了多次的讨论,考虑到患者年龄较高且外科手术风险较高,而介入治疗可更快恢复,减少住院时间,最终与家属协商后,计划行DragonFly经导管二尖瓣缘对缘修复术。
手术过程:
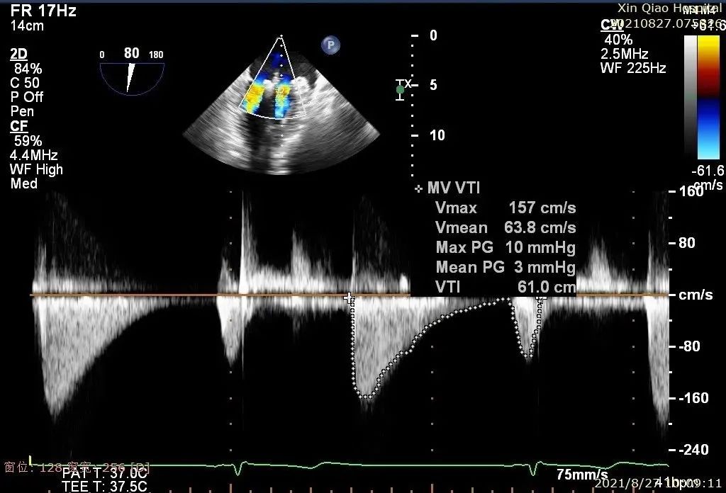
在麻醉和体外循环团队保驾护航下,器械经股静脉穿刺房间隔,通过输送系统送入患者左心房,到达二尖瓣膜反流处,在经食道超声及DSA引导下,术者通过反复评估二尖瓣膜脱垂范围、抓捕位置、反流程度,精准夹合,成功植入两枚DragonFly瓣膜夹。
术后即刻,患者反流显著减小,二尖瓣反流从4+减少到1+以下,左房压下降,血流动力学改善明显,手术取得了圆满成功。
术中超声
DragonFly瓣膜夹释放
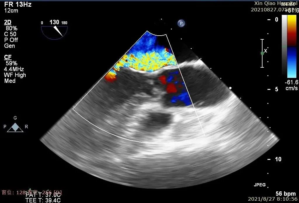
患者术后B超图
专家简介

博士研究生导师,主任医师,教授。
重庆市首批医学领军人才,重庆市学术技术带头人。现任陆军军医大学新桥医院心内科主任、全军心血管病研究所所长,美国心脏病学会专家会员(FACC)、亚洲心脏病学会理事、中华医学会心血管专业委员会大血管学组副组长、重庆市医学会内科学专业委员会主任委员、《中华心血管病杂志》编委。