2021年8月28日,南京市第一医院陈绍良教授、张俊杰教授领衔的结构性心脏病团队,成功运用拥有自主知识产权的新一代经导管二尖瓣缘对缘修复系统 - 申淇淇麟™系统,为一位高危功能性二尖瓣返流患者成功实施了股静脉途径经导管二尖瓣缘对缘介入修复术,手术过程顺利,首次植入耗时仅1.5小时左右,患者术后恢复良好。此手术的顺利开展,实现了江苏省介入二尖瓣缘对缘修复手术0的突破,也标志着由北部战区总医院韩雅玲院士作为主要研究者的申淇淇麟™二尖瓣缘对缘修复系统全国多中心首次人体临床研究(FIM)又迈出了坚实的一步。
患者信息:
此患者为73岁男性,诊断重度功能性二尖瓣返流FMR,在最佳药物治疗3个月以上的情况下,二尖瓣返流仍无明显减轻,且临床症状显著,不能平卧,反复心衰发作病史,同时患者合并房颤、高血压等多种并发症,STS评分8.6 %,经过心脏团队多学科讨论,评定患者不适合传统外科手术,决定行经导管二尖瓣缘对缘修复手术。
术前超声评估:
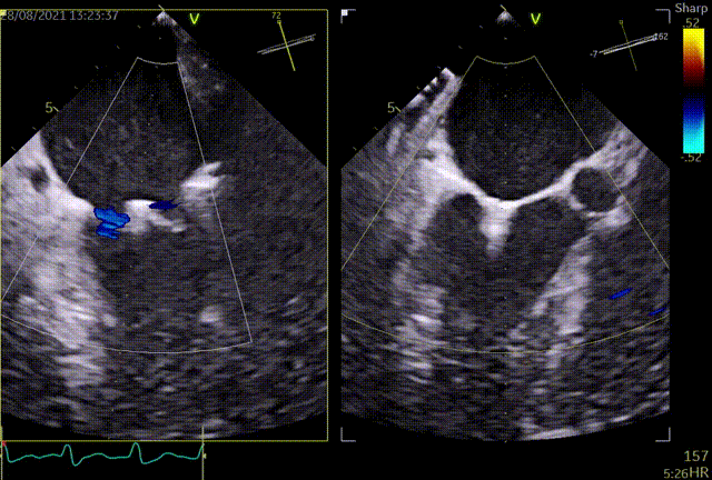
术前TEE提示重度功能性二尖瓣返流,返流位于A2/P2;
前瓣长度:22mm;后瓣长度:12mm;
前、后瓣叶对合深度:10mm;对合长度4mm;
瓣叶及瓣环无钙化,二尖瓣有效开口面积6.0cm²。
术前TEE提示二尖瓣重度返流,返流位置位于A2/P2区
手术过程:
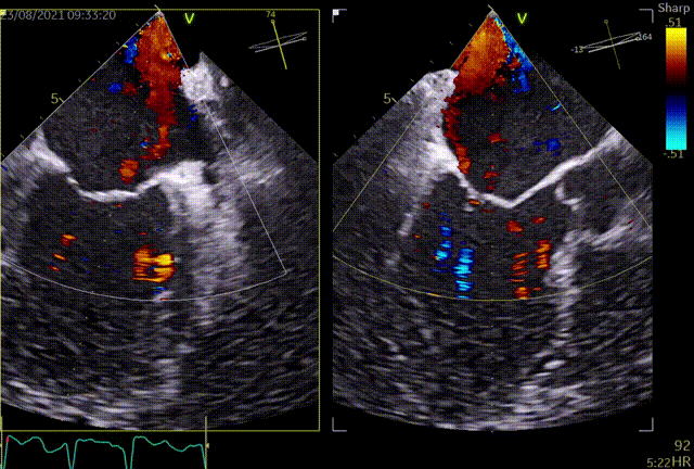
手术于全麻下进行,手术采用经典股静脉房间隔途径,房间隔穿刺后置入24F导引导管及二尖瓣夹输送系统,在TEE引导下准确植入一枚二尖瓣夹,瓣膜夹位置稳定,植入后返流基本消失,二尖瓣跨瓣平均压力阶差4mmHg,双孔化形成,遂移除器械输送系统。患者术后恢复良好,瓣膜夹位置稳定,拟于近期出院。此次手术得到了医院领导、心胸外科、麻醉科、体外循环组、重症医学科及医务科等科室的大力支持。
术后TEE提示,二尖瓣夹植入后返流基本消失,双孔化形成
此手术的顺利开展,标志着南京市第一医院在陈绍良教授、张俊杰教授的带领下,在结构性心脏病二尖瓣介入诊疗领域迈出了坚实的一步,成为国内少数能够开展股静脉途径经导管二尖瓣缘对缘修复技术的中心,也标志着申淇淇麟™二尖瓣缘对缘修复系统获得越来越多顶尖医学团队的认可。
二尖瓣病变是发病率最高、介入治疗难度最大的瓣膜疾病。在我国,据不完全统计,二尖瓣病变潜在患者人数逾千万,治疗缺口极大。同时,由退行性(DMR)及功能性(FMR)二尖瓣关闭不全构成的复杂二尖瓣返流疾病谱,也大大增加了该类瓣膜病变的治疗难度。介入二尖瓣诊疗器械的研发已成为全球心血管介入诊疗领域的热点及难点,而目前唯一成熟的介入二尖瓣技术便是经股静脉途径经导管二尖瓣缘对缘修复(TEER),以雅培的MitraClip系列产品为代表,其已被FDA、CE和NMPA批准用于包括DMR及FMR的全二尖瓣返流疾病谱病变,临床技术体系已然成熟。
申淇淇麟™经股静脉途径经导管缘对缘瓣膜修复系统是由上海申淇医疗科技股份有限公司研发的具有完全自主知识产权的瓣膜介入修复系统,该系统的核心技术参数对标国际最新一代经导管缘对缘修复系统,其输送系统具备在三个方向稳定调弯,并且拥有多型号力学优化的二尖瓣夹设计及瓣叶独立捕获能力。该系统的问世为我国广大的二尖瓣返流患者提供了更多新的治疗选择。相信在韩雅玲院士、陈绍良教授等业内专家的指导下,通过此次临床研究,能够充分验证该系统的安全性和有效性,从而为正式开展上市前注册临床研究打下坚实的基础,让国产创新医疗器械更早、更多地惠及中国患者。
专家介绍

医学博士、主任医师,教授,博士生导师。南京市第一医院副院长、心内科主任。享受国务院政府特殊津贴,获原卫生部突出贡献中青年专家、江苏省333高层次人才培养第一层次、江苏省突出医学成就奖、第一批江苏“卫生领军人才、科教强卫工程医学杰出人才、南京市科技功臣、南京市劳动模范、南京市政府参事等荣誉称号。长期从事心内科的临床医疗、科研及教学工作。擅长心血管病的基础研究、临床诊断与治疗,尤其是在介入心脏病学领域具有丰富的经验、娴熟的技术和丰富的研究成果。在心肌细胞再生、分叉病变及肺动脉高压介入治疗方向原始创新性地发明了DK CRUSH及肺动脉去神经术。现担任美国心脏病学院(ACC)及美国心脏学会(AHA)多个专科委员会委员、美国心血管造影与介入协会(FSCAI)董事会成员、美国生物化学及分子生物学会(ASBMB)委员、欧洲心脏学会(ESC)委员、亚太分叉病变俱乐部(APC)及CBS大会主席、亚太介入心脏病学会(APSIC)理事,国家卫健委能力建设和继续教育心血管病学专家委员会副主任委员、中国医师协会心血管内科医师分会副会长、中国研究型医院协会心血管循证与精准医学专业委员会副主任委员、中华医学会心血管病分会心血管临床研究学组组长、中国病理生理学会血管医学专业委员会副主委等。担任《JACC Cardiovascular Interventions》杂志特约编委及中国区副主编、《European Heart Journal》中文版副主编,《Cardiology Discovery》副主编,《Catheterization Cardiolovascular Interventions》及《EuroIntervention》的特约编委等杂志的编委及多个SCI杂志审稿人。近年来获科技研究成果40余项,主持国家自然科学基金重大及面上项目4项;组织国际性、前瞻性、多中心临床研究10余项;获发明专利、实用新型专利、国际专利30余项。主编、副主编专著10部,参编20余部。作为第一和通讯作者发表SCI收录论文200余篇,单篇最高影响因子29.983。2014至2020年连续7年入选“医学”类中国高被引学者榜单,单篇论文最高被引用1000余次以上,为中国心血管专业论文被引最多篇次。双对吻挤压术(DK CRUSH术式)被2018年欧洲心脏病学年会(ESC)《心肌血运重建指南》向全球推荐。2020年荣登全国心血管病专家学术影响力百强名单第二名。

医学博士,主任医师,南京市第一医院心内科常务副主任、心导管室主任,国家卫计委冠心病介入培训导师。担任中华医学会心血管病分会青年委员、心血管临床研究学组秘书、中国医师协会心血管内科医师分会血栓防治学组委员、卫健委冠脉介入培训导师、美国心血管造影与介入学会会员(FSCAI)。担任亚洲分叉病变俱乐部及冠状动脉分叉病变峰会秘书长、美国经导管心血管治疗(TCT)主席团成员、及中国经导管心血管治疗(CIT)理事以及资深工作组成员。担任中华心血管病杂志通讯编委、JACC中文版、JACC Cardiovascular Interventions中文版和EHJ Cardiovascular Imaging中文版编委, 担任EuroIntervention、JAMA Cardiology 杂志的审稿人及国家自然科学基金评审专家。长期从事于心血管疾病的临床和研究工作,在冠心病介入诊断与治疗,以及经导管主动脉瓣置换(TAVR)治疗重度主动脉瓣狭窄及关闭不全等方面具有丰富的经验和娴熟的技术。近五年以第一作者或通讯作者发表SCI论文30余篇(累计IF超过150;其中两篇JACC,最高IF:24.094;一篇EHJ,IF:29.983),参编著作5部及国内外指南和专家共识10部。近四年来作为主持人负责国家自然科学基金面上项目2项、江苏省六大人才高峰项目、江苏省社会发展面上项目、南京市有突出贡献中青年专家、南京市中青年拔尖人才项目以及十三五南京市青年人才培养项目(第一层次)。荣获2018 年中华医学科学技术奖二等奖(排名第二)、2018 年江苏省医学科技奖一等奖(排名第二)以及 2018 年江苏省科学技术奖一等奖(排名第二)。